医影在线

标题: CT28269:F62Y咳嗽胸痛数月。 [打印本页]

作者: 37度    时间: 2010-8-8 20:47
标题: CT28269:F62Y咳嗽胸痛数月。

















































[本贴已被 翁志蓬 于 2010-8-8 19:41:00 修改过]

作者: 心路寻觅    时间: 2010-8-8 21:21
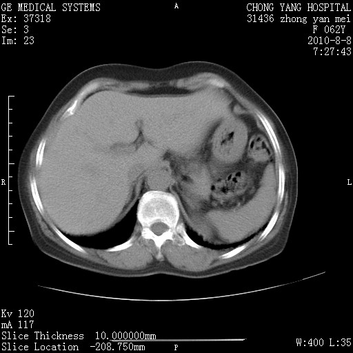
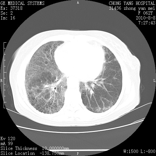
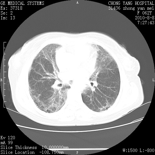
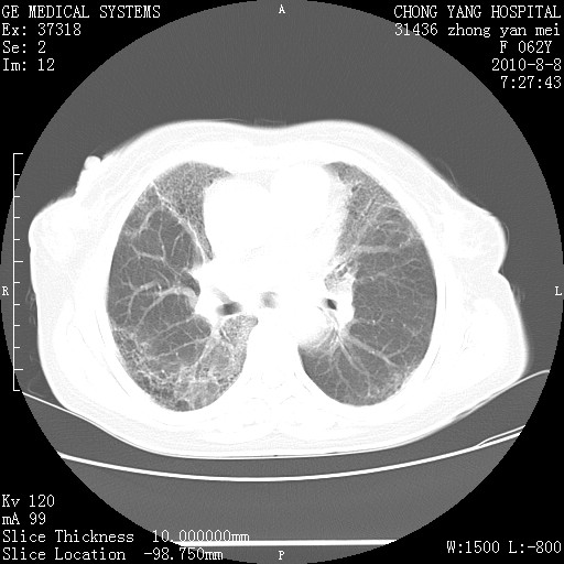
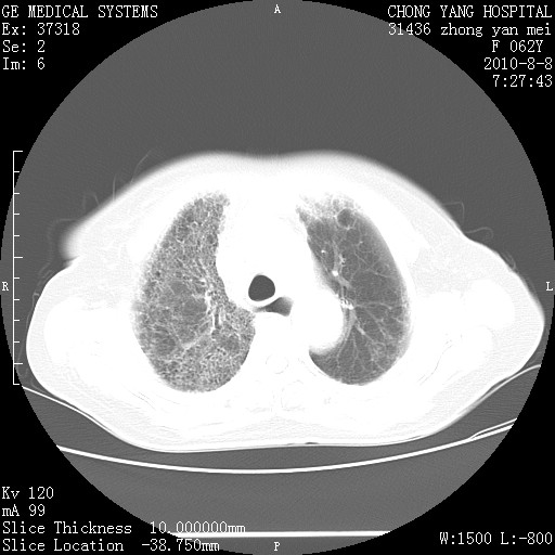
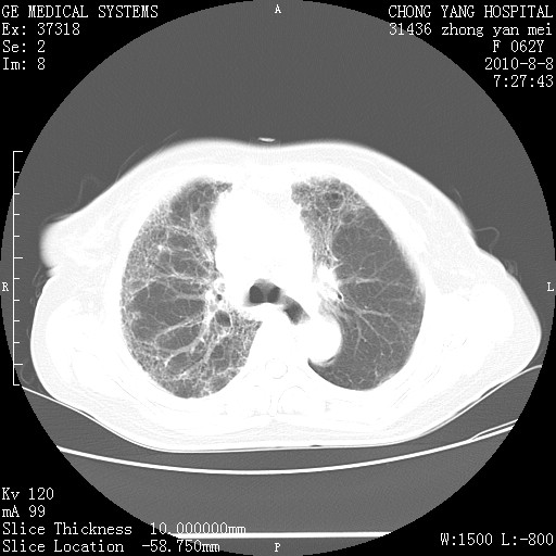
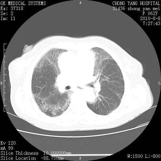
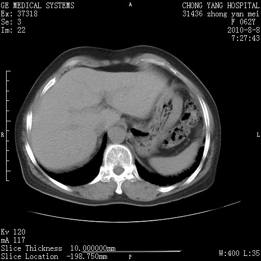
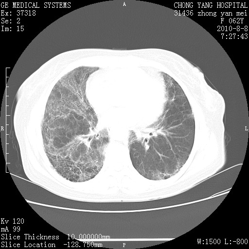
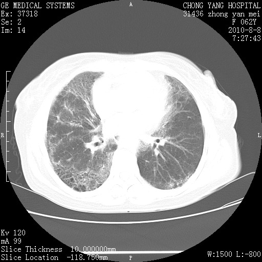
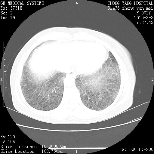
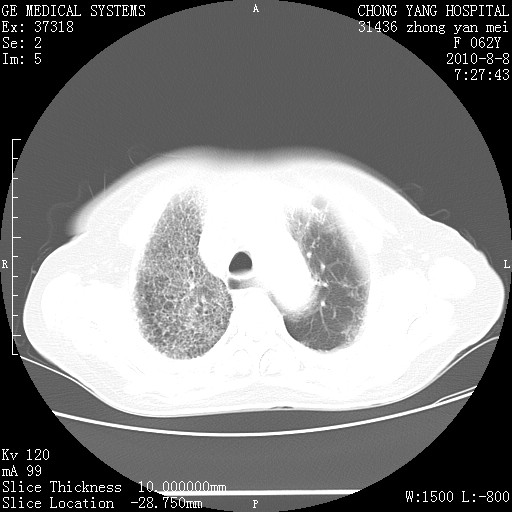
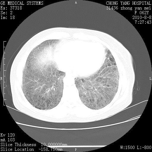
