医影在线

标题: CT29072:上腹部CT平扫+增强 [打印本页]

作者: 同    时间: 2010-9-17 19:13
标题: CT29072:上腹部CT平扫+增强
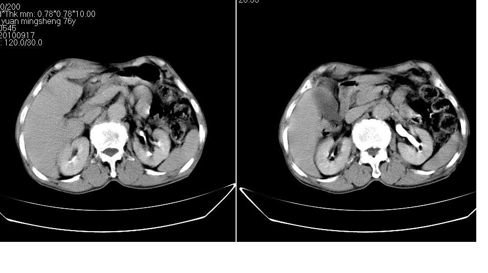
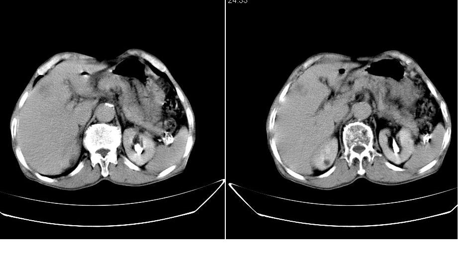
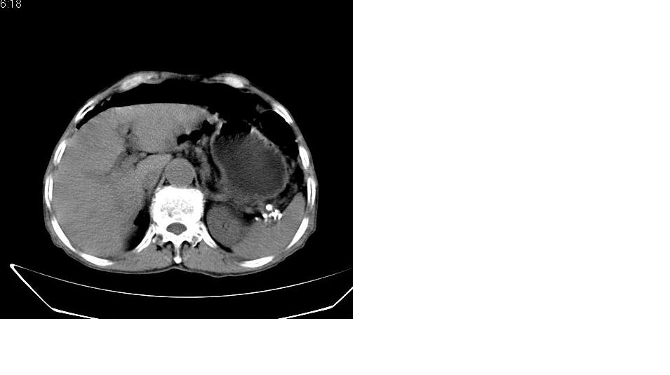
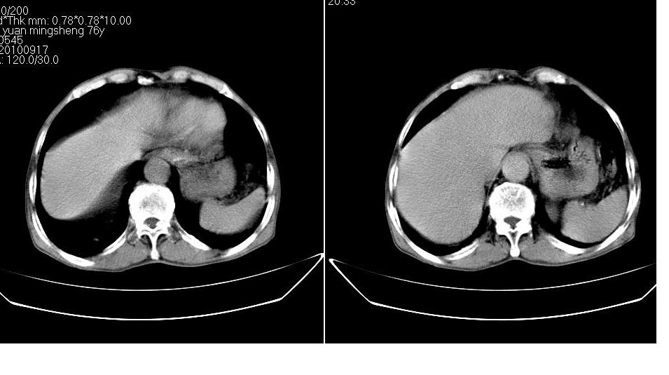
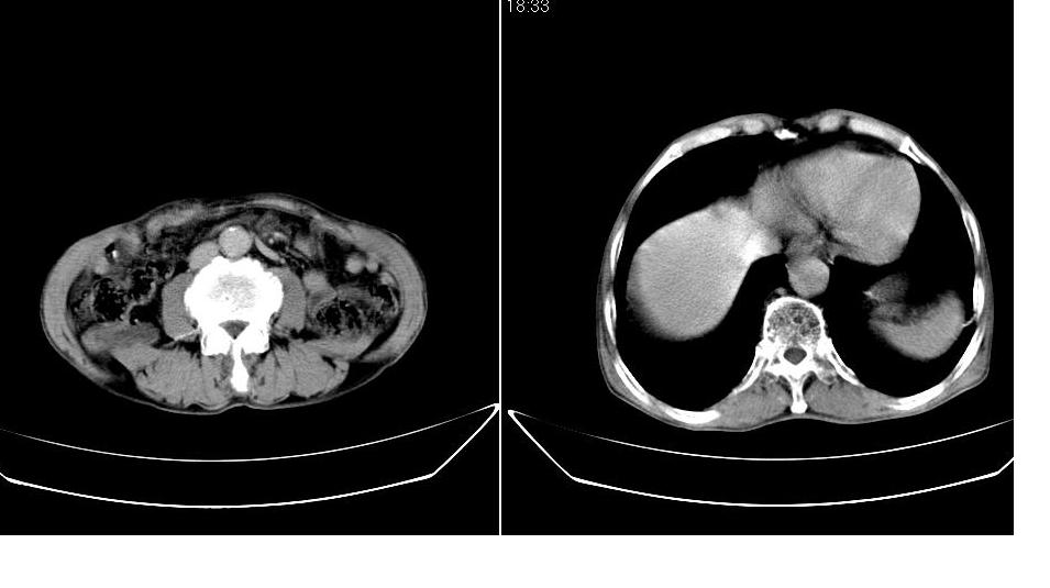
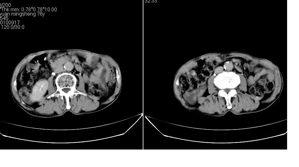
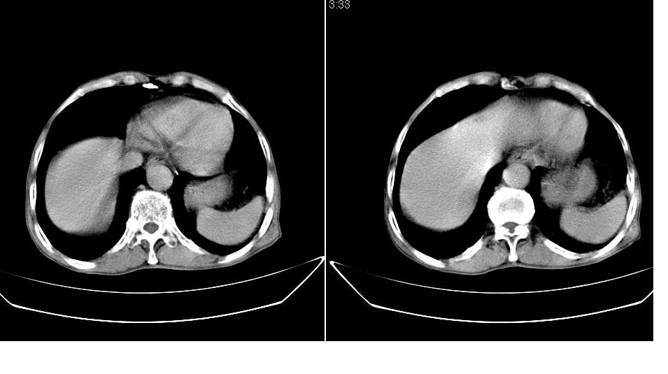
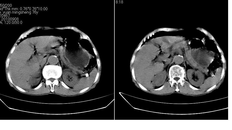
