医影在线

标题: CT28097:请大家看看,图片有点乱 [打印本页]

作者: zhuming943066    时间: 2010-8-1 23:15
标题: CT28097:请大家看看,图片有点乱
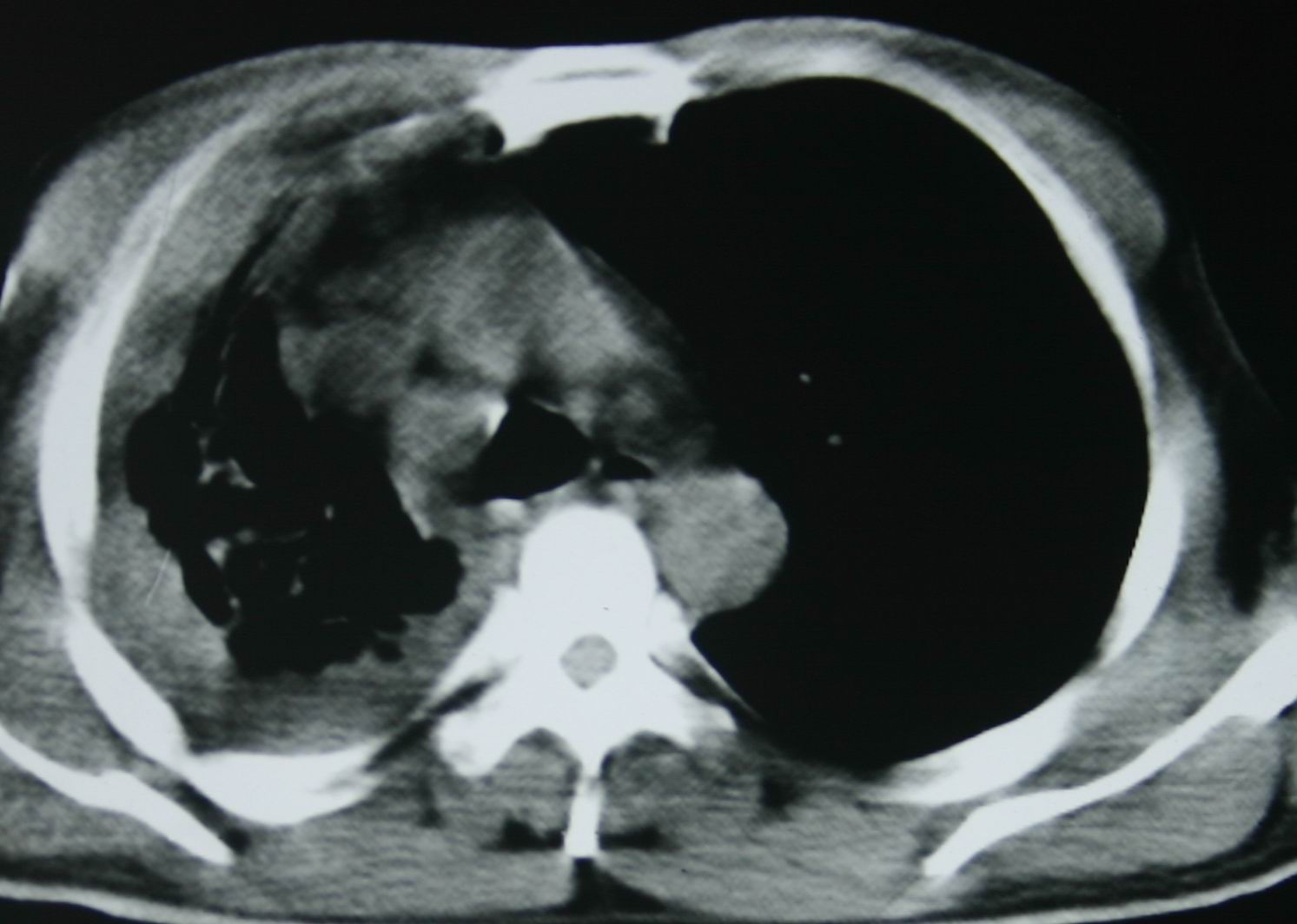
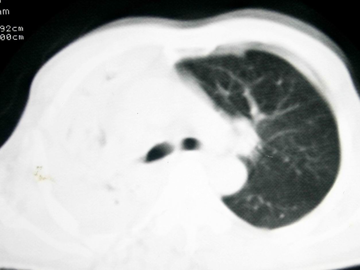
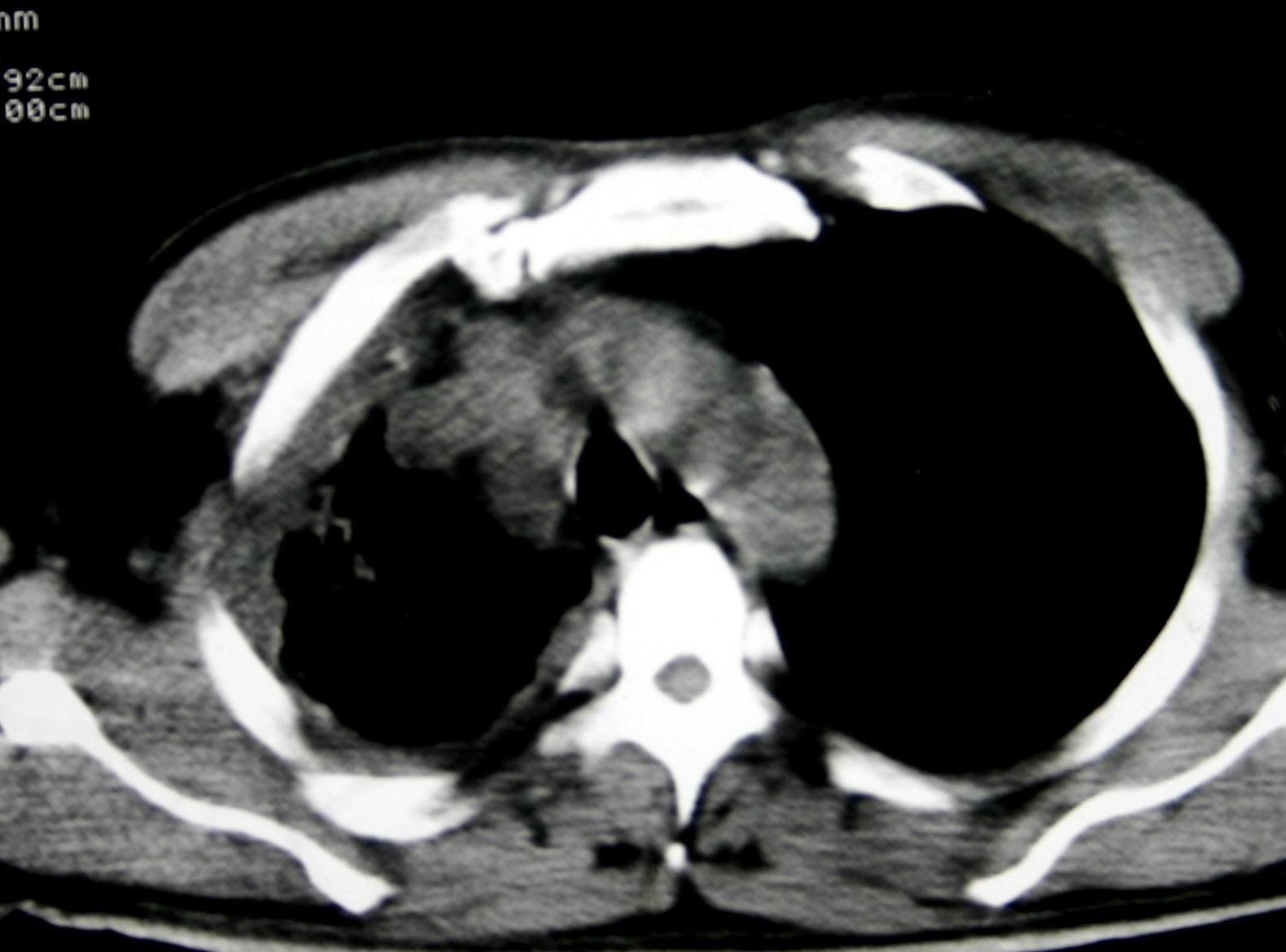
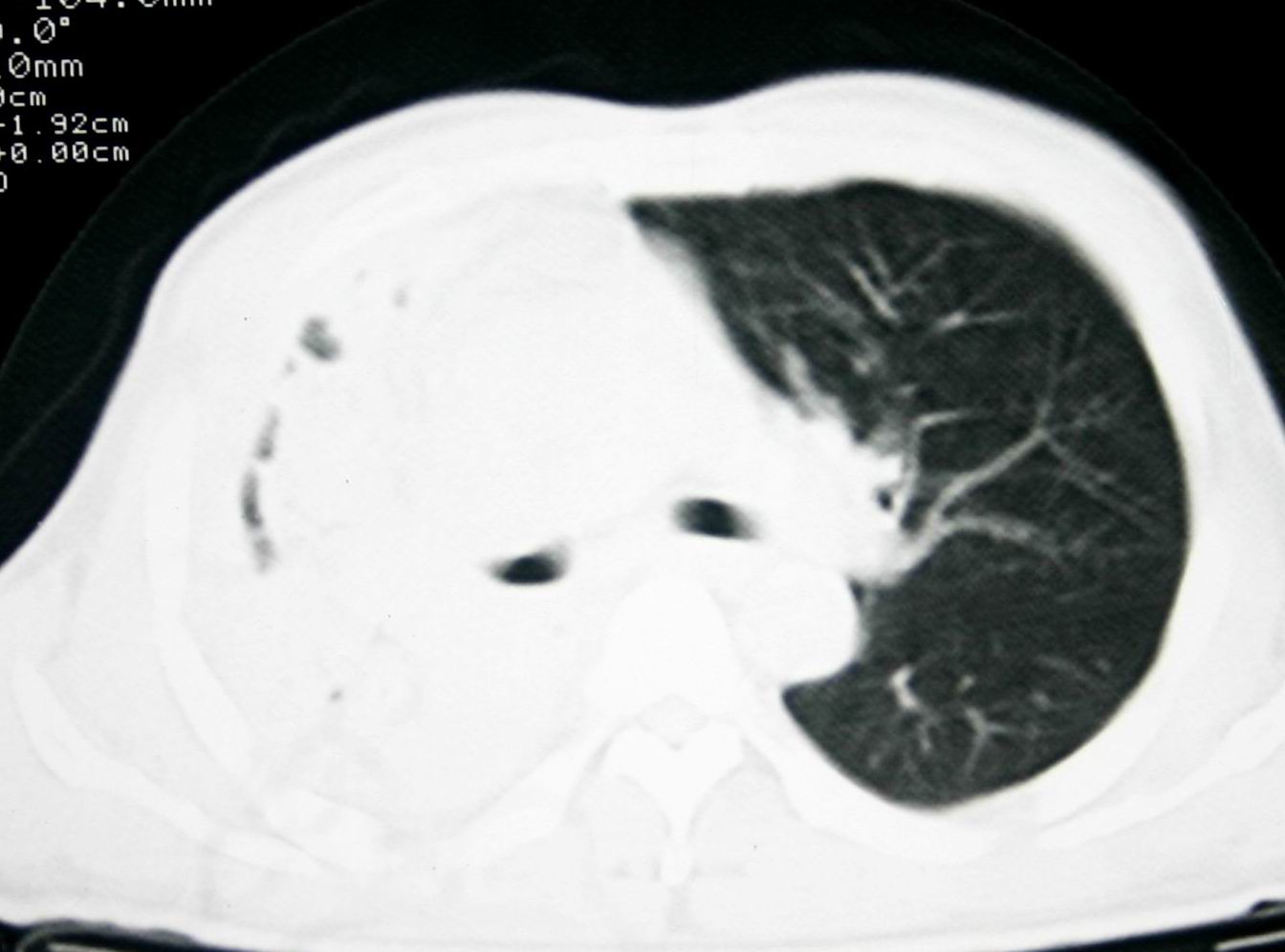
