医影在线

标题: CT28314:F61Y胸部增强,发热咳嗽一周入院,后面的为一周前平 [打印本页]

作者: 37度    时间: 2010-8-11 03:08
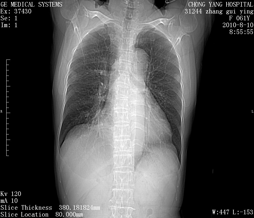
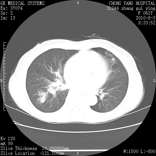
标题: CT28314:F61Y胸部增强,发热咳嗽一周入院,后面的为一周前平





































































































[本贴已被 jiajie 于 2010-8-10 19:20:26 修改过]

作者: 影象小辈    时间: 2010-8-11 03:12
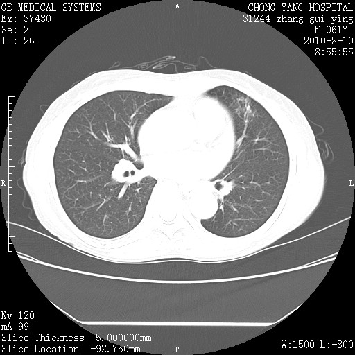
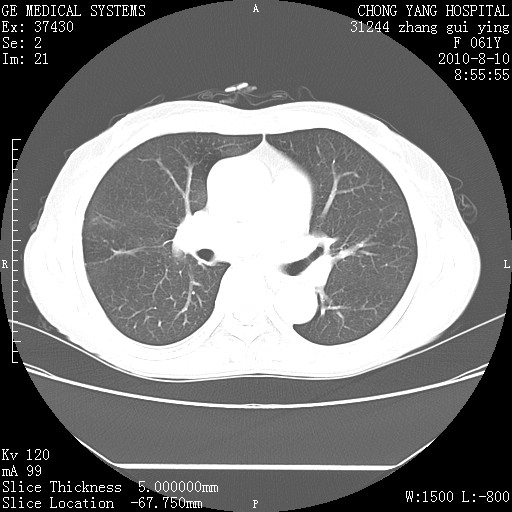
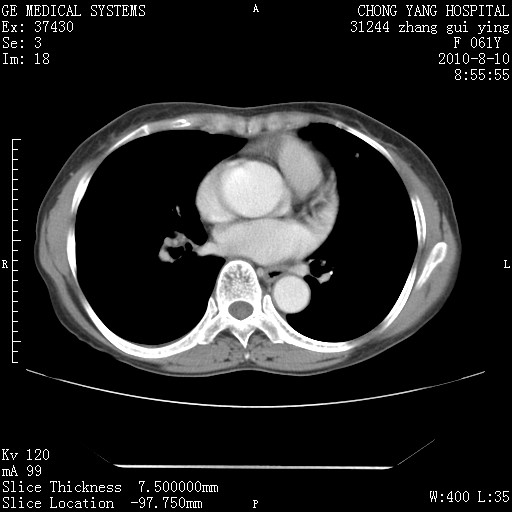
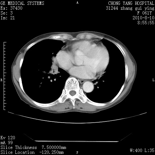
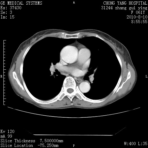
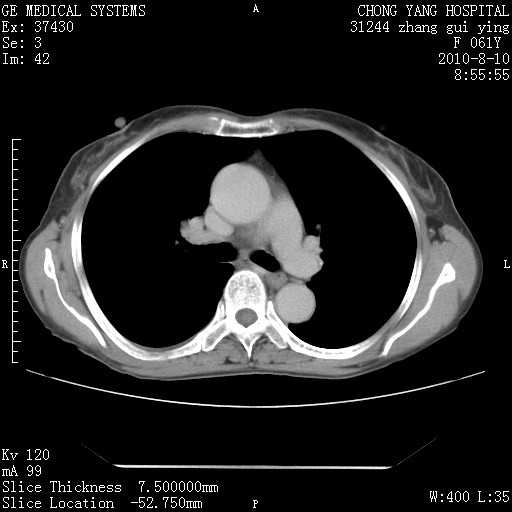
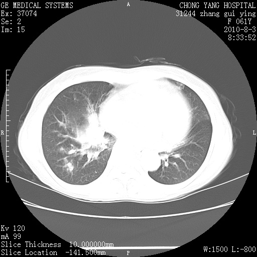