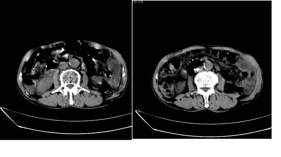
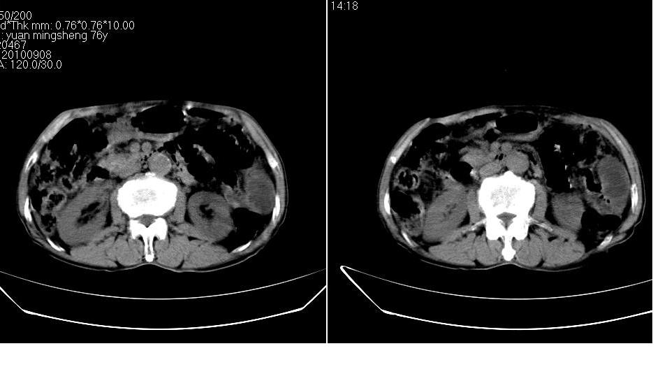
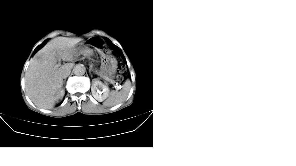
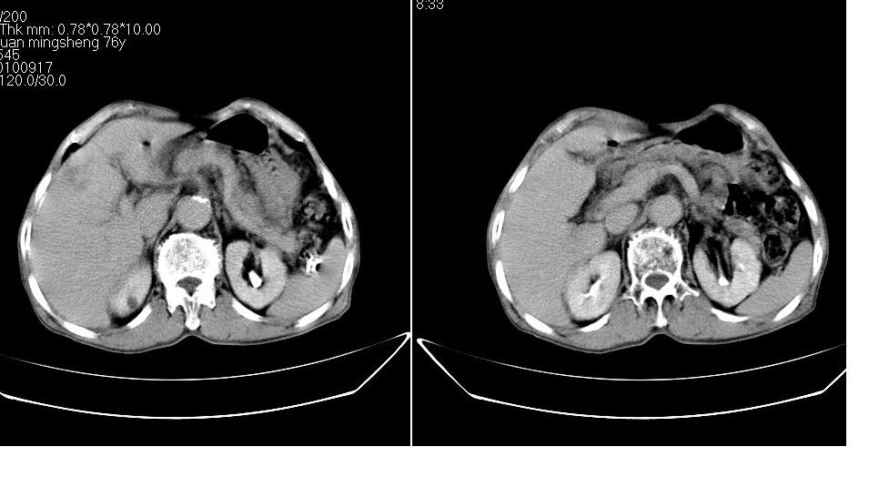
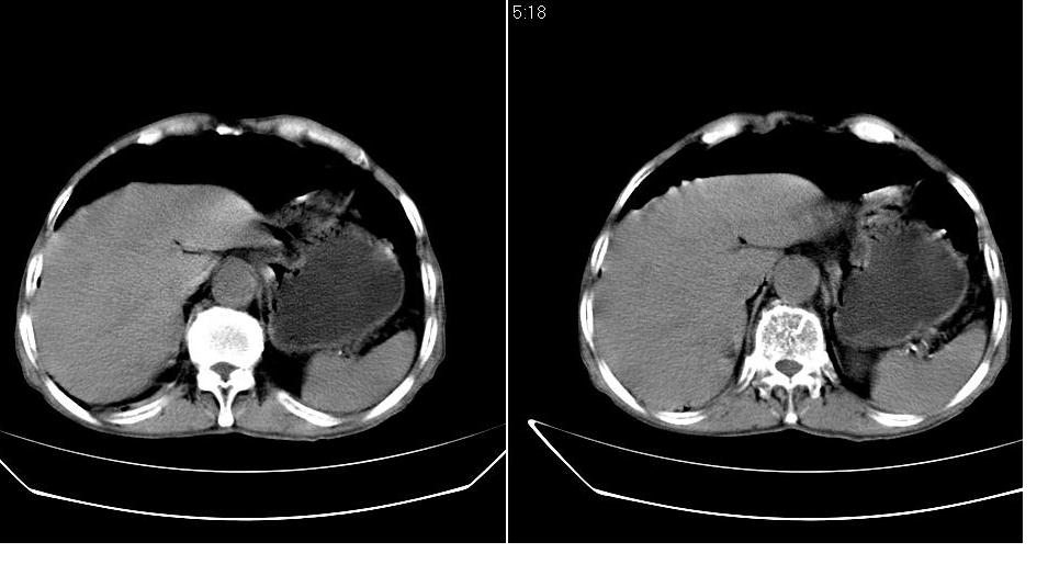
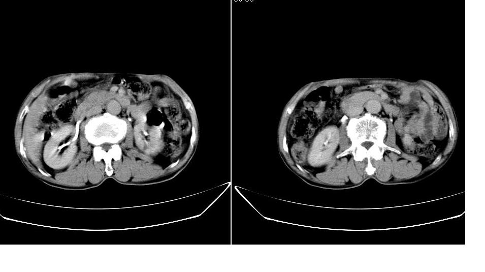
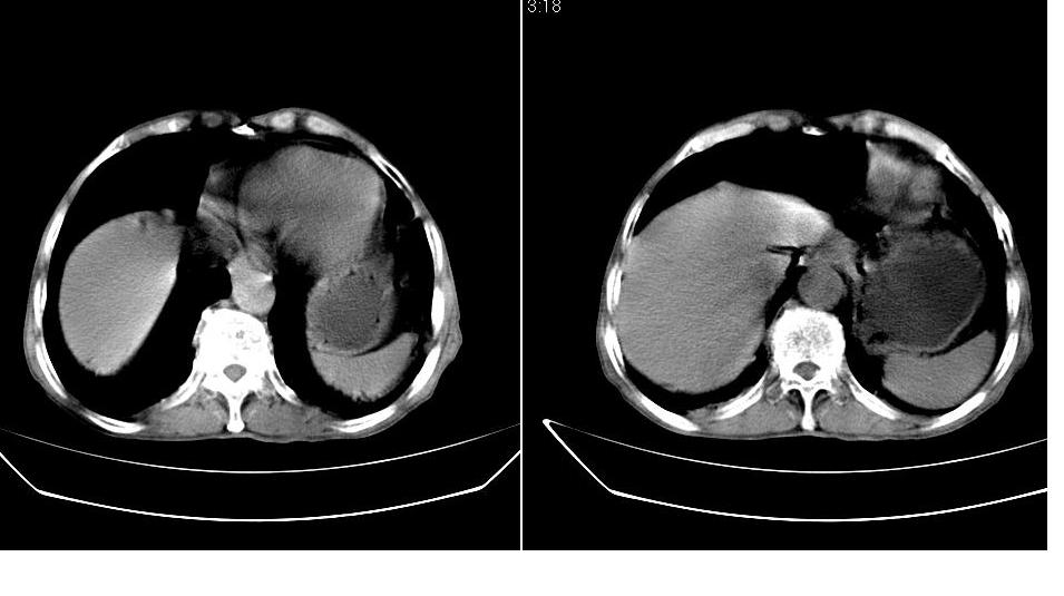
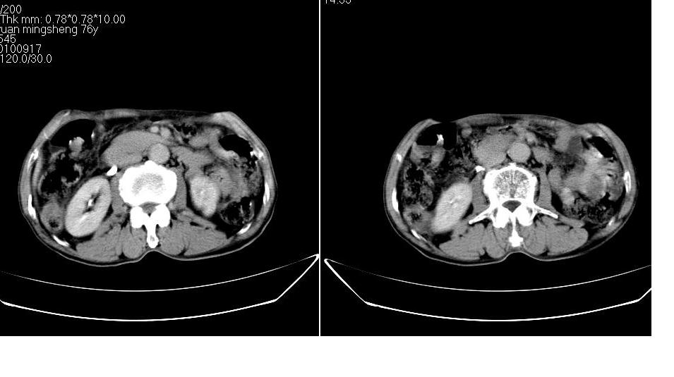
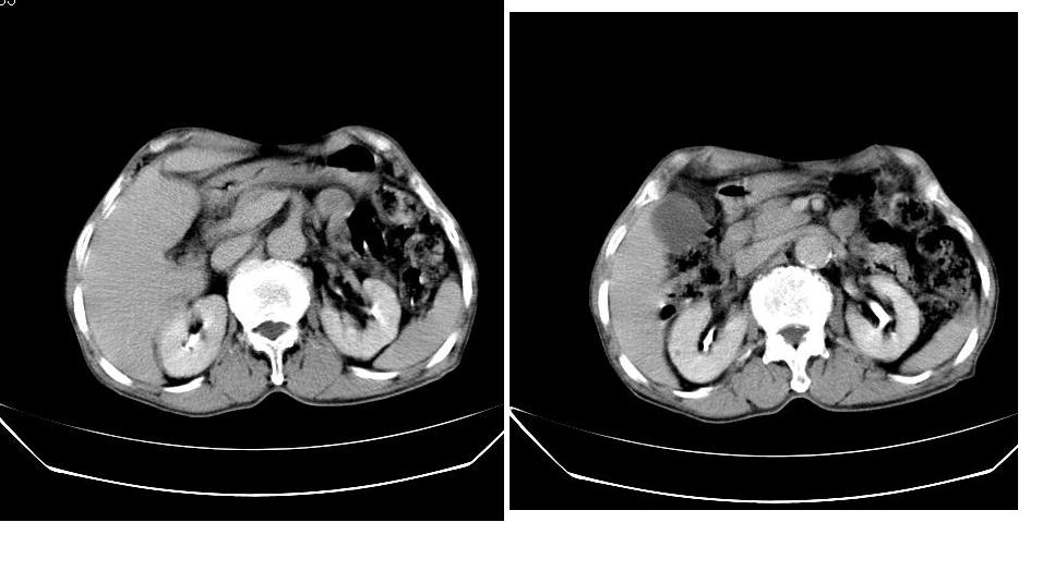
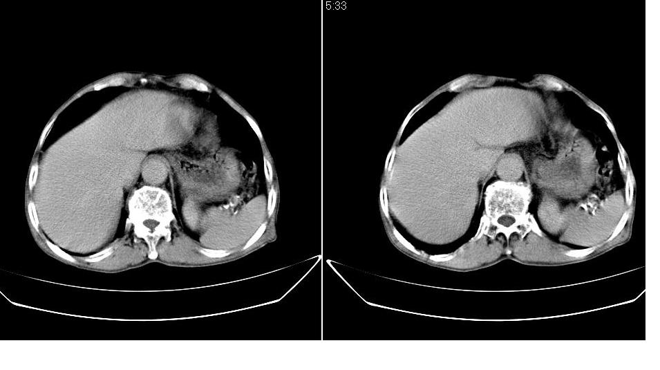
