医影在线

标题: CT29343:女,57岁,反复头痛6年余! [打印本页]

作者: li7hua    时间: 2010-9-30 18:14
标题: CT29343:女,57岁,反复头痛6年余!
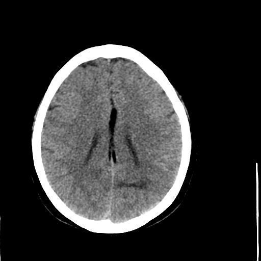
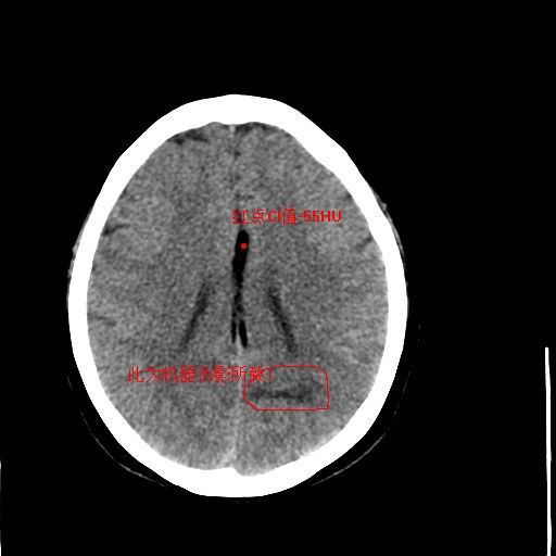
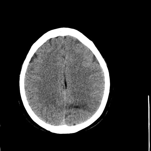
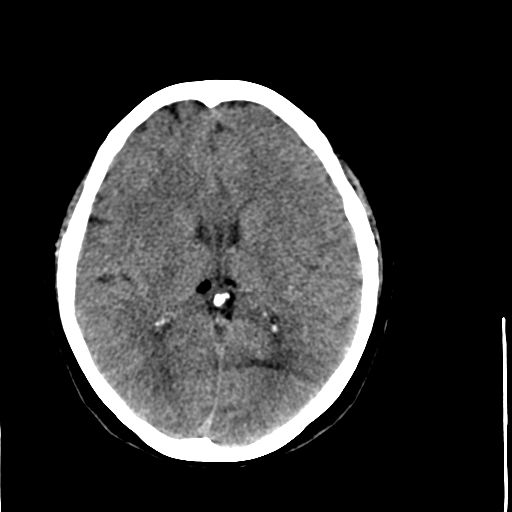
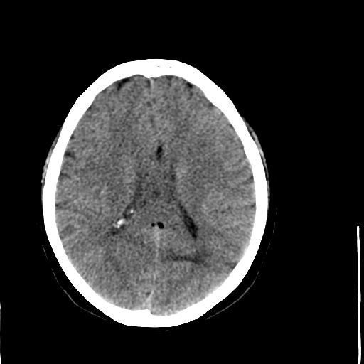
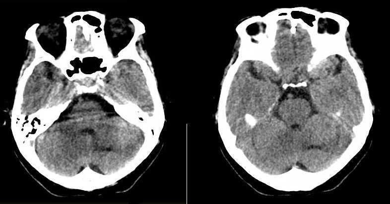
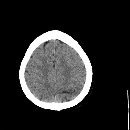
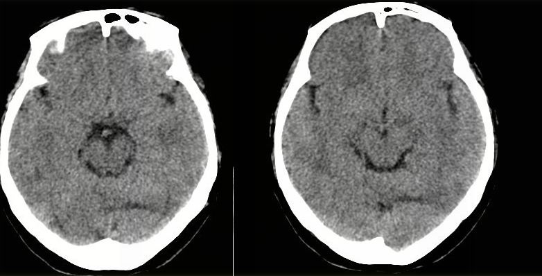
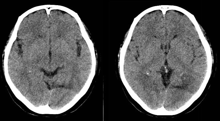
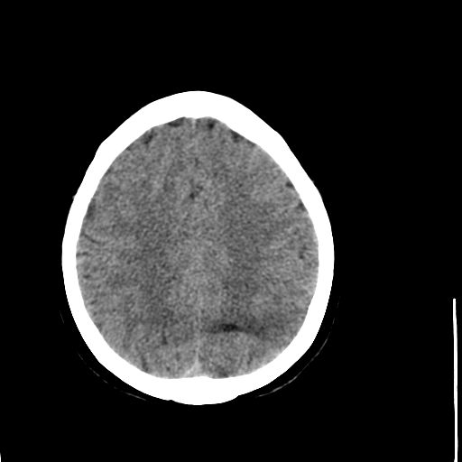
病人资料:女,57岁,反复头痛6年余,无恶心、呕吐等症状,体查:bp180/100mmhg。














[本贴已被 翁志蓬 于 2010-9-30 22:44:20 修改过]

作者: 陈晨霞    时间: 2010-9-30 18:24
脂肪瘤
作者: ghp3522    时间: 2010-9-30 18:27
脂肪瘤。
作者: jy8683    时间: 2010-9-30 19:28
颅内脂肪瘤
作者: sdzyy    时间: 2010-9-30 19:47
脂肪瘤。
作者: 初学者LANMEI    时间: 2010-9-30 19:51
脂肪瘤
作者: 王国学    时间: 2010-9-30 20:24
脂肪瘤。
作者: 蓬莱客    时间: 2010-9-30 22:11
中线脂肪瘤
作者: YRJ0513    时间: 2010-9-30 23:01
中线脂肪瘤,支持
作者: yuhongjun    时间: 2010-9-30 23:19
中线脂肪瘤,支持。
作者: 卜一    时间: 2010-9-30 23:19
中线脂肪瘤,支持!
作者: 深泽交通    时间: 2010-9-30 23:25
胼胝体发育不良半脂肪瘤 松果体钙斑增大 原因?
作者: ydx_74    时间: 2010-10-1 00:04
胼胝体发育不良并脂肪瘤形成,脂肪瘤形成是因,胼胝体发育不良是果。如果正规些应该是中线脂肪瘤并胼胝体发育不良!
作者: dyqct    时间: 2010-10-1 00:45
中线脂肪瘤,支持
作者: 宇宙CT    时间: 2010-10-1 03:02
中线脂肪瘤,支持。
作者: jsdtd    时间: 2010-10-1 03:10
典型中线脂肪瘤
胼胝体发育不良
作者: 虚心求教1    时间: 2010-10-1 03:19
脂肪瘤
作者: sunbin    时间: 2010-10-1 04:49
中线脂肪瘤并胼胝体发育不良。
作者: zxl51642    时间: 2010-10-1 05:50
中线脂肪瘤并胼胝体发育不良。
作者: 施明    时间: 2010-10-1 15:04
形态 范围都像伪影
作者: dhlyq    时间: 2010-10-1 15:20
脂肪瘤
作者: 随光逐影    时间: 2010-10-1 15:56
中线脂肪瘤。




欢迎光临 医影在线 (http://bbs.radida.com/bbs/) Powered by Discuz! X3.2