医影在线

标题: X7994:伪影? [打印本页]

作者: 07619    时间: 2010-10-3 00:12
标题: X7994:伪影?
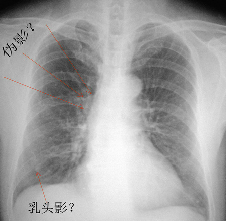
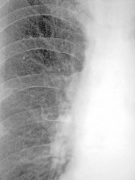
男.66.慢支炎数年.请会诊






[本贴已被 jiajie 于 2010-10-2 20:41:36 修改过]

作者: ghp3522    时间: 2010-10-3 00:23
透视鉴别或ct检查。
作者: NH666    时间: 2010-10-3 02:33
没什么问题啊
作者: 拾荒者    时间: 2010-10-3 03:11
右下肺结节是否乳头影透视一转一目了然,至于右肺门区软组织影,可结合ct检查,既然觉得不正常就不要放过,没事大家都放心,别留遗憾。
作者: 蓝兔子    时间: 2010-10-3 04:52
不放心,就建议ct检查
作者: zxl51642    时间: 2010-10-3 05:13
慢支炎
作者: masterle    时间: 2010-10-3 06:31
没问题吧
作者: linyiming    时间: 2010-10-3 08:03
没什么问题啊
作者: 西明    时间: 2010-10-3 08:21
未见明显异常,不放心建议ct吧。
作者: 宇宙CT    时间: 2010-10-3 15:47
右下肺结节是否乳头影透视一转一目了然,至于右肺门区软组织影,可结合ct检查,既然觉得不正常就不要放过,没事大家都放心,别留遗憾。
作者: 随光逐影    时间: 2010-10-3 16:12
符合慢性支气管炎表现。
作者: yuhongjun    时间: 2010-10-3 18:16
不放心,就建议ct检查。
作者: zqf5359914    时间: 2010-10-3 22:48
不放心,就建议ct检查。
作者: zhanggenliang    时间: 2010-10-4 00:03
就是一个慢性支气管炎
作者: zhangkening    时间: 2010-10-4 04:52
透视一下或者做一个ct,感觉有占位。
作者: hexue    时间: 2010-10-4 07:40
符合慢性支气管炎表现。
作者: 观影朔征    时间: 2010-10-4 16:43
标题: 回复:x7994:伪影?
以下是引用zxl51642在2010-10-2 21:13:00的发言:[br]慢支炎

作者: tiangaohaikuo    时间: 2010-10-4 23:06
符合慢性支气管炎表现。
作者: dyqct    时间: 2010-10-4 23:24
未见明显异常,不放心建议ct吧。支持!
作者: sunbin    时间: 2010-10-5 01:56
两肺纹增多增粗,支持慢支。
作者: ydx_74    时间: 2010-10-6 04:30
慢性支气管炎




欢迎光临 医影在线 (http://bbs.radida.com/bbs/) Powered by Discuz! X3.2