医影在线

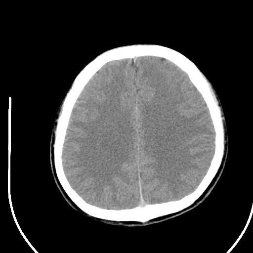
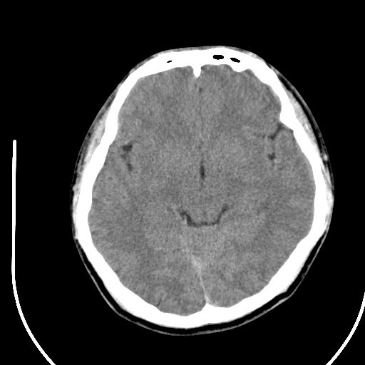
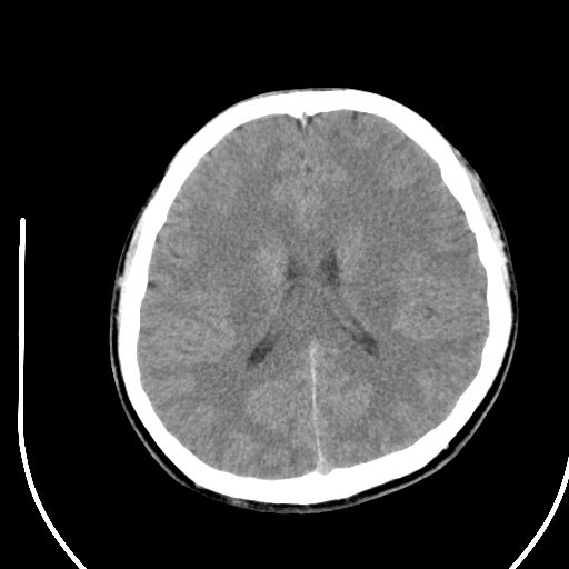
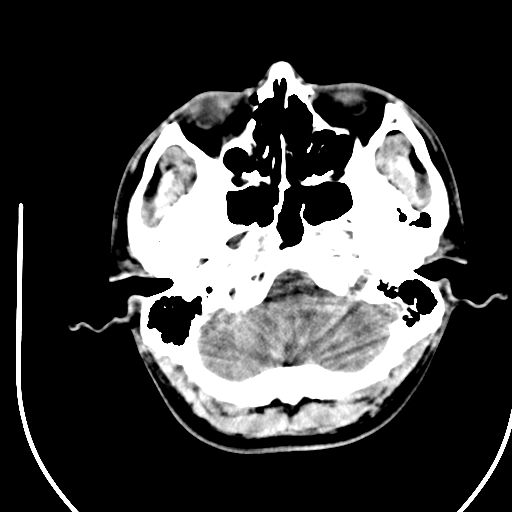
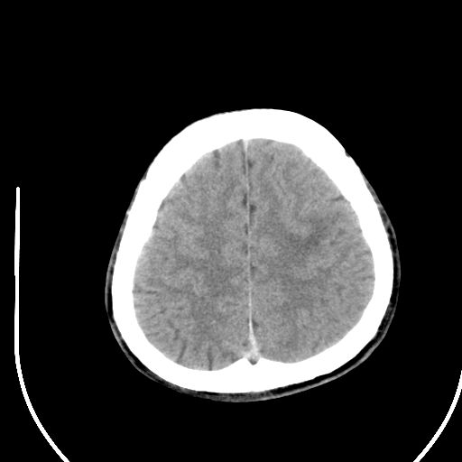
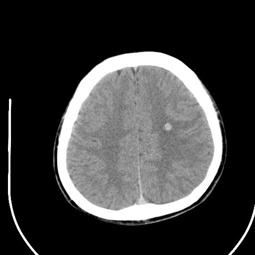
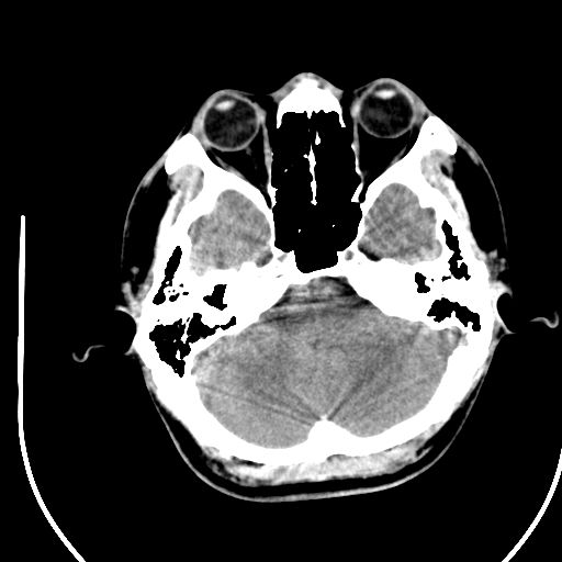
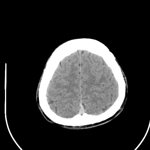
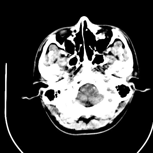
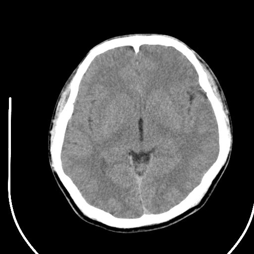
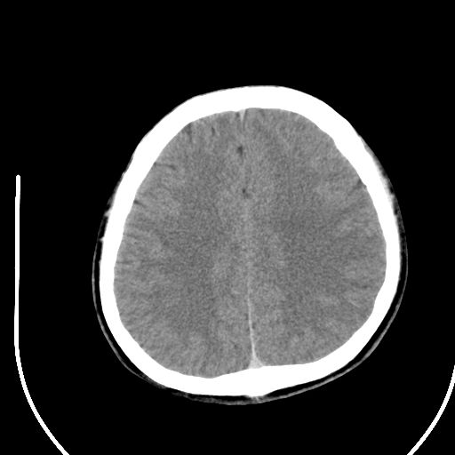
