医影在线
标题: CT28218:腹部病变请讨论,有手术病理结果,过几天将上传。 [打印本页]
作者: yiwenzhong96 时间: 2010-8-4 07:36
标题: CT28218:腹部病变请讨论,有手术病理结果,过几天将上传。
(结果公布:http://www.radida.com/bbs/forum.php?mod=viewthread&tid=69367)
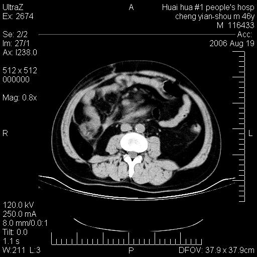
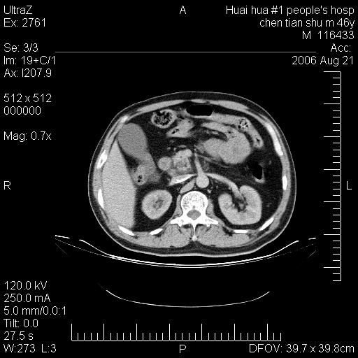
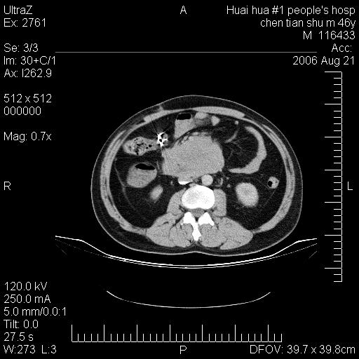
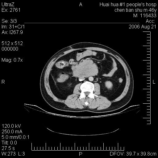
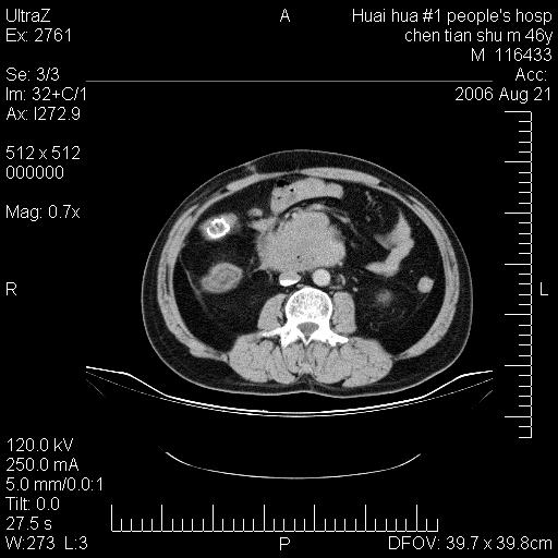
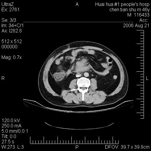
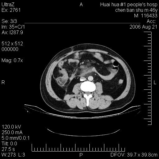
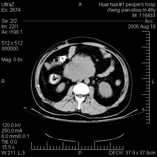
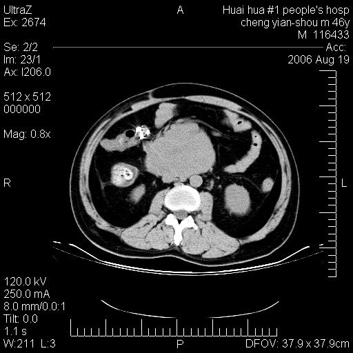
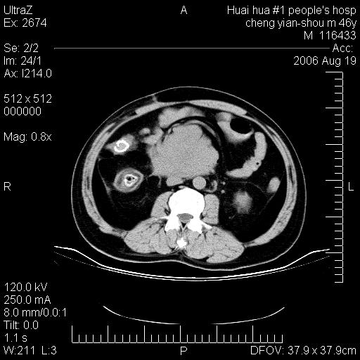
患者,男,46y。腹痛2月,消瘦。
































[本贴已被 jiajie 于 2010-8-5 21:31:05 修改过]
[本贴已被 jiajie 于 2010-8-9 21:31:02 修改过]
作者: DDN 时间: 2010-8-4 16:07
十二指肠水平段占位,考虑间质瘤或平滑肌瘤。
作者: cfililiu 时间: 2010-8-4 19:12
考虑神经源性肿瘤
作者: zhengjq76 时间: 2010-8-4 23:36
肿块较大,腹膜后占位,境界欠清,周边脂肪密度较高呈条状影,有没有脂肪肉瘤可能,
作者: zxl51642 时间: 2010-8-4 23:40
缺少完整的三期图像。考虑肠系膜脂膜炎mp(肿块型)。
鉴别:间质瘤(这么大而无囊变不可思议)、平滑肌瘤/肉瘤、淋巴瘤、类癌,脂肪类肿瘤、转移瘤等。
作者: 随光逐影 时间: 2010-8-5 01:20
十二指肠水平段占位,考虑间质瘤。
作者: 拾荒者 时间: 2010-8-5 06:11
首先考虑小肠间质瘤。
作者: pujunzhi 时间: 2010-8-5 16:56
十二指肠水平段软组织密度占位,考虑间质瘤可能性大。
作者: linyiming 时间: 2010-8-6 02:11
腹膜后占位,境界欠清,考虑来源于十二指肠病变,间质瘤或平滑肌肉瘤可能性大。建议活检。
作者: yiwenzhong96 时间: 2010-8-8 07:39
