医影在线

标题: CT28268:M50Y 头部外伤。 [打印本页]

作者: 37度    时间: 2010-8-8 20:43
标题: CT28268:M50Y 头部外伤。








[本贴已被 翁志蓬 于 2010-8-8 19:38:58 修改过]

作者: 心路寻觅    时间: 2010-8-8 21:23
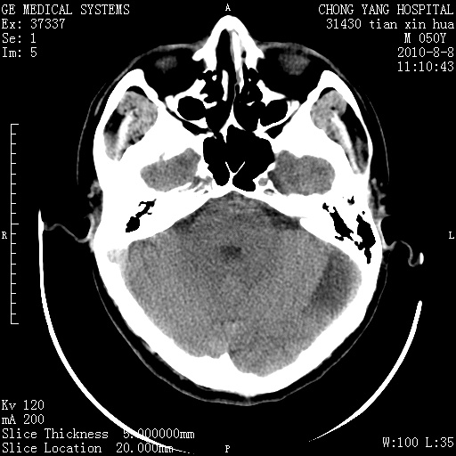
考虑左侧枕部硬膜下积液。
作者: 学无崖    时间: 2010-8-8 22:29
乙状窦增宽,蛛网膜囊肿不除外
作者: 随光逐影    时间: 2010-8-8 23:00
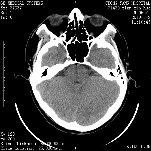
考虑左侧枕部蛛网膜囊肿;建议行mri检查。
作者: 施明    时间: 2010-8-8 23:16
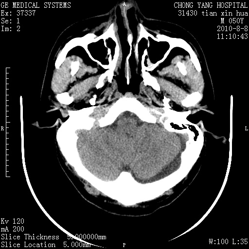
看看骨窗
作者: hzhhh1105    时间: 2010-8-9 00:15
病灶两端有脑膜尾征,考虑蛛网膜囊肿
作者: sdzyy    时间: 2010-8-9 00:23
考虑左侧枕部蛛网膜囊肿;建议行mri检查。
作者: xiongneo    时间: 2010-8-9 01:52
考虑左侧枕部蛛网膜囊肿;建议行mri检查。
作者: dr.yang    时间: 2010-8-9 02:40
标题: 回复:m50y 头部外伤。
以下是引用xiongneo在2010-8-8 17:52:00的发言:[br]考虑左侧枕部蛛网膜囊肿;建议行mri检查。  [br]  [br]

作者: zhaozejun1    时间: 2010-8-9 04:12
标题: 回复:ct28268:m50y 头部外伤。
以下是引用hzhhh1105在2010-8-8 16:15:00的发言:[br]病灶两端有脑膜尾征,考虑蛛网膜囊肿

作者: 卜一    时间: 2010-8-9 04:17
考虑左侧枕部蛛网膜囊肿;建议行mri检查。
作者: 小小医    时间: 2010-8-9 04:23
考虑左侧枕部蛛网膜囊肿;建议行mri检查。
作者: ziyoufeixiang    时间: 2010-8-9 04:51
虑左侧枕部蛛网膜囊肿;建议行mri检查。
作者: jsgdoctor    时间: 2010-8-9 05:04
考虑左侧枕部蛛网膜囊肿;建议行mri检查。
作者: jsdtd    时间: 2010-8-9 05:19
考虑左侧枕部蛛网膜囊肿;建议行mri检查。
作者: panyishengct    时间: 2010-8-9 05:45
以下是引用xiongneo在2010-8-8 17:52:00的发言:
考虑左侧枕部蛛网膜囊肿;建议行mri检查。
作者: 地球上的    时间: 2010-8-9 05:52
以下是引用hzhhh1105在2010-8-8 16:15:00的发言:
病灶两端有脑膜尾征,考虑蛛网膜囊肿
作者: 师医生    时间: 2010-8-9 06:22
考虑硬膜下积液,建议mri
作者: 王国学    时间: 2010-8-9 18:24
考虑左侧枕部蛛网膜囊肿;建议行mri检查
作者: 影像尖兵    时间: 2010-8-9 18:37
枕骨稍变薄,脑组织有受压。首先考虑蛛网膜囊肿。
作者: LIAOQIANG    时间: 2010-8-10 18:43
考虑左侧枕部蛛网膜囊肿;建议行mri检查。




欢迎光临 医影在线 (http://bbs.radida.com/bbs/) Powered by Discuz! X3.2