医影在线

标题: CT29039:胸部病例,请同道们帮忙! [打印本页]

作者: mzj-329    时间: 2010-9-16 06:11
标题: CT29039:胸部病例,请同道们帮忙!
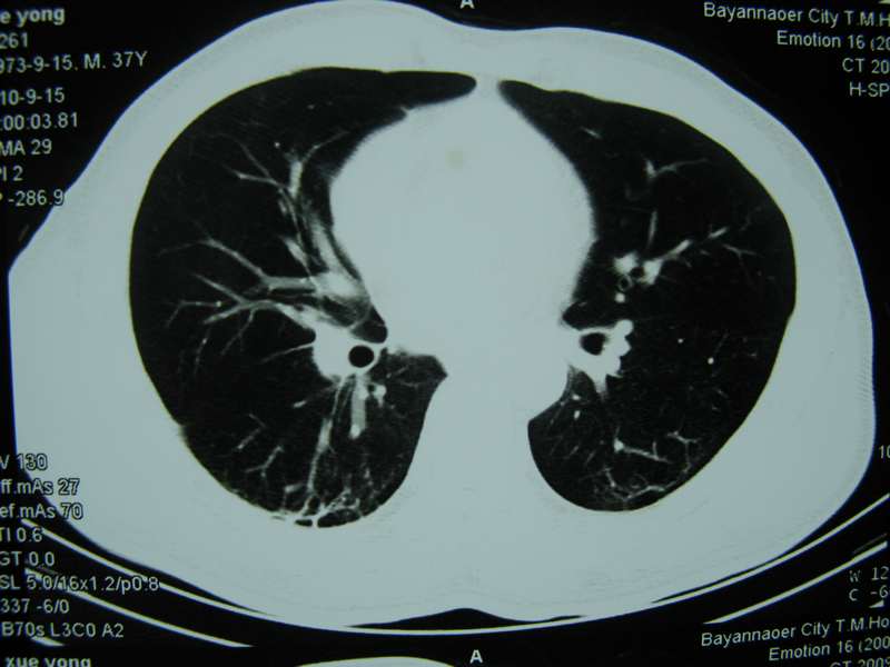
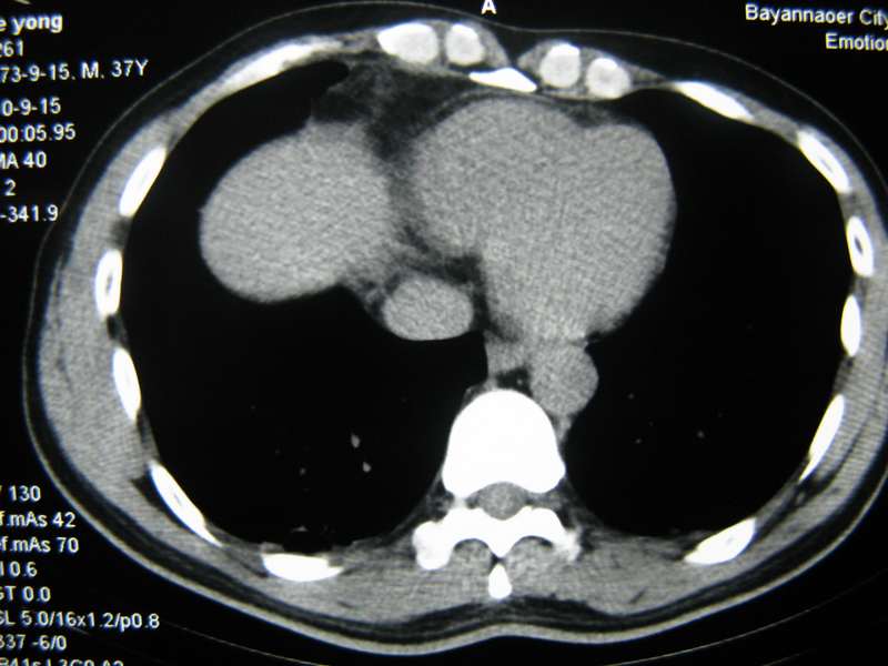
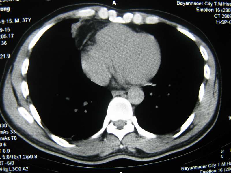
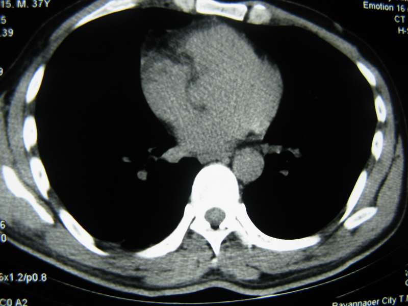
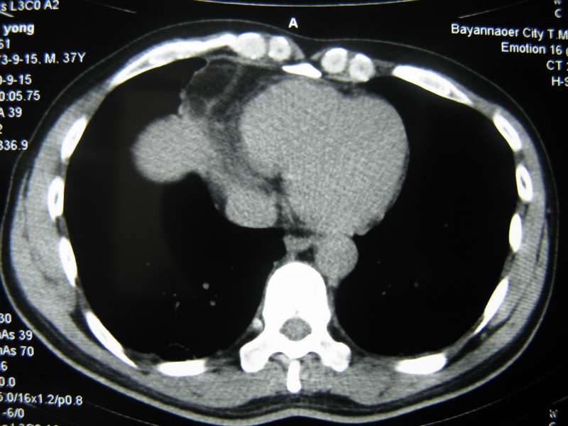
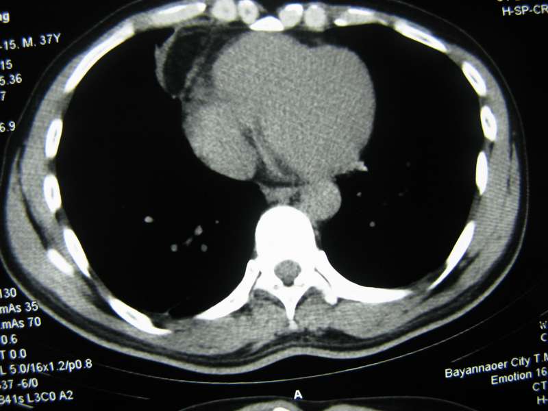
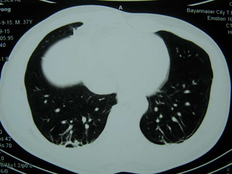
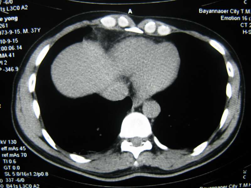
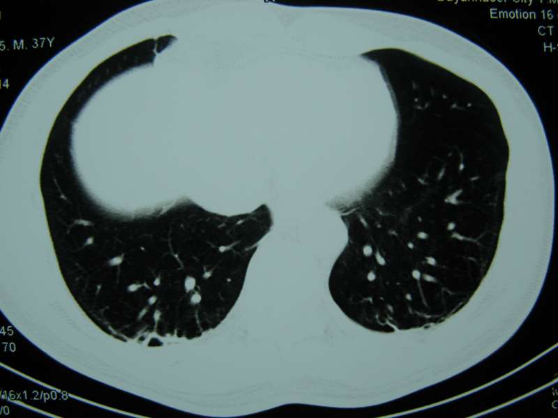
