医影在线

标题: CT28313:两肺弥漫性病变 [打印本页]

作者: 韦伟    时间: 2010-8-11 02:47
标题: CT28313:两肺弥漫性病变
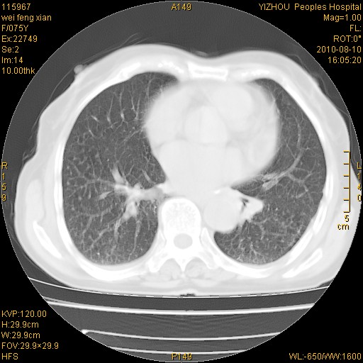
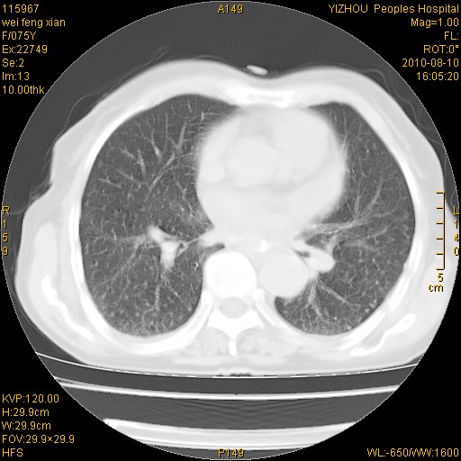
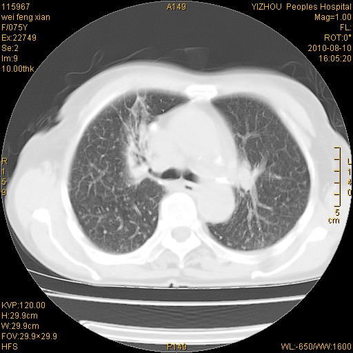
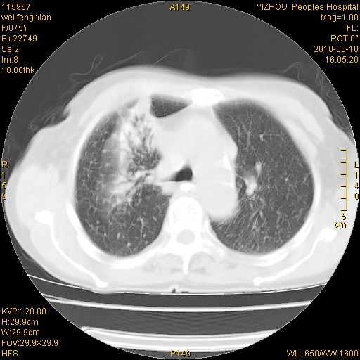
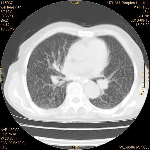
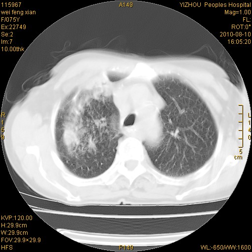
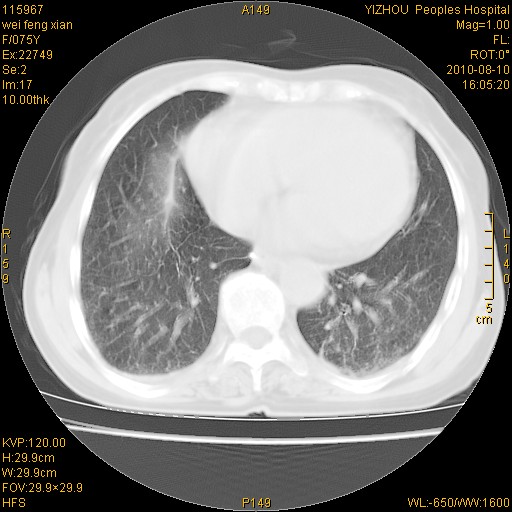