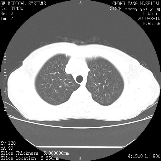
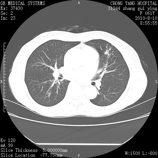
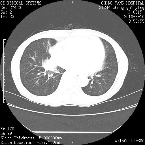
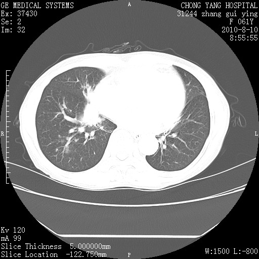
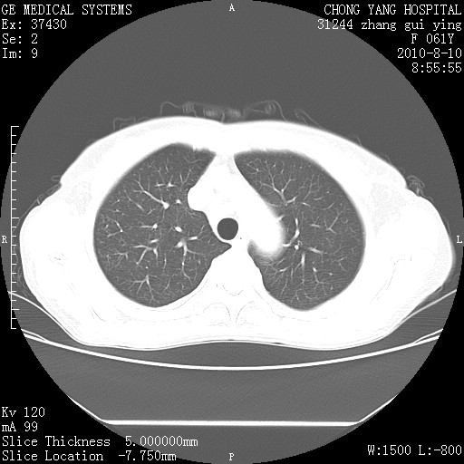
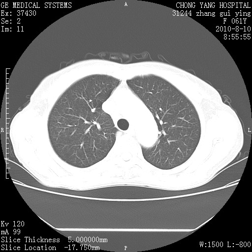
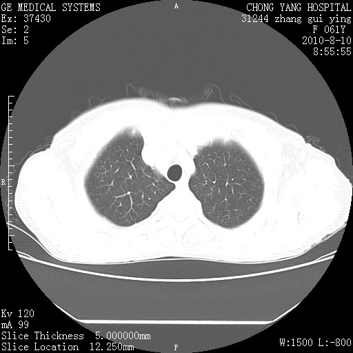
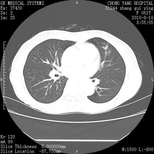
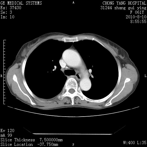
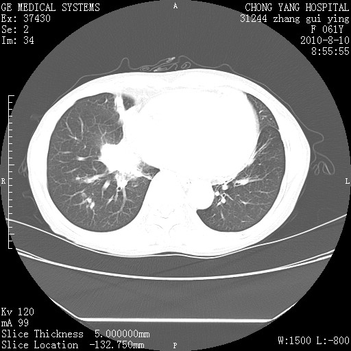
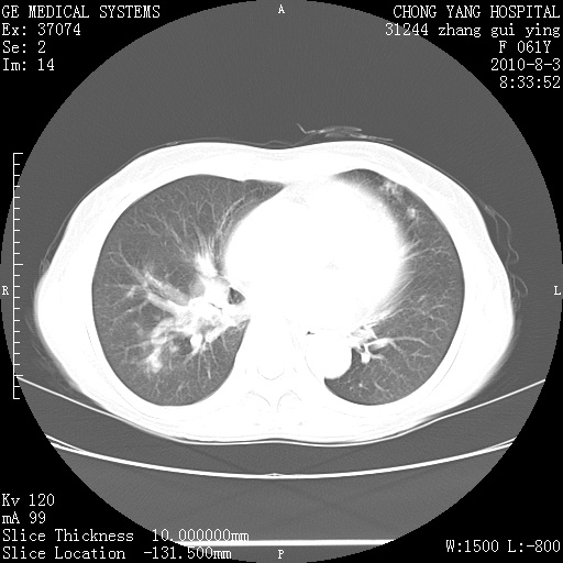
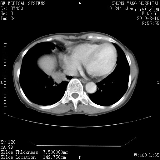
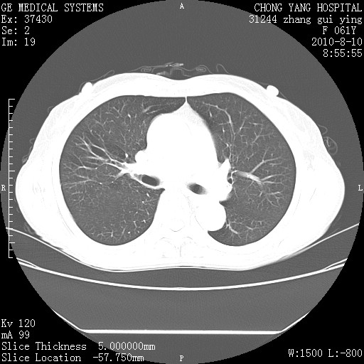
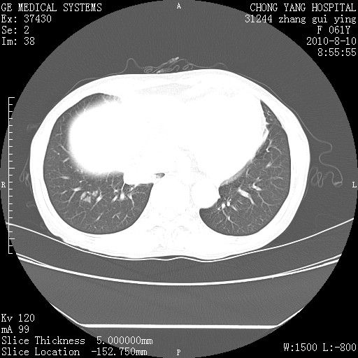
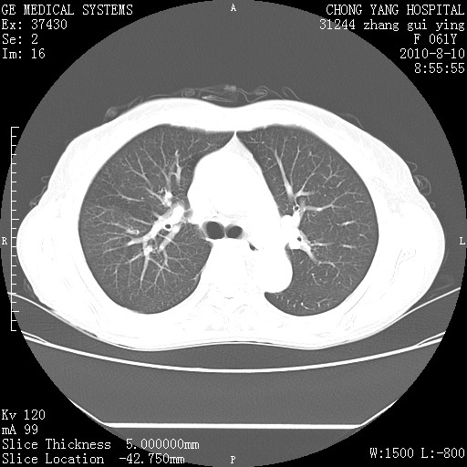
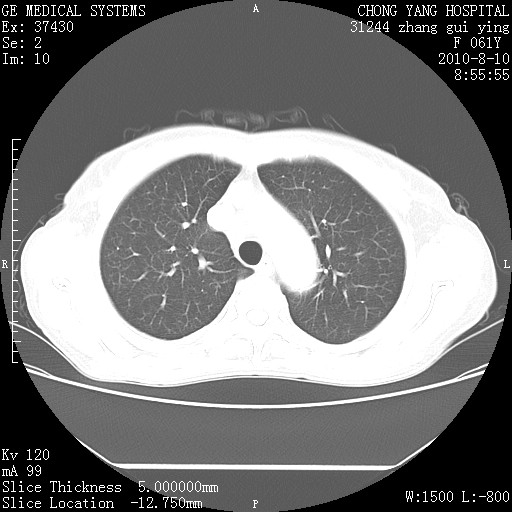
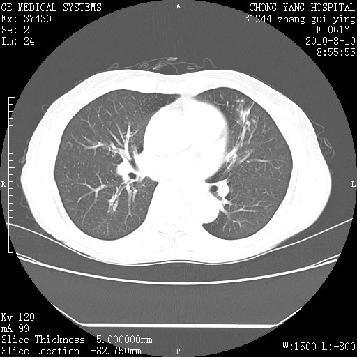
