医影在线
标题: CT29462:双测输尿管扩张 [打印本页]
作者: shunbuer 时间: 2010-10-7 22:50
标题: CT29462:双测输尿管扩张
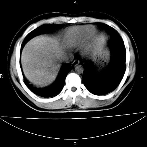
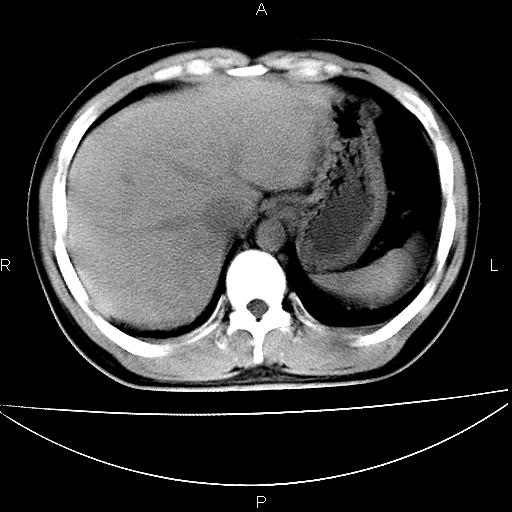
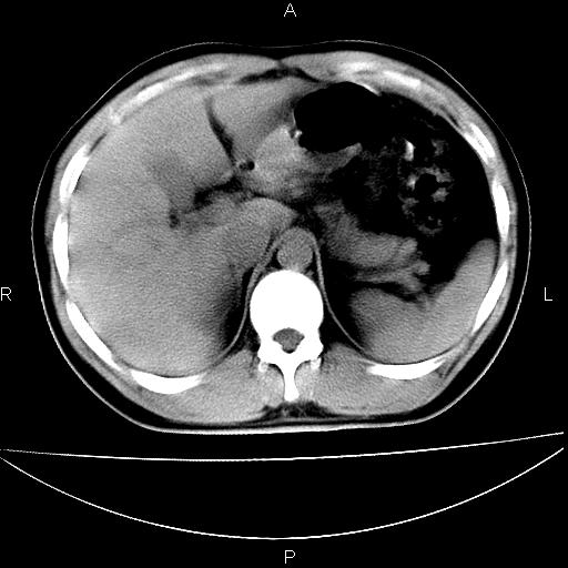
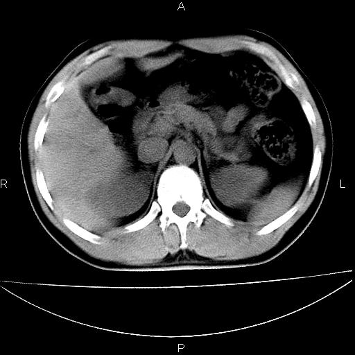
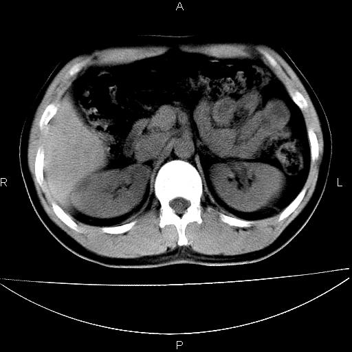
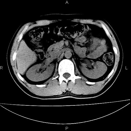
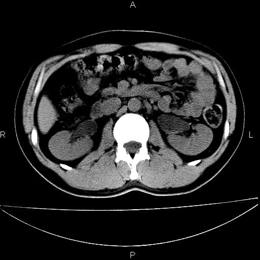
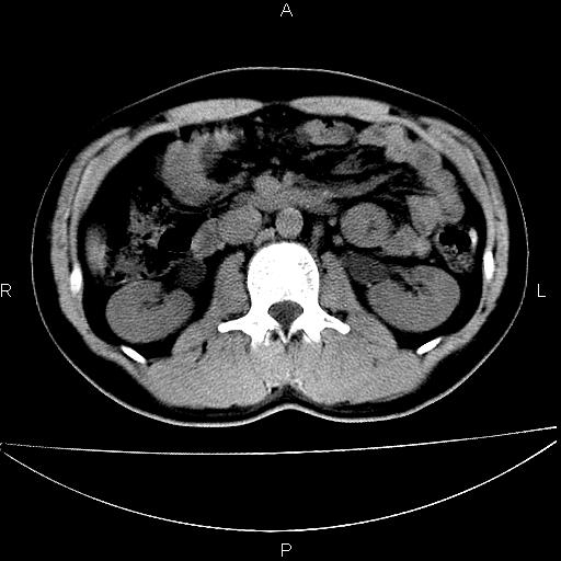
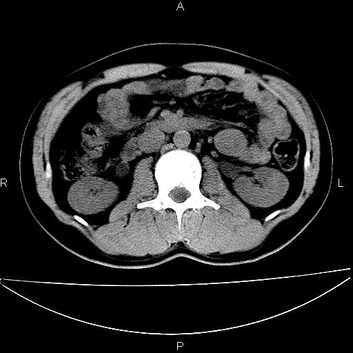
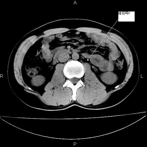
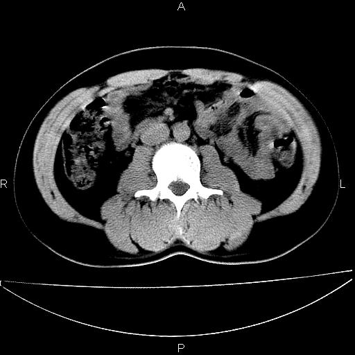
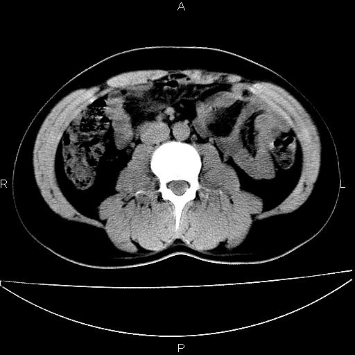
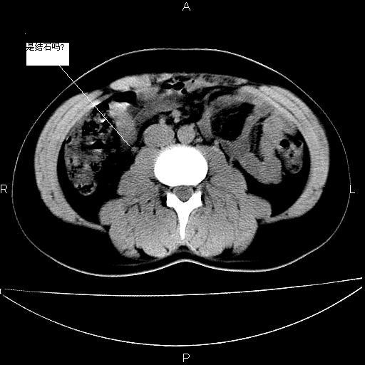
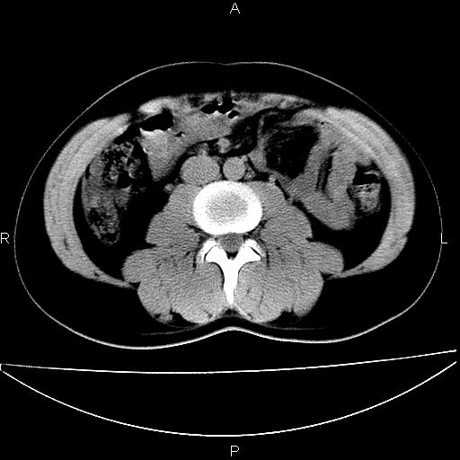
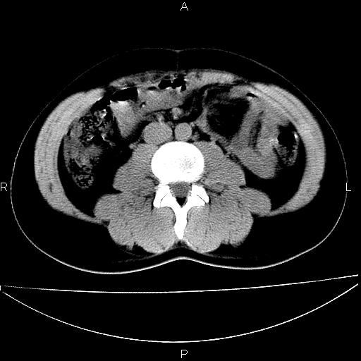
