医影在线

标题: CT28577:大家看看胃窦有问题吗? [打印本页]

作者: 摘星空竹子    时间: 2010-8-25 02:18
标题: CT28577:大家看看胃窦有问题吗?
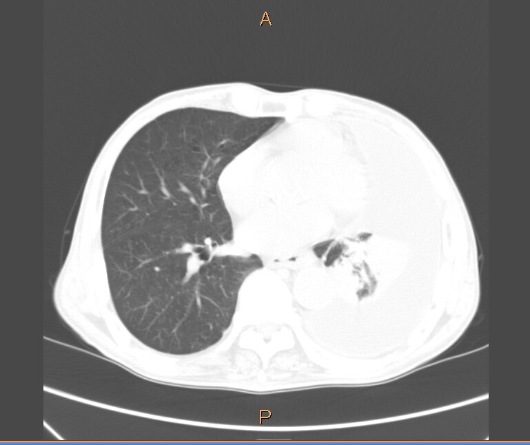
男,81岁。咳嗽、气短伴上腹部不适感。
























































[本贴已被 jiajie 于 2010-8-24 19:19:36 修改过]

作者: ct诊断高手    时间: 2010-8-25 02:23
左肺大量胸腔积液,压迫性肺不张。伴左肺膨胀不全。胃窦怀疑占位,建议胃镜
作者: 李慧珍    时间: 2010-8-25 02:48
左肺大量胸腔积液,压迫性肺不张。伴左肺膨胀不全。肝右后叶囊肿、双肾囊肿。胃窦怀疑占位,建议胃镜
作者: 卜一    时间: 2010-8-25 04:13
左肺大量胸腔积液,压迫性肺不张。伴左肺膨胀不全。胃窦怀疑占位,建议胃镜!支持!
作者: mary-zhou    时间: 2010-8-25 04:24
左肺大量胸腔积液伴左肺膨胀不全。双肾囊肿。胃窦怀疑占位,建议胃镜
作者: yuhongjun    时间: 2010-8-25 05:10
左肺大量胸腔积液伴左肺膨胀不全。双肾囊肿。胃窦怀疑占位,建议胃镜
作者: xiongneo    时间: 2010-8-25 05:50
左肺大量胸腔积液伴左肺膨胀不全。双肾囊肿。胃窦怀疑占位,建议胃镜
作者: zhb    时间: 2010-8-25 16:44
左肺大量胸腔积液伴左肺膨胀不全。双肾囊肿 结石。胃窦怀疑占位,建议胃镜
作者: dyqct    时间: 2010-8-25 18:04
标题: 回复:ct28577:大家看看胃窦有问题吗?
以下是引用mary-zhou在2010-8-24 20:24:00的发言:[br]左肺大量胸腔积液伴左肺膨胀不全。双肾囊肿。胃窦怀疑占位,建议胃镜

支持!
作者: zsl6918    时间: 2010-8-26 01:24
现有资料难以明确




欢迎光临 医影在线 (http://bbs.radida.com/bbs/) Powered by Discuz! X3.2