医影在线

标题: CT28366:男性,45岁,偶尔发现右颈部肿块行胸部CT扫描。 [打印本页]

作者: 心路寻觅    时间: 2010-8-13 08:28
标题: CT28366:男性,45岁,偶尔发现右颈部肿块行胸部CT扫描。
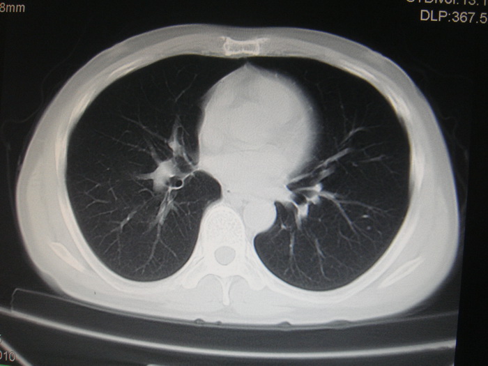
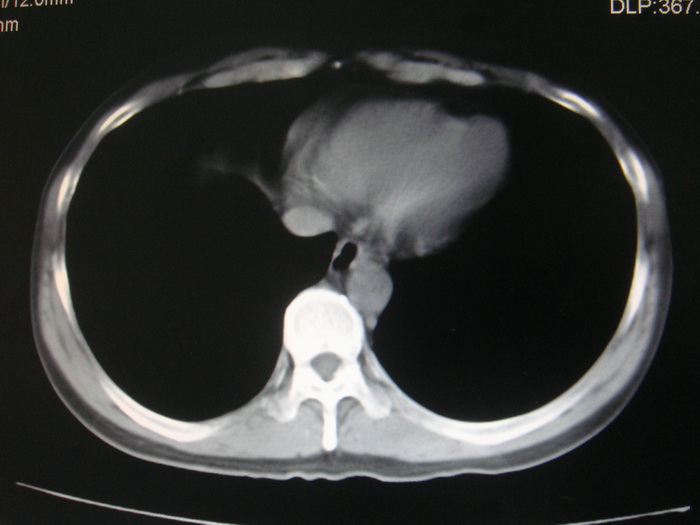
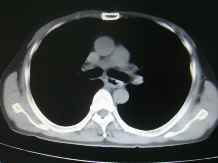
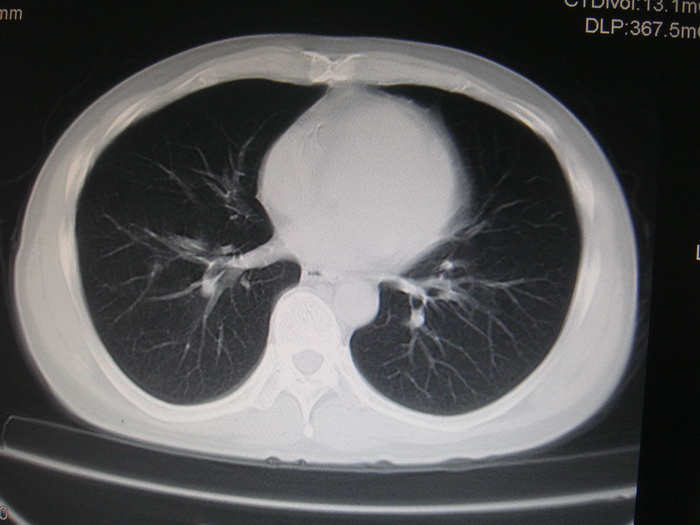
