医影在线

标题: CT28280:腹部增强:女性,80岁 [打印本页]

作者: 网事随风    时间: 2010-8-9 20:49
标题: CT28280:腹部增强:女性,80岁
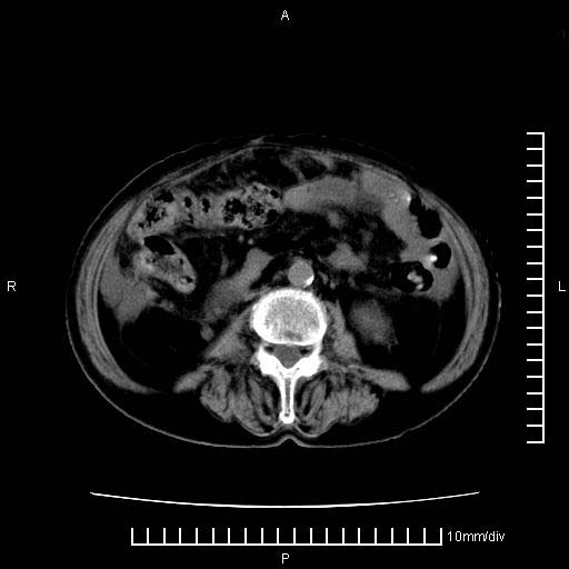
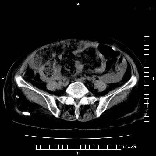
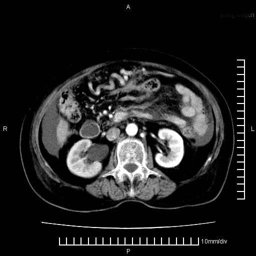
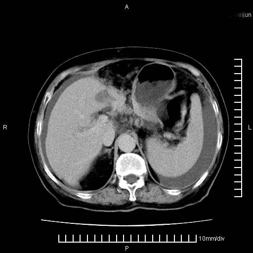
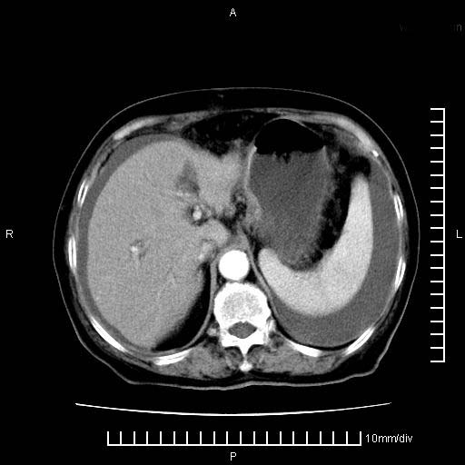
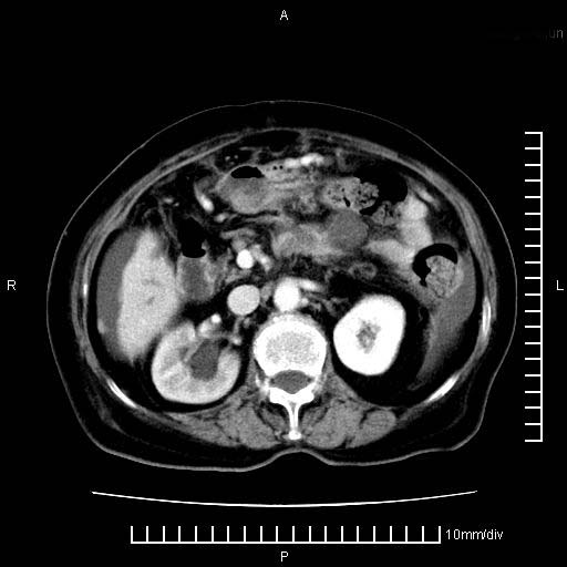
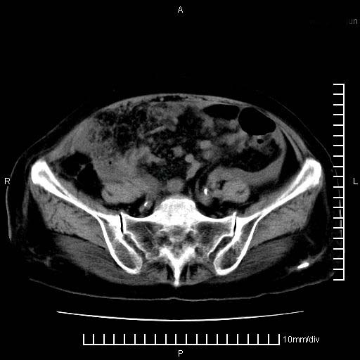
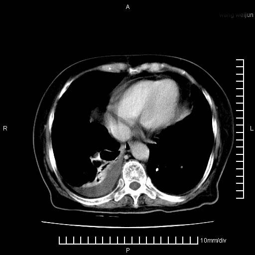
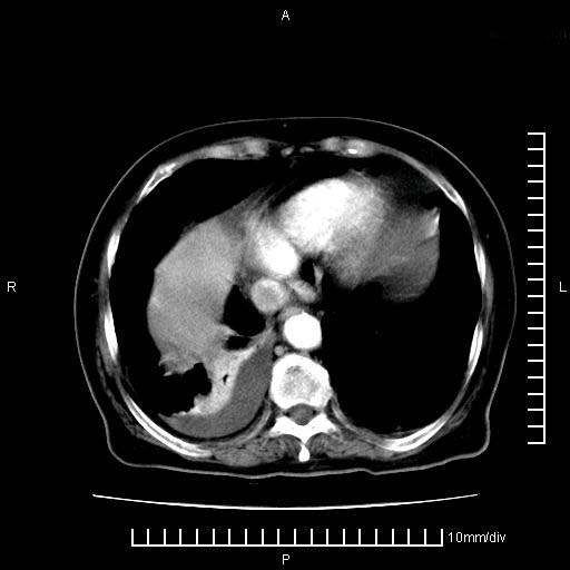
上腹疼痛月余,外院核磁诊断胰腺癌。现临床示右下腹可明显触及包块,可片子上怎么没有看到?

























































