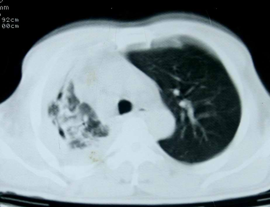
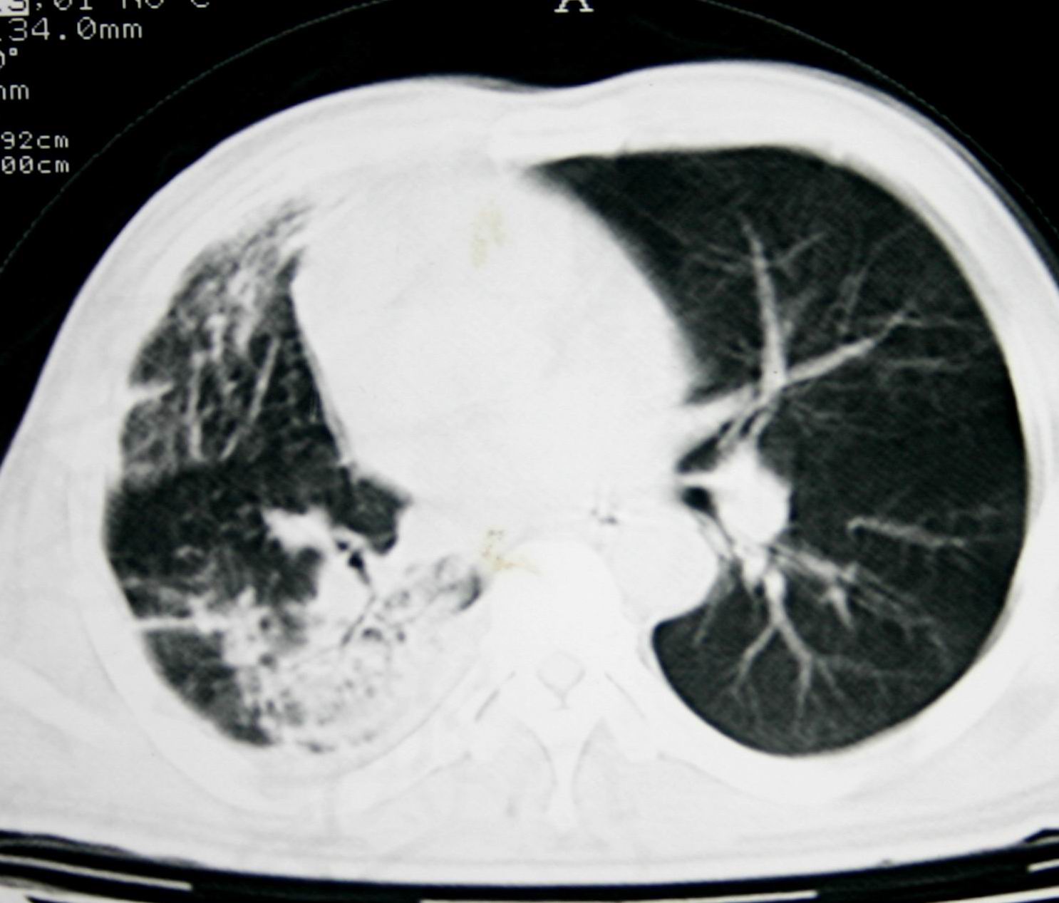
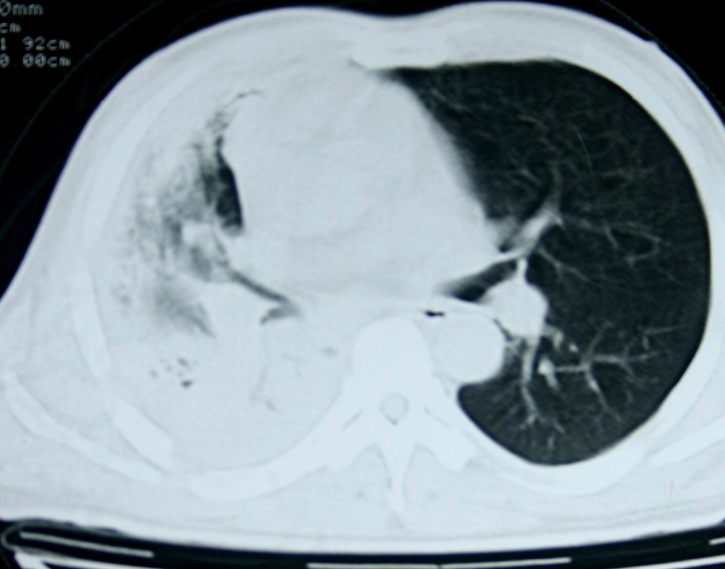
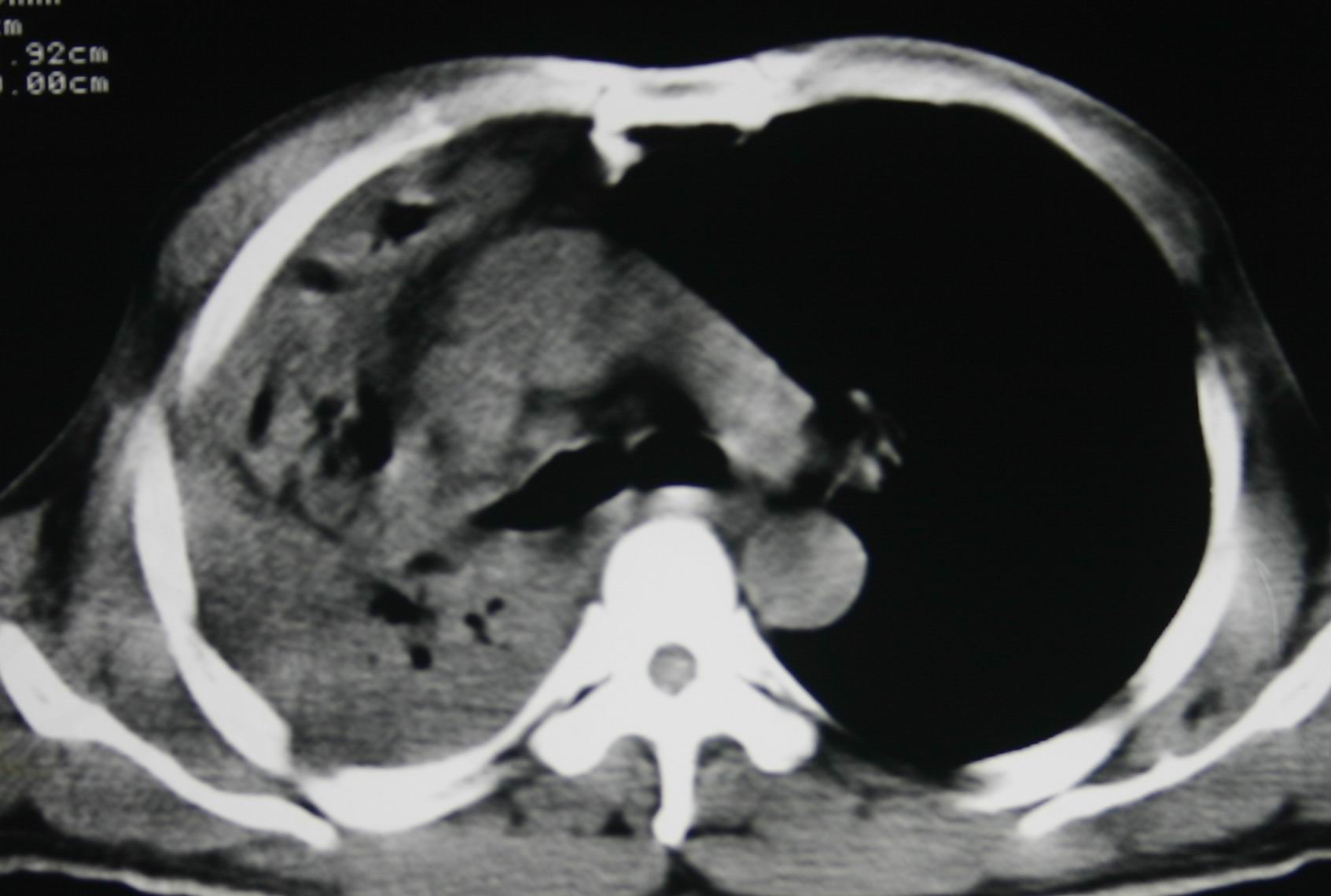
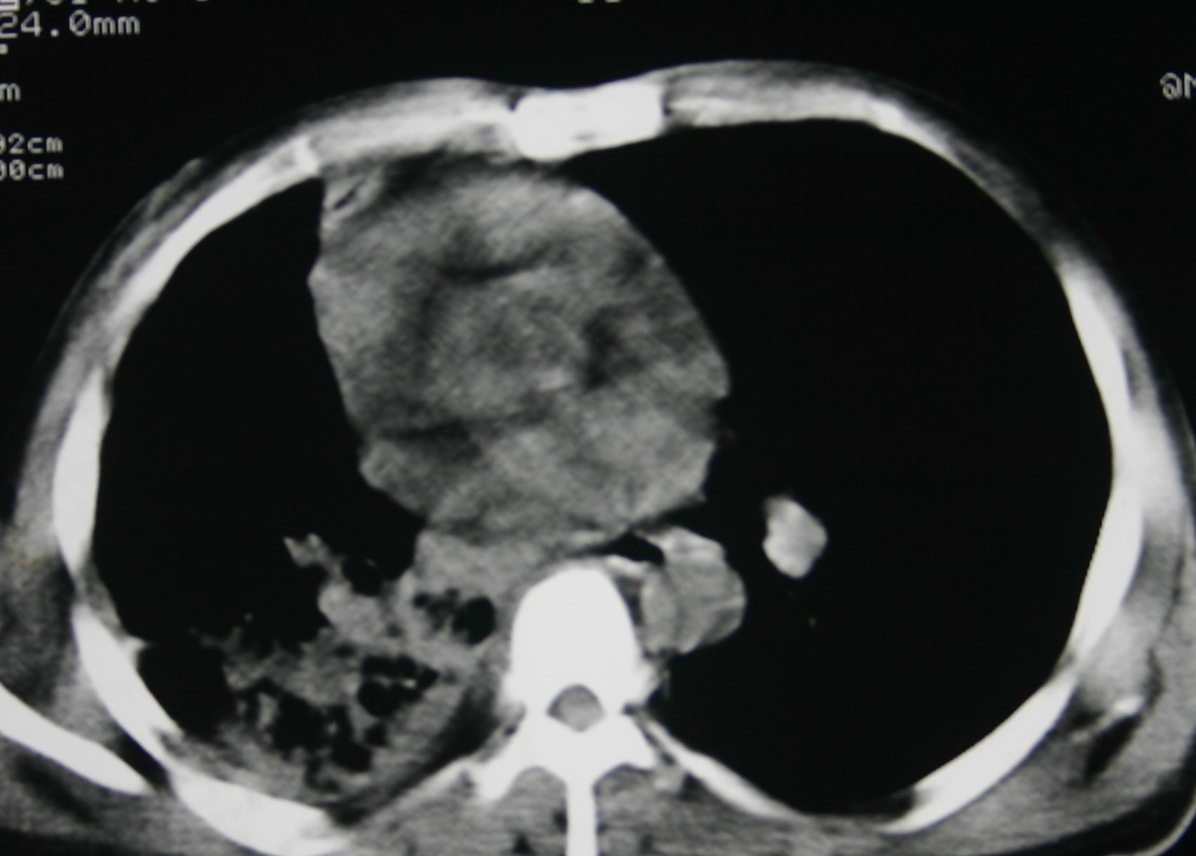
患者,男 ,48岁,反复咯血三个月,每三到五天咯一次,每次约200ml,鲜红色,无明显咳痰,咳嗽明显,无明显胸痛,无发烧