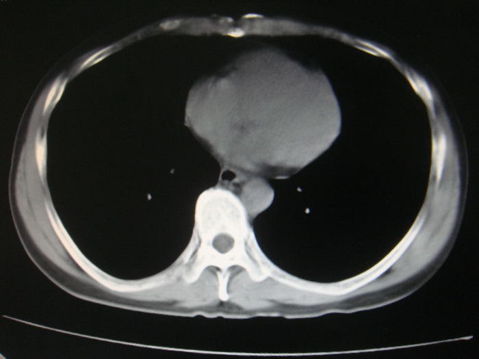
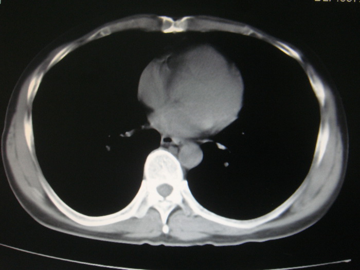
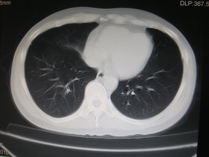
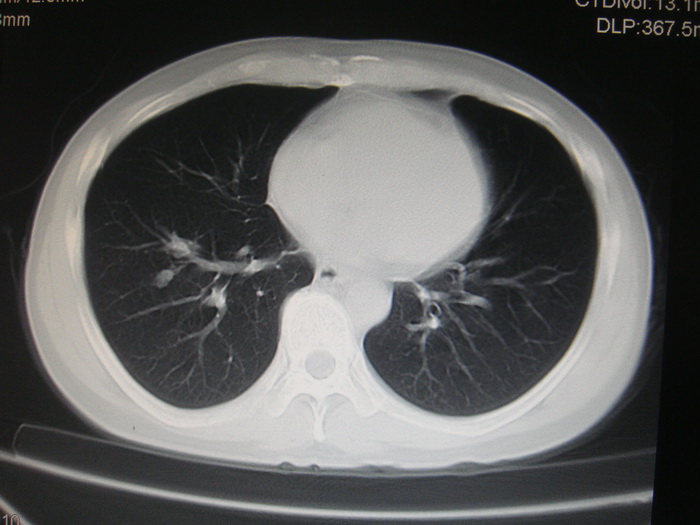
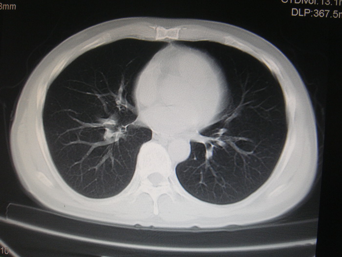
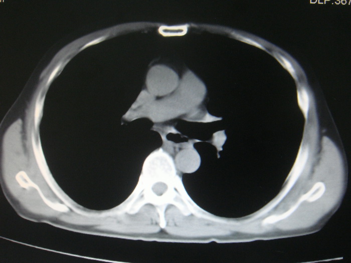
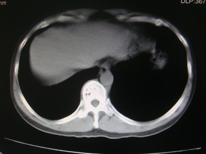