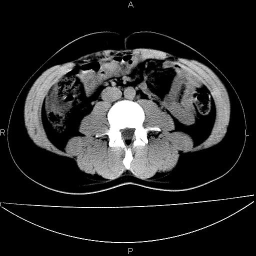
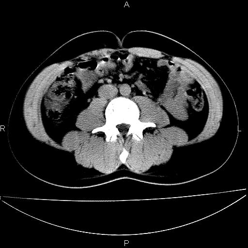
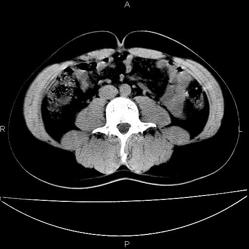
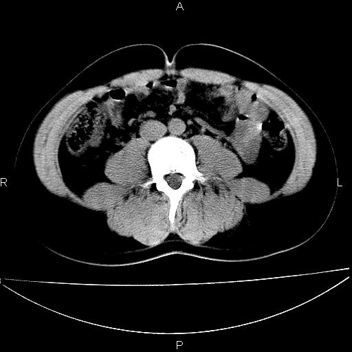
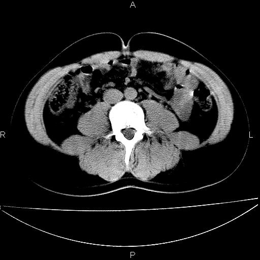
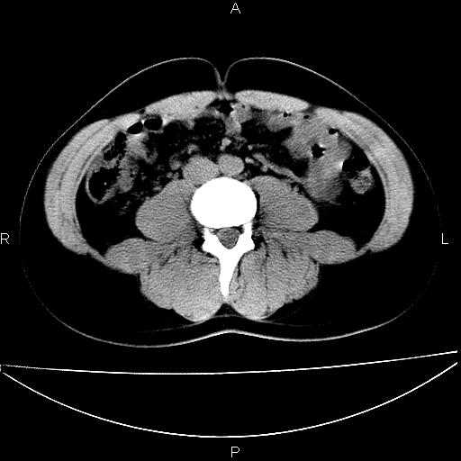
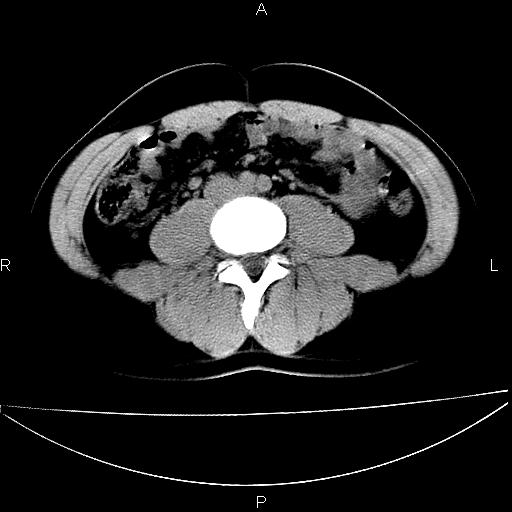
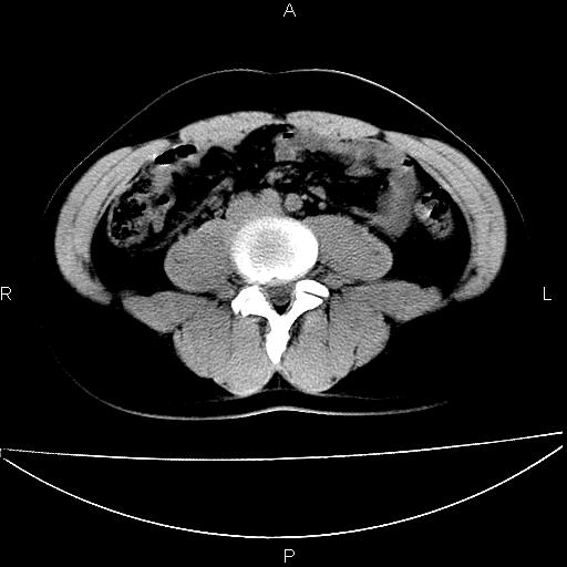
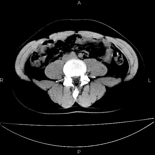
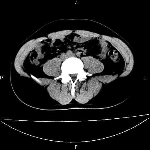
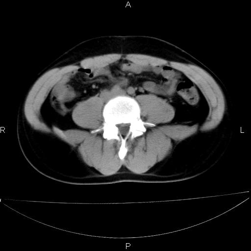
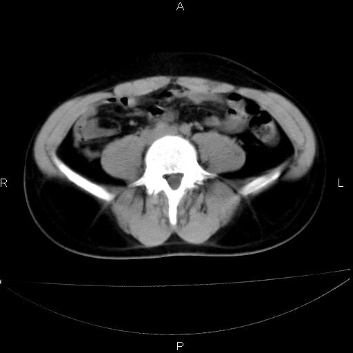
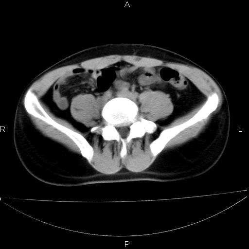
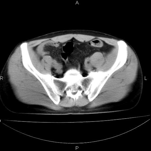
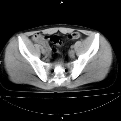
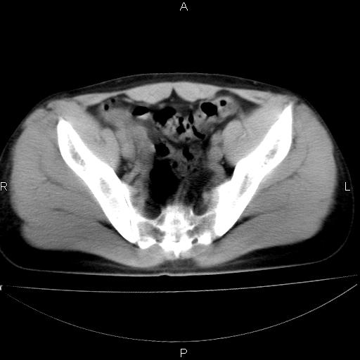
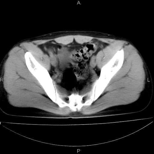
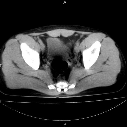
