医影在线

标题: X7944:请大家来这张片要诊断什么名 [打印本页]

作者: ysq1221    时间: 2010-9-22 19:48
标题: X7944:请大家来这张片要诊断什么名
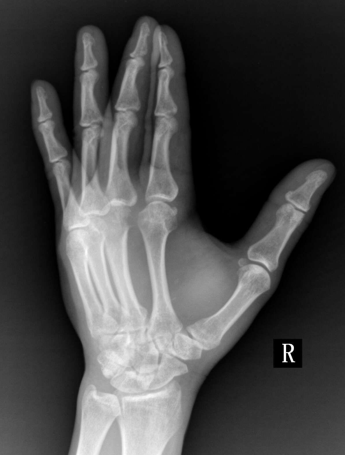
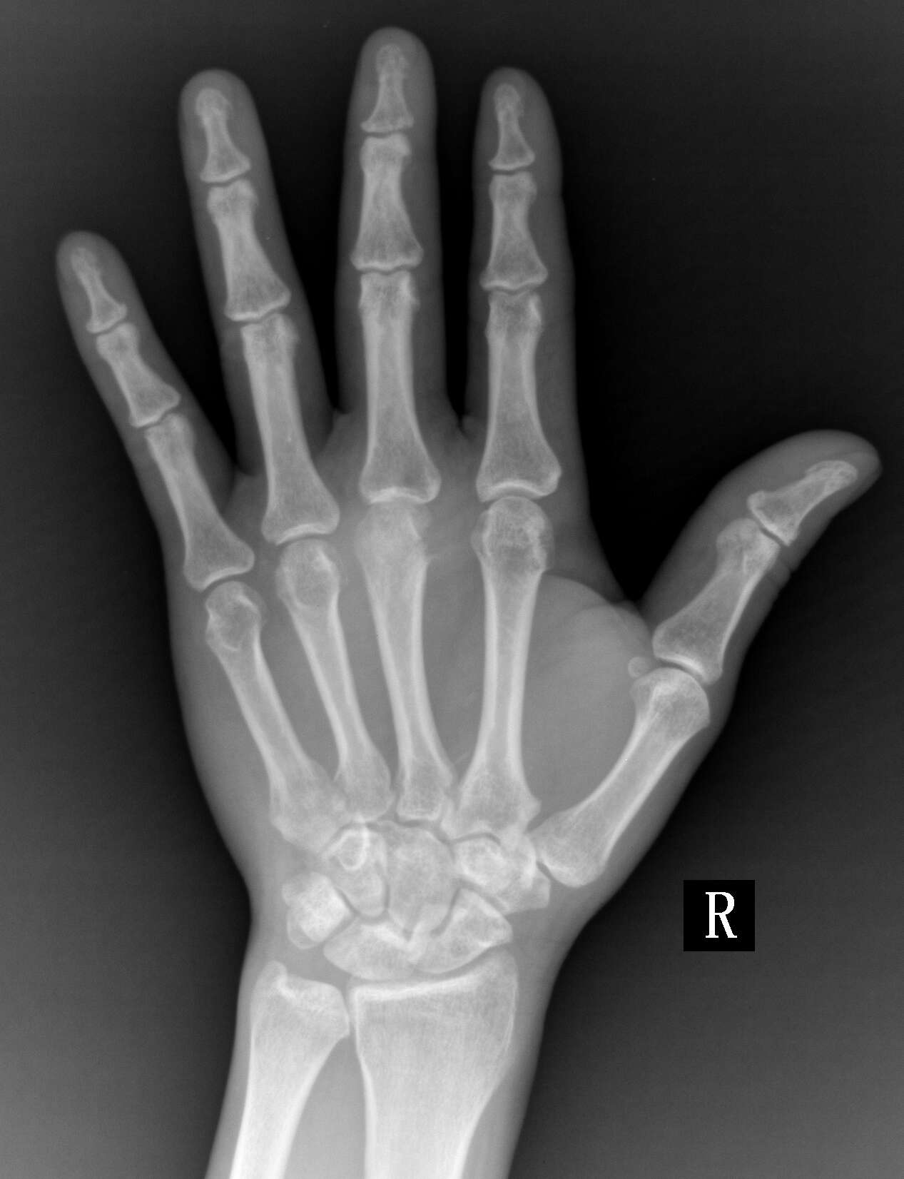
患者,男,47,右手背肿痛50天,皮肤有红肿,来拍片发现第三掌骨远端有骨质破坏,

,谢谢

[本贴已被 cefcmj 于 2010-9-22 16:04:37 修改过]

作者: 赖加强    时间: 2010-9-22 22:33
化脓性关节炎可能性大
作者: xiongneo    时间: 2010-9-22 23:59
化脓性关节炎可能性大
作者: 37度    时间: 2010-9-23 03:00
脓性指头炎或类风湿关节炎骨质破坏。
作者: 拾荒者    时间: 2010-9-23 04:33
结合临床考虑第三掌指关节化脓性关节炎。
作者: zhanggenliang    时间: 2010-9-23 05:58
只有一个手指,结合临床症状,支持化脓性关节炎
作者: linyiming    时间: 2010-9-23 07:40
脓性指头炎或类风湿关节炎骨质破坏。
作者: ghp3522    时间: 2010-9-23 13:51
只有一个手指,结合临床症状,支持化脓性关节炎
作者: 随光逐影    时间: 2010-9-23 15:24
考虑第三掌指关节化脓性关节炎。
作者: yuhongjun    时间: 2010-9-23 16:09
考虑第三掌指关节化脓性关节炎。
作者: tiangaohaikuo    时间: 2010-9-23 17:25
考虑第三掌指关节化脓性关节炎。
作者: zxl51642    时间: 2010-9-23 19:47
关节感染,tb、炎性均有可能
作者: wsmg-自在    时间: 2010-9-24 06:56
支持化脓性关节炎
作者: hnz    时间: 2010-9-24 19:38
单发骨边缘性骨质破坏,考虑骨结核可能性大。
作者: whmy    时间: 2010-9-24 19:53
化脓性关节炎可能性大




欢迎光临 医影在线 (http://bbs.radida.com/bbs/) Powered by Discuz! X3.2