医影在线

标题: CT28270:胰管扩张,肝多发占位 [打印本页]

作者: rongzhangyile    时间: 2010-8-8 23:25
标题: CT28270:胰管扩张,肝多发占位
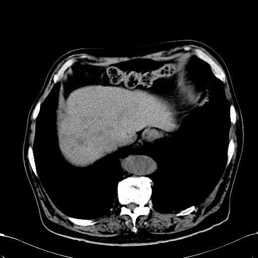
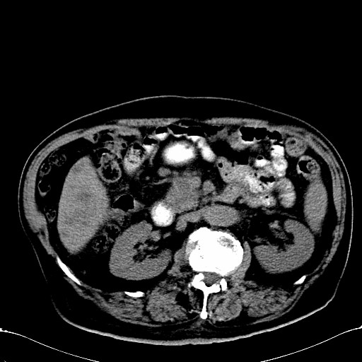
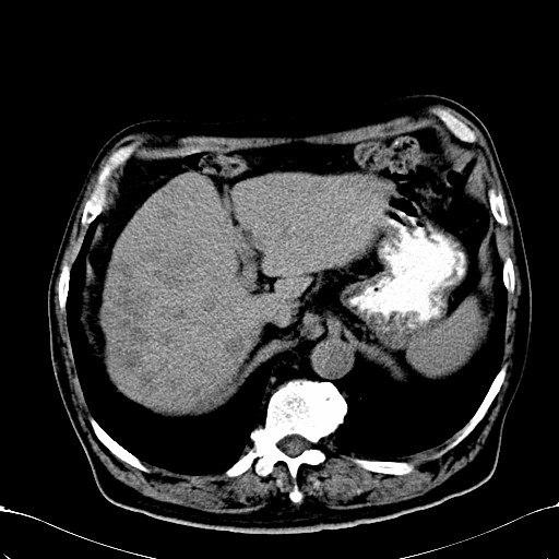
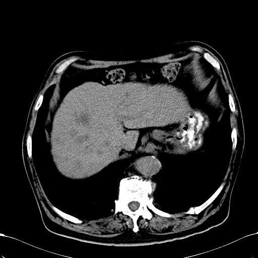
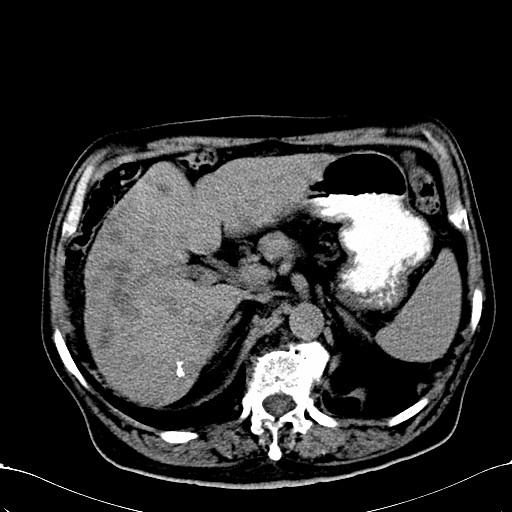
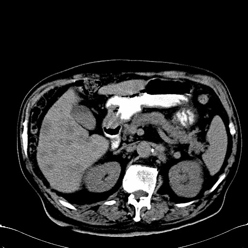
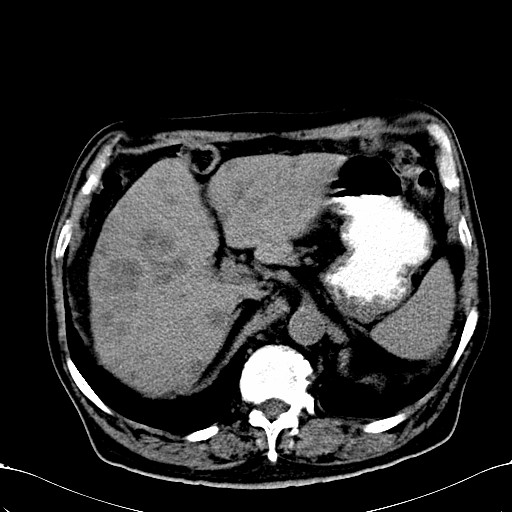
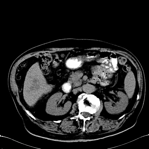
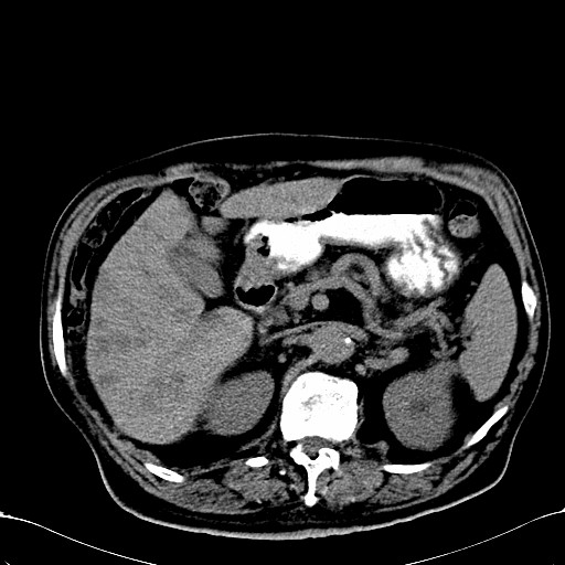
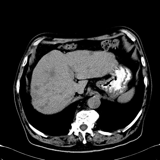
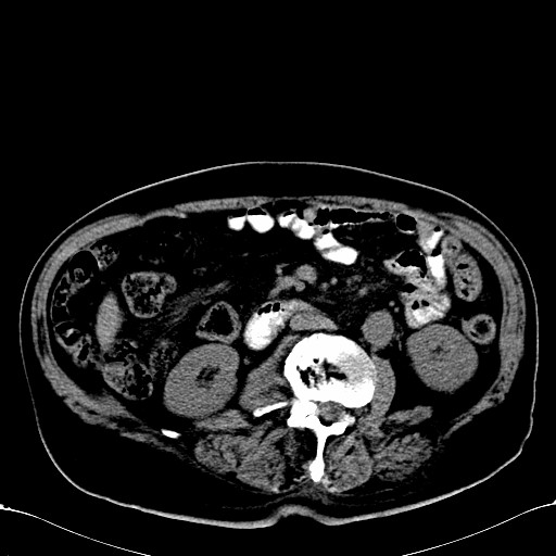
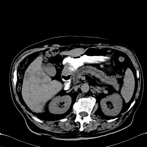
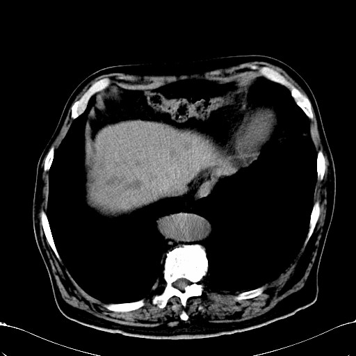
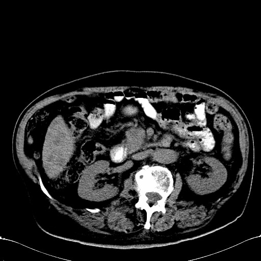
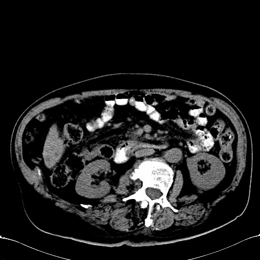
