医影在线

标题: X7758:这片请大家多多指教 谢谢 [打印本页]

作者: fine    时间: 2010-8-18 21:25
标题: X7758:这片请大家多多指教 谢谢
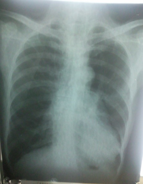
患者男,50岁,反复咳嗽、咳痰10余年,加重并气促3天。




[本贴已被 cefcmj 于 2010-8-18 21:30:31 修改过]

作者: 吴教授    时间: 2010-8-18 22:05
片子质量不好,肺气肿肺心病
作者: yuhongjun    时间: 2010-8-18 22:36
片子质量不好,肺气肿肺心病 。
作者: zqzwq    时间: 2010-8-18 23:23
标题: x线考虑肺类风湿病,请求会诊
以下是引用吴教授在2010-8-18 14:05:00的发言:[br]片子质量不好,肺气肿肺心病

作者: zxl51642    时间: 2010-8-19 00:22
慢支肺气肿,肺心可能。
作者: 在笑一方    时间: 2010-8-19 01:29
侧位,纵膈内病灶?
作者: SUNBIN    时间: 2010-8-19 01:46
慢支,肺气肿,肺心病可能。
作者: shihai    时间: 2010-8-19 02:37
慢性支气管炎、肺气肿、肺心病。
建议心脏彩超。
作者: dong0ling    时间: 2010-8-19 03:29
肺气肿.肺心病
作者: 心路寻觅    时间: 2010-8-19 05:21
慢支,肺气肿,肺心病可能。
支持!
作者: 西明    时间: 2010-8-19 06:42
支持慢支、肺气肿,肺心病
作者: 求厥月    时间: 2010-8-19 06:50
慢支,肺心病
作者: whmy    时间: 2010-8-19 14:17
慢支肺气肿,肺心可能。
作者: DDN    时间: 2010-8-19 16:02
建议加照侧位,或ct检查除外左下肺或纵膈病变。
作者: fanxinyu    时间: 2010-8-19 16:51
慢支肺气肿,肺心可能
作者: tiangaohaikuo    时间: 2010-8-19 19:15
慢支、肺气肿合并肺心病可能
作者: 西明    时间: 2010-8-20 01:01
考虑慢支、肺气肿、肺心病,请结合临床。
左下胸膜肥厚?
作者: 拾荒者    时间: 2010-8-20 04:08
慢支、肺气肿、肺心病。
作者: yuebin    时间: 2010-8-20 20:22
建议加照侧位,或ct检查除外左下肺或纵膈病变
作者: zhanggenliang    时间: 2010-8-20 21:23
慢支、肺气肿。是否肺心病可以做个心电图看看
作者: 谨言慎行    时间: 2010-8-21 01:40
建议查心脏
作者: 西明    时间: 2010-8-21 05:18
考虑慢支、肺气肿,肺心病,请结合临床
作者: 胡国强    时间: 2010-8-21 06:07
慢支、肺气肿,左下肺感染,肺心?
作者: 随光逐影    时间: 2010-8-24 07:13
慢性支气管炎,肺气肿;肺原性心脏病。
作者: wsmg-自在    时间: 2010-8-25 23:39
慢支,肺气肿,肺心病可能。
支持!
作者: yuyan19770724    时间: 2010-8-27 00:55
慢支 肺气肿,肺心病
作者: me13930865    时间: 2010-8-27 13:52
标题: 回复:x7758:这片请大家多多指教 谢谢
以下是引用shihai在2010-8-18 18:37:00的发言:[br]慢性支气管炎、肺气肿、肺心病。[br]建议心脏彩超。





欢迎光临 医影在线 (http://bbs.radida.com/bbs/) Powered by Discuz! X3.2