[本贴已被 翁志蓬 于 2010-8-9 21:14:01 修改过]

作者: jsdtd    时间: 2010-8-9 21:35
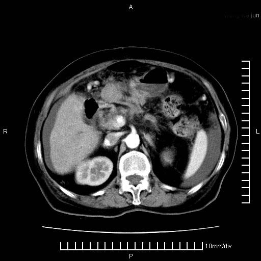
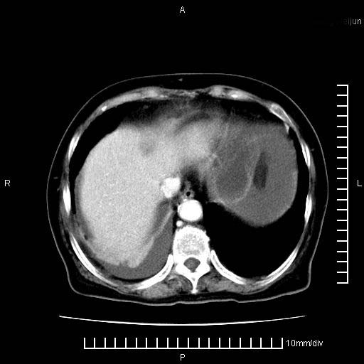
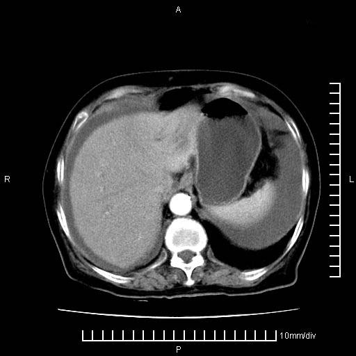
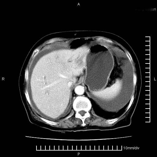
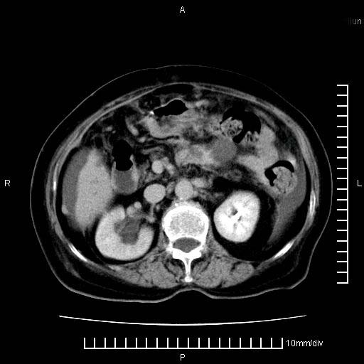
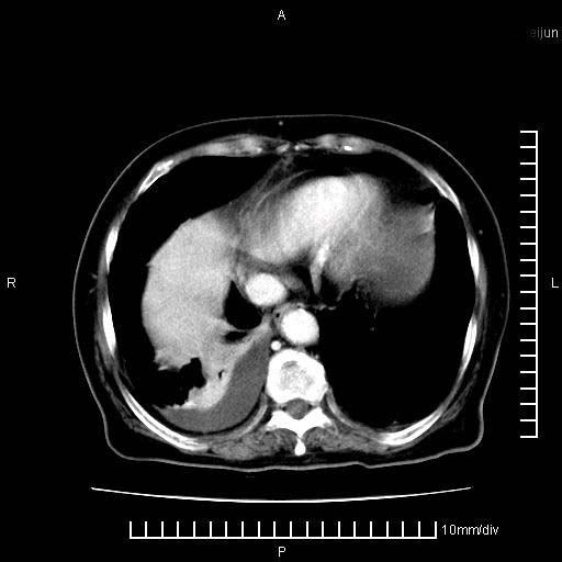
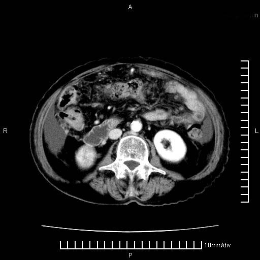
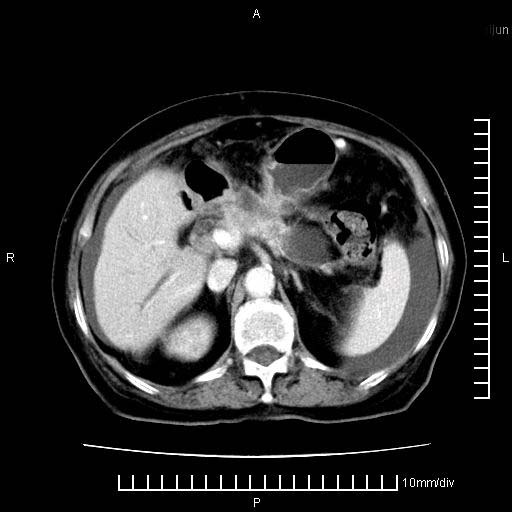
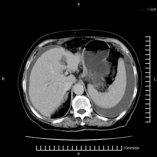
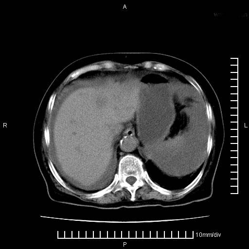