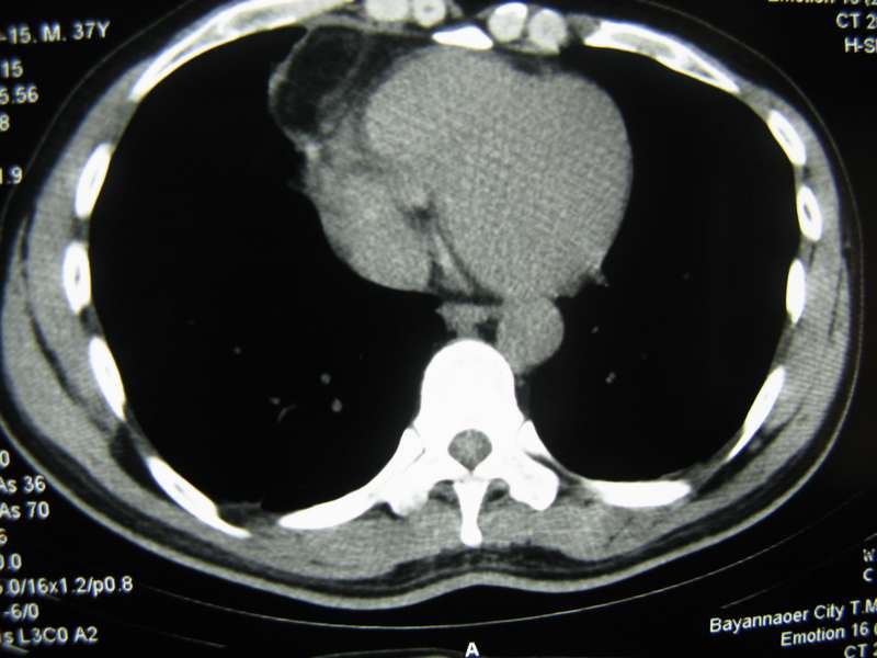
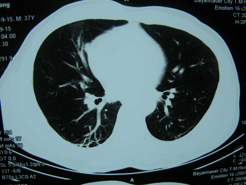
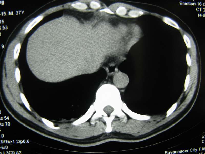
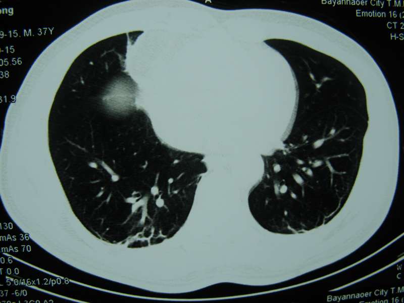
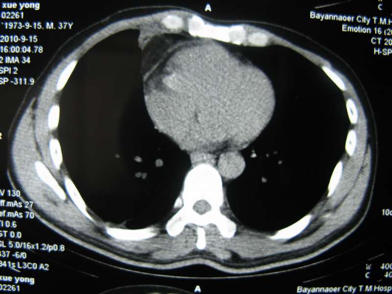
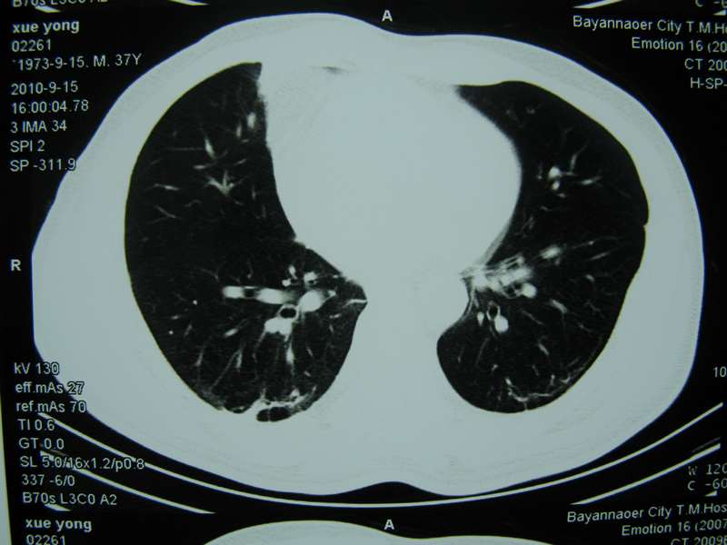
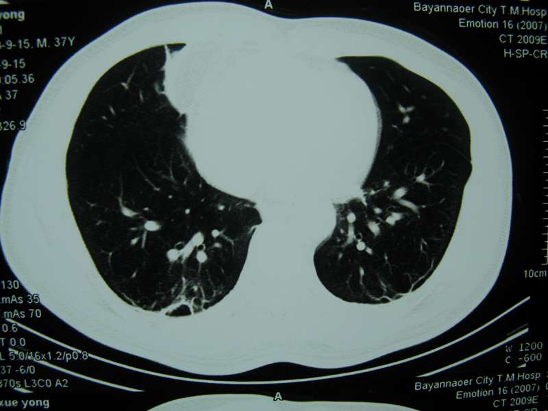
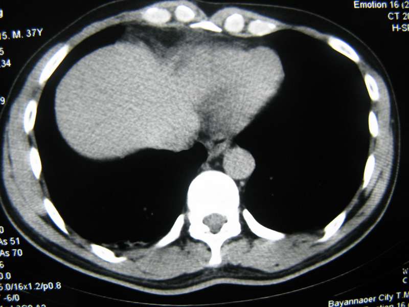
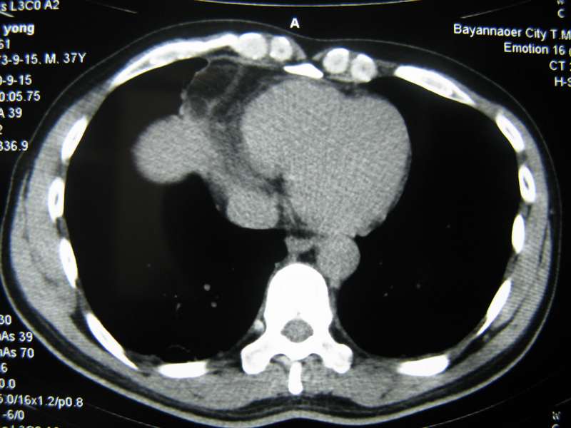
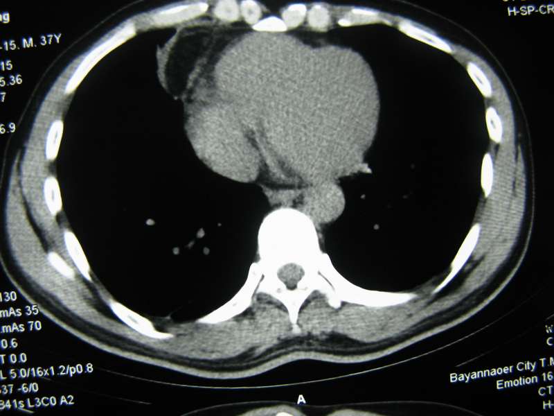
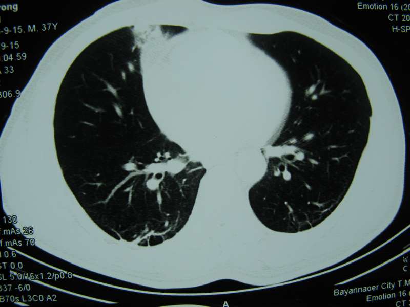
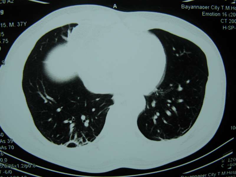
