医影在线

标题: CT28584:女,48岁,肛门坠胀感一年,肠镜未见异常。 [打印本页]

作者: ldm1993    时间: 2010-8-25 15:09
标题: CT28584:女,48岁,肛门坠胀感一年,肠镜未见异常。
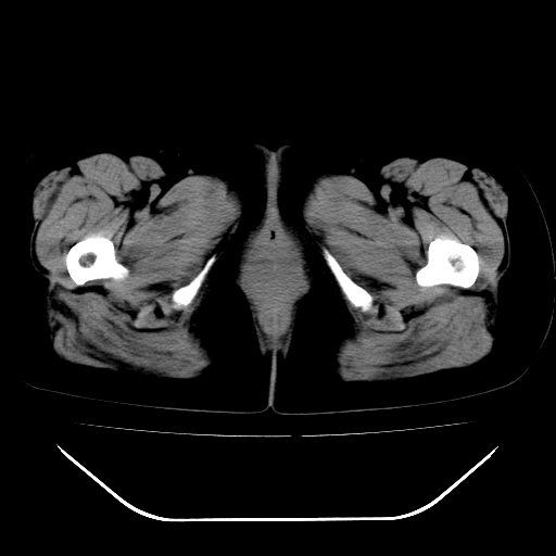
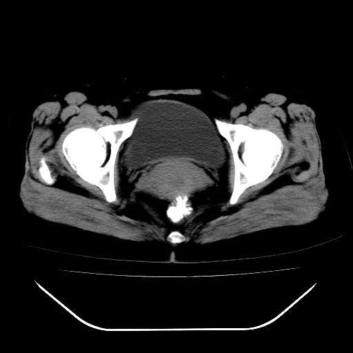
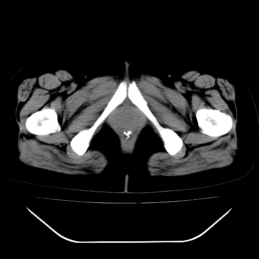
女,48岁,肛门坠胀感一年,肠镜未见异常。





















[本贴已被 jiajie 于 2010-8-25 18:14:10 修改过]

作者: 卜一    时间: 2010-8-25 15:31
子宫明显增大,形态不规则。多考虑:子宫肌瘤!
作者: zhb    时间: 2010-8-25 16:26
盆腔积液 结合临床考虑盆腔炎
作者: muzi888    时间: 2010-8-25 17:08
子宫明显增大,形态不规则,  盆腔积液 结合临床考虑:1子宫肌瘤, 2  盆腔炎。
作者: 王国学    时间: 2010-8-25 19:06
子宫明显增大,形态不规则。多考虑:子宫肌瘤!
作者: 37度    时间: 2010-8-25 20:33
道格拉斯窝积液考虑慢性盆腔炎,宫腔少量积液,子宫肌瘤不好说,建议增强。




欢迎光临 医影在线 (http://bbs.radida.com/bbs/) Powered by Discuz! X3.2