医影在线

标题: CT28303:头痛 [打印本页]

作者: liuzhenzhide    时间: 2010-8-10 21:09
标题: CT28303:头痛
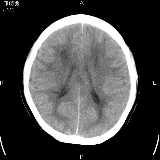
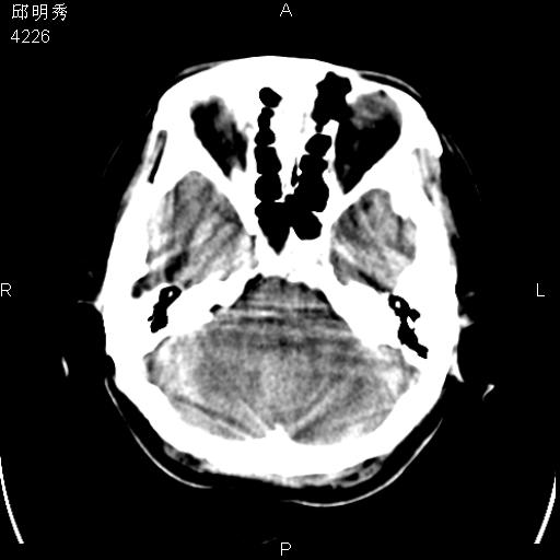
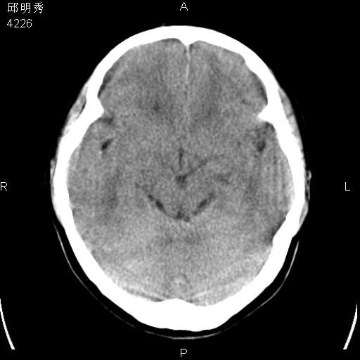
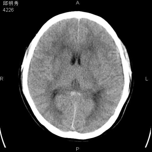
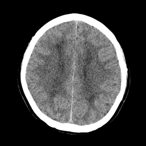
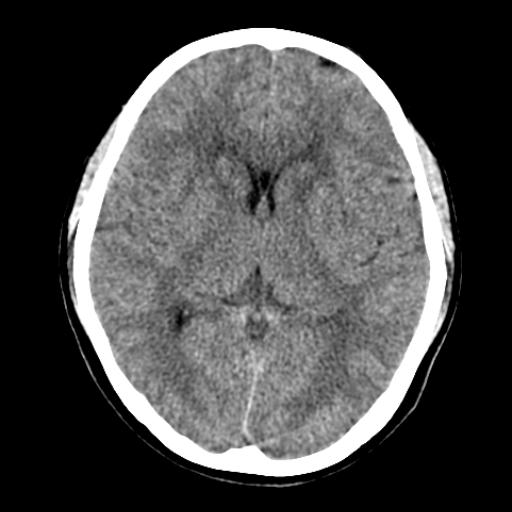
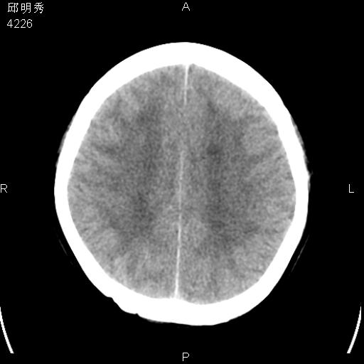
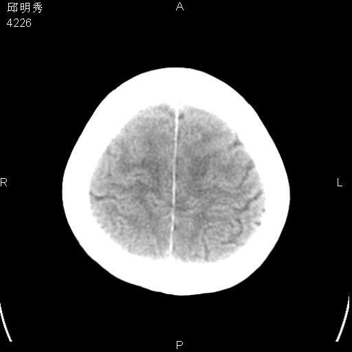
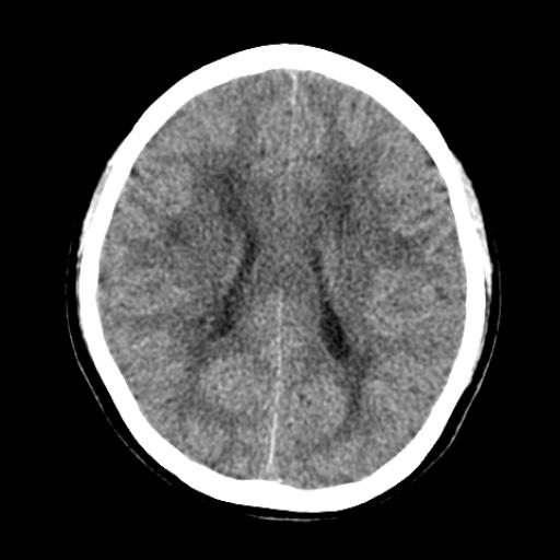
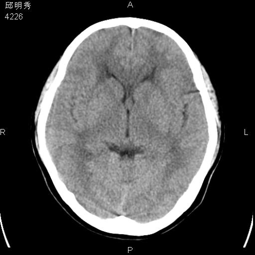
