医影在线

标题: PED3416:F,12Y,智力下降,学习成绩差,8个月时发过高烧。 [打印本页]

作者: 刹那光影    时间: 2010-8-11 06:28
标题: PED3416:F,12Y,智力下降,学习成绩差,8个月时发过高烧。






























[本贴已被 jiajie 于 2010-8-10 22:51:50 修改过]

作者: zsl6918    时间: 2010-8-11 06:32
不出意外的话,患者面部也应该有血管瘤的改变。符合颅颜面血管瘤的表现。
作者: 刹那光影    时间: 2010-8-11 07:11
我仔细看过,患儿面部没有血管瘤改变。
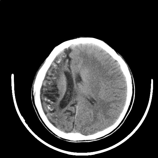
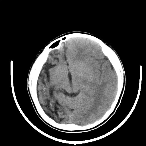
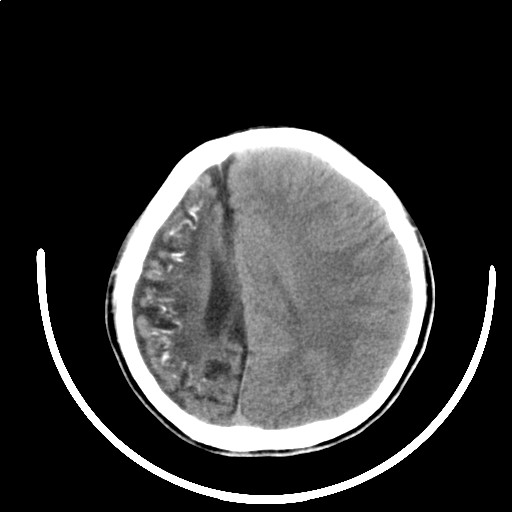
作者: 自贡刘剑    时间: 2010-8-11 08:41
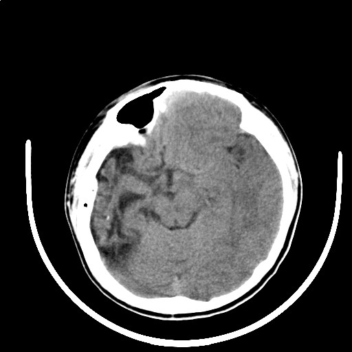
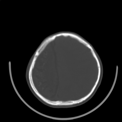
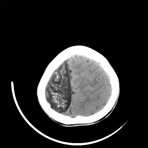
右侧大脑发育不良伴动静脉畸形。
作者: 随光逐影    时间: 2010-8-11 15:11
颅面血管瘤病(sws)。
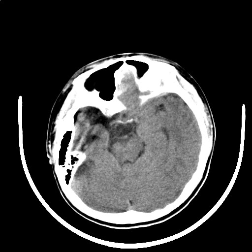
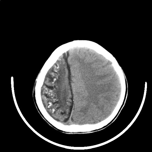
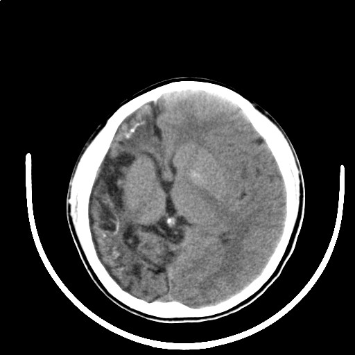
作者: 余辉    时间: 2010-8-11 15:54
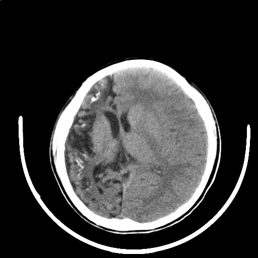
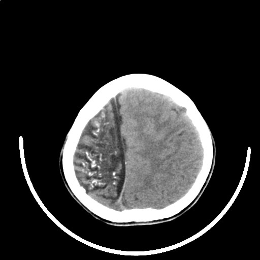
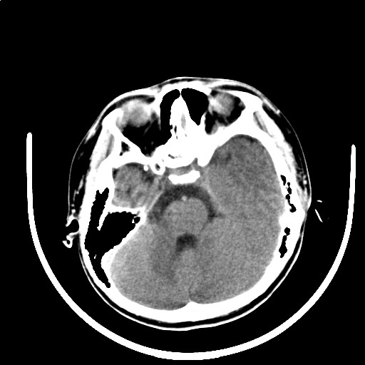
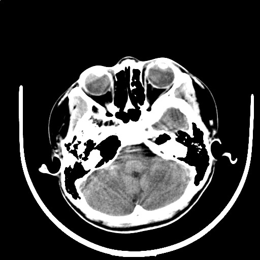
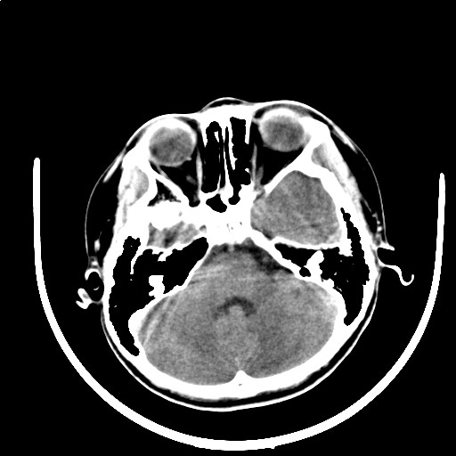
右侧半球萎缩,软化,多量脑回样钙化,考虑颅面血管瘤病,建议dsa检查
作者: yuhongjun    时间: 2010-8-11 16:28
右侧半球萎缩,软化,多量脑回样钙化,考虑颅面血管瘤病,建议dsa检查.
作者: zxl51642    时间: 2010-8-11 17:54
右侧半球萎缩,软化,多量脑回样钙化,考虑颅面血管瘤病,建议dsa检查
作者: 蓬莱客    时间: 2010-8-12 04:34
脑颜面血管瘤病
作者: hguox    时间: 2010-8-13 02:02
脑颜面血管瘤病
作者: 随光逐影    时间: 2010-8-13 07:06
相关链接:http://www.radida.com/ct_news_view.asp?id=2764
作者: 拾荒者    时间: 2010-8-14 04:22
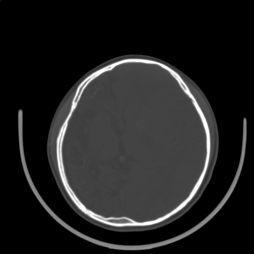
右侧半球萎缩,软化,多量脑回样钙化,同侧颅盖板障增宽,考虑颅面血管瘤病,建议dsa检查与化脓性脑膜炎后遗改变鉴别。




欢迎光临 医影在线 (http://bbs.radida.com/bbs/) Powered by Discuz! X3.2