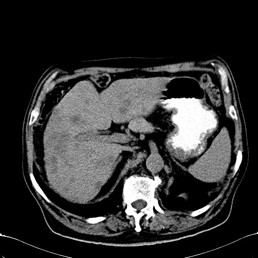
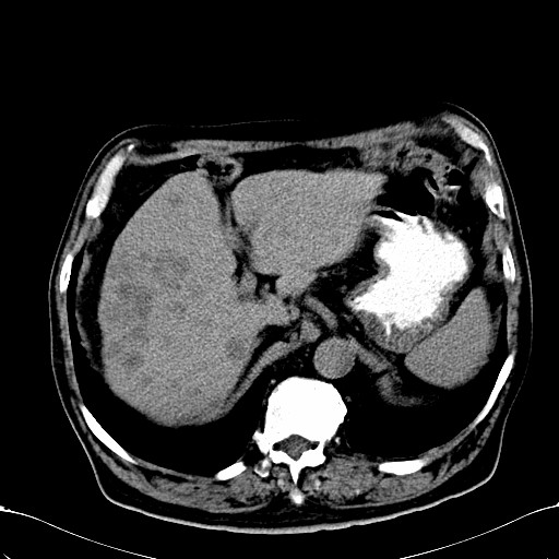
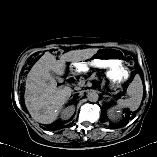
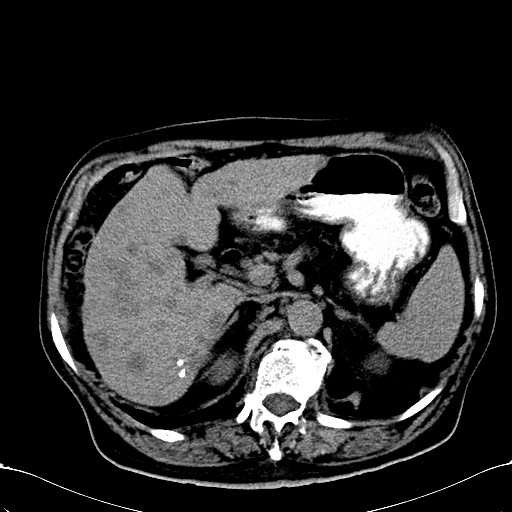
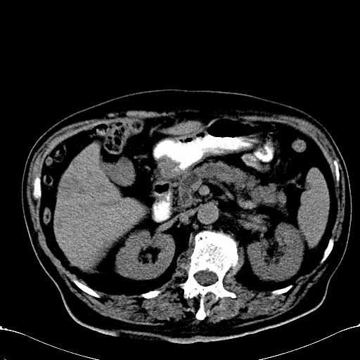
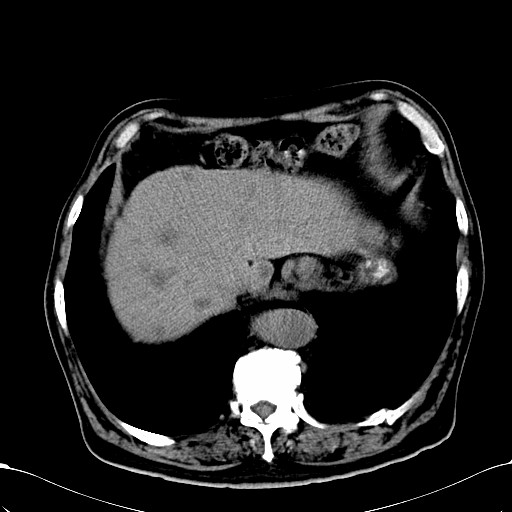
患者,男,75岁。



























[本贴已被 翁志蓬 于 2010-8-8 19:46:57 修改过]

作者: zsl6918    时间: 2010-8-8 23:35
考虑胰腺钩突癌并肝内转移,建议强化明确。
作者: 随光逐影    时间: 2010-8-8 23:44
1)考虑胰头癌并肝脏多发性转移;建议行ct增强扫描检查。2)胃窦癌?建议行胃镜检查。
作者: 学无崖    时间: 2010-8-9 00:00
标题: 回复:胰管扩张,肝多发占位
以下是引用随光逐影在2010-8-8 15:44:00的发言:[br]1)考虑胰头癌并肝脏多发性转移;建议行ct增强扫描检查。2)胃窦癌?建议行胃镜检查。

作者: 影之恋    时间: 2010-8-9 00:06
胰管有扩张,位置比较低,同意楼上几位高手意见。肝内转移可能大,建议增强。
作者: hzhhh1105    时间: 2010-8-9 00:07
胰头癌并肝脏多发性转移;建议行ct增强扫描检查。2)胃窦癌?建议行胃镜检查。-----支持
