医影在线

标题: X7749:请求会诊` [打印本页]

作者: jljj752    时间: 2010-8-17 20:45
标题: X7749:请求会诊`
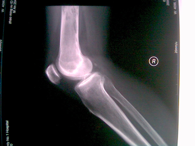
翻翻手机发现2年前在医院实习时,无意中拍下的片子`男大约60~65y把`以右膝关节痛为主诉来诊`带我的老师要求他住院`患者决绝了`后来老师说你不能下地走路了`在走就病理性骨折了`正好一周后的一天这个患者以`右股骨干骨折来诊`应了老师的话,因此,我对这个老师一直敬佩不已


[本贴已被 jiajie 于 2010-8-17 13:08:52 修改过]

作者: 吴教授    时间: 2010-8-17 22:19
股骨干病变部位没有包括
作者: tiangaohaikuo    时间: 2010-8-18 00:08
右侧股骨中下段见多个大小不等的虫蚀样破坏区,病灶边缘较锐利,骨皮质完整,骨外形轮廓无改变,无骨膜反应,软组织无肿胀,脂肪层清晰。由于无病史提供,只能根据年龄及本片考虑第1骨囊肿,第2骨包囊虫病。
作者: 万医生    时间: 2010-8-18 00:27
右股骨下段仅摄及股骨骨破坏区下部一小部分:股骨下段见片状、虫蚀状骨破坏,有骨膜反应,软组织肿胀不明显,应考虑:1、股骨下段骨髓瘤 2。股骨下段骨肉瘤
作者: zxl51642    时间: 2010-8-18 00:32
股骨干病变部位没有包括,老年男性,恶性病变,mm或转移
作者: 西明    时间: 2010-8-18 07:07
支持万医生
作者: 江广1996    时间: 2010-8-18 08:37
片子没照全:半张片子,又没正位,叫我乱猜,哈,“敬佩不已 ”!
作者: yuhongjun    时间: 2010-8-18 14:11
股骨干病变部位没有包括,老年男性,恶性病变,mm或转移
作者: 奥特之父    时间: 2010-8-18 16:01
首先恶性骨肿瘤(转移瘤)
作者: 峰医师    时间: 2010-8-18 20:42
尤文氏瘤?
作者: SUNBIN    时间: 2010-8-19 01:18
股骨中下交界段可见虫蚀样骨质破坏,考虑骨转移瘤可能性大。
作者: 拾荒者    时间: 2010-8-19 07:55
股骨中下交界段可见虫蚀样骨质破坏,考虑骨转移瘤可能性大。  
  
支持!建议结合临床。
作者: 随光逐影    时间: 2010-8-24 06:35
考虑右股骨下段恶性肿瘤(转移瘤或骨髓瘤)。
作者: tz0219    时间: 2010-8-26 21:54
像是骨髓瘤




欢迎光临 医影在线 (http://bbs.radida.com/bbs/) Powered by Discuz! X3.2