医影在线

标题: X7845:M 16岁 外伤就诊。 [打印本页]

作者: 小小医    时间: 2010-9-5 19:07
标题: X7845:M 16岁 外伤就诊。






[本贴已被 jiajie 于 2010-9-5 18:43:37 修改过]

作者: 吴教授    时间: 2010-9-5 19:15
没事儿
作者: zxl51642    时间: 2010-9-5 21:22
未见明显骨折
作者: 云在青天    时间: 2010-9-6 00:06
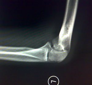
影像所见:左肱骨远端隐约可见自外上髁向髁间走行不规则骨质透亮线,侧位显示肱骨前线欠光整。未见脱位征象。骨骺发育未见异常。
印象:左肱骨远端骨折不除外。
建议:斜位投照或ct。
作者: 随光逐影    时间: 2010-9-6 00:13
未见明确异常。
作者: zhangkening    时间: 2010-9-6 00:28
我怎么感觉肱骨外上髁上方皮质有裂隙啊,建议一周后复查。
作者: 拾荒者    时间: 2010-9-6 00:33
未见明显异常。
作者: 在笑一方    时间: 2010-9-6 02:01
髁上骨折?
作者: zmczmc    时间: 2010-9-6 02:10
是内上髁正常存留骺影
作者: 157636063    时间: 2010-9-6 02:36
未见明显异常
作者: 黑白光影    时间: 2010-9-6 04:15
未见明显异常。
作者: xiongneo    时间: 2010-9-6 04:50
加照对侧,感觉肱骨外上髁上方内侧骨骺旁显示低密度负影。
作者: 寻芳者    时间: 2010-9-6 06:56
未见异常------------------------
作者: yuhongjun    时间: 2010-9-6 13:09
未见明确异常。
作者: 神仙    时间: 2010-9-6 13:31
未见明显异常。
作者: dyqct    时间: 2010-9-6 16:28
未见明显异常。
作者: zqzwq    时间: 2010-9-6 16:31
标题: x线考虑肺类风湿病,请求会诊
以下是引用xiongneo在2010-9-5 20:50:00的发言:[br]加照对侧,感觉肱骨外上髁上方内侧骨骺旁显示低密度负影。

作者: tiangaohaikuo    时间: 2010-9-6 16:39
是正常骨骺,必要时加照对侧。
作者: xshq371    时间: 2010-9-6 16:54
外上髁骨折?
作者: 宇宙CT    时间: 2010-9-6 18:47
师傅,清对侧照照||!
作者: 帅河马    时间: 2010-9-6 20:21
未见异常
作者: zqf5359914    时间: 2010-9-7 01:03
未见明显异常。
作者: haa3206216    时间: 2010-9-7 04:25
未见异常
作者: zhanggenliang    时间: 2010-9-7 05:15
未见明显异常改变
作者: 小小医    时间: 2010-9-7 07:53
不是本人班上的片子  我是看到下了骨折 觉得不像 才发上来的
作者: 王国学    时间: 2010-9-7 18:13
未见明显异常
作者: 进修医生    时间: 2010-9-7 18:58
是内上髁正常存留骺影,支持




欢迎光临 医影在线 (http://bbs.radida.com/bbs/) Powered by Discuz! X3.2