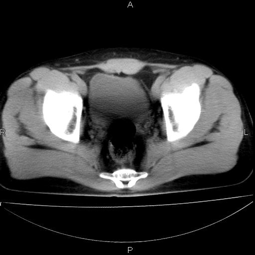
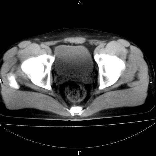
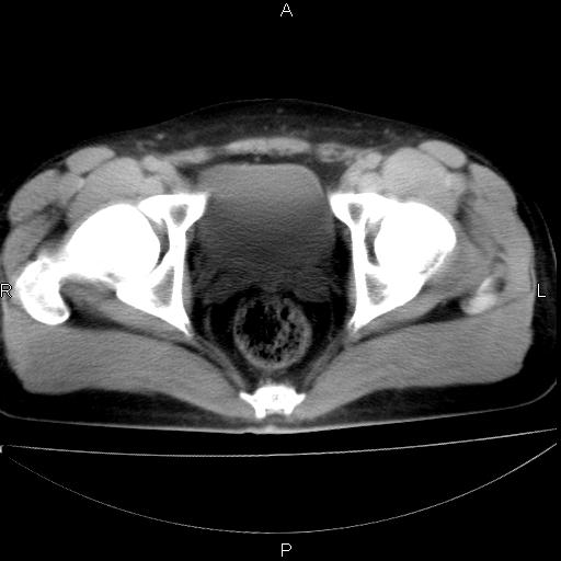
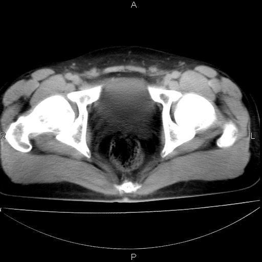
男 25岁 自述 尿频尿急,排尿困难20多天.无腰痛, b超说左肾盂轻度积水,左输尿管上端扩张.未见结石影. ct我看双侧肾盂轻度积水,双输尿管上端都扩张,大家看看能看见结石吗?


































































[本贴已被 jiajie 于 2010-10-7 20:23:31 修改过]
作者: 随光逐影 时间: 2010-10-7 22:55
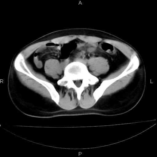
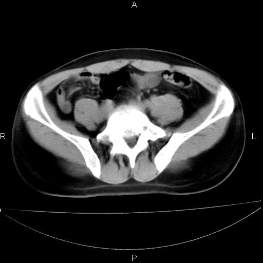
双肾轻度积水,双侧输尿管上段扩张(原因待查)。
作者: JXxuguohua 时间: 2010-10-7 23:39
双输尿管扩张下端未见高密度结石和输尿管晕轮征,不好说是结石.增强后如何?
作者: zxl51642 时间: 2010-10-7 23:53
标题: 55
双肾轻度积水,未见明确结石,薄层对结石检出率较高。
要排除upj,可做ivp造影
[本贴已被 zxl51642 于 2010-10-7 15:58:14 修改过]
作者: ghp3522 时间: 2010-10-7 23:53