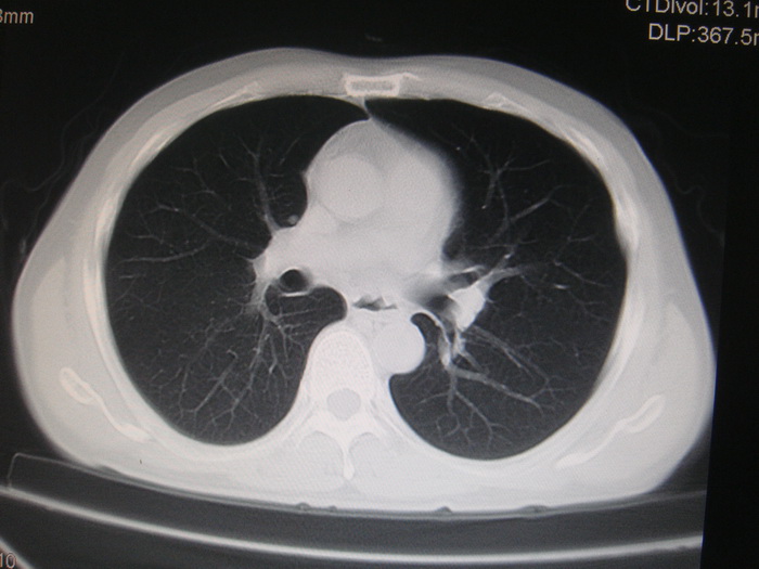
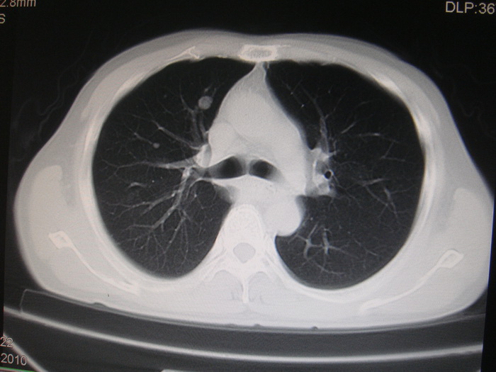
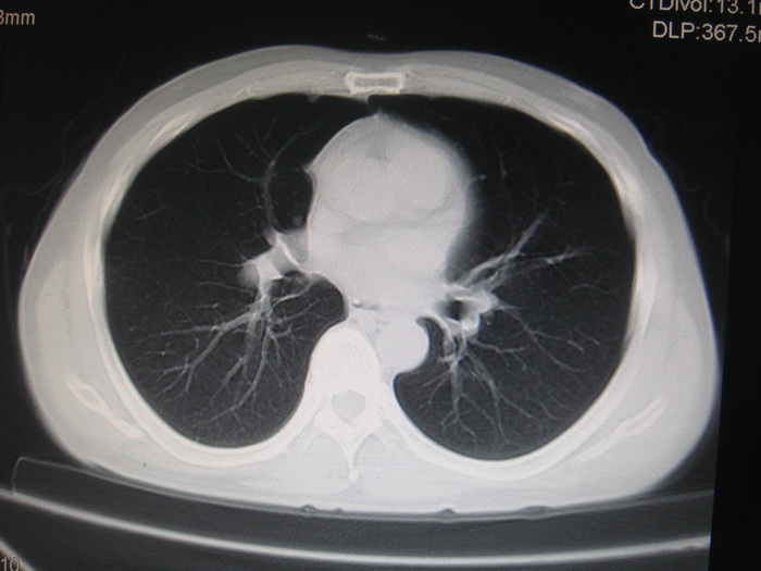
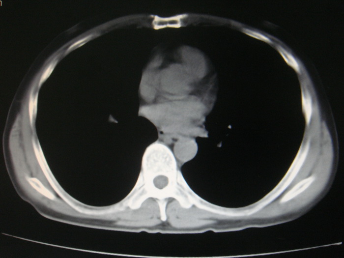
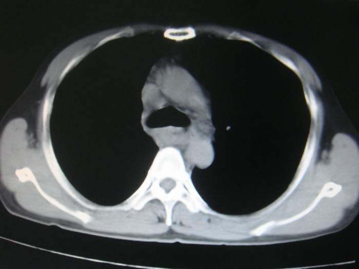
男性,45岁,偶尔发现右颈部肿块行胸部ct扫描。

















































