医影在线
标题: CT1990:颅内病变,请指教。 [打印本页]
作者: 邓 时间: 2005-10-14 06:13
标题: CT1990:颅内病变,请指教。
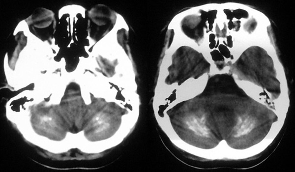
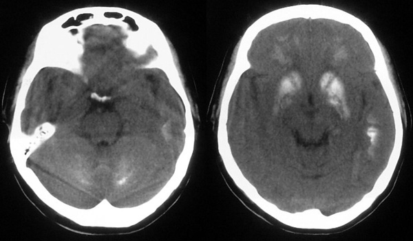
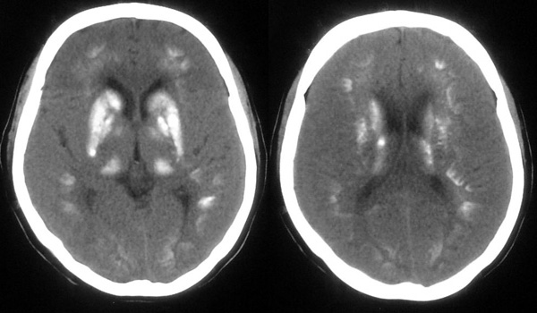
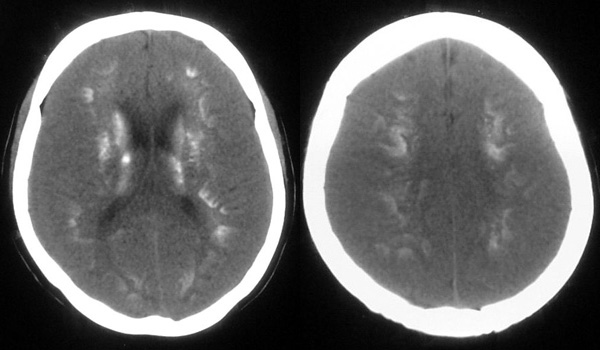
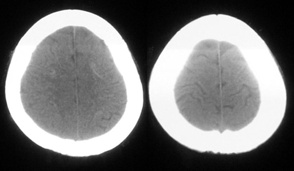
患者,女,49岁,头痛数年,有癫痫病史,无外伤史。






[本贴已被 gaozhengyi 于 2005-10-13 23:10:25 修改过]
作者: 王维浦 时间: 2005-10-14 06:23
首先考虑甲旁低,清结合临床化验室检查。
作者: 王维浦 时间: 2005-10-14 06:26
还想说一句,这病临床并不少见。
作者: 流星1234 时间: 2005-10-14 07:00
支持楼上老兄的观点.
作者: xiaoniu 时间: 2005-10-14 07:03
首先考虑甲状旁腺功能低下和假甲状旁腺功能低下,请结合临床化验室检查。
作者: wnlyq8688 时间: 2005-10-14 07:07
首先考虑甲旁低,清结合临床化验室检查[emb6]
作者: ssl1_1 时间: 2005-10-14 07:22
甲旁低,前几天有过这种病例
作者: yuanfang_22 时间: 2005-10-14 08:38
这种病例应该发到〈典型病区〉
作者: llh913 时间: 2005-10-14 14:23
甲旁低,结合实验室检查.[emb6]
作者: lushijun 时间: 2005-10-14 14:27
[emb6]甲旁低,结合实验室检查.
作者: 东北 时间: 2005-10-14 16:24
[emb6]典型
作者: ssh7471 时间: 2005-10-14 16:56
[emb6][emb25]甲旁低
作者: 阿圣 时间: 2005-10-14 21:42
需要实验室化验:血钙、血磷、血钾、甲状旁腺激素、以及做甲状旁腺激素治疗试验。
需鉴别诊断:
1、甲状旁腺功能低下
2、假性甲状旁腺功能低下
3、假假性甲状旁腺功能低下
4、frah
5、生理性钙化
作者: mzjctmr 时间: 2005-10-14 22:46
比较典型,甲旁低。
作者: tsxhfsk 时间: 2005-10-14 23:15
考虑甲旁低
作者: znxc 时间: 2005-10-15 03:02
甲旁低。
作者: xiaoyanhong 时间: 2005-10-15 03:36
[emb6]
作者: CTQIU 时间: 2005-10-15 03:44
我们应该考虑为甲状腺功能低下,不过要做生化检查和临床表现。
要区别一下是真性还是假性的。这样才够专业啊。
请指教!
作者: CTQIU 时间: 2005-10-15 04:14
大家都知道这是甲状腺功能低下的典型影像改变。
但是要注意是真性或者是假性。要结合临床与生化检查。
作者: kbzyycm 时间: 2005-10-15 04:45
[emb6]甲状旁腺低下.
作者: xytzp 时间: 2005-10-15 04:53
首先考虑甲状旁腺功能低下,请结合临床化验室检查。
作者: aosangwa 时间: 2005-10-15 05:03
考虑甲旁低
作者: 大头 时间: 2005-10-15 05:24
甲旁低[emb6]
作者: 我爱影像 时间: 2005-10-15 06:01
甲状旁腺低下:颅脑 ct 可见以基底节为中心的双侧对称性、多发性、多形性脑钙化的特点。除苍白球外,可广泛分布于壳核、尾状核、小脑齿状核、丘核、内囊及脑皮质、白质等处。
作者: shibing 时间: 2015-5-28 09:53
甲旁低,结合实验室检查.
| 欢迎光临 医影在线 (http://bbs.radida.com/bbs/) |
Powered by Discuz! X3.2 |