
以下是引用shihai在2010-8-28 19:34:00的发言:[br]箭头所示为正常的降主动脉的左侧缘。椎旁线在其内侧,更靠近脊柱,未见增宽。
以下是引用sammycn在2010-8-28 20:14:00的发言:[br]可能系血管或后纵膈胸膜影。
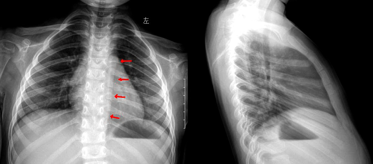
以下是引用shihai在2010-8-28 19:34:00的发言:[br]箭头所示为正常的降主动脉的左侧缘。椎旁线在其内侧,更靠近脊柱,未见增宽。
以下是引用shihai在2010-8-28 19:34:00的发言:[br]箭头所示为正常的降主动脉的左侧缘。椎旁线在其内侧,更靠近脊柱,未见增宽。
以下是引用shihai在2010-8-28 19:34:00的发言:[br]箭头所示为正常的降主动脉的左侧缘。椎旁线在其内侧,更靠近脊柱,未见增宽。
以下是引用shihai在2010-8-28 19:34:00的发言:[br]箭头所示为正常的降主动脉的左侧缘。椎旁线在其内侧,更靠近脊柱,未见增宽。
以下是引用shihai在2010-8-28 19:34:00的发言:[br]箭头所示为正常的降主动脉的左侧缘。椎旁线在其内侧,更靠近脊柱,未见增宽。
| 欢迎光临 医影在线 (http://bbs.radida.com/bbs/) | Powered by Discuz! X3.2 |