医影在线

标题: X7843:大家进来看看,这根肋是否属正常 [打印本页]

作者: ysq1221    时间: 2010-9-5 11:12
标题: X7843:大家进来看看,这根肋是否属正常
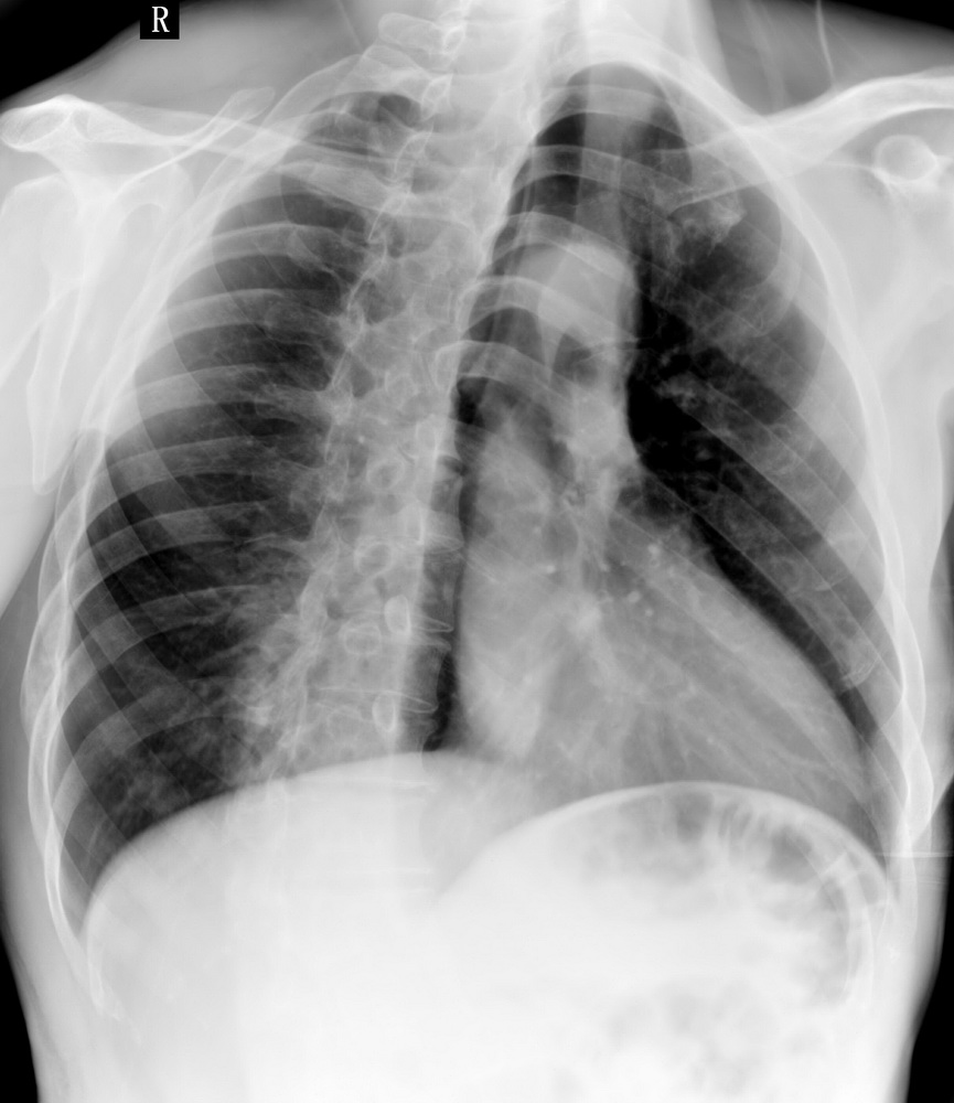
患者,男性,41y,外伤病号,来拍片,发现右侧第9后肋,肋骨膨大,有密度不均,想问大家,是否有问题,要考虑什么东西,谢谢








[本贴已被 cefcmj 于 2010-9-5 6:36:47 修改过]

作者: 神仙    时间: 2010-9-5 13:16
考虑骨纤
作者: yuhongjun    时间: 2010-9-5 14:38
骨纤。
作者: ZHANGZHONGSHOU    时间: 2010-9-5 15:47
可以不报,不典型
作者: 吴教授    时间: 2010-9-5 16:38
骨纤
作者: zxl51642    时间: 2010-9-5 18:18
骨纤
作者: 随光逐影    时间: 2010-9-5 18:27
右侧第九后肋骨纤维结构不良。
作者: 心路寻觅    时间: 2010-9-5 19:18
支持右侧第九后肋骨纤维结构不良。
作者: 拾荒者    时间: 2010-9-6 00:23
考虑骨纤维异常增殖症(混合型)。
作者: zhangkening    时间: 2010-9-6 00:29
肋骨是骨纤好发部位。
作者: 黑白光影    时间: 2010-9-6 04:31
支持右侧第九后肋骨纤维结构不良。
作者: xiongneo    时间: 2010-9-6 04:47
考虑骨纤维异常增殖症(混合型)。  
   

拾荒者说
作者: 寻芳者    时间: 2010-9-6 06:55
骨纤----------------------
作者: 小小医    时间: 2010-9-6 07:25
骨纤可能性大(肋骨是骨纤好发部位)。
作者: 王多贵    时间: 2010-9-6 13:58
骨纤
作者: dyqct    时间: 2010-9-6 16:26
也可能是发育变异。
作者: tiangaohaikuo    时间: 2010-9-6 16:34
考虑骨纤维异常增殖症(混合型)。
作者: LIAOQIANG    时间: 2010-9-6 17:51
考虑骨纤可能性大。
作者: 宇宙CT    时间: 2010-9-6 18:44
支持右侧第九后肋骨纤维结构不良。
作者: zhanggenliang    时间: 2010-9-7 05:42
考虑骨纤
作者: 李世军    时间: 2010-9-8 01:47
支持右侧第九后肋骨纤维结构不良。
作者: wsmg-自在    时间: 2010-9-8 06:45
支持右侧第九后肋骨纤维结构不良。




欢迎光临 医影在线 (http://bbs.radida.com/bbs/) Powered by Discuz! X3.2