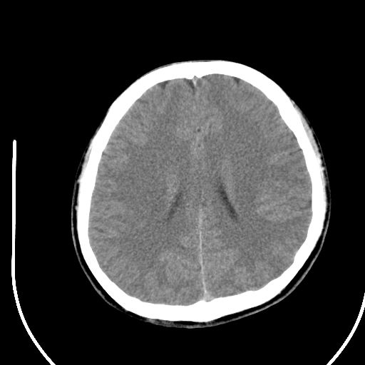
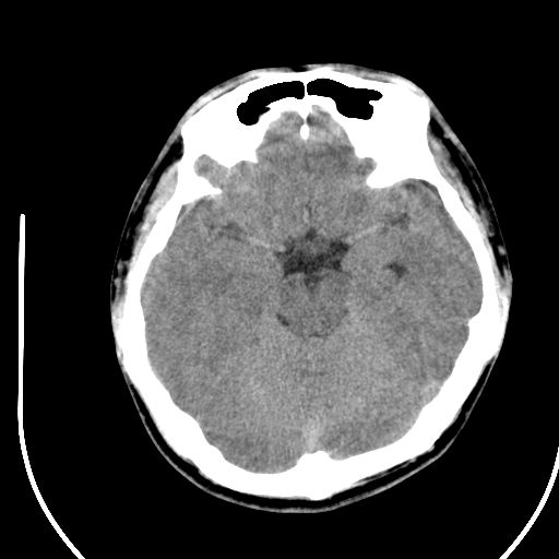
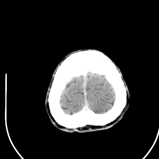
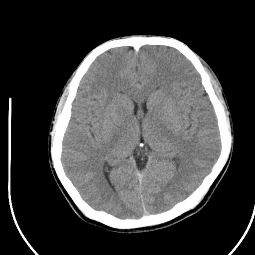
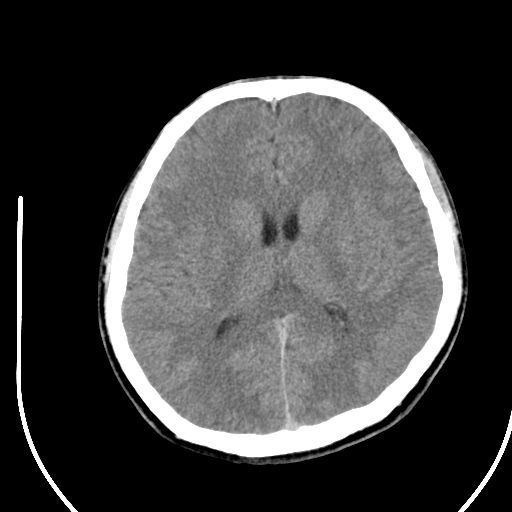
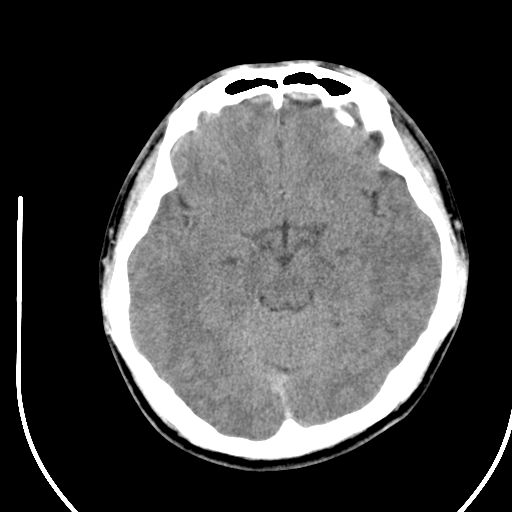
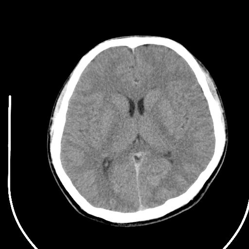
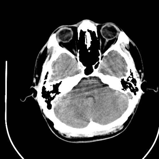
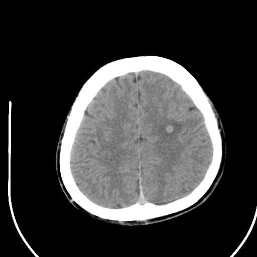
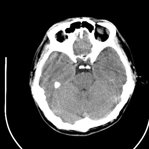
标题: CT28158:男,27Y。头痛数月,左顶叶血管瘤。 [打印本页]

