医影在线

标题: CT28098:F,36Y。右侧腰腿痛半月余。腰骶椎MR平扫偶然发现骶 [打印本页]

作者: 随光逐影    时间: 2010-8-2 01:21
标题: CT28098:F,36Y。右侧腰腿痛半月余。腰骶椎MR平扫偶然发现骶
查看患者腰骶椎mr平扫情况,请点击:http://www.radida.com/bbs/forum.php?mod=viewthread&tid=69084

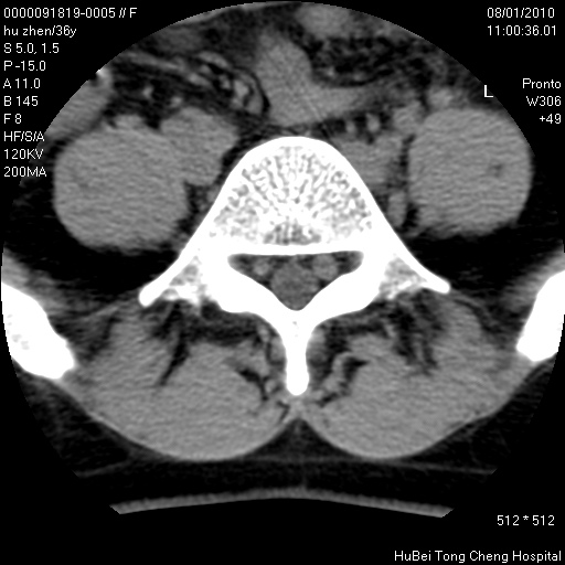
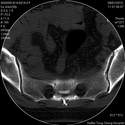
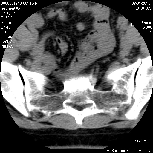
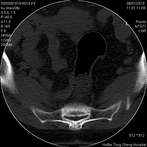
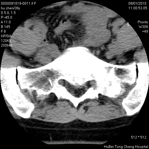
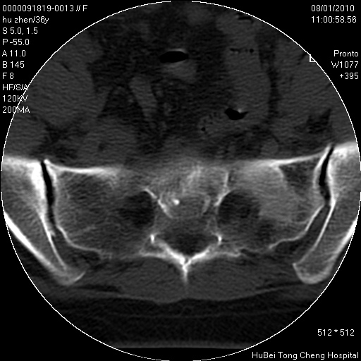
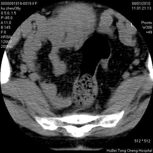
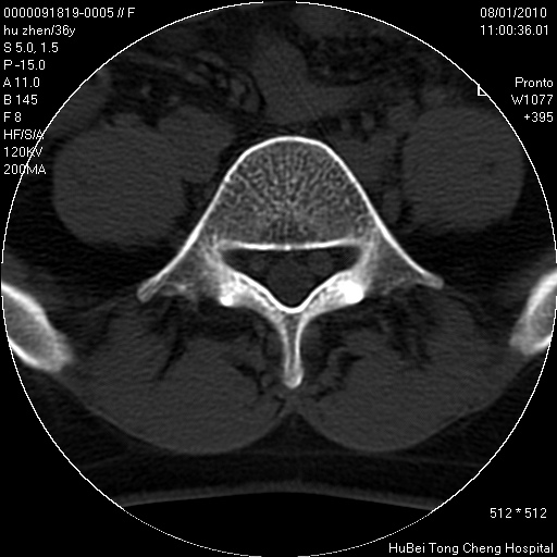
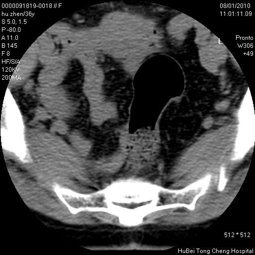
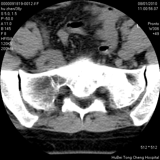
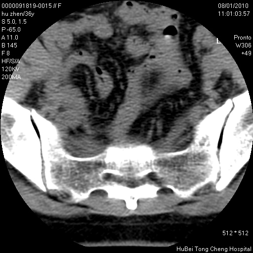
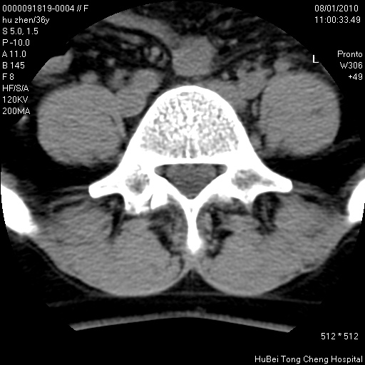
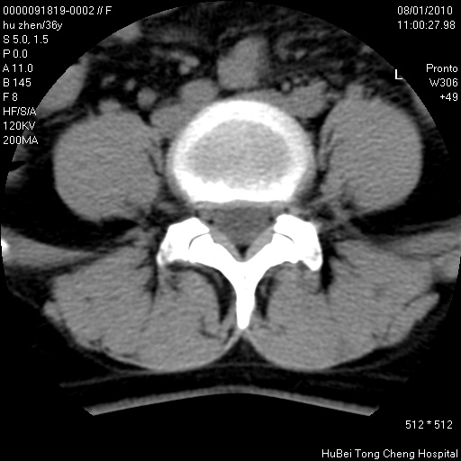
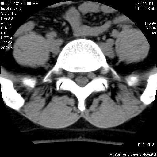
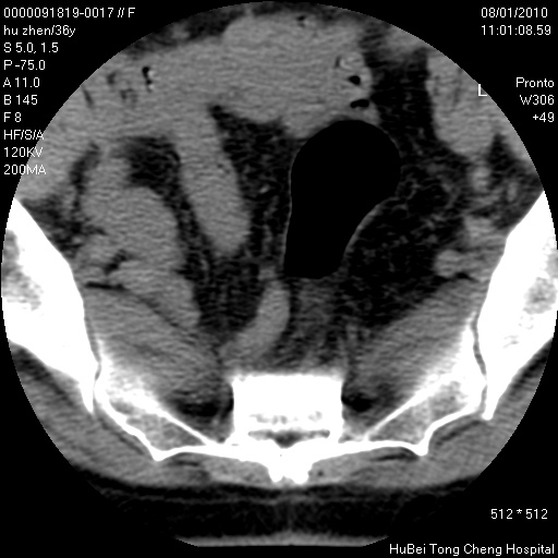
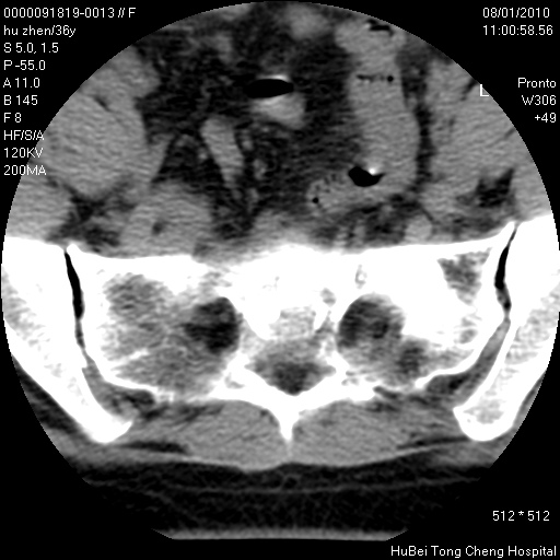
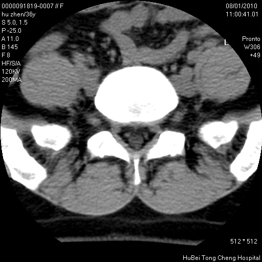
患者 女,36岁。右侧腰腿痛半月余。腰骶椎mr平扫偶然发现骶椎异常信号。