[本贴已被 翁志蓬 于 2010-10-27 9:51:19 修改过]

作者: 科室第一人    时间: 2010-8-13 13:59
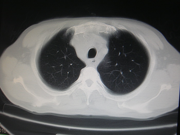
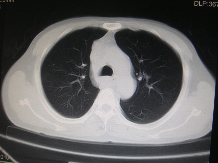
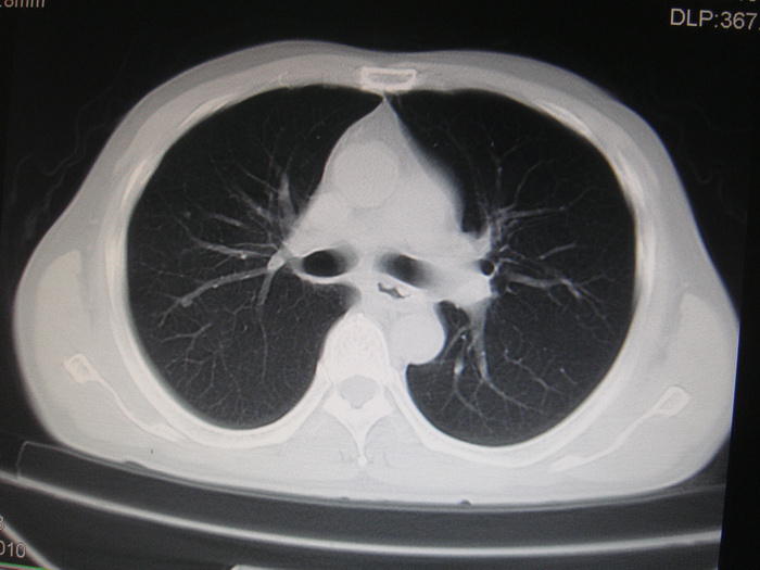
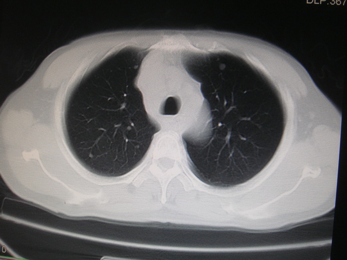
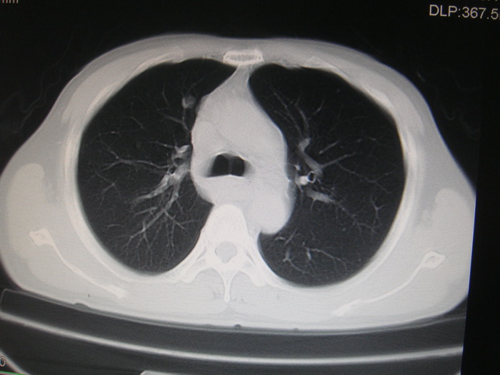
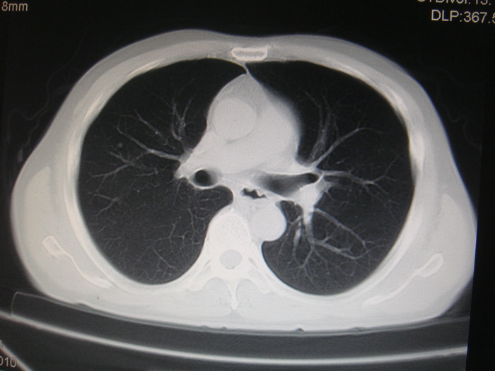
两肺多发结节灶及纵膈淋巴结肿大考虑为转移
作者: jsdtd    时间: 2010-8-13 14:31
两肺多发性转移瘤,纵隔淋巴结转移。
作者: 施明    时间: 2010-8-13 15:23
支持
作者: yuhongjun    时间: 2010-8-13 15:44
两肺多发性转移瘤,纵隔淋巴结转移。
作者: lyb999    时间: 2010-8-13 16:25
两肺多发性转移瘤,纵隔淋巴结转移。食道中上段管壁似乎增厚,作相关检查。
作者: 深泽交通    时间: 2010-8-13 16:46
支持
作者: 卜一    时间: 2010-8-13 17:12
两肺多发性转移瘤,前上纵隔淋巴结转移。
作者: swyyy2007    时间: 2010-8-13 17:19
两肺多发性转移瘤,前上纵隔淋巴结转移。
作者: 随光逐影    时间: 2010-8-13 19:07
两肺多发性转移瘤,纵隔淋巴结转移瘤。
作者: sdzyy    时间: 2010-8-13 19:36
两肺多发性转移瘤,纵隔淋巴结转移瘤。
支持
作者: caobaoguo    时间: 2010-8-13 20:47
标题: 回复:男性,45岁,偶尔发现右颈部肿块行胸部ct扫描。
以下是引用科室第一人在2010-8-13 5:59:00的发言:[br]两肺多发结节灶及纵膈淋巴结肿大考虑为转移

作者: zxl51642    时间: 2010-8-13 22:51
标题: 回复:男性,45岁,偶尔发现右颈部肿块行胸部ct扫描。
以下是引用随光逐影在2010-8-13 11:07:00的发言:[br]两肺多发性转移瘤,纵隔淋巴结转移瘤。

作者: muzi888    时间: 2010-8-13 23:10
两肺多发结节灶及纵膈淋巴结肿大考虑为转移
作者: imageSS    时间: 2010-8-14 00:32
颈部肿块也可能是转移。
作者: jsgdoctor    时间: 2010-8-14 04:14
两肺多发结节灶及纵膈淋巴结肿大考虑为转移
作者: jiazhirong    时间: 2010-8-14 05:53
两肺多发性转移瘤,纵隔淋巴结转移瘤。




欢迎光临 医影在线 (http://bbs.radida.com/bbs/) Powered by Discuz! X3.2