医影在线

标题: CT28214:F41Y 血尿二十天,建议盆腔平扫加增强。 [打印本页]

作者: 37度    时间: 2010-8-6 01:39
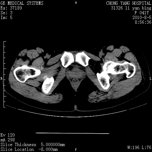
标题: CT28214:F41Y 血尿二十天,建议盆腔平扫加增强。


































































































[本贴已被 jiajie 于 2010-8-5 21:13:33 修改过]

作者: 老爱克斯    时间: 2010-8-6 04:05
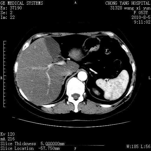
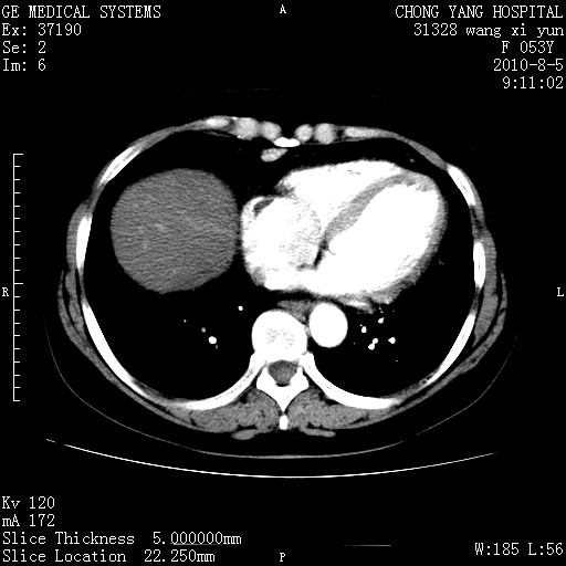
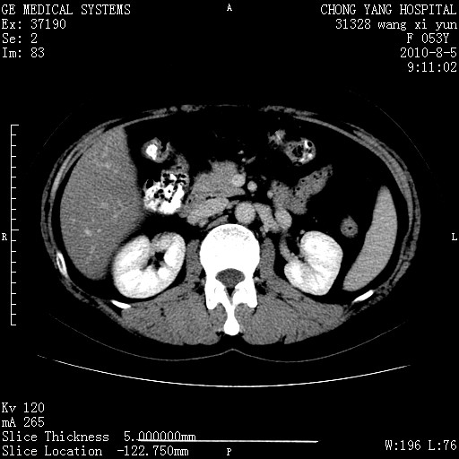
