

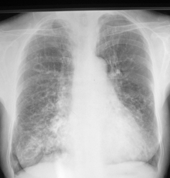
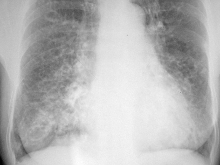
以下是引用拾荒者在2010-9-3 21:20:00的发言:[br]双肺纹理粗乱、模糊,双肺中下野沿纹理示卷发样改变,双侧胸廓饱满,膈肌低平,结合临床考虑:慢支并感染,肺气肿,支扩可能。
以下是引用zxl51642在2010-9-3 22:07:00的发言:[br]支持楼上
以下是引用hguox在2010-9-4 9:33:00的发言:[br]慢支并感染,肺气肿,支扩可能,心功能如何?
以下是引用拾荒者在2010-9-3 21:20:00的发言:[br]双肺纹理粗乱、模糊,双肺中下野沿纹理示卷发样改变,双侧胸廓饱满,膈肌低平,结合临床考虑:慢支并感染,肺气肿,支扩可能。
以下是引用拾荒者在2010-9-3 21:20:00的发言:[br]双肺纹理粗乱、模糊,双肺中下野沿纹理示卷发样改变,双侧胸廓饱满,膈肌低平,结合临床考虑:慢支并感染,肺气肿,支扩可能。
| 欢迎光临 医影在线 (http://bbs.radida.com/bbs/) | Powered by Discuz! X3.2 |