临床诊断:1)腰椎间盘突出症。2)骶椎肿瘤性病变?

骶椎ct平扫(层厚、层距均为5mm),图像如下:









































[本贴已被 翁志蓬 于 2010-8-1 20:10:31 修改过]

作者: aa13877358820    时间: 2010-8-2 02:08
良性骨病变,骨纤还是骨母细胞瘤?
作者: 施明    时间: 2010-8-2 02:30
象骨纤
作者: linyiming    时间: 2010-8-2 02:44
良性骨病变,骨纤还是骨母细胞瘤?
作者: pujunzhi    时间: 2010-8-2 03:07
考虑s1骨纤维异常增殖症。
作者: jsdtd    时间: 2010-8-2 03:24
考虑s1骨纤维异常增殖症。
作者: 地球上的    时间: 2010-8-2 05:43
考虑s1骨纤维异常增殖症。
作者: zsl6918    时间: 2010-8-2 05:56
良性改变,很难有明确答案。
作者: xiongneo    时间: 2010-8-2 07:02
考虑s1骨纤维异常增殖症。
作者: 科室第一人    时间: 2010-8-2 14:25
骨纤
作者: cfililiu    时间: 2010-8-2 19:24
骨良性病变、成骨细胞瘤
作者: zxl51642    时间: 2010-8-2 20:00
考虑s1骨纤




欢迎光临 医影在线 (http://bbs.radida.com/bbs/) Powered by Discuz! X3.2