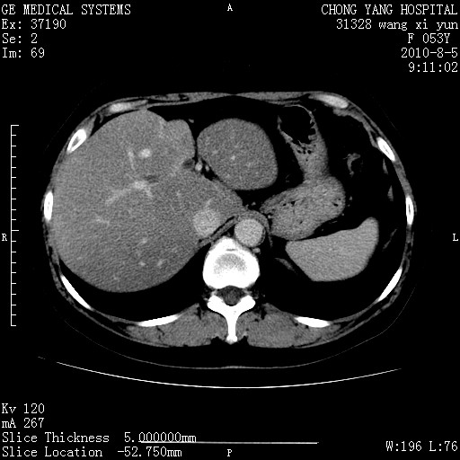
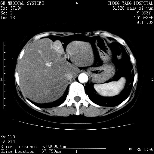
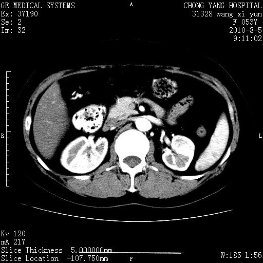
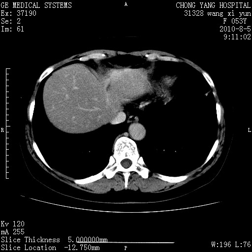
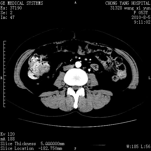
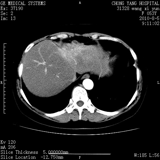
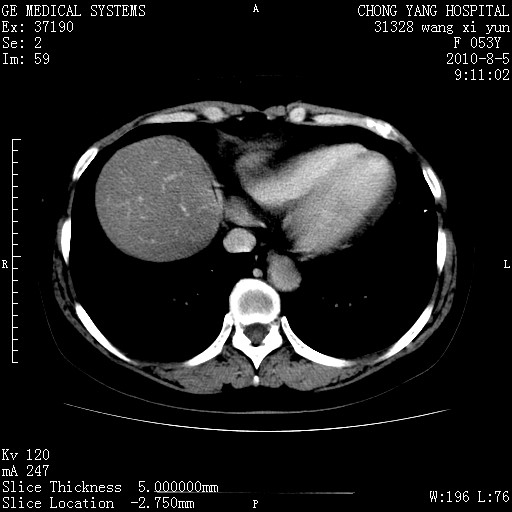
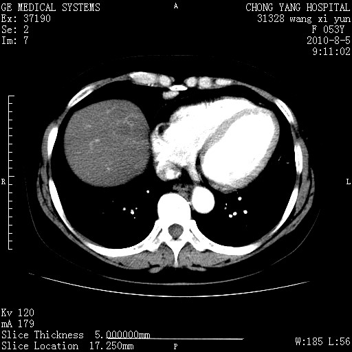
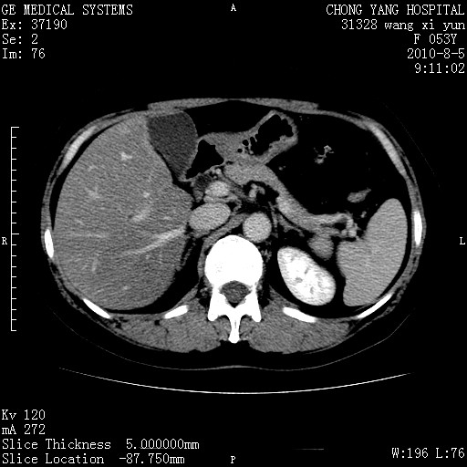
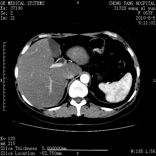
