医影在线

标题: CT2036:【读片】腹部ct,胃里面是什么东西? [打印本页]

作者: navy-boy    时间: 2005-10-21 05:33
标题: CT2036:【读片】腹部ct,胃里面是什么东西?
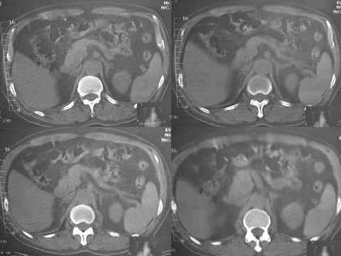
男,60岁,反复头痛,头昏,测血压最高240/120
临床怀疑嗜镉细胞瘤。做ct想了解肾上腺有无肿块。









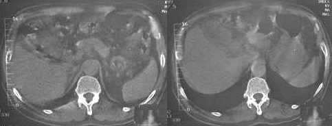
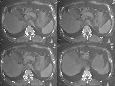
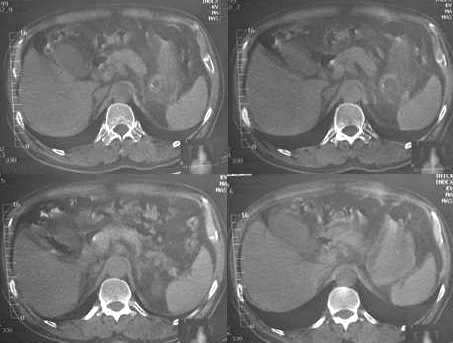
疑问:1. 1185 1186 图 肝脏前缘低密度灶是否为腹水?ct值为-22——9.6
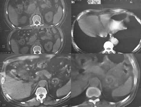
2.1187 图 是否为胃腔内寄生虫?还是其他呢?
3. 1167 1168 图 胆囊壁旁是什么结构?似乎不是胆囊壁增厚
3.肾上腺没有发现异常?

基层小医院,片子质量差,水平有限,病人没有钱。请大家不吝赐教,同时也请大家不要再建议检查其他的,将就看吧


[本贴已被 jiajie 于 2005-10-21 7:22:37 修改过]

作者: jiajie    时间: 2005-10-21 15:39
标题: 回复:ct2036:【读片】腹部ct,胃里面是什么东西?

作者: 航书    时间: 2005-10-21 16:06
胆囊旁、肝脏前缘为运动伪影。胃内后方考虑肠管,建议此类检查前喝0.7%泛影葡安800ml后再扫描。
作者: sgl163    时间: 2005-10-21 16:31
扫腹部为什末没给患者喝造影剂。
作者: huhong1111111    时间: 2005-10-21 17:50
有血管影可能吗
作者: 550s    时间: 2005-10-21 18:40
应作双对比检查(阳性和阴性对比剂),或动态检查.单从这片来说,没什么意义
作者: guzhongliangddd    时间: 2005-10-22 02:06
我建议战友让患者检查前晚禁食,于第2天上午空腹{检查前半小时喝清水500-1000毫升,在常规扫描中发现问题后可采用多体位方法,我原来也遇到过内似问题}。
作者: you8000    时间: 2005-10-22 04:12
[emb6][emb6]7楼
作者: ssl1_1    时间: 2005-10-22 06:19
[emb6]7楼
作者: shibing    时间: 2015-5-28 09:57
我建议战友让患者检查前晚禁食,于第2天上午空腹{检查前半小时喝清水500-1000毫升,在常规扫描中发现问题后可采用多体位方法,我原来也遇到过内似问题}。




欢迎光临 医影在线 (http://bbs.radida.com/bbs/) Powered by Discuz! X3.2