医影在线

标题: X7936:女,25岁,咳嗽半月 [打印本页]

作者: YRJ0513    时间: 2010-9-21 20:55
标题: X7936:女,25岁,咳嗽半月



[本贴已被 jiajie 于 2010-9-21 18:40:40 修改过]

作者: yuebin    时间: 2010-9-21 21:10
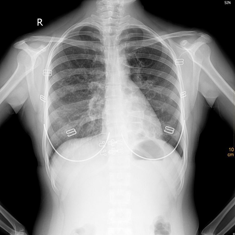
支气管囊肿和支扩鉴别。倾向前者。
作者: ghp3522    时间: 2010-9-21 21:25
间质性改变。
作者: zhanggenliang    时间: 2010-9-21 23:10
支持肺间质改变
作者: xiongneo    时间: 2010-9-21 23:25
必要时ct。
作者: zxl51642    时间: 2010-9-21 23:42
标题: 回复:女,25岁,咳嗽半月
以下是引用yuebin在2010-9-21 13:10:00的发言:[br]支气管囊肿和支扩鉴别。倾向前者。

作者: tiangaohaikuo    时间: 2010-9-21 23:46
两下肺纹理增重,尤以右侧为重,请结合临床。
作者: zjm赵建明    时间: 2010-9-21 23:54
左侧多囊肺。
作者: hnz    时间: 2010-9-22 01:18
左侧多发肺囊肿。
作者: 胡国强    时间: 2010-9-22 02:02
支气管囊肿和支扩鉴别。建议ct检查。
作者: 在笑一方    时间: 2010-9-22 03:11
心影正常吗?
作者: 随光逐影    时间: 2010-9-22 04:11
以下是引用yuebin在2010-9-21 13:10:00的发言:
支气管囊肿和支扩鉴别。倾向前者。
作者: 小小医    时间: 2010-9-22 04:15
支气管囊肿和支扩鉴别。倾向前者。
左肺可见多了类圆形透亮影,结合临床病史(25岁,咳嗽半月),支气管囊肿可能性比较大,建议ct。
作者: hexue    时间: 2010-9-22 06:13
支气管囊肿和支扩鉴别。倾向前者。
作者: 刹那光影    时间: 2010-9-22 07:07
以下是引用yuebin在2010-9-21 13:10:00的发言:
支气管囊肿和支扩鉴别。倾向前者。
作者: zhangkening    时间: 2010-9-22 11:47
左肺囊肿。
作者: 医盲    时间: 2010-9-22 17:24
支气管囊肿与支扩有待进一步鉴别
作者: 谢建春    时间: 2010-9-22 18:46
标题: 回复:x7936:女,25岁,咳嗽半月
以下是引用hnz在2010-9-21 17:18:00的发言:[br]左侧多发肺囊肿。

作者: 37度    时间: 2010-9-23 02:47
以下是引用yuebin在2010-9-21 13:10:00的发言:
支气管囊肿和支扩鉴别。倾向前者。
作者: 拾荒者    时间: 2010-9-23 04:17
支气管囊肿可能,建议进一步ct检查。
作者: linyiming    时间: 2010-9-23 10:02
考虑左肺肺囊肿,双肺间质炎症。




欢迎光临 医影在线 (http://bbs.radida.com/bbs/) Powered by Discuz! X3.2