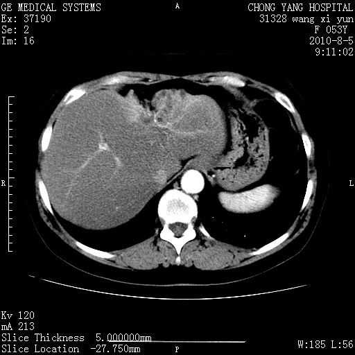
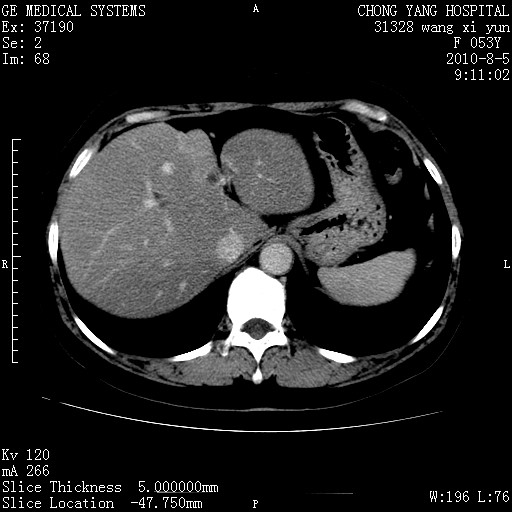
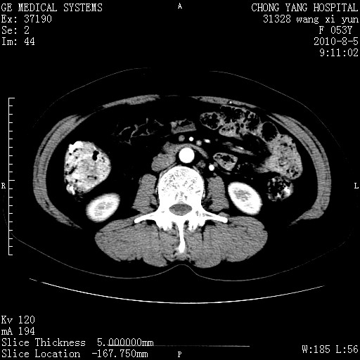
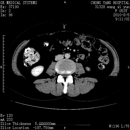
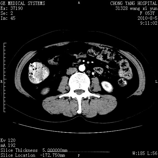
片子搞错了吧?和上一个是同一张片子。
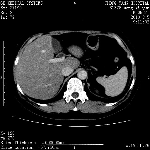
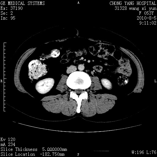
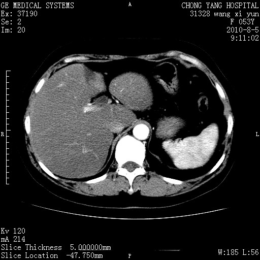
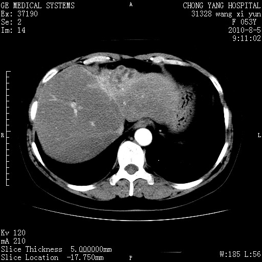
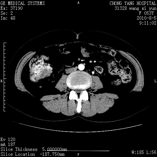