作者: sdzyy    时间: 2010-8-9 00:08
考虑胰腺钩突癌并肝内转移,建议强化明确。
作者: cfililiu    时间: 2010-8-9 00:12
胃窦癌肝转移
作者: 心路寻觅    时间: 2010-8-9 00:14
支持考虑胰头癌并肝脏多发性转移,建议行ct增强扫描检查。
作者: 彩虹心    时间: 2010-8-9 00:38
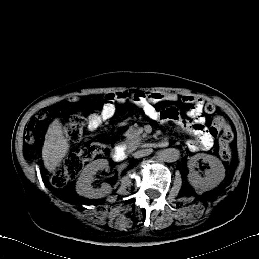
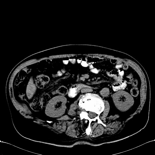
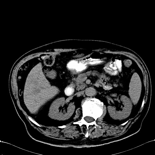
肝脏多方低密度结节,边缘模糊,考虑多发转移,胰管明显扩张,建议增强扫描钩突情况
作者: jiazhirong    时间: 2010-8-9 01:22
考虑胰腺钩突癌并肝内转移,建议强化明确。
作者: 影象小辈    时间: 2010-8-9 01:55
考虑胰腺钩突癌并肝内转移,建议强化明确。
作者: xiongneo    时间: 2010-8-9 01:56
胰头癌并肝脏多发性转移;建议行ct增强扫描检查。2)胃窦癌?建议行胃镜检查。-----支持
作者: znxyyctyy    时间: 2010-8-9 03:00
为什么没有胆管扩张?
作者: 蓬莱客    时间: 2010-8-9 03:06
考虑胰腺钩突癌并肝内转移,建议增强扫描进一步检查。
作者: rongzhangyile    时间: 2010-8-9 03:20
为什么没有胆管扩张?
作者: 卜一    时间: 2010-8-9 04:03
