医影在线

标题: CT28285:听力下降一年,头昏。 [打印本页]

作者: 37度    时间: 2010-8-10 01:14
标题: CT28285:听力下降一年,头昏。


















































[本贴已被 jiajie 于 2010-8-9 21:16:18 修改过]

作者: sdzyy    时间: 2010-8-10 01:23
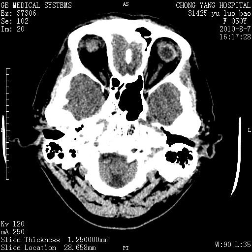
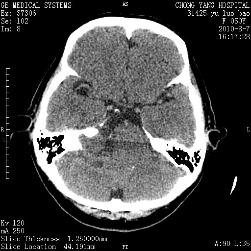
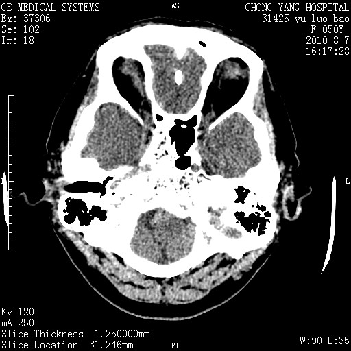
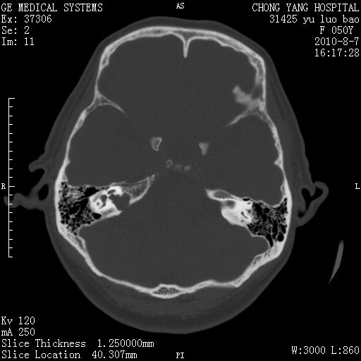
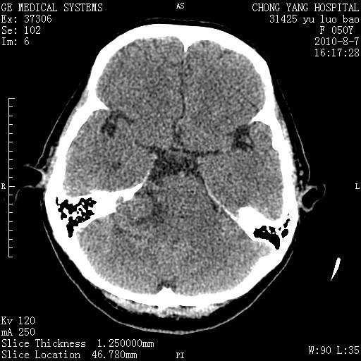
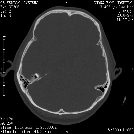
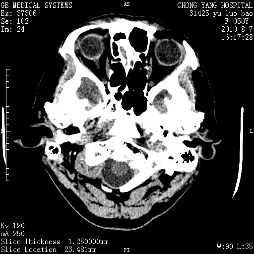