,初期以抗感染、止血治疗,第一次ct报占位,支气管镜未见明显ca细,肺ca标志物、tb抗体均阴性,经过垂体后叶素、酚妥拉明、头胞他定、洛美沙星、立止血等治疗后,现病人一般情况好,停止咯血10天,咳嗽减少,咳黄脓痰,每日一次,每次30ml。现复查ct





















[本贴已被 jiajie 于 2010-8-1 15:27:21 修改过]

作者: 科室第一人    时间: 2010-8-1 23:20
感染性病变,结核可能性大
作者: huangyinshan    时间: 2010-8-1 23:44
感染性病变,结核可能性大
作者: linyiming    时间: 2010-8-2 00:08
考虑肺结核并感染。未排除肺癌。
作者: zsl6918    时间: 2010-8-2 00:14
右肺膨胀不全,纵隔右侧移位。肺内有感染,胸腔有积液。建议老片对比。
作者: 随光逐影    时间: 2010-8-2 00:58
1)考虑右肺继发性肺结核合并感染。2)右侧胸腔积液+胸膜增厚。
作者: 杀毒软件    时间: 2010-8-2 01:08
标题: 回复:ct28097:请大家看看,图片有点乱
以下是引用随光逐影在2010-8-1 16:58:00的发言:[br]1)考虑右肺继发性肺结核合并感染。2)右侧胸腔积液+胸膜增厚。

支持
作者: 施明    时间: 2010-8-2 02:32
结核
作者: 地球上的    时间: 2010-8-2 05:34
支持:右肺膨胀不全,纵隔右侧移位。肺内有感染,胸腔有积液。建议老片对比。
作者: 731208    时间: 2010-8-2 05:50
标题: 回复:ct28097:请大家看看,图片有点乱
以下是引用随光逐影在2010-8-1 16:58:00的发言:[br]1)考虑右肺继发性肺结核合并感染。2)右侧胸腔积液+胸膜增厚。

作者: xiongneo    时间: 2010-8-2 07:04
1)考虑右肺继发性肺结核合并感染。2)右侧胸腔积液+胸膜增厚。  
   

随光逐影说
作者: DDN    时间: 2010-8-2 16:11
感染性病变,结核可能性大,伴结核性胸膜炎。
作者: cfililiu    时间: 2010-8-2 19:15
抗炎治疗吧




欢迎光临 医影在线 (http://bbs.radida.com/bbs/) Powered by Discuz! X3.2