作者: 健力宝    时间: 2010-8-4 02:48
标题: CT28158:男,27Y。头痛数月,左顶叶血管瘤。


























[本贴已被 jiajie 于 2010-8-3 21:08:52 修改过]

作者: 泪洒红尘    时间: 2010-8-4 03:55
考虑avm。
作者: xiongneo    时间: 2010-8-4 04:38
考虑avm。  建议dsa检查。
作者: 王国学    时间: 2010-8-4 04:48
海绵状血管瘤
作者: jsgdoctor    时间: 2010-8-4 05:20
海绵状血管瘤
作者: 蓬莱客    时间: 2010-8-4 05:22
还是行mri检查吧
作者: zsl6918    时间: 2010-8-4 05:46
可以考虑,明确需mr
作者: 刹那光影    时间: 2010-8-4 05:51
考虑左顶叶海绵状血管瘤,建议mr检查。
作者: hnyzdjb    时间: 2010-8-4 07:19
海绵状血管瘤
作者: 随光逐影    时间: 2010-8-4 15:15
左侧额叶海绵状血管瘤可能性大;建议行mri检查。
作者: 卜一    时间: 2010-8-4 15:30
左侧额叶海绵状血管瘤可能性大;建议行mri检查。
作者: LIAOQIANG    时间: 2010-8-4 20:24
考虑血管畸形,因其周可见水肿,不除外感染性病灶。建议mri检查。




欢迎光临 医影在线 (http://bbs.radida.com/bbs/) Powered by Discuz! X3.2