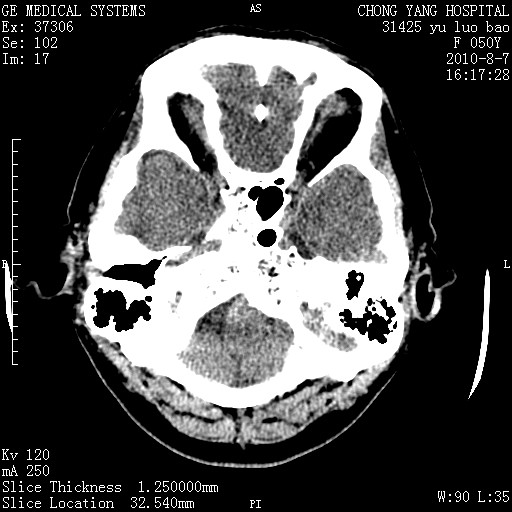
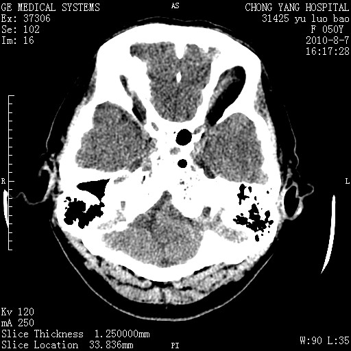
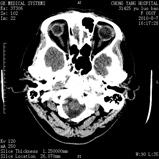
右侧桥小脑角区占位--听神经瘤,建议增强或mri检查。
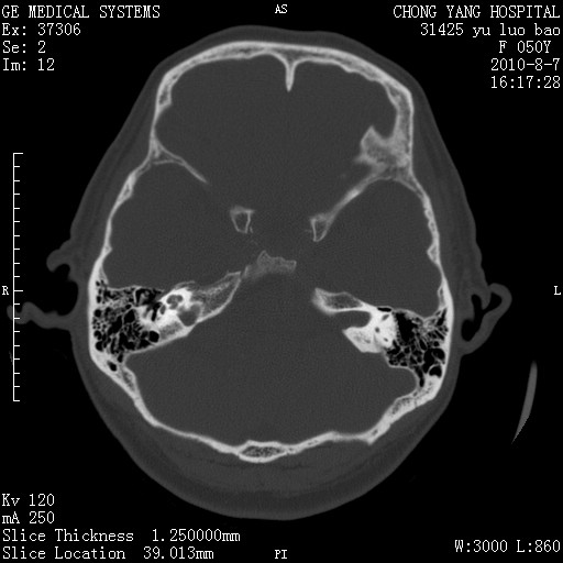
作者: 光线    时间: 2010-8-10 01:25
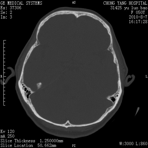
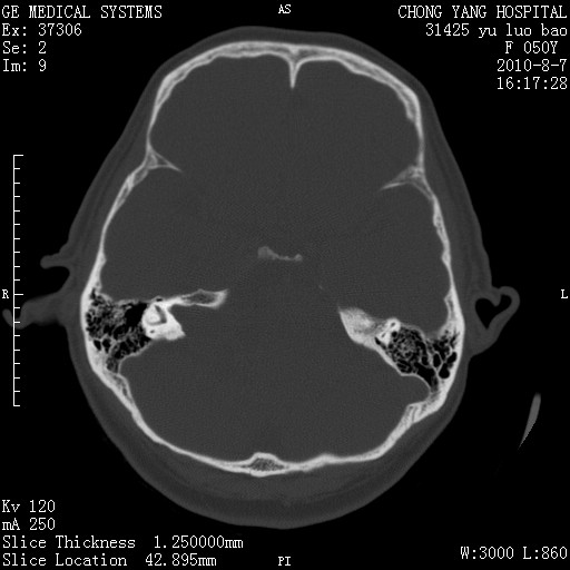
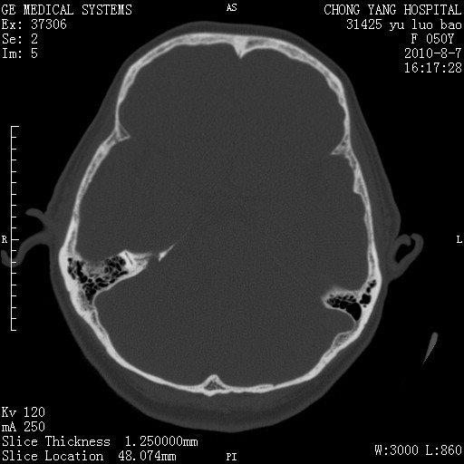
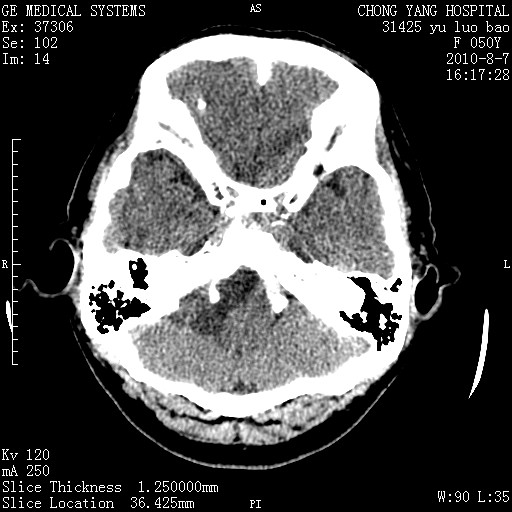
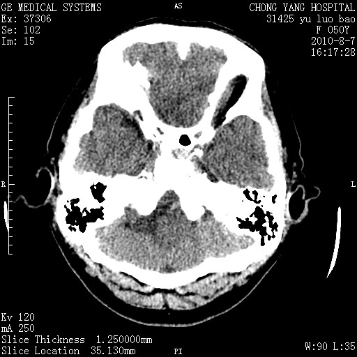
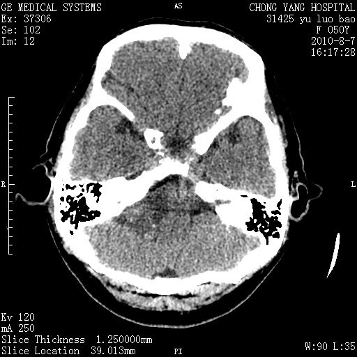
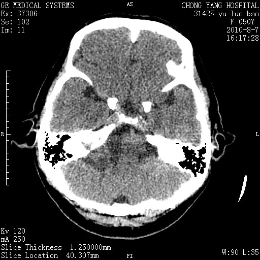
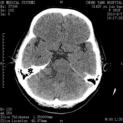