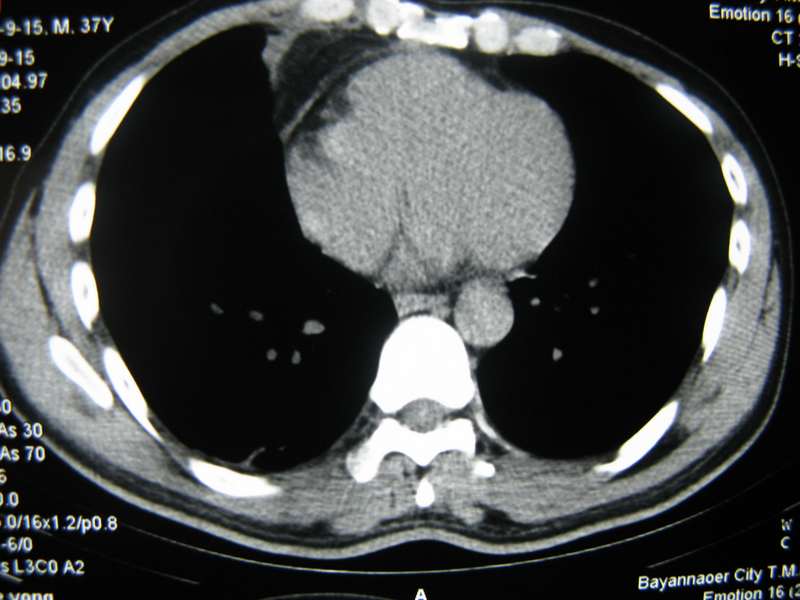
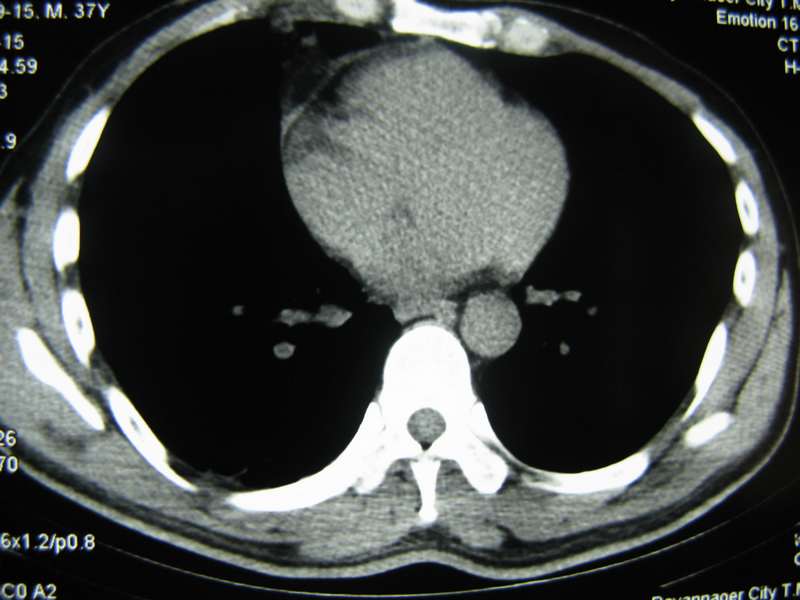
男,37岁,主述胸疼厉害,无咳嗽,无发热,血象也不高,病灶内ct值脂肪密度,右侧胸腔内少量积液,同道们考虑什么?谢谢!




























[本贴已被 jiajie 于 2010-9-16 6:44:46 修改过]

作者: 323    时间: 2010-9-16 06:25
脂肪垫,右下肺感染,少许积液是症状所在
作者: zjfhot    时间: 2010-9-16 07:03
纵膈脂肪堆积,右肺慢性炎症。
作者: zxl51642    时间: 2010-9-16 07:05
标题: 回复:胸部病例,请同道们帮忙!
以下是引用323在2010-9-15 22:25:00的发言:[br]脂肪垫,右下肺感染,少许积液是症状所在

作者: 地球上的    时间: 2010-9-16 07:29
标题: 回复:胸部病例,请同道们帮忙!
