医影在线

标题: CT28315:咳嗽咳痰咯血半月并胸痛 [打印本页]

作者: zcy6336752    时间: 2010-8-11 03:14
标题: CT28315:咳嗽咳痰咯血半月并胸痛





































































[本贴已被 jiajie 于 2010-8-10 19:20:40 修改过]

作者: 心路寻觅    时间: 2010-8-11 04:11
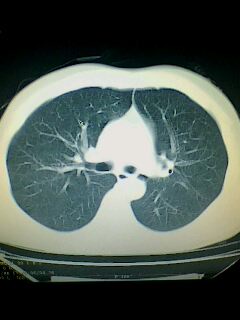
1、纵膈窗效果不好,初步考虑左肺下叶感染性病灶,建议正规抗炎治疗后复查   2、右肺下叶陈旧性病灶伴局部胸膜增厚。
作者: 学者~『风    时间: 2010-8-11 04:36
考虑左肺下叶周围型肺癌.图象欠清,请问病人贵更?
作者: 李慧珍    时间: 2010-8-11 05:16
考虑左肺下叶周围型肺癌.
作者: zsl6918    时间: 2010-8-11 05:19
图像资料欠清,建议强化,考虑周围型肺癌。
作者: 地球上的    时间: 2010-8-11 05:38
图像资料欠清,建议强化,考虑周围型肺癌。---支持
作者: dglq    时间: 2010-8-11 05:43
左下肺肿块影,深分叶,考虑肺癌。
作者: 彩虹心    时间: 2010-8-11 06:28
左肺下叶球形肺炎,建议抗炎治疗后复查
作者: ljj8935    时间: 2010-8-11 06:40
左下肺球形病灶,考虑:1:球形肺炎;2:周围型肺癌不除外,建议治疗后复查
作者: xiongneo    时间: 2010-8-11 07:16
考虑左肺下叶周围型肺癌.
作者: yuhongjun    时间: 2010-8-11 14:09
考虑左肺下叶周围型肺癌.
作者: 卜一    时间: 2010-8-11 16:30
不排除左肺下叶周围型肺癌可能!建议穿刺活检!
作者: LIAOQIANG    时间: 2010-8-11 17:08
考虑左肺下叶周围型肺癌。
作者: 随光逐影    时间: 2010-8-11 18:44
考虑左肺下叶周围型肺癌并阻塞性肺炎。
作者: shuiyuan    时间: 2010-8-12 00:09
考虑左肺下叶周围型肺癌.
作者: hzhhh1105    时间: 2010-8-12 00:14
考虑左肺下叶周围型肺癌




欢迎光临 医影在线 (http://bbs.radida.com/bbs/) Powered by Discuz! X3.2