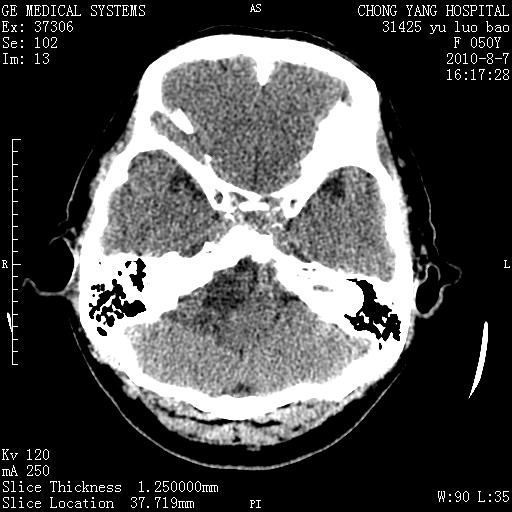
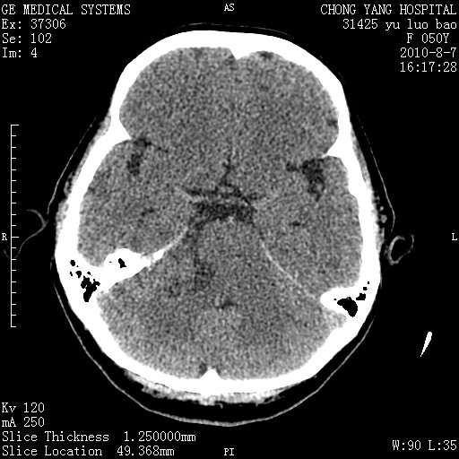
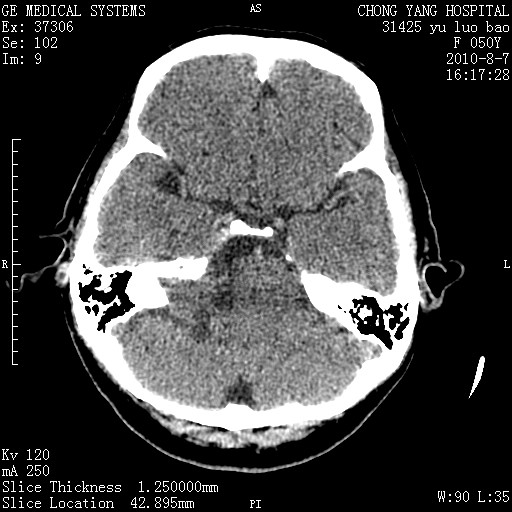
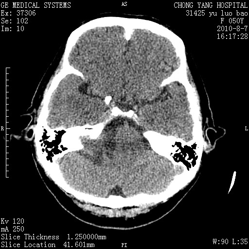
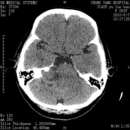
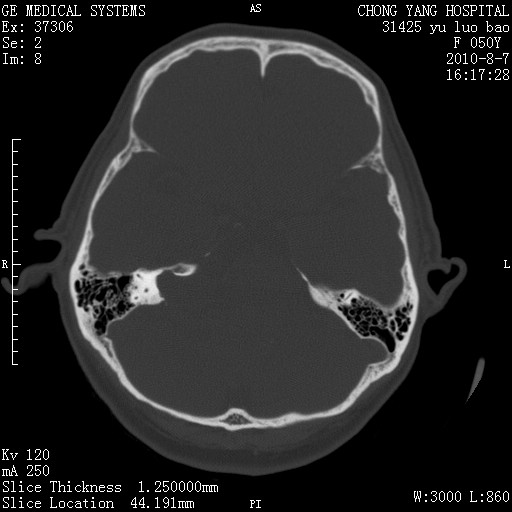
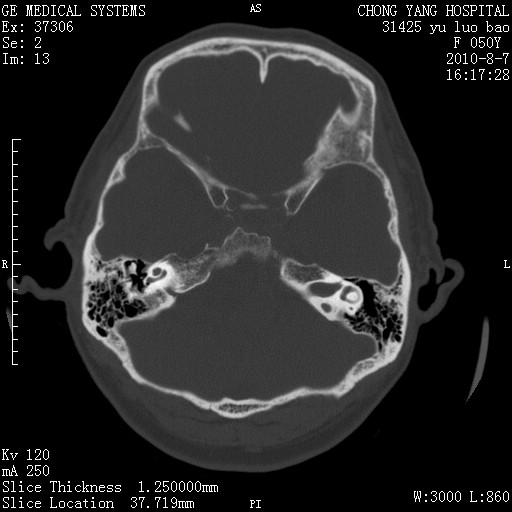
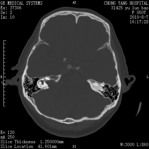
右侧桥小脑角去等密度占位,右侧内听道扩大、骨质吸收,考虑:右侧听神经瘤,建议增强检查。
作者: 157636063    时间: 2010-8-10 01:33
考虑听神经瘤可能性大。
作者: 卜一    时间: 2010-8-10 02:37
右侧桥小脑角去等密度占位,右侧内听道扩大、骨质吸收,考虑:右侧听神经瘤,建议增强检查。支持!