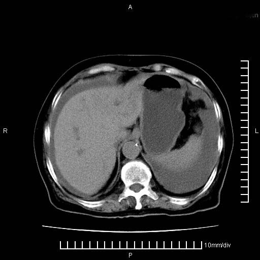
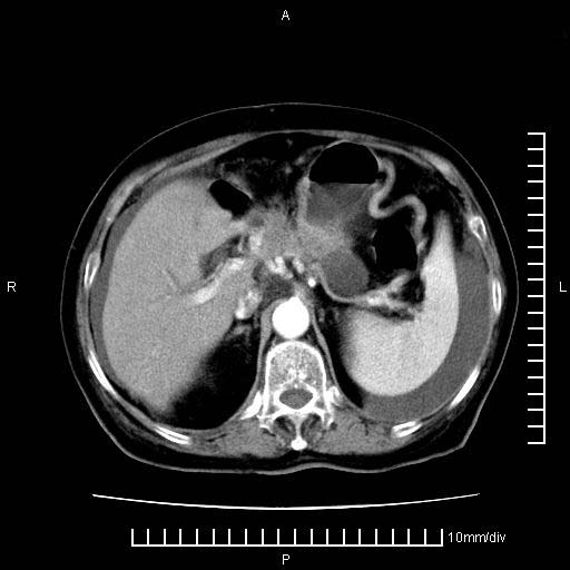
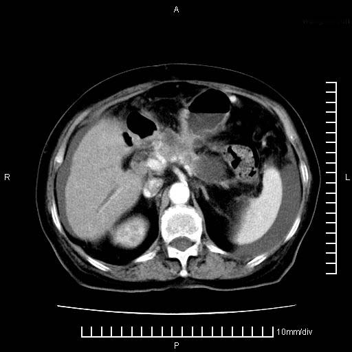
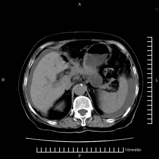
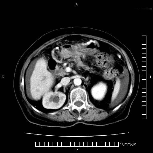
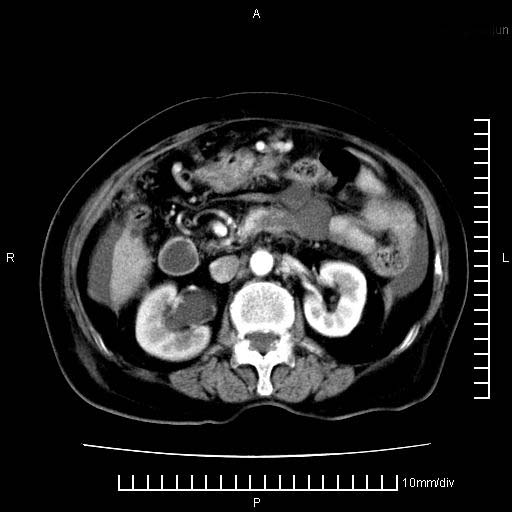
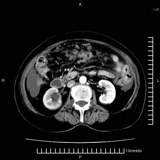
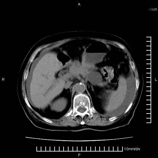
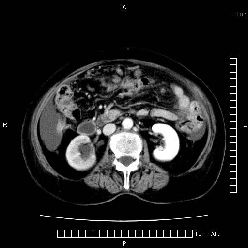
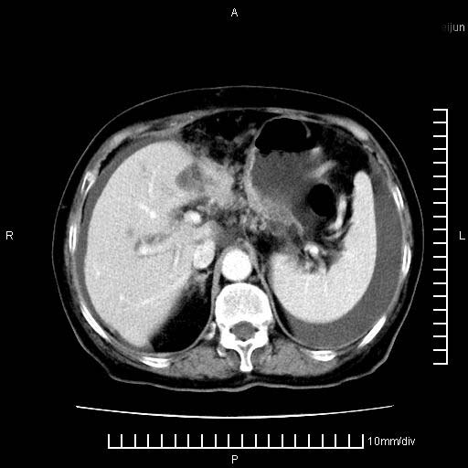
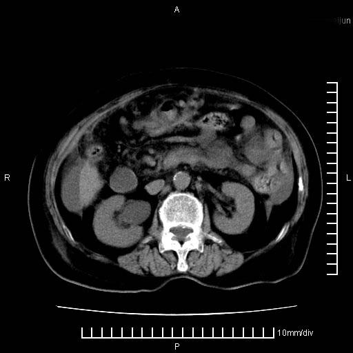
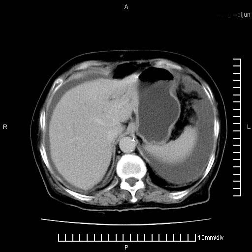
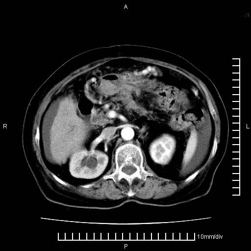
