医影在线

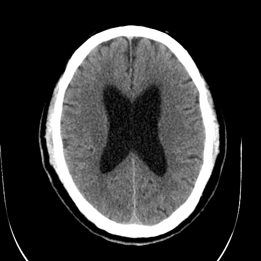
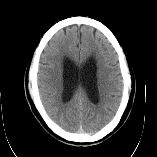
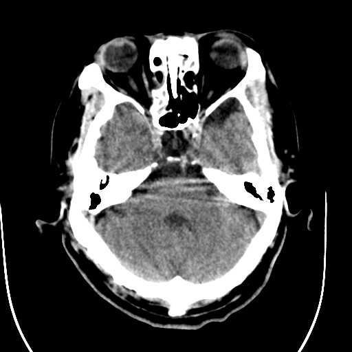
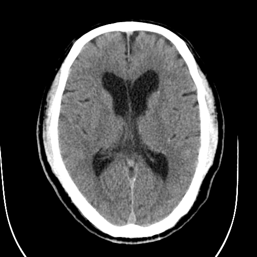
标题: CT28335:男,58岁,请各位看看是不是有脑积水,蝶窦内高密 [打印本页]

作者: 宋恩惠    时间: 2010-8-12 05:41
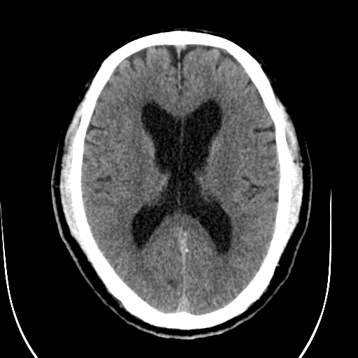
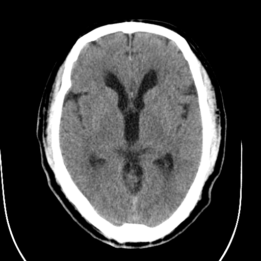
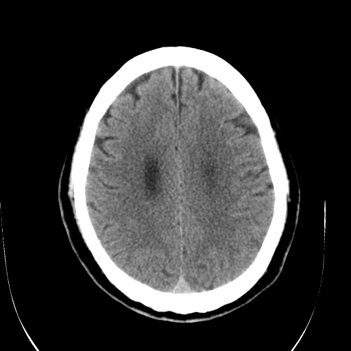
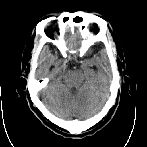
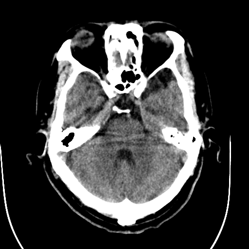
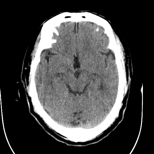
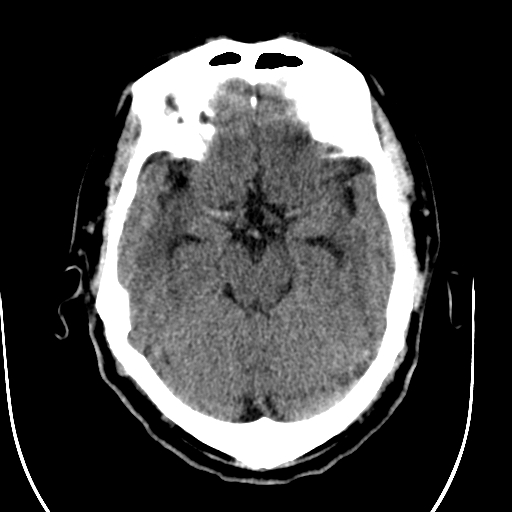
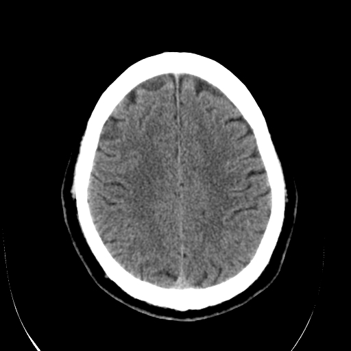
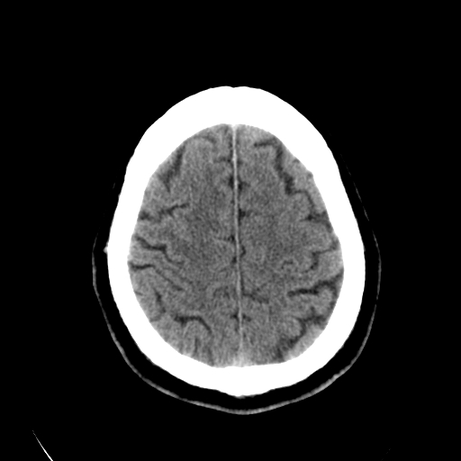
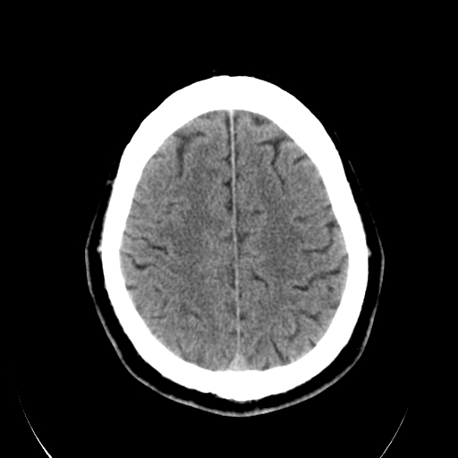