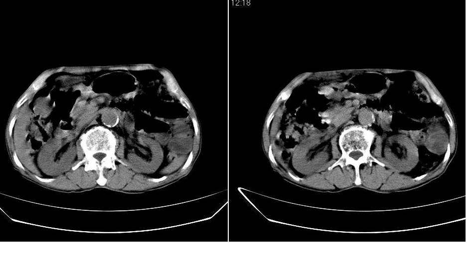
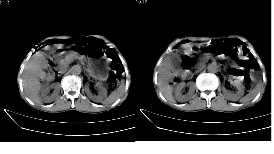
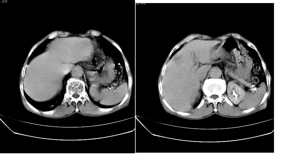
男,76岁,上腹部疼二天来就诊,彩超提示肝左叶占位,随后做上腹部ct平扫,今天做上腹部ct增强扫描,手工推药,效果不好,请谅解。



























[本贴已被 jiajie 于 2010-9-17 19:23:49 修改过]

作者: ghp3522    时间: 2010-9-17 19:44
肝左叶s4肿块强化形式大概是:慢进慢出,逐渐强化----考虑血管瘤/腺瘤?{动脉期应更提前扫}。
作者: jy8683    时间: 2010-9-17 23:03
肝左叶血管瘤。
作者: 323    时间: 2010-9-17 23:19
肝右叶前段hcc
作者: 随光逐影    时间: 2010-9-17 23:52
1)肝右叶前段低密度灶,不排除肝癌可能;建议查afp。2)右肾上极囊肿。
作者: zxl51642    时间: 2010-9-18 00:20
肝内胆管积气扩张,胆囊增大,肝右前叶低密度灶,逐渐强化,一元论,胆系感染,局限性肝脓肿;右肾囊肿。
作者: jiazhirong    时间: 2010-9-18 00:43
支持
作者: linyiming    时间: 2010-9-18 00:47
考虑肝s4段肝脓肿可能?未排除肝癌。右肾上极囊肿。
作者: yuhongjun    时间: 2010-9-18 18:57
支持: 肝左叶血管瘤。




欢迎光临 医影在线 (http://bbs.radida.com/bbs/) Powered by Discuz! X3.2