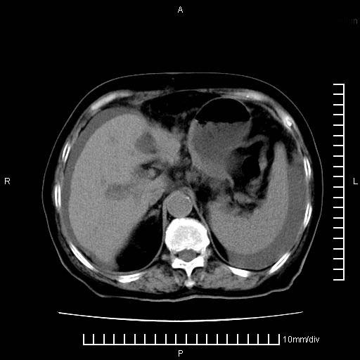
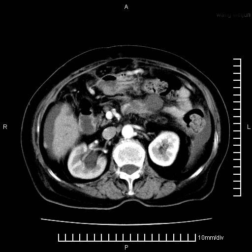
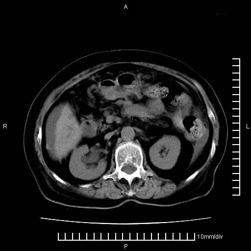
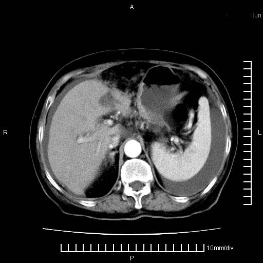
1.胰腺颈体部癌。
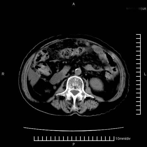
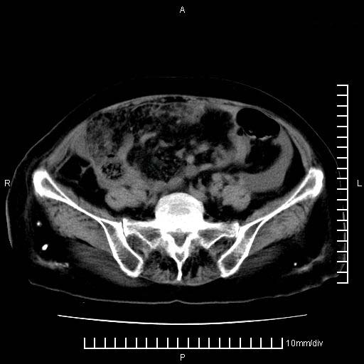
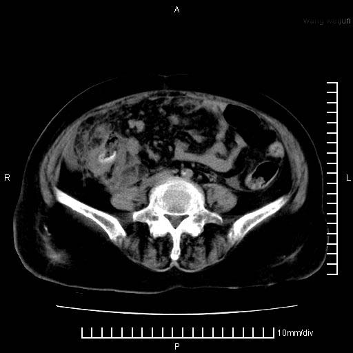
2。腹腔积液。
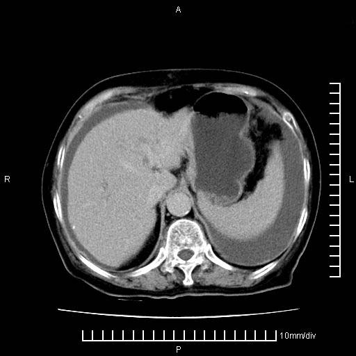
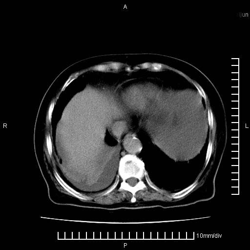
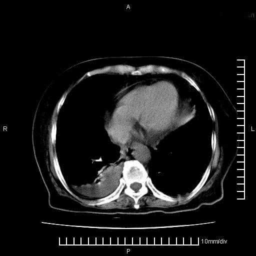
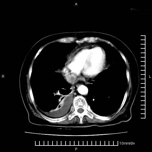
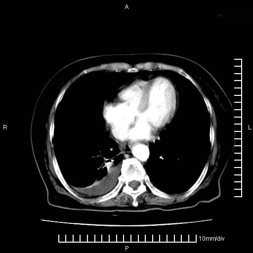
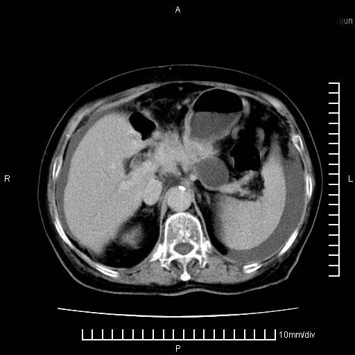