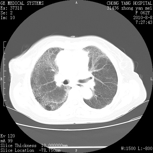
两肺弥漫性间质纤维化伴继发性支扩。
作者: 杀毒软件    时间: 2010-8-8 21:59
支持
作者: 学无崖    时间: 2010-8-8 22:25
考虑特发性肺间质纤维化
作者: 随光逐影    时间: 2010-8-8 23:02
考虑两肺间质性肺炎并肺间质纤维化。
作者: 施明    时间: 2010-8-8 23:19
纤维化
作者: sdzyy    时间: 2010-8-9 00:14
考虑特发性肺间质纤维化
作者: cfililiu    时间: 2010-8-9 00:16
肺间质纤维化合并感染
作者: z456    时间: 2010-8-9 00:23
双肺间质纤维化合并感染、肺气肿
作者: 彩虹心    时间: 2010-8-9 00:41
双肺间质纤维化
作者: jiazhirong    时间: 2010-8-9 01:28
双肺间质纤维化合并感染、肺气肿
作者: 快乐男生    时间: 2010-8-9 01:30
特发性的肺间质纤维化
作者: xiongneo    时间: 2010-8-9 01:54
两肺弥漫性间质纤维化伴继发性支扩。
作者: dr.yang    时间: 2010-8-9 02:34
两肺弥漫性间质纤维化伴继发性支扩。
另见右乳腺似有小钙化灶,建议进一步检查。
作者: 卜一    时间: 2010-8-9 04:15
特发性肺间质纤维化合并感染!
作者: dtw211    时间: 2010-8-9 04:37
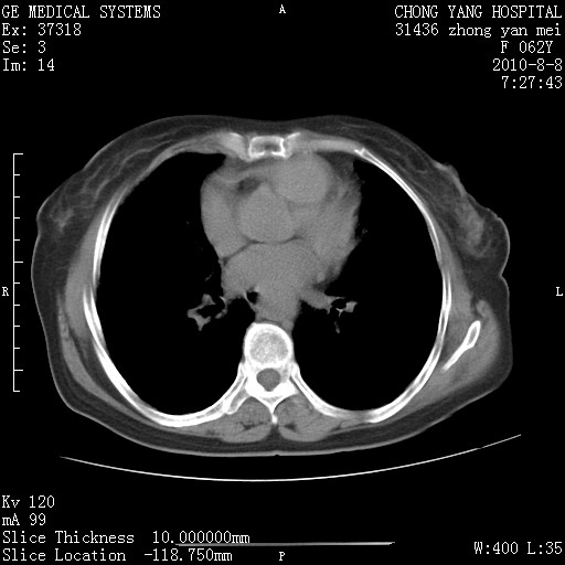
