医影在线
标题: CT28188:鼻咽部,这个东西大家仔细看看呀,谢谢 [打印本页]
作者: liuzhenzhide 时间: 2010-8-5 08:44
标题: CT28188:鼻咽部,这个东西大家仔细看看呀,谢谢
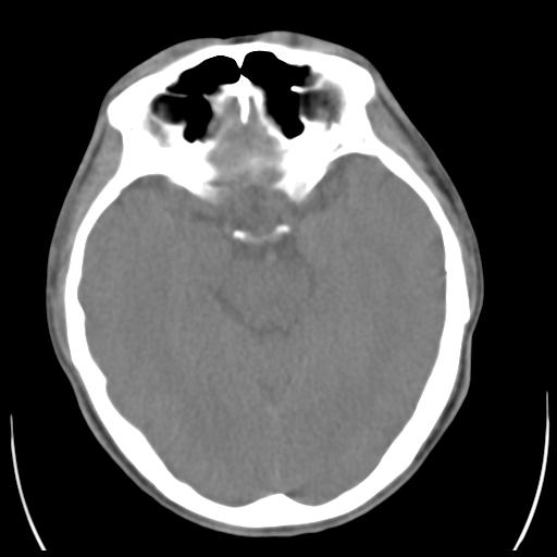
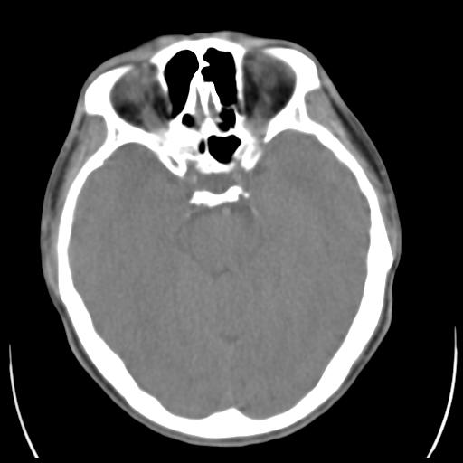
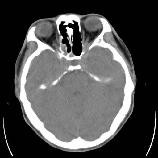
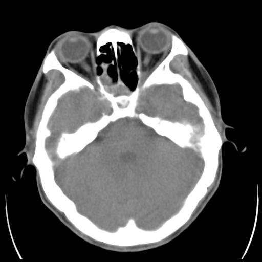
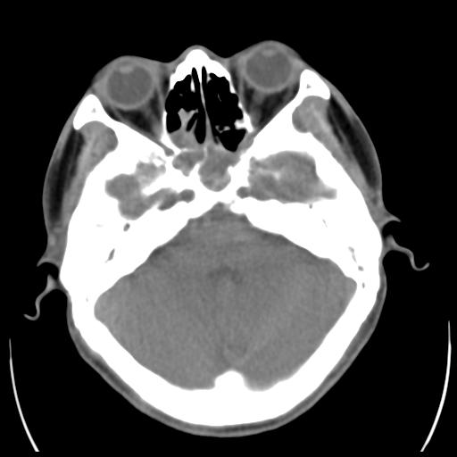
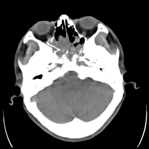
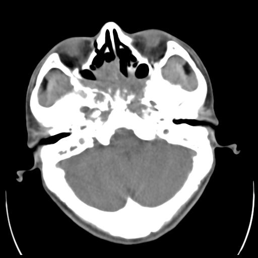
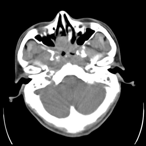
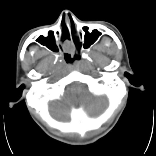
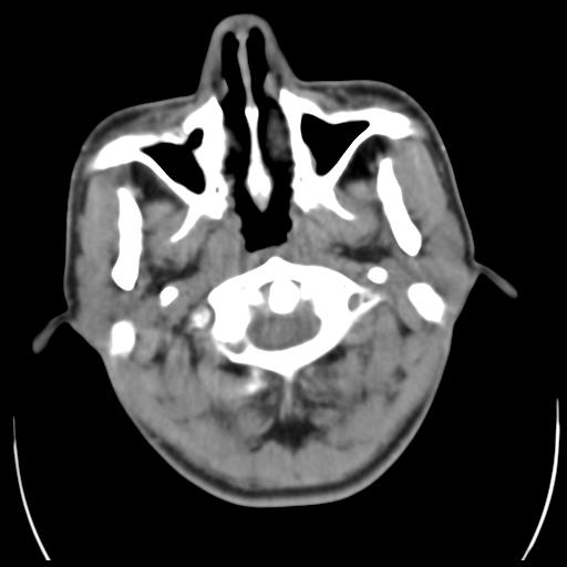
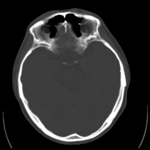
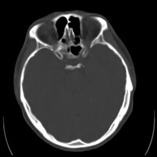
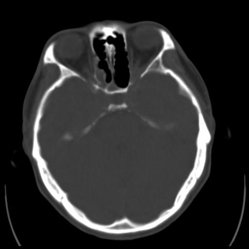
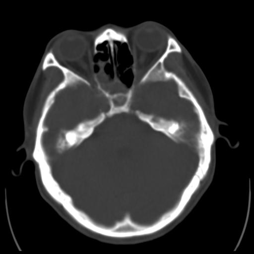
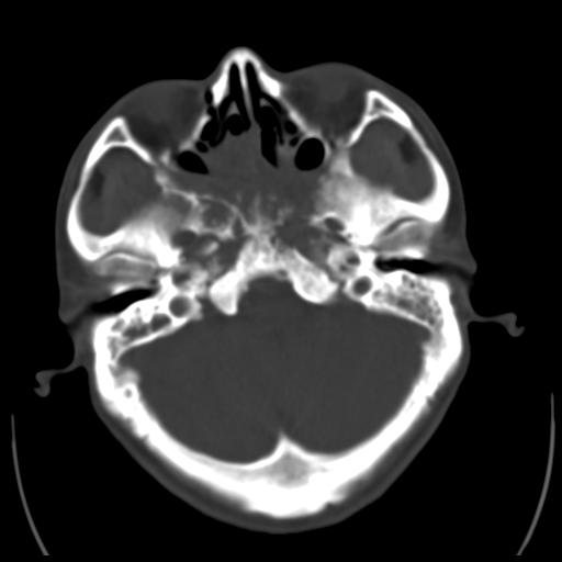
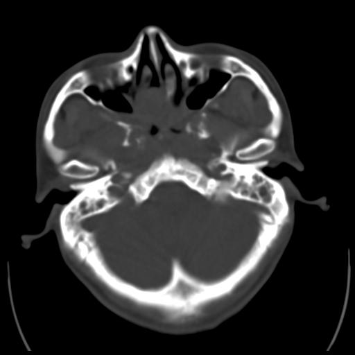
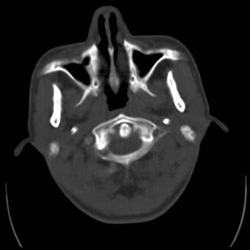
35m 鼻子时不时流血,头及右侧面部痛,颈部淋巴结未见明显大
软组织窗












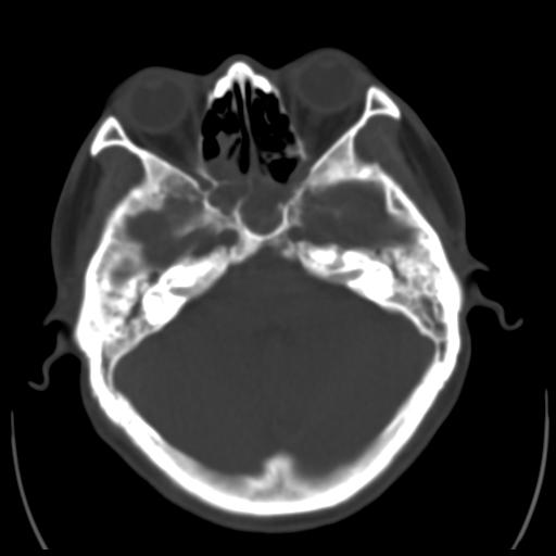
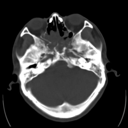
骨窗












这个东西大家仔细看看呀
[本贴已被 liuzhenzhide 于 2010-8-6 14:28:59 修改过]
