医影在线

标题: CT28339:腹痛伴解淡血水样便5天 [打印本页]

作者: 周星星    时间: 2010-8-12 06:01
标题: CT28339:腹痛伴解淡血水样便5天
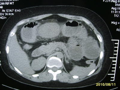
6年前曾有阑尾切除术


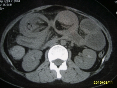
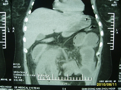
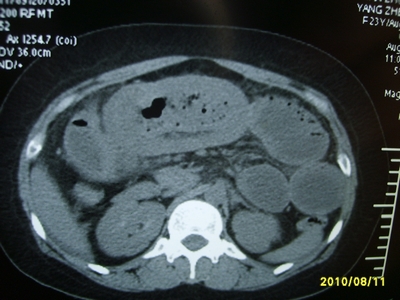
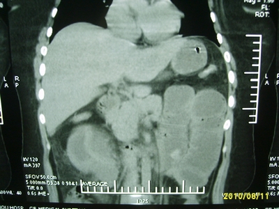
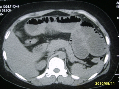
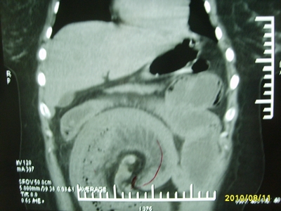
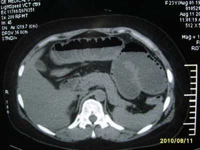
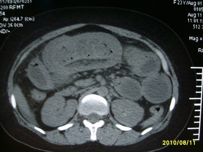
5天前突发腹痛剧烈难忍,伴解淡血水样便。近一天来腹痛缓解,没有明显的腹膜炎的体征。今天照的腹部ct。从ct上看感觉是一个绞窄性肠梗阻,但是现在没有腹痛。不好解释


请放射科的专家,帮帮看看。从影像学的角度来看看。这是不是一个绞窄性肠梗阻。


























[本贴已被 翁志蓬 于 2010-8-12 0:02:29 修改过]

作者: zsl6918    时间: 2010-8-12 06:08
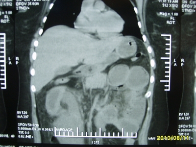
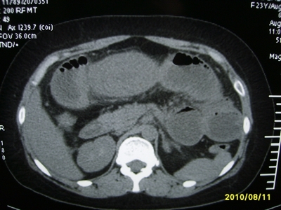
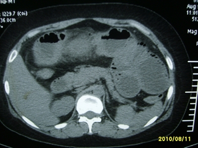
要有麻烦了,感觉小肠有套叠还有扭转改变,估计部分已有坏死。
作者: zxl51642    时间: 2010-8-12 06:25
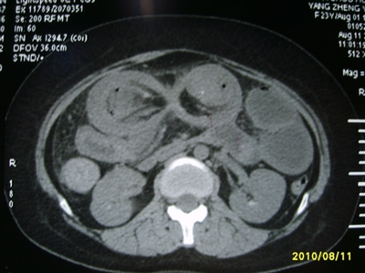
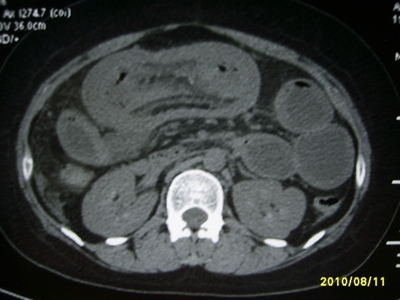
高位肠梗阻(不全性),原因小肠(空肠)扭转,肠壁水肿增厚,成年人肠梗阻要排除合并占位,建议手术。
作者: 卜一    时间: 2010-8-12 06:26
绞窄性肠梗阻_肠管套叠 扭转,肠壁明显水肿。
作者: 影像孺子牛    时间: 2010-8-12 06:54
绞窄性肠梗阻_肠管套叠 扭转,肠壁明显水肿。
作者: 周星星    时间: 2010-8-12 07:06
病人现在没有腹痛。怪了。从影像上来看。确实是绞窄了。但是没有腹痛。没有明显的腹膜炎的体征。确实有不好解释。难道是坏死了。反而不痛了。怪怪怪
作者: yuhongjun    时间: 2010-8-12 14:06
绞窄性肠梗阻_肠管套叠 扭转,肠壁明显水肿。
作者: wsfct    时间: 2010-8-12 16:39
支持上面的意见
作者: 心路寻觅    时间: 2010-8-12 17:20
支持绞窄性肠梗阻,原因肠扭转?
作者: ZJB    时间: 2010-8-12 17:28
绞窄性肠梗阻_肠管套叠 扭转,肠壁明显水肿。
作者: 湘江一滴    时间: 2010-8-12 17:59
支持绞窄性肠梗阻,肠壁明显水肿并见有多发小泡状积气--肠坏死
作者: 随光逐影    时间: 2010-8-12 22:34
考虑绞窄性肠梗阻并肠坏死。
作者: swyyy2007    时间: 2010-8-13 01:53
绞窄性肠梗阻_肠管套叠 扭转,肠壁明显水肿。
作者: dr.yang    时间: 2016-4-4 15:17

考虑绞窄性肠梗阻并肠坏死,手术吧




欢迎光临 医影在线 (http://bbs.radida.com/bbs/) Powered by Discuz! X3.2