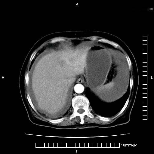
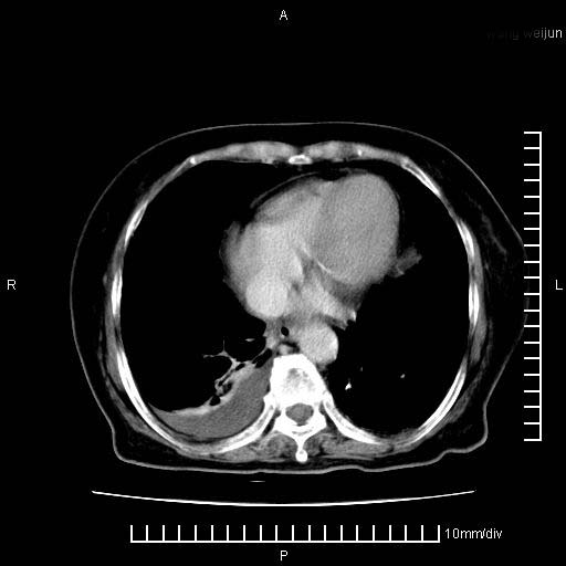
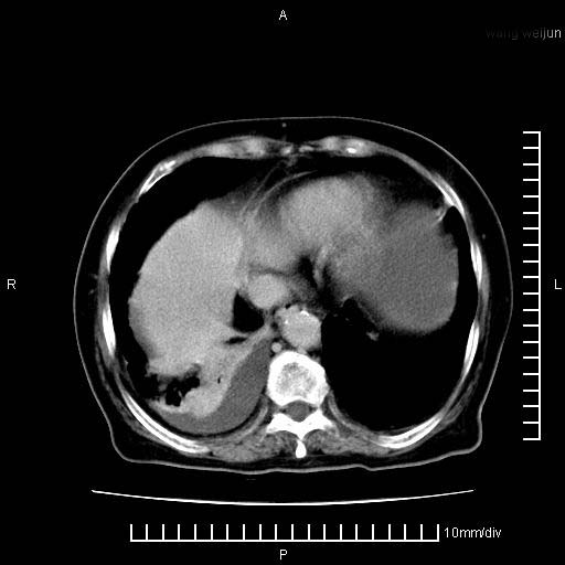
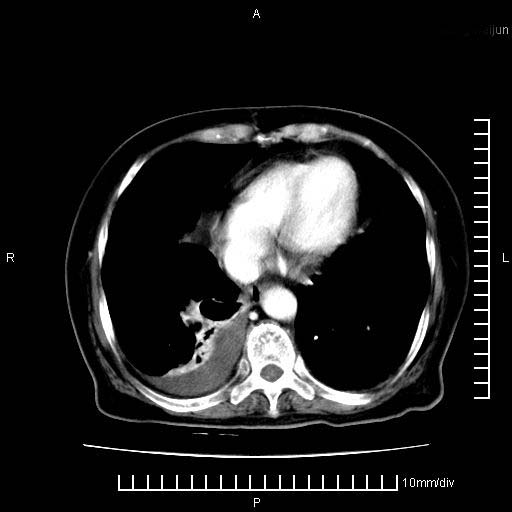
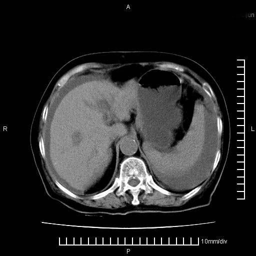
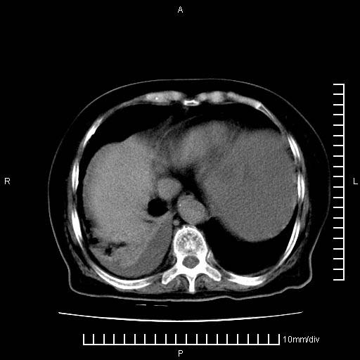
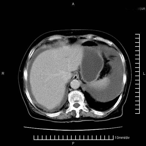
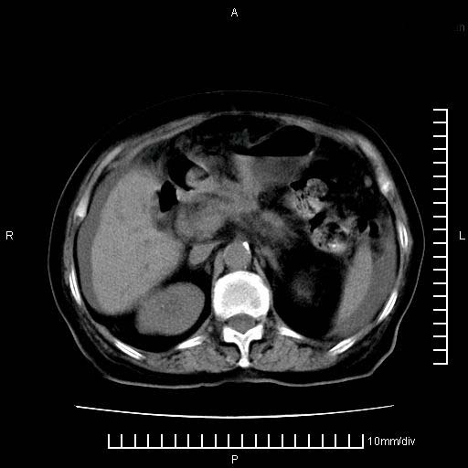
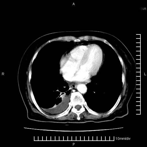
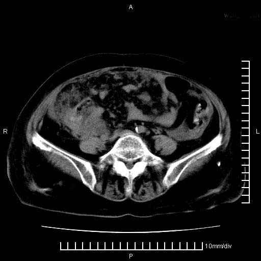
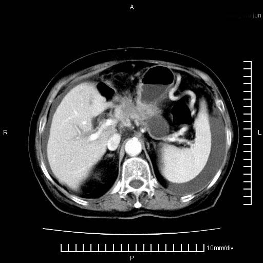
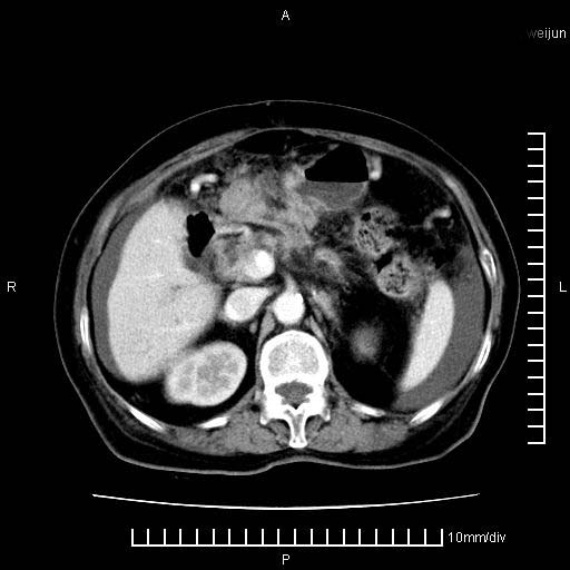
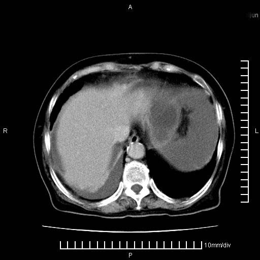
3。右胸腔积液,伴右肺下叶部分萎陷。