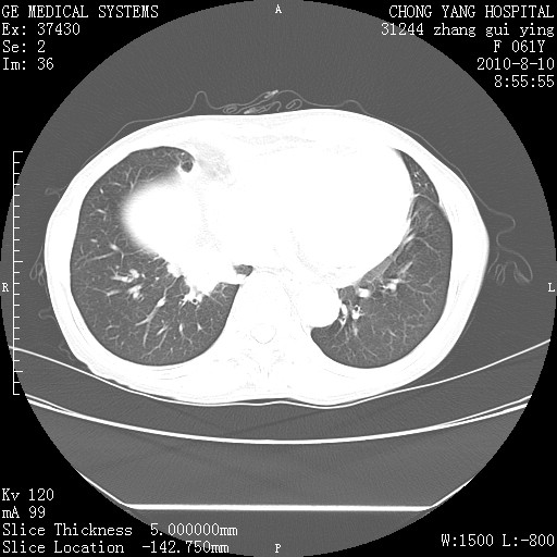
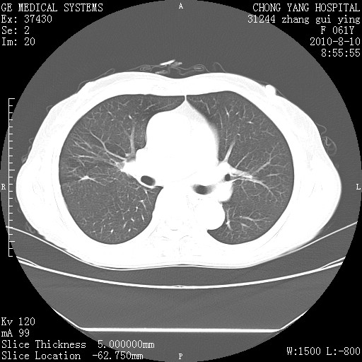
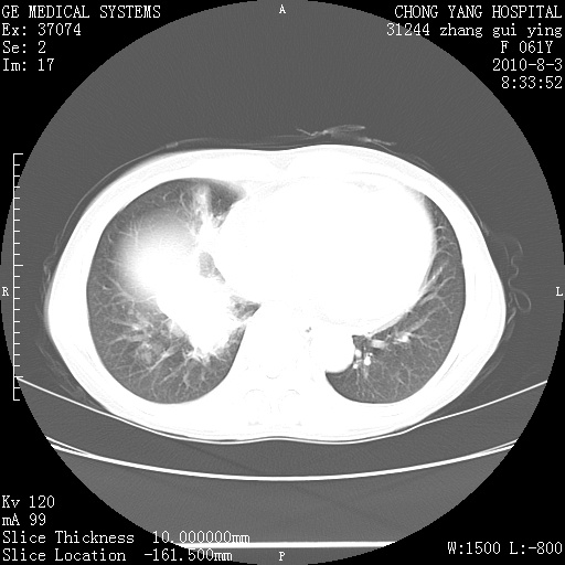
右肺下叶中心性肺癌可能性大
作者: 心路寻觅    时间: 2010-8-11 04:23
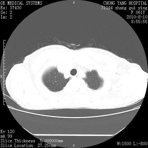
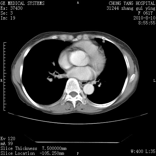
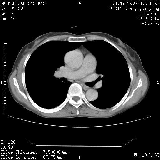
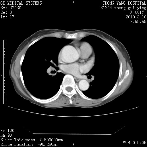
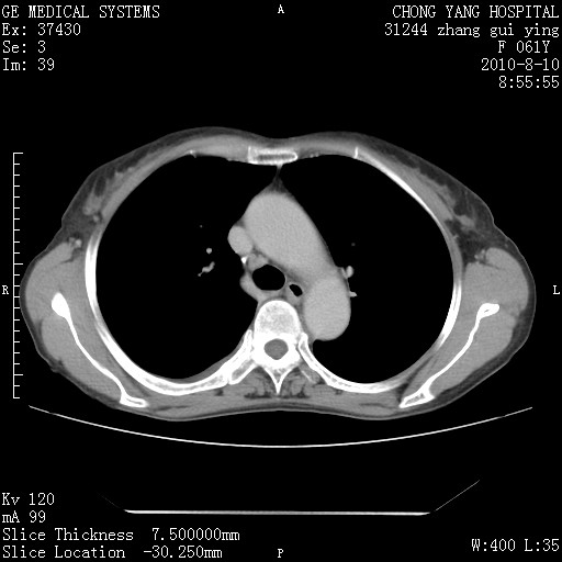
1、支持考虑右侧中央型肺癌伴右肺中叶节段性不张及下叶支气管黏液痰栓    2、左肺上叶舌段感染。
作者: 学者~『风    时间: 2010-8-11 04:42
支持右下肺中央型肺癌并左上肺感染.
作者: zjfhot    时间: 2010-8-11 05:06
我也觉得右肺中叶支气管受累
作者: zsl6918    时间: 2010-8-11 05:23
双肺感染性病变,不除外合并结核感染。
作者: 地球上的    时间: 2010-8-11 05:35
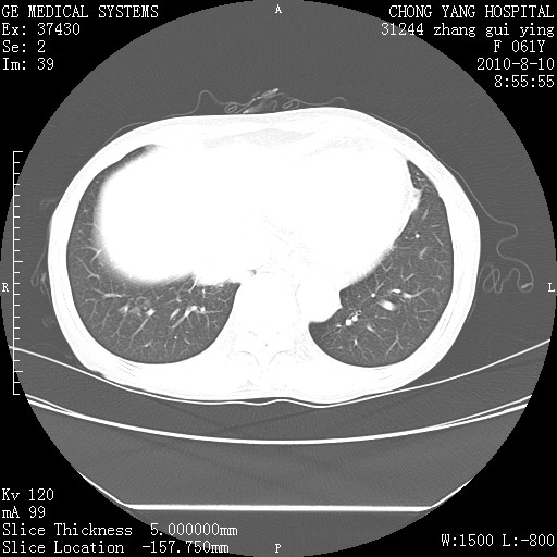
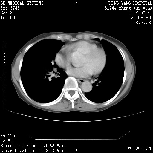