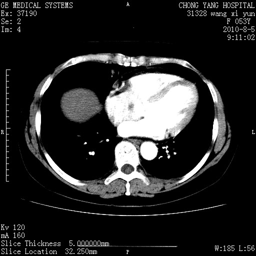
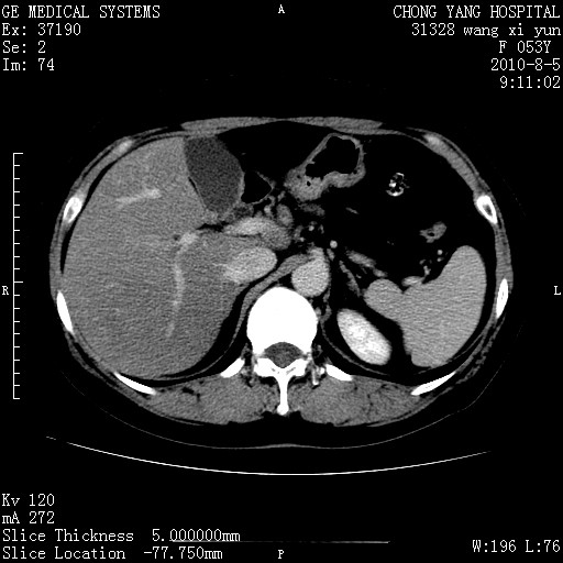
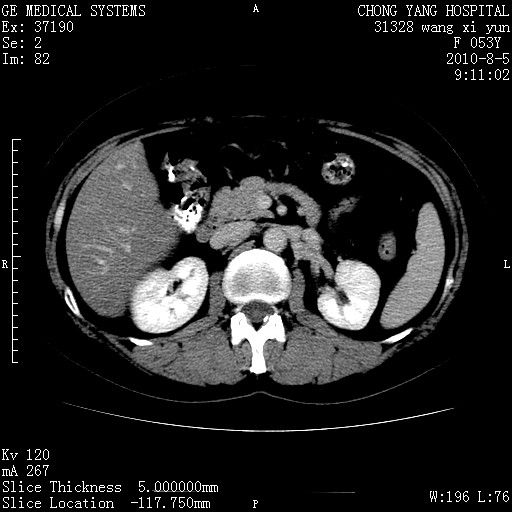
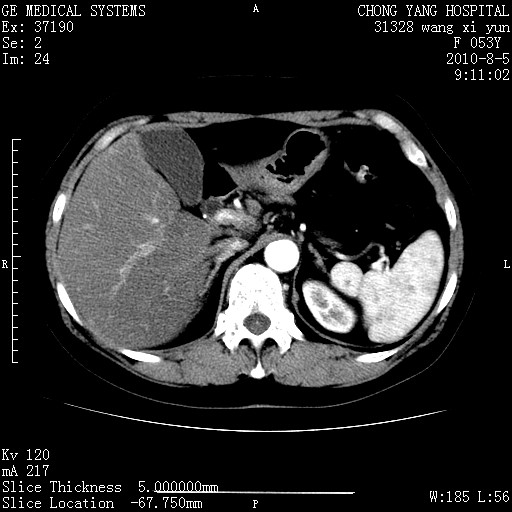
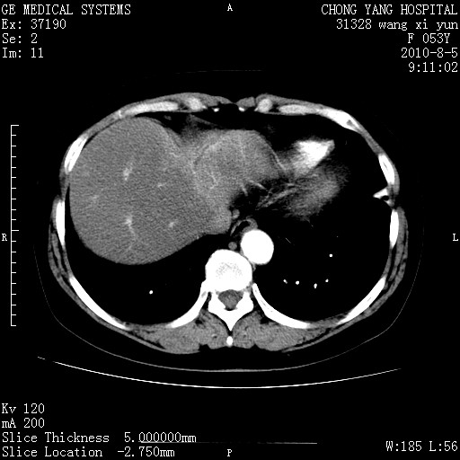
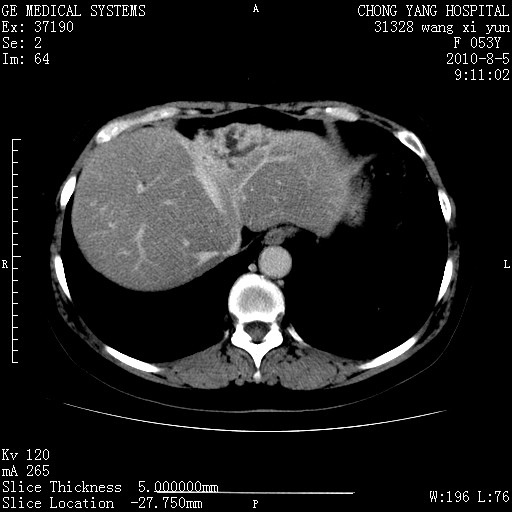
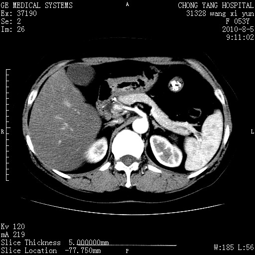
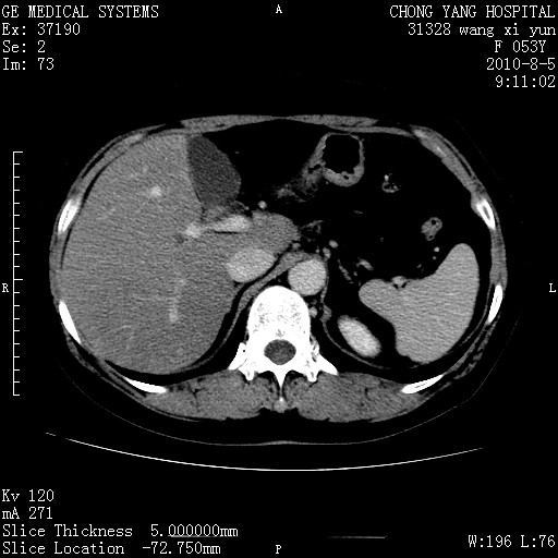
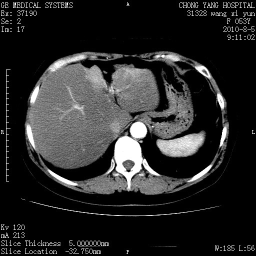
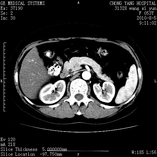
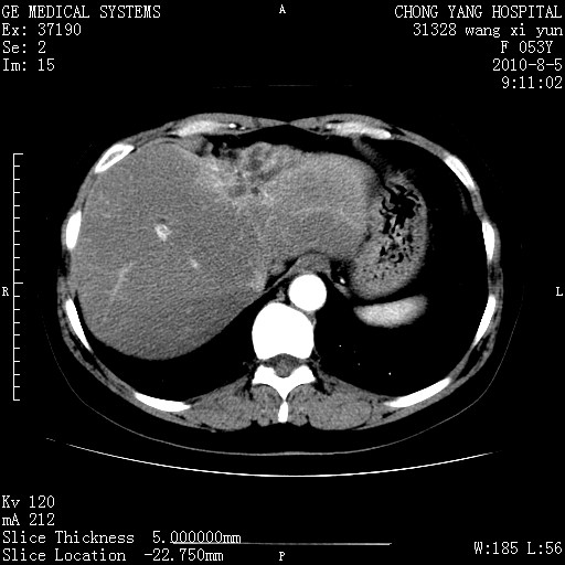