手术病理结果:原发性小肠恶性淋巴瘤(primary gastrointestinal lymphoma,pgil)是原发于胃肠的淋巴网织系统的恶性肿瘤,在结外淋巴瘤中居第一位,该病少见,临床无特异性,诊断困难,术前主要依靠影像学诊断。胃肠道本身具有较丰富的淋巴组织,因而胃肠原发性淋巴瘤是结外淋巴瘤最常见的部位,文献报道约占胃肠道恶性肿瘤的1%~4%,其中胃约占50%~70%,小肠约占35%~70%,结肠约占4%~6%。影像检查在pgil的诊断及分期中有重要的作用,ct是很有价值的检查方法。
胃肠淋巴瘤病理特点:胃肠道原发性淋巴瘤起源于胃肠壁固有层和黏膜下层的淋巴组织即胃肠粘膜相关淋巴组织(malt),多为粘膜相关淋巴瘤。病理上通常为非霍奇金淋巴瘤,且决大多数来源于b淋巴细胞,很少见于霍奇金淋巴瘤。胃肠原发淋巴瘤比胃肠道癌的发病率要低的多,最常见于胃,其病因可能跟幽门螺杆菌感染有关。幽门螺杆菌能引起胃粘膜损害,引起炎性及免疫反应,淋巴细胞聚集并形成滤泡,可影响胃的正常生理功能,导致胃淋巴瘤的发生。单纯性小肠淋巴瘤是常见好发于回盲末端,受累的肠段较长,可单发、多发,甚至累及整个小肠。原发性大肠淋巴瘤罕见,以直肠和盲肠最多见。病变大体观可表现为胃肠腔内外的肿块,也可表现为从黏膜下到浆膜面肠壁的纵向浸润,并且常常伴有肠系膜淋巴结肿大。任何情况下,肿瘤几乎总是导致一定程度的肠壁增厚,可对称或不对称,病变与正常组织间常无明确分界,肠腔可狭窄、正常或动脉瘤样扩张,后者主要是肿瘤在肠壁内浸润,破坏肠壁内植物神经丛所致。以上改变成为ct检测病变的病理基础。
肠道淋巴瘤的ct表现分为4类
1) 壁内浸润型, (2)多发结节型, (3)肠系膜受累伴腔外肿块型(本型就是),(4)肿块型。
作者: pujunzhi 时间: 2010-8-8 16:03
谢楼主反馈病理结果(原发性小肠恶性淋巴瘤),学习了!
作者: 蓬莱客 时间: 2010-8-8 20:10
谢谢楼主反馈病理结果
作者: 37度 时间: 2010-8-8 20:58
谢楼主反馈病理结果(原发性小肠恶性淋巴瘤),学习了!
作者: 随光逐影 时间: 2010-8-9 00:38
手术病理结果:原发性小肠恶性淋巴瘤。
——感谢楼主反馈结果,学习了。
作者: jiazhirong 时间: 2010-8-9 01:17
谢谢楼主反馈病理结果
作者: 快乐男生 时间: 2010-8-9 02:03
学习了
作者: 拾荒者 时间: 2010-8-9 06:00
谢楼主反馈病理结果(原发性小肠恶性淋巴瘤),学习了!
作者: panyishengct 时间: 2010-8-9 07:18
谢楼主反馈病理结果(原发性小肠恶性淋巴瘤),学习了!
作者: lyb999 时间: 2010-8-10 01:35
谢楼主反馈病理结果
作者: melon5624 时间: 2010-8-10 07:08
我来偷师
作者: DDN 时间: 2010-8-10 15:12
谢谢反馈!
作者: 吴医师 时间: 2010-8-10 18:42
感谢楼主反馈结果,学习了。
| 欢迎光临 医影在线 (http://bbs.radida.com/bbs/) |
Powered by Discuz! X3.2 |