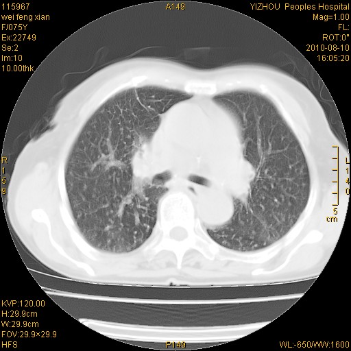
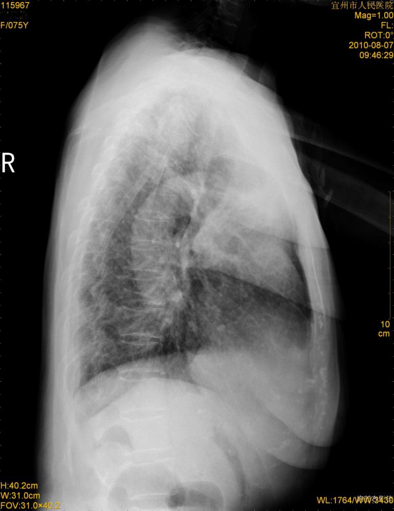
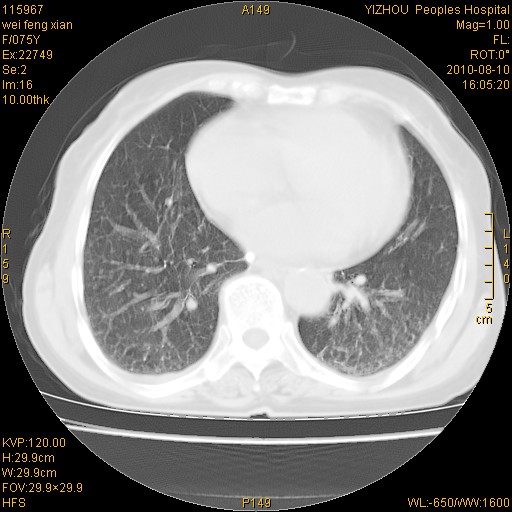
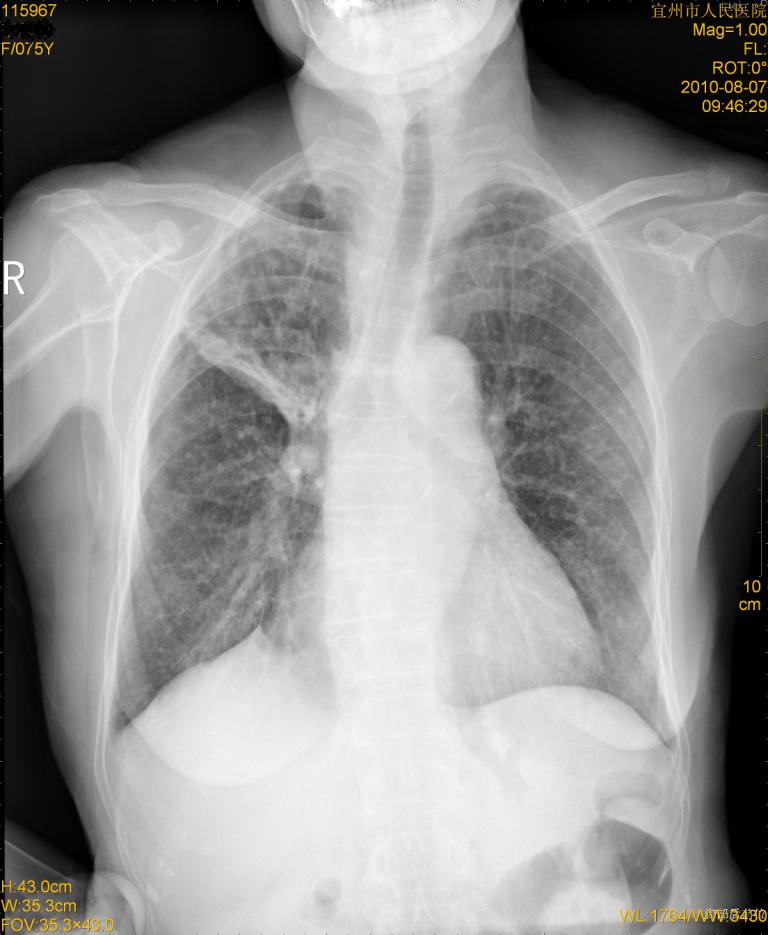
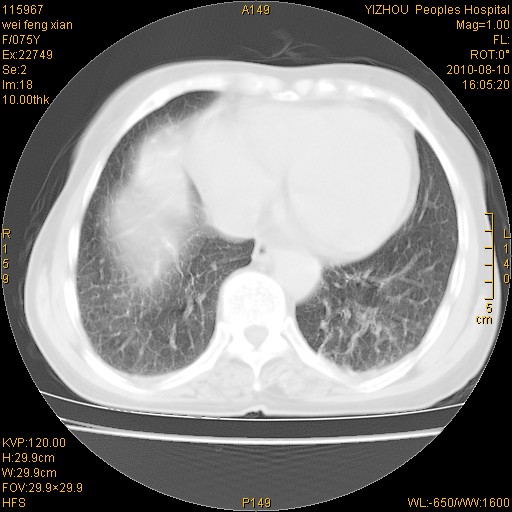
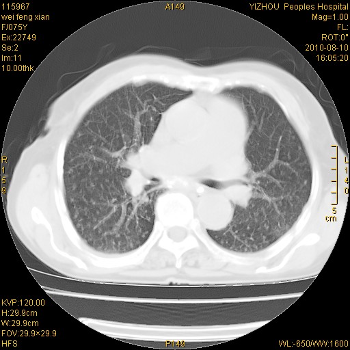
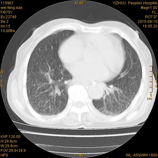
女,75岁,患者反复头昏乏力面色苍白3年,再发10天入院。临床贫血查因。




