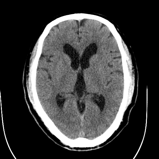
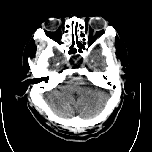
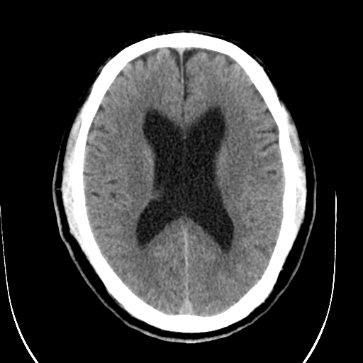
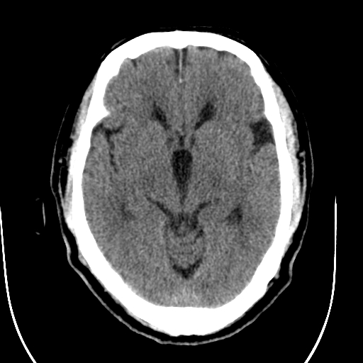
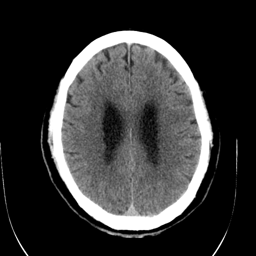
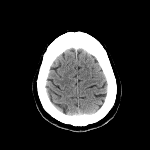
标题: CT28335:男,58岁,请各位看看是不是有脑积水,蝶窦内高密





















[本贴已被 翁志蓬 于 2010-8-11 23:56:03 修改过]

作者: zsl6918    时间: 2010-8-12 05:45
轻度积水,蝶窦正常。
作者: 卜一    时间: 2010-8-12 06:33
脑积水!建议行mri!
作者: 影像孺子牛    时间: 2010-8-12 07:01
脑积水!建议行mri!
作者: yuhongjun    时间: 2010-8-12 14:12
脑积水!建议行mri!
作者: 随光逐影    时间: 2010-8-12 21:14
1)脑积水。2)副鼻窦炎。
作者: wansheng    时间: 2010-8-12 22:02
脑积水!建议行mri!




欢迎光临 医影在线 (http://bbs.radida.com/bbs/) Powered by Discuz! X3.2