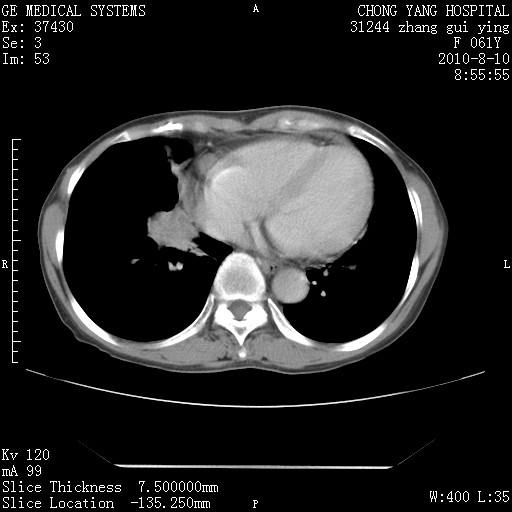
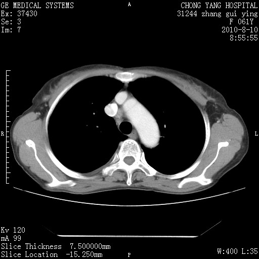
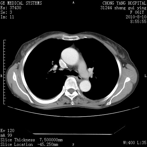
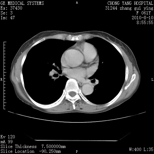
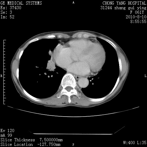
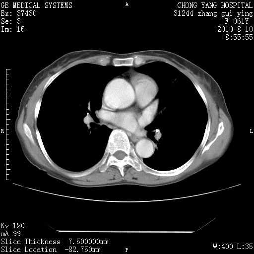
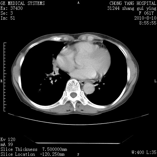
支持3楼意见,还要考虑:纵隔及肺门淋巴结转移、右侧少量胸腔积液。
作者: 蓬莱客    时间: 2010-8-11 05:44
支持考虑右侧中央型肺癌
作者: ljj8935    时间: 2010-8-11 06:37
确切的说:1:右肺下叶中心型肺癌侵及中叶支气管并中叶不张,纵膈淋巴结转移。2:左肺舌叶炎症。3:右侧胸腔少量积液
作者: xiongneo    时间: 2010-8-11 07:15
确切的说:1:右肺下叶中心型肺癌侵及中叶支气管并中叶不张,纵膈淋巴结转移。2:左肺舌叶炎症。3:右侧胸腔少量积液  
   

ljj8935说
作者: 37度    时间: 2010-8-11 07:29
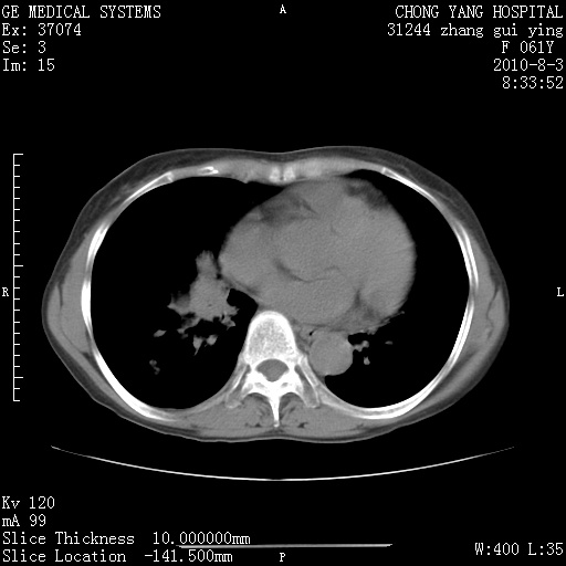
块影平扫32hu,动静脉期62-70hu.
