医影在线

标题: X7848:请各位老师看看!! [打印本页]

作者: yndlzdc    时间: 2010-9-5 20:31
标题: X7848:请各位老师看看!!
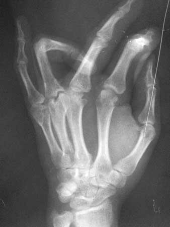
男性患者,31岁,中指和无名指活动障碍,无名指近节指间关节屈曲。




[本贴已被 jiajie 于 2010-9-5 18:44:20 修改过]

作者: 吴教授    时间: 2010-9-5 22:26
骨性关节病,建议了解病史
作者: zxl51642    时间: 2010-9-5 23:32
挛缩屈曲畸形,看看有无外伤、烧伤形成的瘢痕,指间、掌指关节为继发性改变。
作者: 随光逐影    时间: 2010-9-6 00:20
支持3楼意见。
作者: zhangkening    时间: 2010-9-6 00:24
我认为有可能病人长期从事高创伤工作所以的创伤性关节炎。
作者: 拾荒者    时间: 2010-9-6 03:13
标题: 回复:x7848:请各位老师看看!!
以下是引用zhangkening在2010-9-5 16:24:00的发言:[br]我认为有可能病人长期从事高创伤工作所以的创伤性关节炎。

同意,要是有烧伤史也许楼主就不会发上来讨论了。
作者: 黑白光影    时间: 2010-9-6 04:11
标题: 回复:x7848:请各位老师看看!!
以下是引用吴教授在2010-9-5 14:26:00的发言:[br]骨性关节病,建议了解病史

作者: yuhongjun    时间: 2010-9-6 13:13
骨性关节病,建议了解病史.
作者: xshq371    时间: 2010-9-6 16:05
支持1楼意见。
作者: zqzwq    时间: 2010-9-6 16:21
标题: x线考虑肺类风湿病,请求会诊
以下是引用吴教授在2010-9-5 14:26:00的发言:[br]骨性关节病,建议了解病史

作者: tiangaohaikuo    时间: 2010-9-6 17:53
挛缩屈曲畸形,看看有无外伤、烧伤形成的瘢痕,指间、掌指关节为继发性改变。
作者: 宇宙CT    时间: 2010-9-6 18:55
骨性关节病,建议了解病史.
作者: 帅河马    时间: 2010-9-6 20:16
骨性关节病,建议了解病史
作者: zhanggenliang    时间: 2010-9-7 05:37
骨性关节病。请进一步了解病史
作者: liyf    时间: 2010-9-7 06:47
1、三、四掌骨远端陈旧性骨折;2、三、四掌指骨关节创伤性关节炎。
作者: zhangweidong    时间: 2010-9-7 19:06
请说病史。




欢迎光临 医影在线 (http://bbs.radida.com/bbs/) Powered by Discuz! X3.2