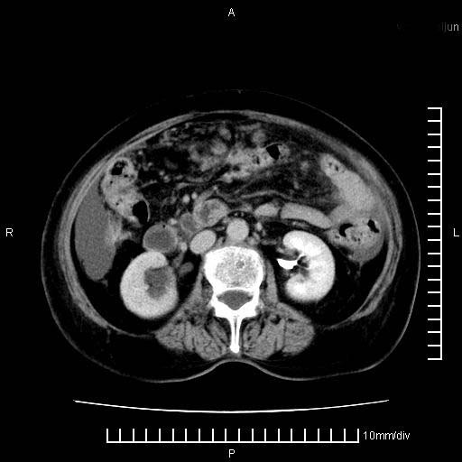
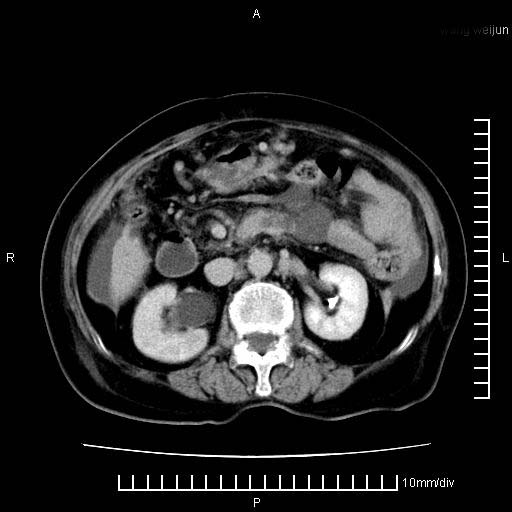
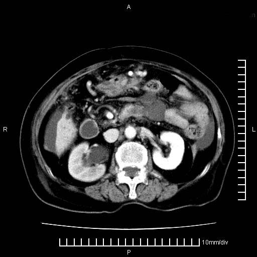
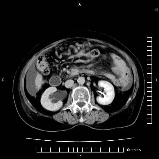
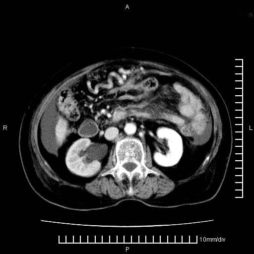
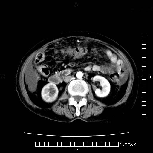
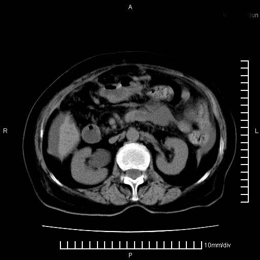
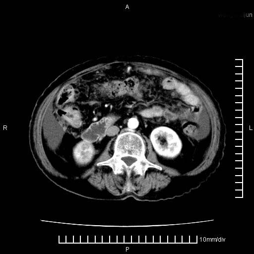
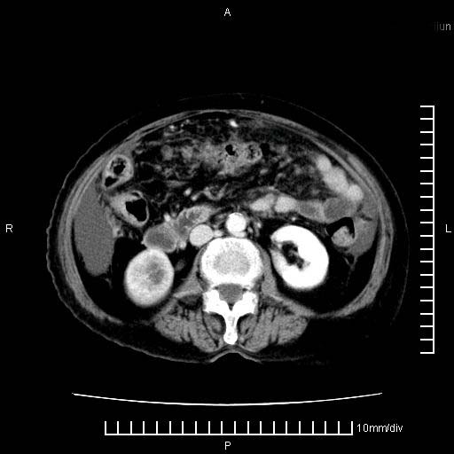
4。右肾盂囊肿。
作者: cfililiu    时间: 2010-8-10 00:31
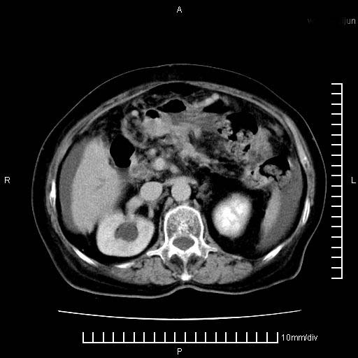
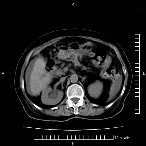
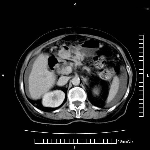
