医影在线
标题: CT28180:女性,42岁。体检时发占位。 [打印本页]
作者: fanshl 时间: 2010-8-5 00:06
标题: CT28180:女性,42岁。体检时发占位。








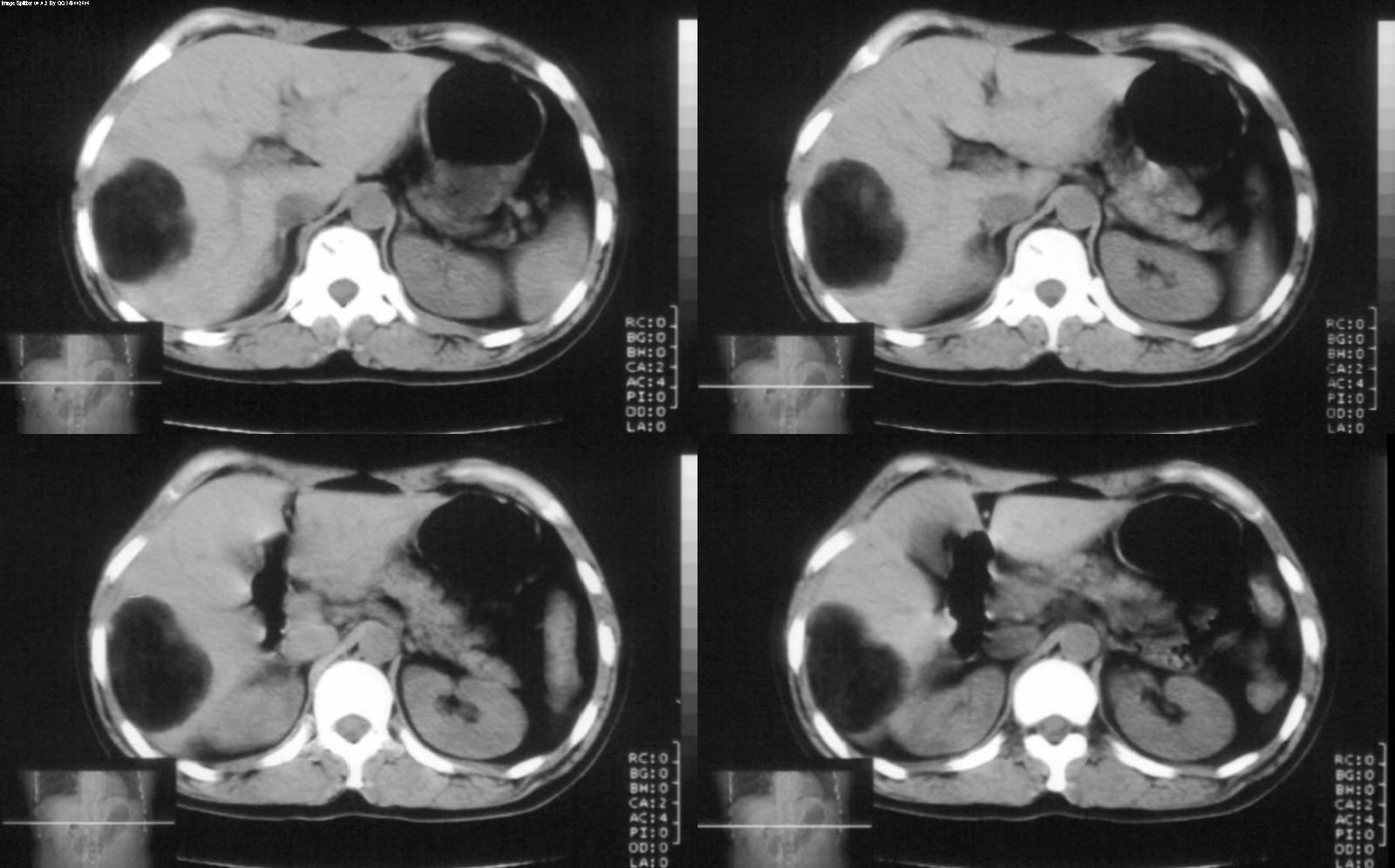
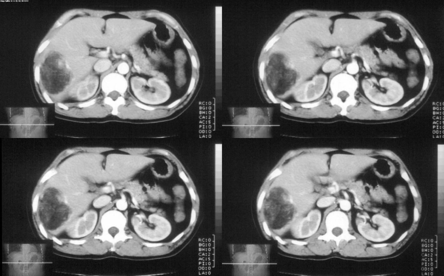
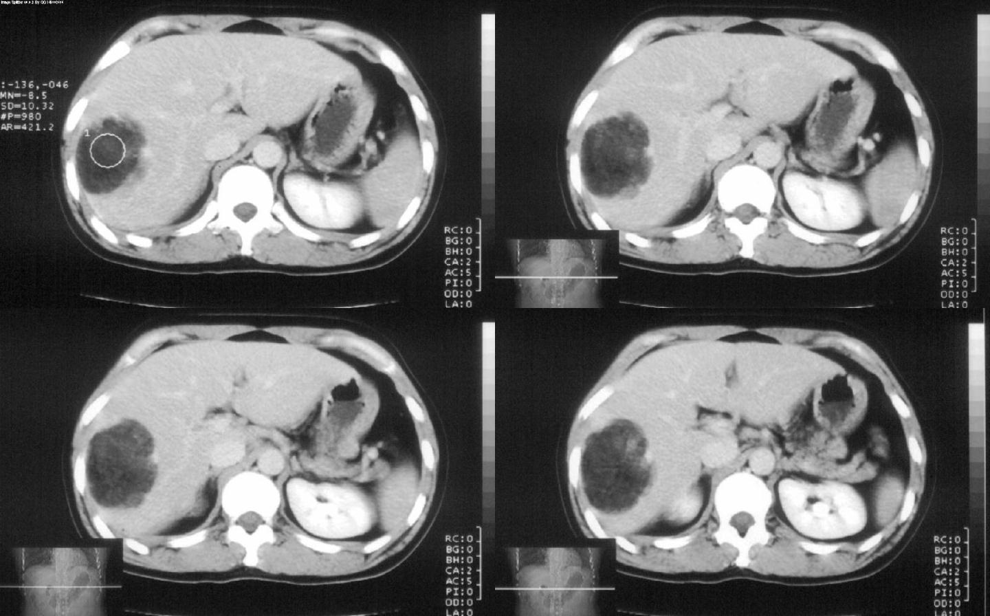
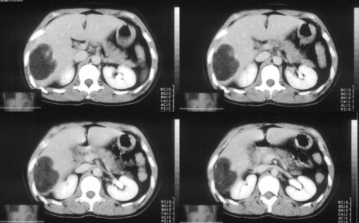
吴静龙
[本贴已被 fanshl 于 2010-8-5 1:21:44 修改过]
[本贴已被 jiajie 于 2010-8-5 20:39:40 修改过]
作者: lxq2000 时间: 2010-8-5 00:15
ct值?肝脏血管平滑肌脂肪瘤
作者: ZJB 时间: 2010-8-5 00:23
标题: 上腹部
血管平滑肌脂肪瘤可能性大
[本贴已被 zjb 于 2010-8-4 16:29:12 修改过]
作者: crystal-doctor 时间: 2010-8-5 00:25
同意二楼的意见
作者: zxl51642 时间: 2010-8-5 00:29
标题: 222
考虑hcc>肝脏血管平滑肌脂肪瘤>肝脏髓脂瘤等,期待结果。
读片会病例:http://www.radida.com/radinet/read.php?tid=46396
[本贴已被 zxl51642 于 2010-8-4 18:37:35 修改过]
作者: 多人行 时间: 2010-8-5 00:47
肝脏血管平滑肌脂肪瘤
作者: jsdtd 时间: 2010-8-5 01:24