以下是引用323在2010-9-15 22:25:00的发言:[br]脂肪垫,右下肺感染,少许积液是症状所在

作者: 施明    时间: 2010-9-16 14:24
无大事
作者: 卜一    时间: 2010-9-16 15:22
以下是引用323在2010-9-15 22:25:00的发言:
脂肪垫,右下肺感染,少许积液是症状所在
支持!
作者: tgg321    时间: 2010-9-16 15:39
两肺下叶基底段纤维灶,右肺下叶基底背侧相应胸膜肥厚,右肺中叶内侧段部分不张。前中下纵隔团块状脂肪影,随访除外胸腺脂肪瘤。
作者: 神仙    时间: 2010-9-16 16:01
以下是引用323在2010-9-15 22:25:00的发言:
脂肪垫,右下肺感染,少许积液是症状所在
支持!
作者: ghp3522    时间: 2010-9-16 16:05
支持。
作者: yhb    时间: 2010-9-16 17:19
不太像病灶.
作者: 同    时间: 2010-9-16 18:09
标题: 回复:ct29039:胸部病例,请同道们帮忙!
以下是引用323在2010-9-15 22:25:00的发言:[br]脂肪垫,右下肺感染,少许积液是症状所在

作者: 王国学    时间: 2010-9-16 18:14
纵膈脂肪堆积,右肺慢性炎症
作者: ZJB    时间: 2010-9-16 18:15
脂肪垫,右下肺感染,少许积液是症状所在
支持!
作者: 随光逐影    时间: 2010-9-16 19:31
脂肪垫;右肺慢性炎症。
作者: lxprmyy    时间: 2010-9-16 21:20
支持
作者: yuhongjun    时间: 2010-9-16 21:56
脂肪垫,右下肺感染,少许积液是症状所在
支持!
作者: lyb999    时间: 2010-9-16 22:52
脂肪垫,右下肺感染,少许积液是症状所在 。支持
作者: LIAOQIANG    时间: 2010-9-17 20:04
不除外膈疝。




欢迎光临 医影在线 (http://bbs.radida.com/bbs/) Powered by Discuz! X3.2