医影在线

标题: X7894:慢支炎5年.加重1周 [打印本页]

作者: 07619    时间: 2010-9-13 04:39
标题: X7894:慢支炎5年.加重1周
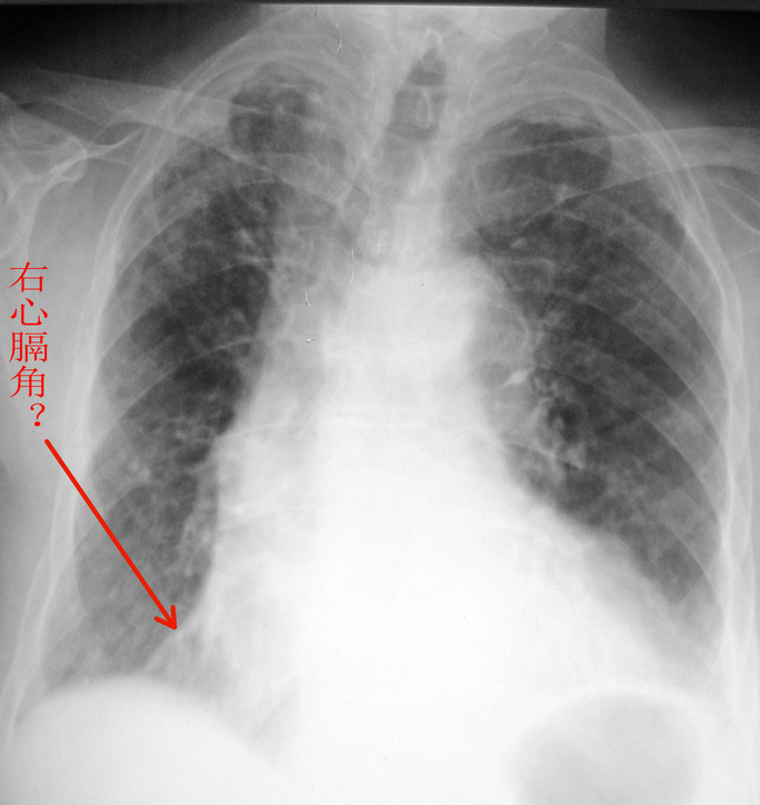
女.80.慢支炎5年.加重1周.请各位会诊





[本贴已被 翁志蓬 于 2010-9-13 15:52:46 修改过]

作者: ghp3522    时间: 2010-9-13 05:03
右肺中叶肺不张或阻塞性肺炎+两肺间质纤维化---ct确诊。
作者: liangshusheng    时间: 2010-9-13 06:05
慢支、感染,局部纤维化
作者: linyiming    时间: 2010-9-13 10:10
右上肺陈旧性肺结核?
慢支炎。 右心隔可能是心包垫。
作者: dyqct    时间: 2010-9-13 17:23
考虑慢性支气管炎合并感染,右上继发型肺结核。必要时做ct进一步检查。
作者: shibing    时间: 2010-9-13 19:04
考虑慢性支气管炎合并感染,双上继发型肺结核。必要时做ct进一步检查。
作者: 赖加强    时间: 2010-9-13 19:12
右肺中叶综合症?建议ct检查
作者: zqf5359914    时间: 2010-9-13 22:55
考虑慢性支气管炎合并感染,右上继发型肺结核。必要时做ct进一步检查。
作者: 流星1234    时间: 2010-9-13 23:31
考虑慢性支气管炎合并感染
作者: tiangaohaikuo    时间: 2010-9-13 23:36
考虑慢性支气管炎合并感染,右肺继发型肺结核。必要时做ct进一步检查。
作者: 随光逐影    时间: 2010-9-13 23:45
标题: 回复:慢支炎5年.加重1周
以下是引用dyqct在2010-9-13 9:23:00的发言:[br]考虑慢性支气管炎合并感染,右上继发型肺结核。必要时做ct进一步检查。

作者: 王国学    时间: 2010-9-13 23:47
考虑慢性支气管炎合并感染,右上继发型肺结核。必要时做ct进一步检查。
作者: 宇宙CT    时间: 2010-9-14 01:11
慢支、感染,局部纤维化
作者: zxl51642    时间: 2010-9-14 01:16
慢支、感染,局部纤维化
作者: zhanggenliang    时间: 2010-9-14 04:30
慢支并感染,双上肺不能排除结核,右心膈角最先应考虑心包脂肪垫。体位不正,气管右偏,是不是病人有些驼背所致?
作者: xiongneo    时间: 2010-9-14 06:15
考虑慢性支气管炎合并感染,右肺继发型肺结核。必要时做ct进一步检查。
作者: hexue    时间: 2010-9-14 06:20
考虑慢性支气管炎合并感染
作者: sunbin    时间: 2010-9-15 00:37
右上肺可见片结影,余肺纹增多且模糊,支持慢支并感染,右上肺继发性结核。建议ct。
作者: 拾荒者    时间: 2010-9-15 03:45
考虑慢性支气管炎合并感染,右肺继发型肺结核。必要时做ct进一步检查。
作者: ydx_74    时间: 2010-9-15 05:43
慢性支气管炎合并感染
作者: 韦伟    时间: 2010-9-15 08:29
慢支、感染,局部纤维化
作者: LIAOQIANG    时间: 2010-9-15 18:29
慢性支气管炎合并感染,双肺上野结核。




欢迎光临 医影在线 (http://bbs.radida.com/bbs/) Powered by Discuz! X3.2