医影在线

标题: CT28320:典型病例,男,56岁。无痛性血尿3月。 [打印本页]

作者: 天地睹狭    时间: 2010-8-11 06:41
标题: CT28320:典型病例,男,56岁。无痛性血尿3月。
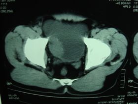
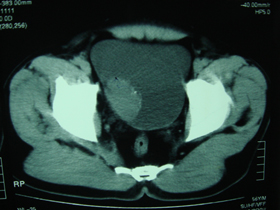
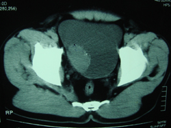
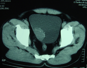
典型病例,男,56岁。无痛性血尿3月。
















[本贴已被 jiajie 于 2010-8-10 22:50:57 修改过]

作者: zsl6918    时间: 2010-8-11 06:46
支持典型。手术吧
作者: 37度    时间: 2010-8-11 09:00
支持膀胱癌。
作者: yuhongjun    时间: 2010-8-11 13:58
支持膀胱癌。
作者: 卜一    时间: 2010-8-11 15:30
支持膀胱癌。
作者: DDN    时间: 2010-8-11 15:39
膀胱占位性病变,呈菜花状生长,考虑膀胱癌。 期待病理。
作者: LIAOQIANG    时间: 2010-8-11 16:58
考虑膀胱癌。
作者: muzi888    时间: 2010-8-11 17:12
支持膀胱癌。
作者: ljchenshiying    时间: 2010-8-11 17:36
考虑膀胱癌。
作者: 心路寻觅    时间: 2010-8-11 23:57
膀胱癌——谢楼主分享典型病例!
作者: 随光逐影    时间: 2010-8-12 19:59
膀胱癌。
作者: wansheng    时间: 2010-8-12 22:12
标题: 回复:ct28320:典型病例,男,56岁。无痛性血尿3月。
以下是引用心路寻觅在2010-8-11 15:57:00的发言:[br]膀胱癌——谢楼主分享典型病例!





欢迎光临 医影在线 (http://bbs.radida.com/bbs/) Powered by Discuz! X3.2