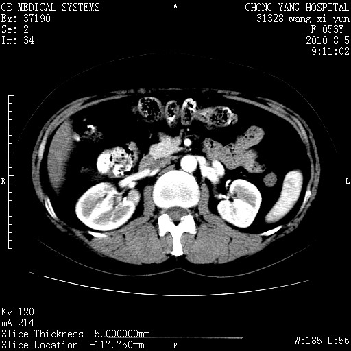
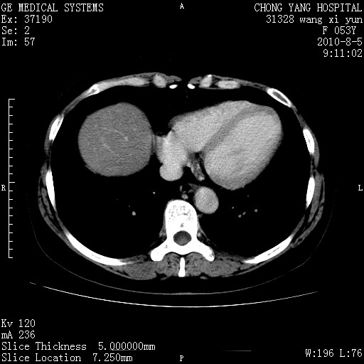
作者: 王国学    时间: 2010-8-6 15:58
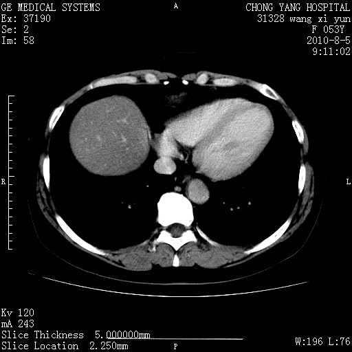
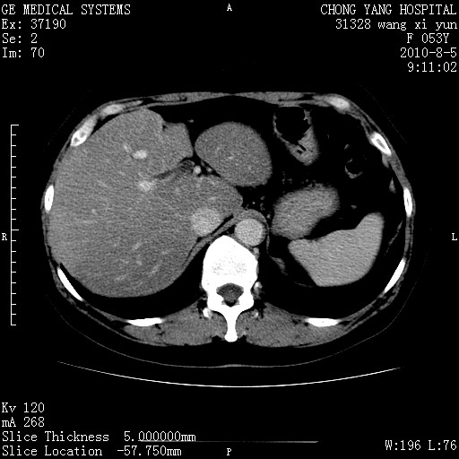
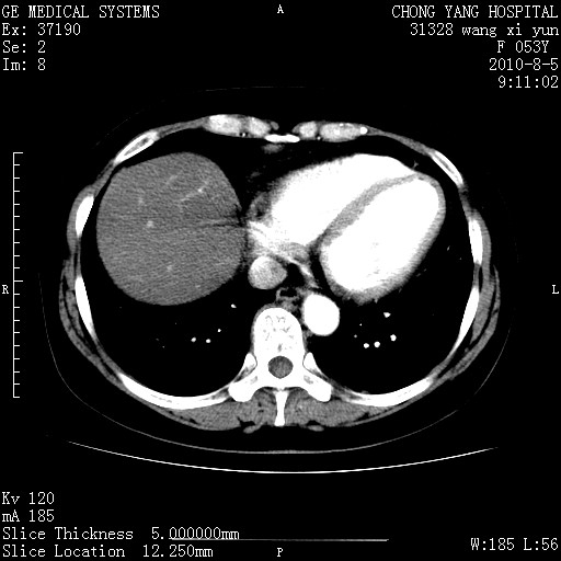
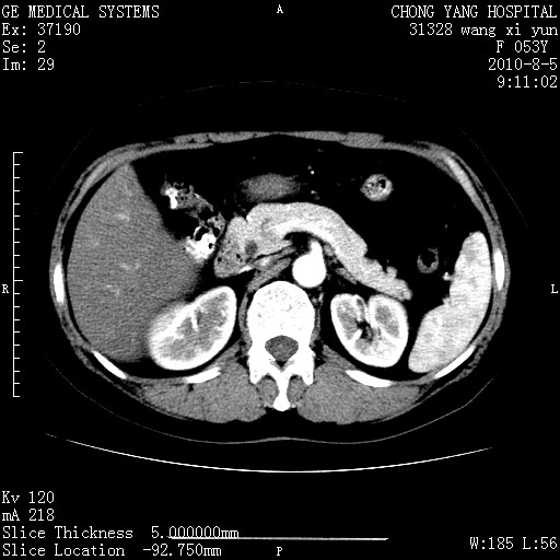
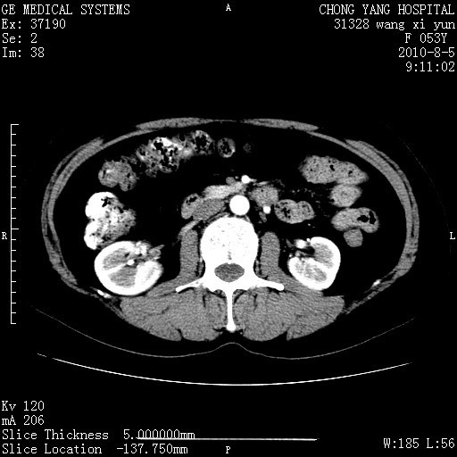
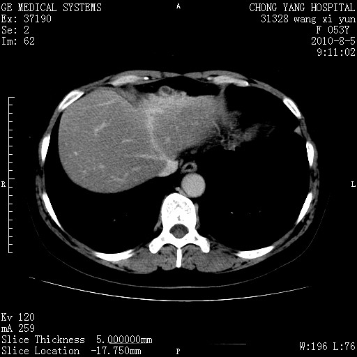
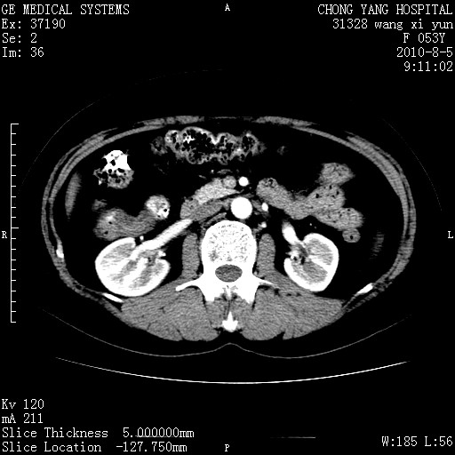
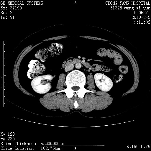