建议行ct增强扫描检查。
作者: ljj8935    时间: 2010-8-9 04:51
考虑胰腺钩突癌并肝内转移,建议强化明确。
作者: jsgdoctor    时间: 2010-8-9 05:17
考虑胃窦癌伴肝转移。
作者: 地球上的    时间: 2010-8-9 06:24
考虑胰腺钩突癌并肝内转移,建议增强扫描进一步检查。
作者: imageSS    时间: 2010-8-9 06:25
肝脏多发低密度灶,胰头似呈低密度,胰管扩张,建议增强,
作者: 师医生    时间: 2010-8-9 06:27
考虑胰头癌并肝脏多发性转移,建议行ct增强扫描检查。
作者: panyishengct    时间: 2010-8-9 06:46
支持考虑胰头癌并肝脏多发性转移,建议行ct增强扫描检查。
作者: 王国学    时间: 2010-8-9 18:32
考虑胰头癌并肝脏多发性转移,建议行ct增强扫描检查
作者: lirenxiong    时间: 2010-8-9 19:48
胰管显著扩张,但胆总管未见扩张征象,不太符合胰头占位!考虑慢性胰腺炎.胃窦占位并肝内转移可能!mrcp胃镜增强一起上!
作者: lyb999    时间: 2010-8-10 01:17
胰头癌并肝脏多发性转移;建议行ct增强扫描检查。2)胃窦癌
作者: LIAOQIANG    时间: 2010-8-10 18:32
支持考虑胰头癌并肝脏多发性转移,建议行ct增强扫描检查。




欢迎光临 医影在线 (http://bbs.radida.com/bbs/) Powered by Discuz! X3.2