医影在线

标题: CT29088:左股骨颈 [打印本页]

作者: 摘星空竹子    时间: 2010-9-18 00:56
标题: CT29088:左股骨颈
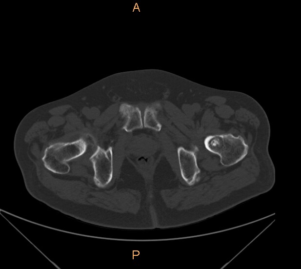
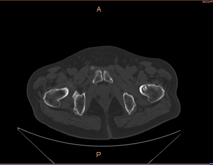
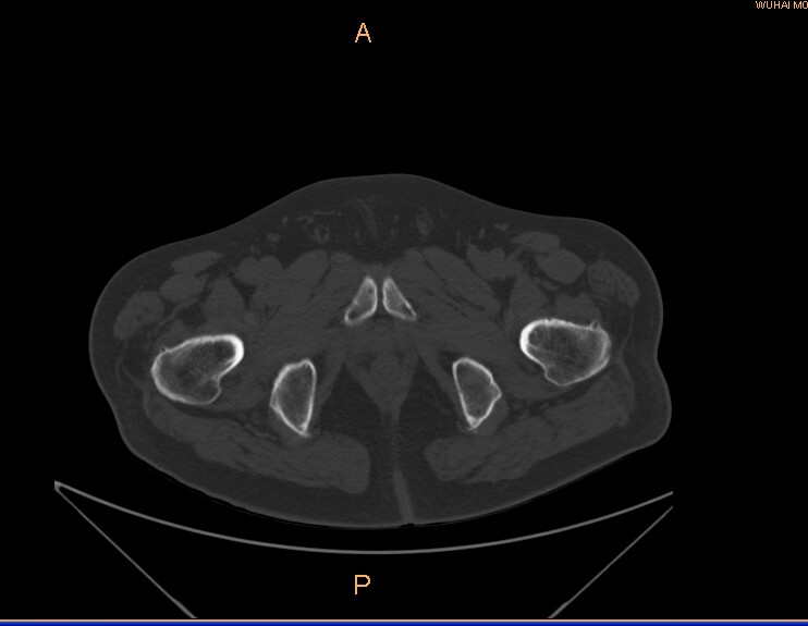
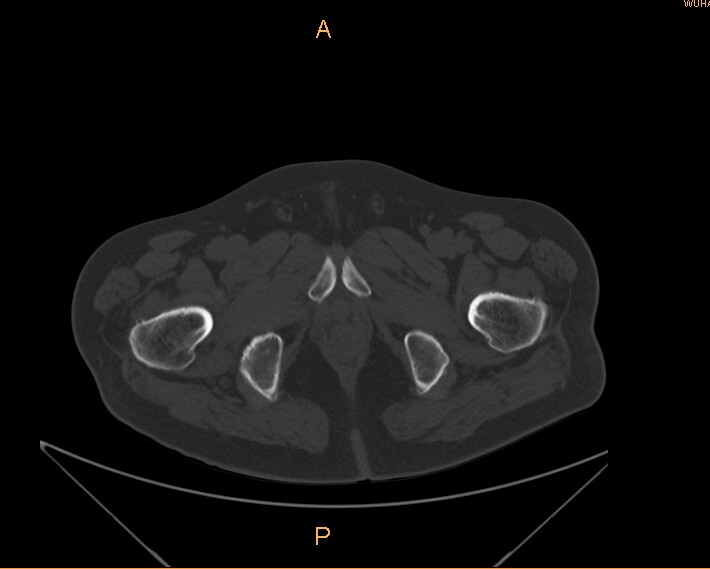
左侧股骨颈疼痛。






[本贴已被 jiajie 于 2010-9-17 19:34:16 修改过]

作者: 摘星空竹子    时间: 2010-9-18 00:58
对不起,发少了。
作者: jsdtd    时间: 2010-9-18 01:47
左股骨颈软骨瘤可能,建议增强或mri
作者: 37度    时间: 2010-9-18 02:05
内生软骨瘤。
作者: 北方盲流    时间: 2010-9-18 02:08
不排除骨样骨瘤
作者: qc80012345    时间: 2010-9-18 02:19
没有诊断价值.
作者: 随光逐影    时间: 2010-9-18 02:25
不排除左侧股骨颈内生软骨瘤可能。
作者: 宇宙CT    时间: 2010-9-18 03:30
不排除左侧股骨颈内生软骨瘤可能。
作者: zxl51642    时间: 2010-9-18 04:32
6楼说没有诊断价值,不知道是否在工作中这样的都报正常?
给年龄性别病史和平片,ct图像发全
年龄大了一般都是梗死灶。
内生软骨瘤年龄较小,分叶状,局部皮质有改变,钙化为环形半环形,没有这么粗大。
作者: 杀毒软件    时间: 2010-9-18 07:10
标题: 回复:ct29088:左股骨颈
以下是引用随光逐影在2010-9-17 18:25:00的发言:[br]不排除左侧股骨颈内生软骨瘤可能。

支持
作者: yuhongjun    时间: 2010-9-18 18:30
左股骨颈软骨瘤可能,建议增强或mri  。




欢迎光临 医影在线 (http://bbs.radida.com/bbs/) Powered by Discuz! X3.2