医影在线

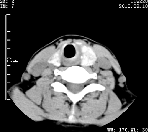
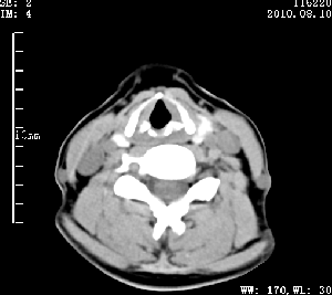
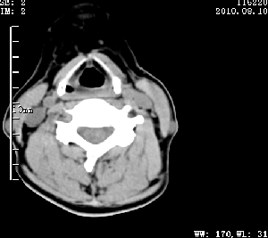
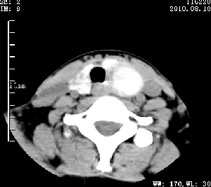
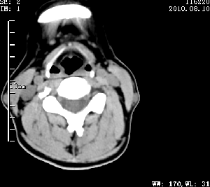
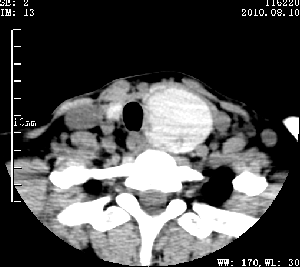
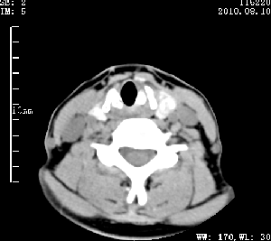
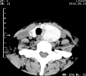
标题: CT28317:病人近几天无意间发现颈部肿块。 [打印本页]

作者: 快乐流星    时间: 2010-8-11 05:40
标题: CT28317:病人近几天无意间发现颈部肿块。



















[本贴已被 jiajie 于 2010-8-10 21:41:59 修改过]

作者: zsl6918    时间: 2010-8-11 05:55
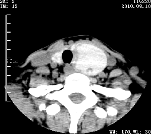
甲状腺肿,先强化看看吧
作者: 地球上的    时间: 2010-8-11 06:05
支持
作者: 37度    时间: 2010-8-11 08:57
标题: 回复:ct28317:病人近几天无意间发现颈部肿块。
以下是引用zsl6918在2010-8-10 21:55:00的发言:[br]甲状腺肿,先强化看看吧

作者: yuhongjun    时间: 2010-8-11 14:00
甲状腺肿,先强化看看吧 。
作者: DDN    时间: 2010-8-11 15:47
甲状腺左叶局限性结节性甲状腺肿可能。建议增强扫描。
作者: 卜一    时间: 2010-8-11 16:24
甲状腺左叶局限性结节性甲状腺肿可能。建议增强扫描。
作者: paipai_wu    时间: 2010-8-11 16:38
病变边界清楚,周围间隙清晰,甲状腺左叶(甲状旁腺?)肿大,右叶甲状腺腺瘤。
作者: ljchenshiying    时间: 2010-8-11 16:59
甲状腺左叶局限性结节性甲状腺肿可能性大,建议增强扫描。
作者: 学无崖    时间: 2010-8-11 18:24
左叶甲状腺肿,右叶小腺瘤
作者: tfneeq    时间: 2010-8-11 23:03
病变边界清楚,周围间隙清晰,左叶甲状腺肿大,右叶甲状腺小腺瘤。
作者: lyb999    时间: 2010-8-11 23:10
左叶甲状腺肿
作者: 心路寻觅    时间: 2010-8-12 00:05
甲状腺左叶局限性结节性甲状腺肿可能。建议增强扫描。
支持!
作者: jiazhirong    时间: 2010-8-12 00:51
甲状腺左叶局限性结节性甲状腺肿可能。建议增强扫描。




欢迎光临 医影在线 (http://bbs.radida.com/bbs/) Powered by Discuz! X3.2