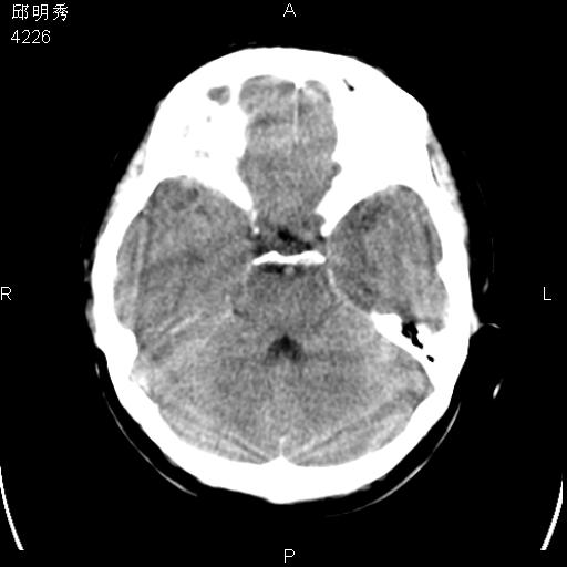
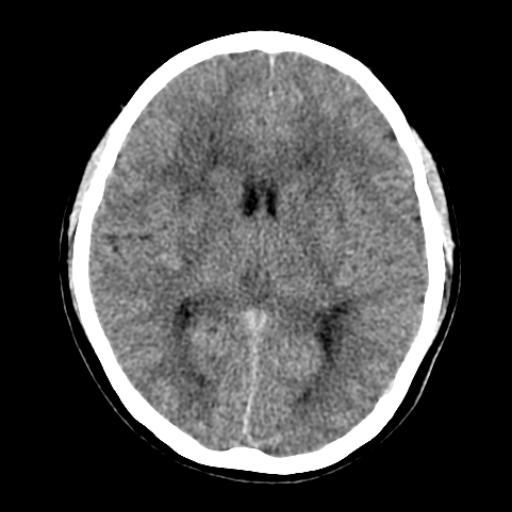
40f头晕十多天,右上肢麻木一天














薄层







[本贴已被 jiajie 于 2010-8-10 19:18:00 修改过]

作者: 王显瑞    时间: 2010-8-10 23:08
脑白质变性或ms
作者: sdzyy    时间: 2010-8-11 01:32
脑白质脱髓鞘改变。
作者: jiazhirong    时间: 2010-8-11 03:19
脑白质脱髓鞘改变。
作者: 地球上的    时间: 2010-8-11 03:53
脑白质脱髓鞘改变。
作者: yuhongjun    时间: 2010-8-11 14:25
脑白质脱髓鞘改变。
作者: 随光逐影    时间: 2010-8-11 18:05
脑白质病;建议行mri检查。




欢迎光临 医影在线 (http://bbs.radida.com/bbs/) Powered by Discuz! X3.2