作者: yuhongjun    时间: 2010-8-11 14:08
1、支持考虑右侧中央型肺癌伴右肺中叶节段性不张及下叶支气管黏液痰栓    2、左肺上叶舌段感染。
作者: 卜一    时间: 2010-8-11 16:33
1:右肺下叶中心型肺癌侵及中叶支气管并中叶不张,纵膈淋巴结转移。2:左肺舌叶炎症。3:右侧胸腔少量积液。支持!
作者: LIAOQIANG    时间: 2010-8-11 17:13
右肺下叶内基底段近膈不规则肿块,考虑右肺下叶周围型肺癌可能性大。
作者: ZJB    时间: 2010-8-11 17:35
考虑右下肺肺癌,纵隔淋巴结转移i。
作者: 学无崖    时间: 2010-8-11 18:17
标题: 回复:ct28314:f61y胸部增强,发热咳嗽一周入院,后面的为
以下是引用卜一在2010-8-11 8:33:00的发言:[br]1:右肺下叶中心型肺癌侵及中叶支气管并中叶不张,纵膈淋巴结转移。2:左肺舌叶炎症。3:右侧胸腔少量积液。支持!

作者: 随光逐影    时间: 2010-8-11 18:41
支持3楼意见。
作者: jiazhirong    时间: 2010-8-12 00:28
右肺下叶中心型肺癌侵及中叶支气管并中叶不张,纵膈淋巴结转移。2:左肺舌叶炎症。3:右侧胸腔少量积液
作者: zxl51642    时间: 2010-8-12 00:56
支持




欢迎光临 医影在线 (http://bbs.radida.com/bbs/) Powered by Discuz! X3.2