医影在线
标题: CT1994:肘关节病变~ [打印本页]
作者: 胜古 时间: 2005-10-14 21:34
标题: CT1994:肘关节病变~
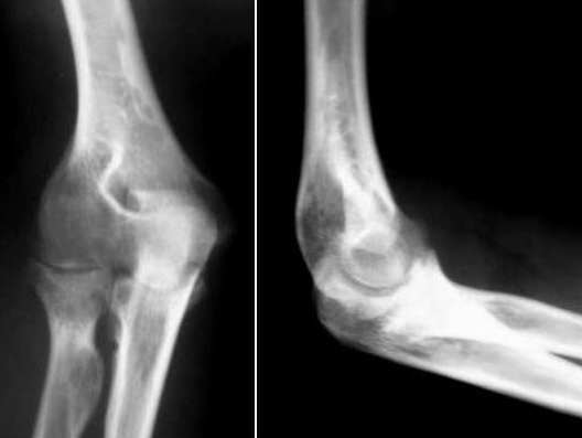
女,21岁,半年前有过发热38℃,之后左肘部肿胀疼痛,关节屈曲功能障碍,
同时临床医生检查腕关节僵直。类风湿(—) 血沉加快 .右手检查无明显异常





[本贴已被 jiajie 于 2005-10-14 19:47:25 修改过]
作者: 东北 时间: 2005-10-14 23:51
慢性化脓性关节炎
作者: znxc 时间: 2005-10-15 02:28
肘关节间隙变窄,关节面毛糙(不知软组织窗是否有关节积液显示?)。结合腕关节强直及血沉加快,考虑关节tb(滑膜型)可能。
作者: xiaoniu 时间: 2005-10-15 02:51
[emb6]考虑关节tb(滑膜型)可能
作者: 新手88 时间: 2005-10-15 04:05
肘关节部分骨质破坏,部分边缘硬化,骨质周围边缘毛糙,可以上传软组织窗,考虑结核病变
作者: xytzp 时间: 2005-10-15 04:39
左肱骨下端外上髁,左尺骨鹰嘴背侧,左桡骨小头见斑片状骨质密度减低区,以骨质破坏为主,考虑左肘关节结核.应参考实验室检查.
作者: lvlifeng 时间: 2005-10-15 04:42
肘关节滑膜结核
作者: l-y~t~001 时间: 2005-10-15 04:43
首先考虑结核病变
作者: aosangwa 时间: 2005-10-15 04:47
考虑肘关节结核
作者: 一江月 时间: 2005-10-15 05:09
[emb6]肘关节结核。
作者: duguo 时间: 2005-10-15 05:55
结核。
作者: liannianyouyu 时间: 2005-10-15 14:02
[emb28][emb26]
作者: signa 时间: 2005-10-15 15:40
航书说:左肱骨下端外上髁,左尺骨鹰嘴背侧,左桡骨小头以骨质破坏为主,应当上传软组织窗,观察软组织改变情况。再问病史有无低热盗汗。应参考实验室检查。考虑左肘关节结核.
作者: lushijun 时间: 2005-10-15 20:45
结合临床,关节tb[emb6]
作者: ssh7471 时间: 2005-10-15 20:59
[emb6]tb
作者: ssl1_1 时间: 2005-10-16 05:49
结核
作者: 神雕侠侣 时间: 2005-10-17 16:12
标题: 回复:ct1994:肘关节病变~

[本贴已被 jiajie 于 2005-10-17 8:25:13 修改过]
作者: tinghai7982 时间: 2005-10-18 04:03
肘关节面毛糙,关节间隙边窄,考虑关节炎
作者: 中山医 时间: 2005-10-18 18:21
图象不很清楚,未见明显骨质破坏,从平片看只有关节间隙变窄,关节面硬化增生,病程半年,起病有发热史,考虑为慢性关节炎并发骨性关节病.
作者: wplhj 时间: 2005-10-19 05:03
[emb5]倾向于慢性化脓性炎症
作者: shibing 时间: 2015-5-28 09:52
肘关节结核。
| 欢迎光临 医影在线 (http://bbs.radida.com/bbs/) |
Powered by Discuz! X3.2 |