肝脏血管平滑肌脂肪瘤可能大
作者: 学无崖 时间: 2010-8-5 01:27
肝脏血管平滑肌脂肪瘤,边界结节样血管影持续性强化。
作者: 随光逐影 时间: 2010-8-5 02:17
支持 肝右叶血管平滑肌脂肪瘤。
作者: 道哥 时间: 2010-8-5 02:42
病灶多种成分,以脂肪为主,可见强化的血管肌肉成分,边界较清晰,综合考虑血管平滑肌脂肪瘤可能性大
作者: 康鹏 时间: 2010-8-5 03:42
同意
作者: xiongneo 时间: 2010-8-5 04:14
血管平滑肌脂肪瘤可能性大
学习了
作者: hnz 时间: 2010-8-5 04:17
支持肝脏血管平滑肌脂肪瘤。
作者: jsgdoctor 时间: 2010-8-5 04:40
肝脏血管平滑肌脂肪瘤
作者: ziyoufeixiang 时间: 2010-8-5 05:16
血管平滑肌脂肪瘤可能性大
作者: ct诊断高手 时间: 2010-8-5 05:50
肝脏血管平滑肌脂肪瘤可能大
作者: zsl6918 时间: 2010-8-5 05:59
考虑血管平滑脂肪瘤,不能完全除外脂质丰富的肝癌
作者: 37度 时间: 2010-8-5 06:41
肝脏血管平滑肌脂肪瘤可能大。
作者: SHUIYUAN 时间: 2010-8-5 06:53
支持 肝右叶血管平滑肌脂肪瘤。
作者: 地球上的 时间: 2010-8-5 06:58
支持各位楼主。
作者: 王国学 时间: 2010-8-5 18:07
支持 肝右叶血管平滑肌脂肪瘤
| 欢迎光临 医影在线 (http://bbs.radida.com/bbs/) |
Powered by Discuz! X3.2 |