[本贴已被 jiajie 于 2010-8-10 19:20:11 修改过]

作者: 影象小辈    时间: 2010-8-11 02:53
双肺间质增生并右肺上叶炎性改变,不除外右肺上叶结核病肺内播散
作者: 心路寻觅    时间: 2010-8-11 04:32
考虑慢支伴右上肺慢性感染可能性大,建议结合临床排外尘肺可能。
作者: 学者~『风    时间: 2010-8-11 04:45
考虑尘肺可能性大.
作者: 地球上的    时间: 2010-8-11 05:13
考虑右肺上叶炎症合并双肺结核可能性大,建议上传纵隔窗ct图片。
作者: zsl6918    时间: 2010-8-11 05:17
如果患者是男性首先考虑尘肺,但现在即是是女性也要询问职业病史。
作者: 蓬莱客    时间: 2010-8-11 05:39
双肺结核可能性大
作者: dongzi2001    时间: 2010-8-11 05:58
考虑尘肺并结核;右上肺支气管扩张!
作者: ljj8935    时间: 2010-8-11 06:42
考虑尘肺并结核;右上肺支气管扩张!
作者: xiongneo    时间: 2010-8-11 07:12
双肺间质增生并右肺上叶炎性改变,不除外右肺上叶结核病肺内播散
作者: 37度    时间: 2010-8-11 09:25
标题: 回复:ct28313:两肺弥漫性病变
以下是引用心路寻觅在2010-8-10 20:32:00的发言:[br]考虑慢支伴右上肺慢性感染可能性大,建议结合临床排外尘肺可能。

作者: yuhongjun    时间: 2010-8-11 13:53
双肺间质增生并右肺上叶炎性改变,不除外右肺上叶结核病肺内播散 。
作者: dr.yang    时间: 2010-8-11 14:44
结核、尘肺、支气管肺泡癌都不能除外
作者: 卜一    时间: 2010-8-11 16:35
右肺上叶继发性肺结核伴肺内血型播散!
作者: 学无崖    时间: 2010-8-11 18:13
右肺上叶继发性肺结核伴肺内血型播散!
作者: 随光逐影    时间: 2010-8-11 18:38
考虑右肺上叶继发性肺结核伴两肺播散。




欢迎光临 医影在线 (http://bbs.radida.com/bbs/) Powered by Discuz! X3.2