作者: pingdongying    时间: 2010-8-10 03:15
考虑听神经瘤
作者: DDN    时间: 2010-8-10 03:46
右侧内听道扩大、骨质吸收,中脑受压左移,考虑:右侧听神经瘤,建议增强检查。支持!
作者: zsl6918    时间: 2010-8-10 06:08
支持大家意见,建议强化或mr 检查明确
作者: jsgdoctor    时间: 2010-8-10 06:44
右侧听神经瘤。
作者: YRJ0513    时间: 2010-8-10 07:59
考虑右侧听神经瘤。
作者: 施明    时间: 2010-8-10 13:31
听瘤
作者: yuhongjun    时间: 2010-8-10 15:04
考虑右侧听神经瘤。
作者: 落叶留痕    时间: 2010-8-10 15:46
考虑右侧听神经瘤。
作者: 学无崖    时间: 2010-8-10 17:11
考虑右侧听神经瘤。
作者: LIAOQIANG    时间: 2010-8-10 17:45
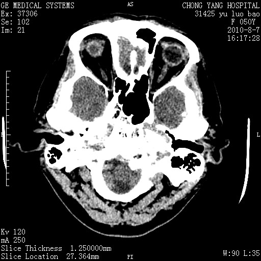
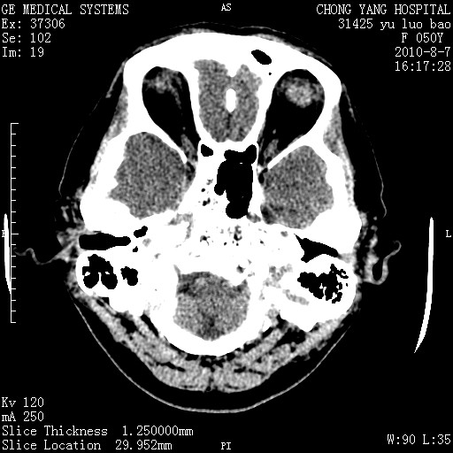
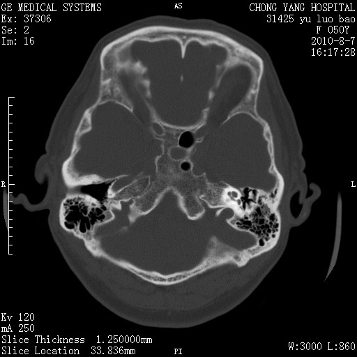
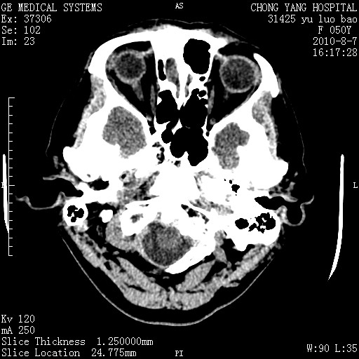
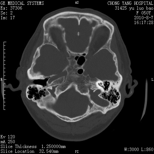
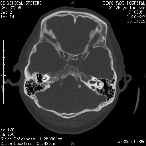
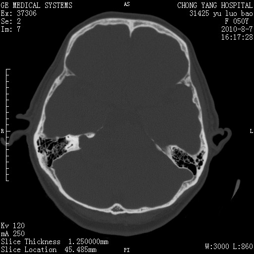
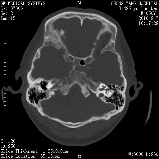
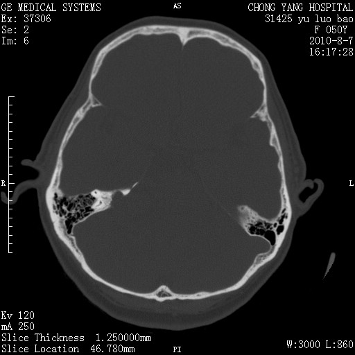
骨窗示右侧内听道扩大,考虑右侧听神经瘤。
作者: 随光逐影    时间: 2010-8-10 18:29
右侧听神经瘤。
作者: 道哥    时间: 2010-8-10 19:03
考虑:右侧听神经瘤,建议增强检查。支持!
作者: hiphoprup    时间: 2010-8-17 16:23
右侧桥小脑角区等密度占位,内耳道扩大,听神经瘤
作者: 拂晓    时间: 2010-8-20 07:21
标题: 回复:ct28285:听力下降一年,头昏。
以下是引用道哥在2010-8-10 11:03:00的发言:[br]考虑:右侧听神经瘤,建议增强检查。支持!





欢迎光临 医影在线 (http://bbs.radida.com/bbs/) Powered by Discuz! X3.2