医影在线

标题: CT28569:看看鞍上池正常吗 [打印本页]

作者: swyyy2007    时间: 2010-8-24 20:44
标题: CT28569:看看鞍上池正常吗
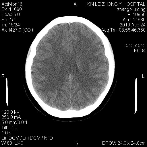
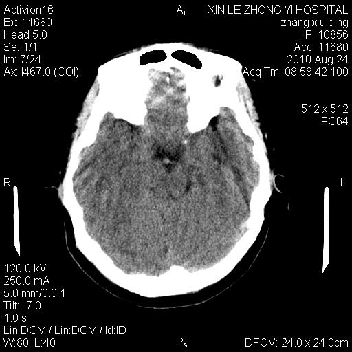
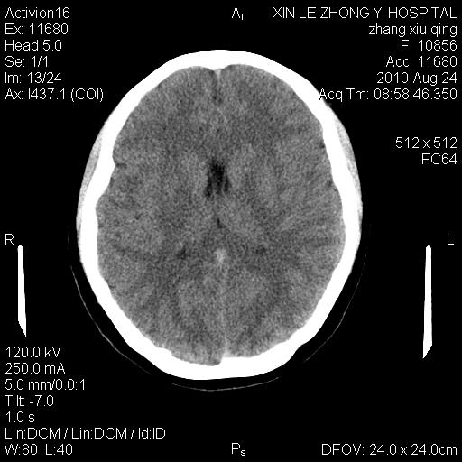
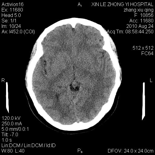
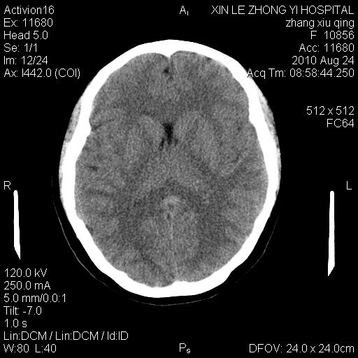
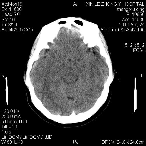
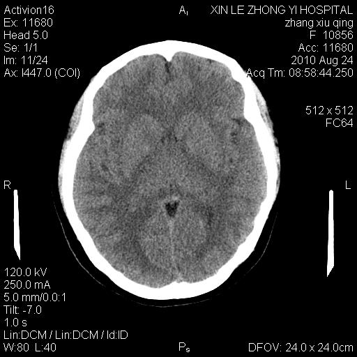
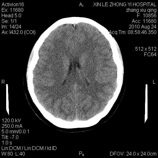
女 24 偶有头晕

















[本贴已被 jiajie 于 2010-8-24 18:08:53 修改过]

作者: qq13622194    时间: 2010-8-24 20:59
怎么这么多伪影?我感觉没什么特别异常哦,是不是伪影所至呀
作者: ydx_74    时间: 2010-8-24 21:44
病史?感觉有水肿,炎症或转移
作者: 卜一    时间: 2010-8-24 22:25
伪影多,建议行mri!
作者: jsdtd    时间: 2010-8-24 22:37
未见明显异常,必要时可作mri
作者: jiazhirong    时间: 2010-8-24 23:15
伪影多,建议行mri
作者: yuhongjun    时间: 2010-8-24 23:23
未见明显异常,必要时可作mri 。
作者: cfililiu    时间: 2010-8-24 23:34
建议薄层扫描或mr
作者: 我排行老大    时间: 2010-8-25 00:16
没什么!只是扫描层面与听眦线不平行
作者: zxl51642    时间: 2010-8-25 00:20
未见明显异常,必要时可作mri 。
作者: 与狼共舞VS    时间: 2010-8-25 01:25
未见异常
作者: 李慧珍    时间: 2010-8-25 02:36
建议作mri
作者: ct诊断高手    时间: 2010-8-25 02:36
伪影多,建议行mri
作者: 国qing    时间: 2010-8-25 02:55
伪影干扰下,所见无水肿、无占位,建议定期复查。
作者: shihai    时间: 2010-8-25 04:15
扫描层面所致。
作者: mary-zhou    时间: 2010-8-25 04:19
未见明显异常,必要时可作mri
作者: 随光逐影    时间: 2010-8-25 15:38
未见明确异常;建议必要时行进一步检查。
作者: shuiyuan    时间: 2010-8-25 23:50
未见明显异常,必要时可作mri




欢迎光临 医影在线 (http://bbs.radida.com/bbs/) Powered by Discuz! X3.2