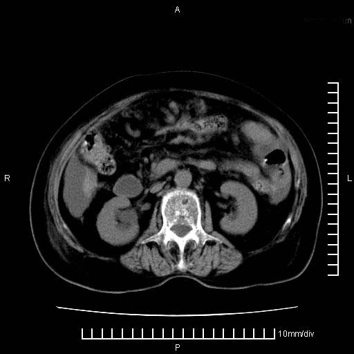
胰腺体部癌累及周围器官,腹膜、粘连
作者: 学无崖    时间: 2010-8-10 01:43
1。胰腺ca伴腹膜腔转移
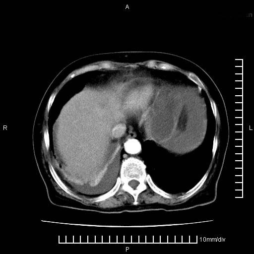
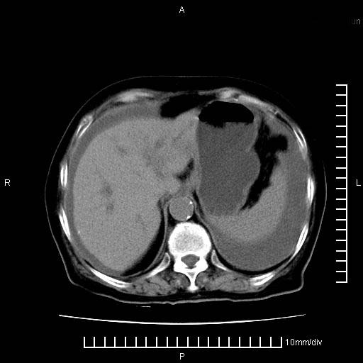
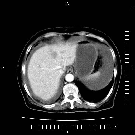
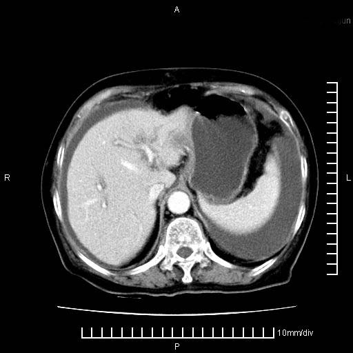
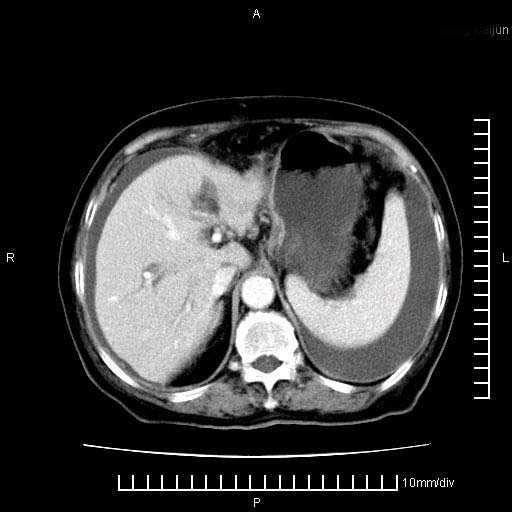
2。肝左叶低密度灶,考虑转移可能
3。右胸腔积液,伴右肺下叶部分萎陷。
4。右肾盂囊肿。
作者: hzhhh1105    时间: 2010-8-10 04:02
胰腺体部癌累及周围器官,腹膜、粘连,临床摸到的可能是粘的组织
作者: zsl6918    时间: 2010-8-10 06:03
支持胰腺癌肝内转移,腹水改变。
作者: jsgdoctor    时间: 2010-8-10 06:23
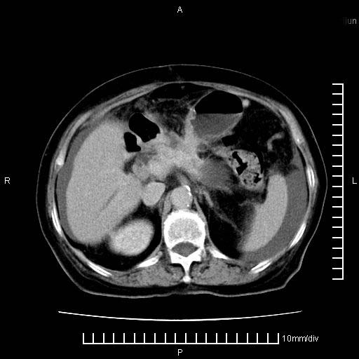