作者: 随光逐影 时间: 2010-8-5 14:13
考虑鼻咽癌侵犯颅底并突入右侧鼻腔;双侧中耳乳突炎。
建议:必要时行鼻咽镜检查(活检)进一步明确诊断。
作者: DDN 时间: 2010-8-5 15:39
蝶窦,后组筛窦及鼻咽部团块状软组织影,骨壁破坏,病变较广泛。考虑恶性肉芽肿。建议活检。
作者: 37度 时间: 2010-8-5 15:52
标题: 回复:鼻咽部
以下是引用随光逐影在2010-8-5 6:13:00的发言:[br]考虑鼻咽癌侵犯颅底并突入右侧鼻腔;双侧中耳乳突炎。[br]建议:必要时行鼻咽镜检查(活检)进一步明确诊断。
作者: sunhaoliang 时间: 2010-8-5 16:43
血管瘤
作者: 深泽交通 时间: 2010-8-5 16:59
颅底骨质明显破坏 支持鼻咽癌 但病灶的边缘毛糙 不能除外炎性
作者: 王国学 时间: 2010-8-5 18:41
鼻咽血管纤维瘤?
作者: zxl51642 时间: 2010-8-5 19:04
考虑中线肉芽肿(鼻硬结病),次之tb或真菌感染性肉芽肿,病变形态不像肿瘤,建议增强及活检。
作者: 学无崖 时间: 2010-8-5 22:06
蝶窦,后组筛窦及鼻咽部团块状软组织影,骨壁破坏,病变较广泛。考虑炎性肉芽肿性病变可能。建议活检。
作者: 快乐男生 时间: 2010-8-6 00:28
考虑中线肉芽肿(鼻硬结病),次之tb或真菌感染性肉芽肿,病变形态不像肿瘤,建议增强及活检。支持
作者: jiazhirong 时间: 2010-8-6 01:23
考虑中线肉芽肿(鼻硬结病),次之tb或真菌感染性肉芽肿,病变形态不像肿瘤,建议增强及活检。
作者: liuzhenzhide 时间: 2010-8-6 22:30
颅底骨质不是那种溶骨性的破坏吗?
作者: zxl51642 时间: 2010-8-6 23:58
acc?淋巴瘤?
作者: 初学者LANMEI 时间: 2010-8-20 19:23
考虑鼻咽癌侵犯颅底并突入右侧鼻腔;双侧中耳乳突炎。
建议:必要时行鼻咽镜检查(活检)进一步明确诊断。
| 欢迎光临 医影在线 (http://bbs.radida.com/bbs/) |
Powered by Discuz! X3.2 |