医影在线
标题: PED3413:患儿女6天体检 [打印本页]
作者: 程晓菲 时间: 2010-8-9 19:34
标题: PED3413:患儿女6天体检










































[本贴已被 jiajie 于 2010-8-9 21:53:34 修改过]
作者: zhb 时间: 2010-8-10 02:19
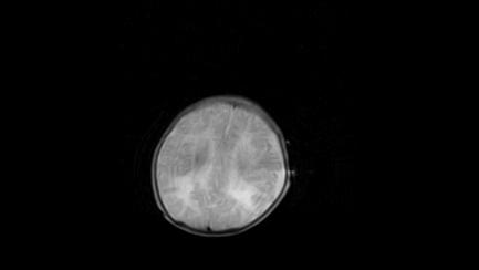
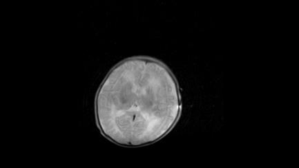
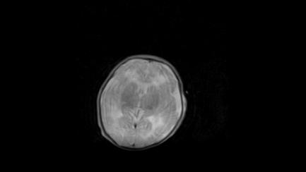
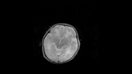
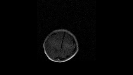
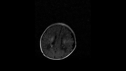
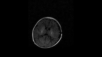
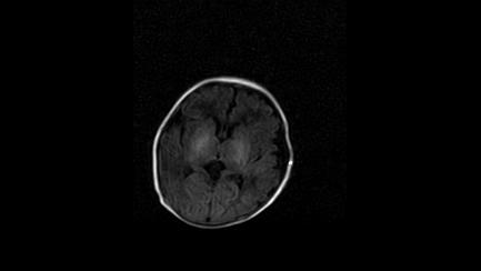
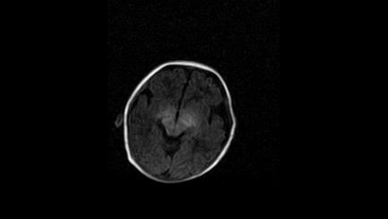
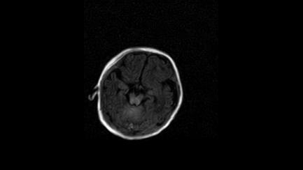
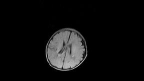
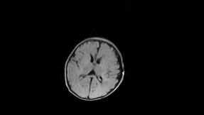
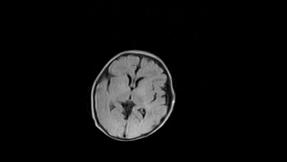
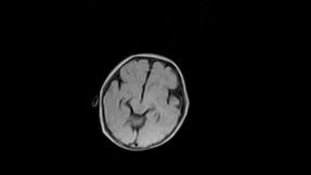
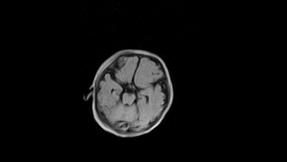
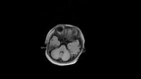
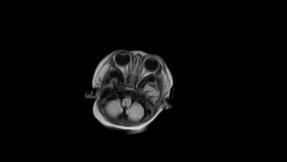
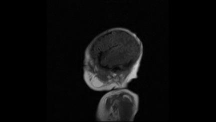
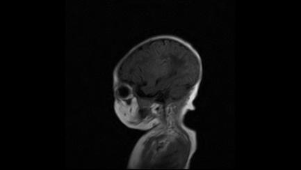
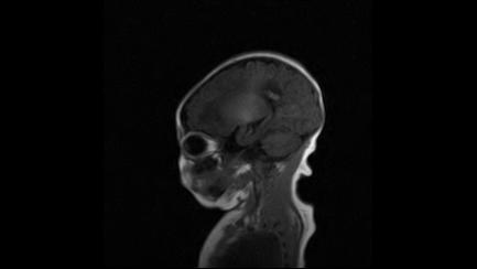
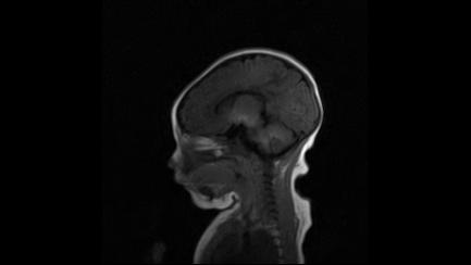
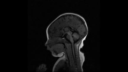
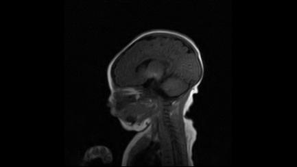
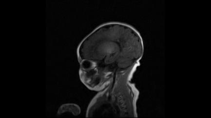
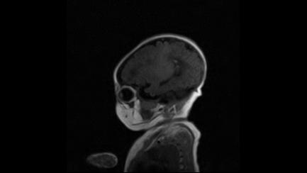
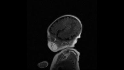
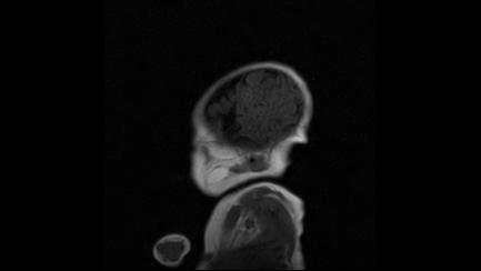
缺血缺氧性脑病
作者: 自贡刘剑 时间: 2010-8-10 03:49
正常
作者: pujunzhi 时间: 2010-8-10 04:03
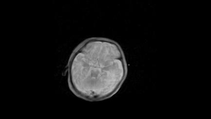
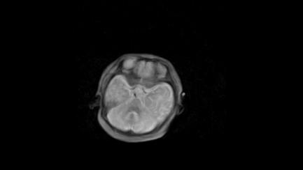
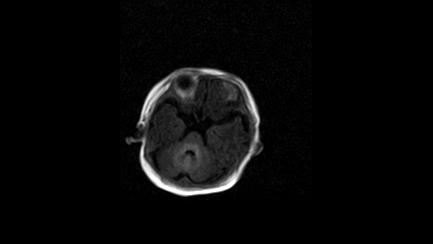
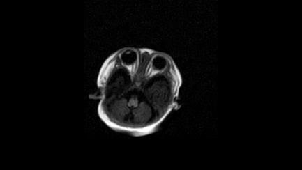
6天为新生儿,髓鞘发育正常;左侧颞顶叶蛛网膜下腔增宽,请结合临床。
作者: yxwsd 时间: 2010-8-10 05:09
1。缺血缺氧性脑病2。左侧颞顶叶外部性脑积水,可观察
图太小了...
作者: 随光逐影 时间: 2010-8-10 14:57
未见明确异常。
作者: 余辉 时间: 2010-8-10 16:07
标题: 1
半卵圆中心上方层上可见对和乐大脑皮质t1高信号,考虑有hie可能,不知有何症状,建议加做dwi及复查
[本贴已被 余辉 于 2010-8-10 8:22:53 修改过]
作者: 拾荒者 时间: 2010-8-11 04:11
符合缺氧缺血性脑病影像表现。
| 欢迎光临 医影在线 (http://bbs.radida.com/bbs/) |
Powered by Discuz! X3.2 |