医影在线
标题: X8003:男,13岁,因外伤来诊 [打印本页]
作者: tfneeq 时间: 2010-10-6 05:35
标题: X8003:男,13岁,因外伤来诊
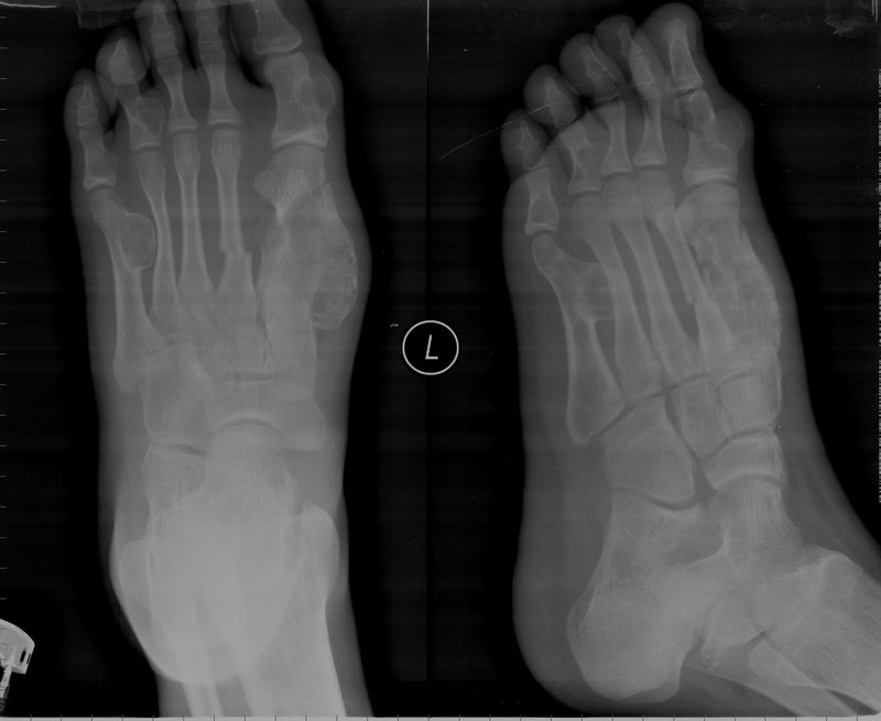
男,13岁,发现左足多发包块5年,因外伤来诊,右足多趾畸形,请大家会诊,谢谢。过几天手术做病理

[本贴已被 cefcmj 于 2010-10-5 22:39:22 修改过]
作者: 学者~『风 时间: 2010-10-6 05:54
1、左足多发骨旁骨瘤;2、左侧第一、二謶骨骨折。
作者: zxl51642 时间: 2010-10-6 06:06
多发软骨瘤(内生+外生),1、2跖骨骨折。
这么多,手术做哪个?
作者: ghp3522 时间: 2010-10-6 06:13
多发骨软骨瘤。支持。再检查其他部位。
作者: 拾荒者 时间: 2010-10-6 06:24
多发性骨软骨瘤。
作者: 饭粒 时间: 2010-10-6 07:18
多发性骨软骨瘤。
作者: boaict 时间: 2010-10-6 08:00
多发内生性骨软骨瘤,1、2跖骨骨折。
作者: 心路寻觅 时间: 2010-10-6 13:35
支持:多发软骨瘤(内生+外生),1、2跖骨骨折。
作者: yuhongjun 时间: 2010-10-6 14:29
支持:多发软骨瘤(内生+外生),1、2跖骨骨折。
作者: 随光逐影 时间: 2010-10-6 15:53
支持 多发性软骨瘤(内生+外生);第一、二跖骨骨折。
作者: 蓬莱客 时间: 2010-10-6 16:48
支持 多发性软骨瘤(内生+外生);第一、二跖骨骨折。
作者: zxl51642 时间: 2010-10-6 17:09
软骨瘤,不是骨软骨瘤,一字之差,谬之千里。
作者: 蓝兔子 时间: 2010-10-6 17:19
多发内生软骨瘤伴病理性骨折
作者: 流星1234 时间: 2010-10-6 17:30
多发内生性骨软骨瘤,1、2跖骨骨折。
作者: 陈正林 时间: 2010-10-6 18:08
多发软骨瘤(内生+外生),1、2跖骨骨折。
这么多,手术做哪个?
作者: hnz 时间: 2010-10-6 18:30
多发骨软骨瘤。
作者: szssd123 时间: 2010-10-6 19:10
多发软骨瘤
作者: lyb999 时间: 2010-10-6 19:11
多发骨软骨瘤
作者: 小小医 时间: 2010-10-6 22:38
标题: 多发性内生软骨瘤,1、2跖骨骨折。
多发性内生软骨瘤,1、2跖骨骨折。
[本贴已被 小小医 于 2010-10-6 14:40:07 修改过]
作者: tiangaohaikuo 时间: 2010-10-6 23:51
支持:多发软骨瘤(内生+外生),1、2跖骨骨折。
作者: yangyudong333 时间: 2010-10-6 23:55
支持:多发软骨瘤(内生+外生),1、2跖骨骨折。
作者: 爱随风 时间: 2010-10-7 04:10
学习了!第一次见,新手!谢谢楼主
作者: 多踩两脚泥 时间: 2010-10-7 04:17
多发软骨瘤(内生+外生),1、2跖骨骨折
作者: guilincandy 时间: 2010-10-7 18:54
多发骨软骨瘤
作者: 宇宙CT 时间: 2010-10-7 23:47
支持:多发软骨瘤(内生+外生),1、2跖骨骨折。
作者: hnyzdjb 时间: 2010-10-8 00:52
多发性骨软骨瘤。
作者: me13930865 时间: 2010-10-8 02:30
标题: 回复:x8003:男,13岁,因外伤来诊
以下是引用zxl51642在2010-10-5 22:06:00的发言:[br]多发软骨瘤(内生+外生),1、2跖骨骨折。[br]这么多,手术做哪个?
作者: YRJ0513 时间: 2010-10-8 05:28
多发软骨瘤(内生+外生),1、2跖骨骨折,支持。
作者: hexue 时间: 2010-10-8 05:39
多发内生性骨软骨瘤,1、2跖骨骨折。
作者: 西明 时间: 2010-10-8 05:54
支持多发内生、外生性骨软骨瘤,第1、2跖骨骨折
作者: 37度 时间: 2010-10-8 07:35
标题: 回复:x8003:男,13岁,因外伤来诊
以下是引用zxl51642在2010-10-5 22:06:00的发言:[br]多发软骨瘤(内生+外生),1、2跖骨骨折。[br]这么多,手术做哪个?
作者: 摘星空竹子 时间: 2010-10-8 07:53
应该是软骨瘤而不是骨软骨瘤。
作者: shihai 时间: 2010-10-8 19:18
再次学习!
| 欢迎光临 医影在线 (http://bbs.radida.com/bbs/) |
Powered by Discuz! X3.2 |