医影在线

标题: X7838:胸片 [打印本页]

作者: hulei666    时间: 2010-9-3 22:03
标题: X7838:胸片
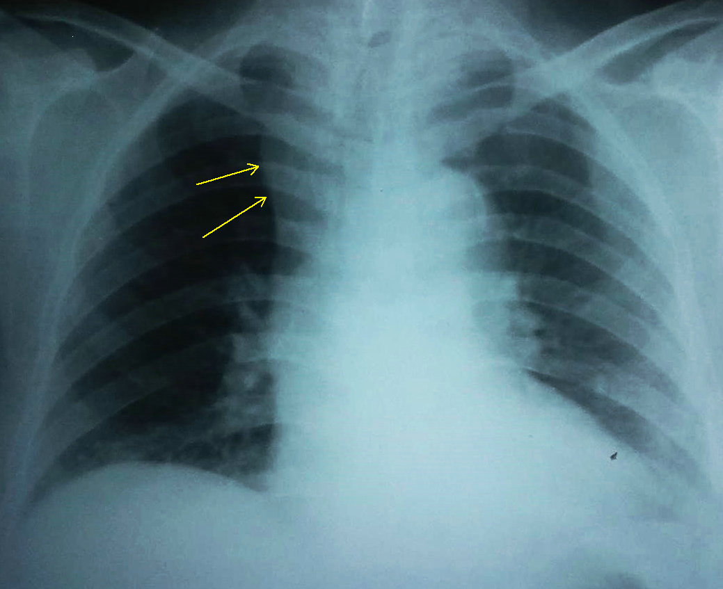
女,70,脑梗塞住院体检。箭头所指是上腔静脉吗?


[本贴已被 jiajie 于 2010-9-3 18:53:10 修改过]

作者: ghp3522    时间: 2010-9-3 22:32
不是孤立突入胸腔内阴影,而是下缘一直延续下来,是上腔静脉影。年龄较大,有高血压病史患者,一般上腔静脉影较宽。
作者: zxl51642    时间: 2010-9-3 23:16
支持楼上
作者: sunbin    时间: 2010-9-3 23:32
考虑上腔静脉影。
作者: zqzwq    时间: 2010-9-3 23:59
标题: x线考虑肺类风湿病,请求会诊
以下是引用ghp3522在2010-9-3 14:32:00的发言:[br]不是孤立突入胸腔内阴影,而是下缘一直延续下来,是上腔静脉影。年龄较大,有高血压病史患者,一般上腔静脉影较宽。

作者: sdzyy    时间: 2010-9-4 01:59
标题: 回复:胸片
以下是引用ghp3522在2010-9-3 14:32:00的发言:[br]不是孤立突入胸腔内阴影,而是下缘一直延续下来,是上腔静脉影。年龄较大,有高血压病史患者,一般上腔静脉影较宽。

作者: jsdtd    时间: 2010-9-4 02:41
支持楼上
作者: 随光逐影    时间: 2010-9-4 02:47
支持2楼意见。
作者: hexue    时间: 2010-9-4 03:27
考虑上腔静脉影。
作者: zshua2008    时间: 2010-9-4 03:37
考虑上腔静脉影
作者: 拾荒者    时间: 2010-9-4 05:17
考虑上腔静脉影。
作者: 向辉春    时间: 2010-9-4 07:01
不是上腔静脉影,因为气管捎右牵拉右移位,边缘清晰,外侧缘似有类三角形改变,有上肺透亮度增高,结合有脑梗塞病史,不除外肺梗死或肺不张。建议ct增强
作者: 地球上的    时间: 2010-9-4 07:29
是上腔静脉影
作者: me13930865    时间: 2010-9-4 12:49
支持2楼意见
作者: yuhongjun    时间: 2010-9-4 14:03
考虑上腔静脉影。
作者: 刹那光影    时间: 2010-9-4 20:14
上腔静脉影。
作者: 王宛龙    时间: 2010-9-5 03:52
上腔静脉影
作者: 神仙    时间: 2010-9-5 13:26
支持2楼意见。
作者: ZHANGZHONGSHOU    时间: 2010-9-5 15:55
老年人无名动脉可能性大,也可能是上腔
作者: zhangkening    时间: 2010-9-6 00:37
是上腔静脉。
作者: zmczmc    时间: 2010-9-6 02:00
是上腔静脉
作者: 寻芳者    时间: 2010-9-6 06:44
考虑上腔静脉影------------------------
作者: 王多贵    时间: 2010-9-6 14:03
支持上腔静脉影
作者: tiangaohaikuo    时间: 2010-9-6 16:26
考虑上腔静脉影。
作者: 宇宙CT    时间: 2010-9-6 18:34
考虑上腔静脉影
作者: zhanggenliang    时间: 2010-9-7 05:54
支持楼主




欢迎光临 医影在线 (http://bbs.radida.com/bbs/) Powered by Discuz! X3.2