医影在线
标题: CT29137:右肺占位,请讨论! [打印本页]
作者: guzhongliangddd 时间: 2010-9-20 02:22
标题: CT29137:右肺占位,请讨论!
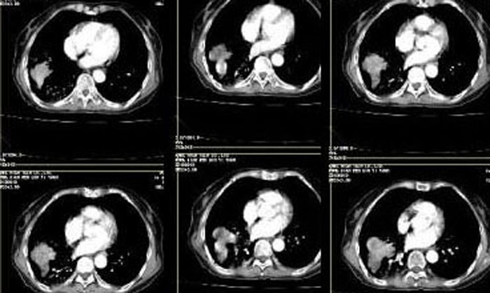
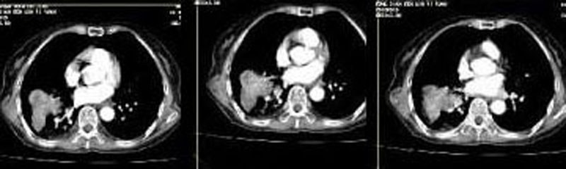
体检查发现右肺占位,女80岁。

















[本贴已被 guzhongliangddd 于 2010-9-19 18:23:01 修改过]
[本贴已被 jiajie 于 2010-9-19 19:23:38 修改过]
[本贴已被 jiajie 于 2010-9-19 19:25:00 修改过]
作者: 杀毒软件 时间: 2010-9-20 03:16
能放大图片吗?
作者: YRJ0513 时间: 2010-9-20 03:17
阻塞性肺不张?
作者: guzhongliangddd 时间: 2010-9-20 03:31
谢谢1楼战友的提醒:
作者: guzhongliangddd 时间: 2010-9-20 03:32
标题: 回复:ct29137:右肺占位,请讨论!



[本贴已被 guzhongliangddd 于 2010-9-19 19:39:06 修改过]
作者: 农民之子 时间: 2010-9-20 04:26
右肺下叶中央型肺癌伴下叶肺不张
作者: xiongneo 时间: 2010-9-20 06:12
右肺下叶中央型肺癌伴下叶肺不张
作者: 蓬莱客 时间: 2010-9-20 06:15
右肺下叶中央型肺癌伴下叶肺不张
作者: panyishengct 时间: 2010-9-20 07:33
右肺下叶中央型肺癌伴下叶肺不张
作者: 随光逐影 时间: 2010-9-20 15:14
考虑右肺下叶周围型肺癌并阻塞性肺炎。
作者: ghp3522 时间: 2010-9-20 15:27
考虑右肺下叶周围型肺癌并阻塞性肺炎。
作者: 卜一 时间: 2010-9-20 15:59
右肺下叶中央型肺癌伴下叶肺不张
作者: 王国学 时间: 2010-9-20 19:16
考虑右肺下叶周围型肺癌并阻塞性肺炎
作者: muzi888 时间: 2010-9-20 22:49
右肺下叶中央型肺癌伴下叶肺不张
作者: 宇宙CT 时间: 2010-9-20 23:06
考虑右肺下叶周围型肺癌并阻塞性肺炎。
作者: dyqct 时间: 2010-9-20 23:07
考虑右肺下叶周围型肺癌并阻塞性肺炎。建议查痰、肿瘤标记物或活检。
作者: zxl51642 时间: 2010-9-20 23:44
没扫全,肺门纵膈有没有淋巴结?
肺ca可能性大,活检
作者: 施明 时间: 2010-9-21 00:18
气管镜
作者: duanhui007 时间: 2010-9-21 01:04
标题: 回复:ct29137:右肺占位,请讨论!
以下是引用随光逐影在2010-9-20 7:14:00的发言:[br]考虑右肺下叶周围型肺癌并阻塞性肺炎。
作者: jiazhirong 时间: 2010-9-21 02:49
右肺下叶中央型肺癌伴下叶肺不张
作者: LIAOQIANG 时间: 2010-9-21 19:05
考虑右肺下叶周围型肺癌并阻塞性肺炎。
支持!!
| 欢迎光临 医影在线 (http://bbs.radida.com/bbs/) |
Powered by Discuz! X3.2 |