医影在线

标题: PED3404:有结果,先猜猜这是啥病表现?男,12岁。 [打印本页]

作者: 天地睹狭    时间: 2010-8-2 07:46
标题: PED3404:有结果,先猜猜这是啥病表现?男,12岁。













[本贴已被 翁志蓬 于 2010-8-2 22:59:36 修改过]

作者: 自贡刘剑    时间: 2010-8-2 08:55
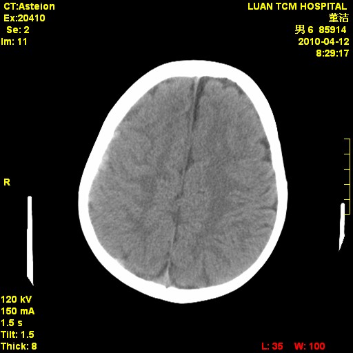
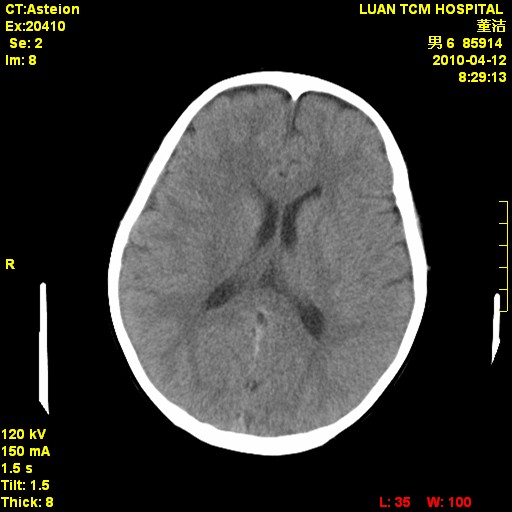
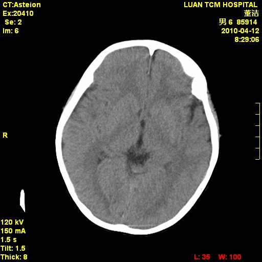
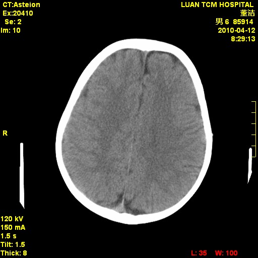
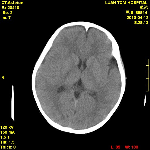
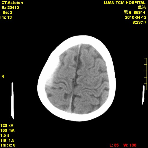
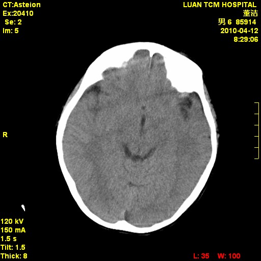
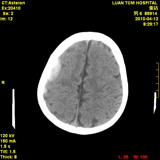
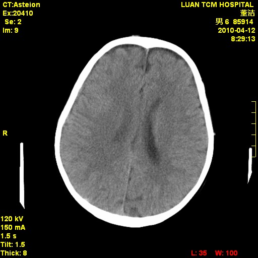
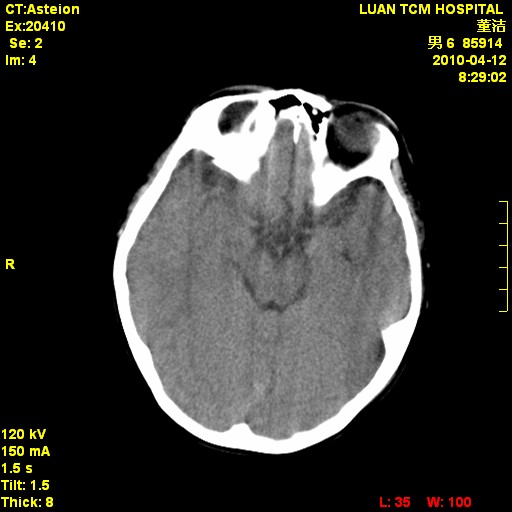
无病史无骨窗,无水肿无占位征象,先猜颅骨血管瘤或者嗜酸性肉芽肿
作者: 科室第一人    时间: 2010-8-2 14:18
嗜酸性肉芽肿或脑膜瘤
作者: yuhongjun    时间: 2010-8-2 14:21
嗜酸性肉芽肿或脑膜瘤。
作者: 科室第一人    时间: 2010-8-2 14:32
或·骨纤
作者: 随光逐影    时间: 2010-8-2 15:40
考虑右侧额顶部颅内脑外血肿(edh可能)。
作者: DDN    时间: 2010-8-2 15:52
无病史无骨窗,无水肿无占位征象,右侧额顶部颅内血肿,或脑膜瘤。建议结合病史。
作者: yhb    时间: 2010-8-2 16:46
不除外淋巴瘤.
作者: ZJB    时间: 2010-8-2 17:35
最好不要猜谜,病史很重要。不然都乱猜,没意思。
作者: 施明    时间: 2010-8-2 21:04
象脑膜瘤
作者: zxl51642    时间: 2010-8-3 01:00
无病史无骨窗,12岁可以可考虑白血病等。
鉴别:骨肉瘤、ewing's瘤、骨淋巴瘤、板障型脑膜瘤、嗜酸性肉芽肿等
作者: xiongneo    时间: 2010-8-3 07:43
象脑膜瘤
作者: 拾荒者    时间: 2010-8-4 04:25
不好猜,期待结果吧!
作者: zxl51642    时间: 2010-8-4 23:51
血液系统疾病。
作者: 37度    时间: 2010-8-5 03:22
不好猜,期待结果吧!
作者: 深泽交通    时间: 2010-8-6 01:11
血管畸形
作者: 彩虹心    时间: 2010-8-6 20:10
骨纤维异常增殖症
作者: SUNBIN    时间: 2010-8-10 00:55
右侧额顶部自颅板向内近似半圆高密度影,周围无明显水肿,考虑:脑外血肿?脑膜瘤?淋巴瘤?
作者: lyb999    时间: 2010-8-14 00:22
不好猜,期待结果吧!有意不传骨窗?




欢迎光临 医影在线 (http://bbs.radida.com/bbs/) Powered by Discuz! X3.2