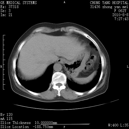
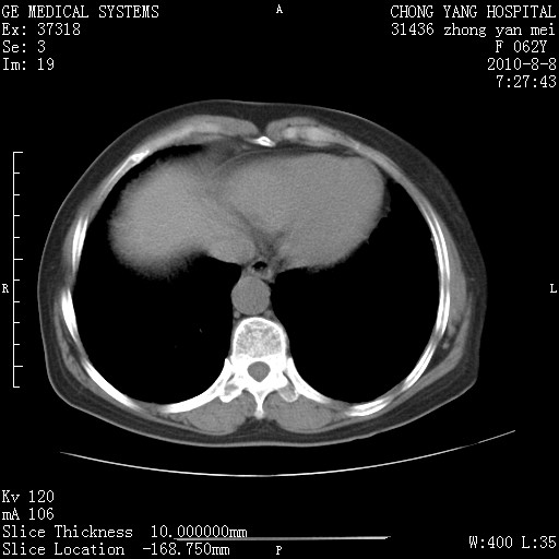
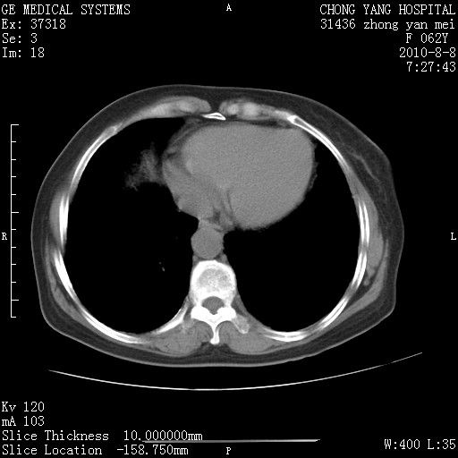
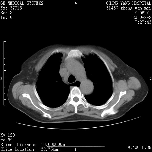
1.肺间质纤维化.
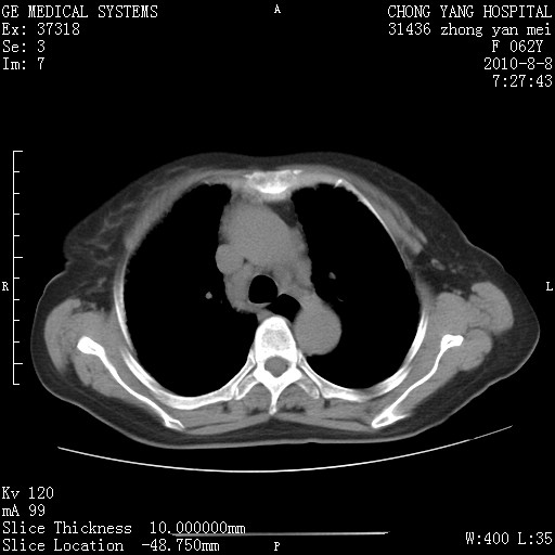
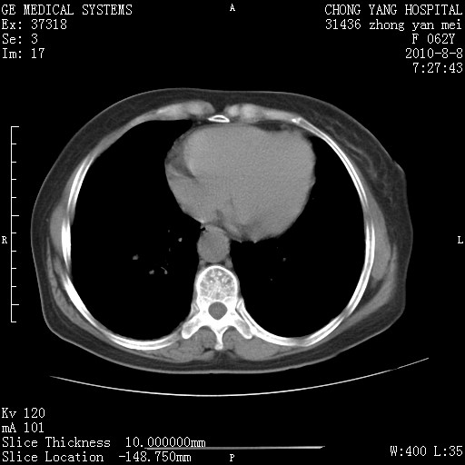
2.纵隔淋巴结肿大。
3.迷走右锁骨下动脉。
作者: 摘星空竹子    时间: 2010-8-9 04:58
两肺间质纤维化并牵拉性细支气管扩张。
作者: jsgdoctor    时间: 2010-8-9 05:10
考虑两肺间质性肺炎并肺间质纤维化,肺气囊形成。
作者: jsdtd    时间: 2010-8-9 05:21
考虑两肺间质性肺炎并肺间质纤维化。
作者: 地球上的    时间: 2010-8-9 05:58
考虑两肺间质性肺炎并肺间质纤维化,肺气囊形成。
作者: imageSS    时间: 2010-8-9 06:00
两肺间质改变,纵隔淋巴结肿大,需要考虑结节病的可能。
作者: 王国学    时间: 2010-8-9 18:27
1.肺间质纤维化.
2.纵隔淋巴结肿大。
3.迷走右锁骨下动脉。
作者: LIAOQIANG    时间: 2010-8-10 18:39
考虑两肺间质性肺炎并肺间质纤维化。




欢迎光临 医影在线 (http://bbs.radida.com/bbs/) Powered by Discuz! X3.2