正常变异。
作者: tgs_fs88 时间: 2010-10-7 23:53
未见明确输尿管结石,mru效果还好
作者: 术溢 时间: 2010-10-8 00:07
双侧输尿管上端扩张,未见明确结石,可进一步ivp检查。
作者: 深泽交通 时间: 2010-10-8 01:01
考虑肾外肾盂 前列腺轻度肿大 密度欠均 考虑炎性改变
作者: 西明 时间: 2010-10-8 03:25
双肾盂及双输尿上段轻度积水,双输尿管未见明显结石影。
作者: 卜一 时间: 2010-10-8 03:32
双侧输尿管上端扩张,未见明确结石,可进一步ivp检查。支持!
作者: 37度 时间: 2010-10-8 07:01
箭头所指不是输尿管,壶腹型肾盂。
作者: 平子 时间: 2010-10-8 07:15
肾外肾盂,必要时+c
作者: yangyang2000 时间: 2010-10-8 07:32
双肾盂及双输尿上段轻度积水
作者: xiongneo 时间: 2010-10-8 08:02
双肾轻度积水,双侧输尿管上段扩张(原因待查)。
作者: yangyudong333 时间: 2010-10-8 14:43
双肾轻度积水,双侧输尿管上段扩张(原因待查)。
作者: yuhongjun 时间: 2010-10-8 15:04
双肾轻度积水,双侧输尿管上段扩张(原因待查)。
作者: dhlyq 时间: 2010-10-8 15:46
双肾轻度积水,双侧输尿管上段扩张(原因待查)。
| 欢迎光临 医影在线 (http://bbs.radida.com/bbs/) |
Powered by Discuz! X3.2 |