胰腺结构模糊,胰尾部见囊性包块,周围脂肪密度增高,左肾前筋膜增厚,胸水、腹水。不符合胰腺ca伴腹膜腔转移。考虑胰腺炎伴假性囊肿形成、胸腹腔积液。
右肾盂囊肿。
作者: 地球上的    时间: 2010-8-10 06:49
1、考虑胰腺癌伴腹膜腔转移,胸腹水。
2、肝脏转移可能。
3、右肾盂囊肿。
作者: 随光逐影    时间: 2010-8-10 15:31
1)考虑胰腺癌并胰腺假性囊肿形成。2)肝内低密度灶,不排除转移。3)右肾盂积水。4)腹水。5)右侧胸腔积液并右肺下叶部分膨胀不全。
作者: jiazhirong    时间: 2010-8-10 17:01
胰腺结构模糊,胰尾部见囊性包块,周围脂肪密度增高,左肾前筋膜增厚,胸水、腹水。不符合胰腺ca伴腹膜腔转移。考虑胰腺炎伴假性囊肿形成、胸腹腔积液。
右肾盂囊肿。
作者: LIAOQIANG    时间: 2010-8-10 18:06
考虑胰腺ca伴腹膜腔转移、肝左叶转移、右肾积水。右胸腔积液。
作者: dr.yang    时间: 2016-4-4 15:16

考虑胰腺ca伴腹膜腔转移、肝左叶转移、右肾积水。右胸腔积液。支持




欢迎光临 医影在线 (http://bbs.radida.com/bbs/) Powered by Discuz! X3.2