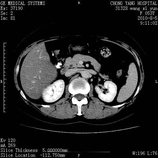
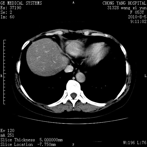
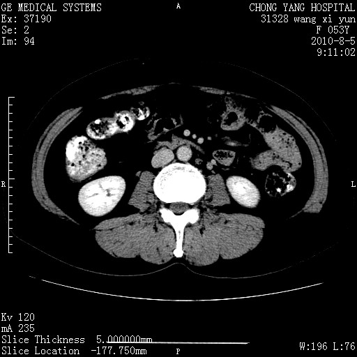
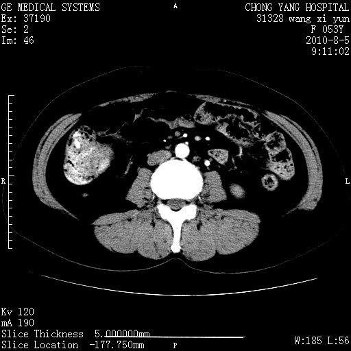
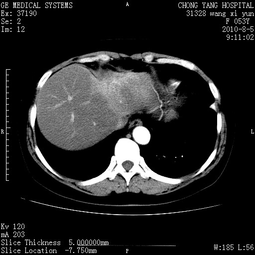
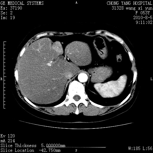
胆管细胞ca?
作者: 随光逐影    时间: 2010-8-6 18:40
1)考虑肝左叶胆管细胞癌。2)脂肪肝。
作者: 杀毒软件    时间: 2010-8-6 18:43
支持胆管细胞ca。




欢迎光临 医影在线 (http://bbs.radida.com/bbs/) Powered by Discuz! X3.2