医影在线
标题: CT2080:肝脏三期增强扫描病变之四 [打印本页]
作者: 听蝉观竹 时间: 2005-10-27 21:21
标题: CT2080:肝脏三期增强扫描病变之四
结果公布:http://www.radida.com/bbs/forum. ... amp;toread=1#114418
一个值得讨论的病例
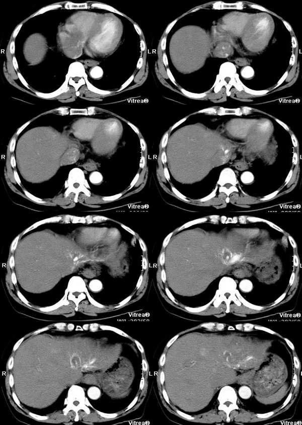
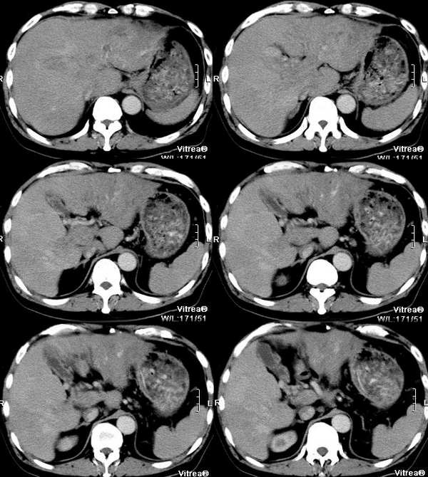
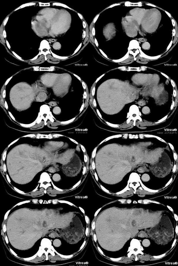
男性,58岁,肝硬化数年,近几个月出现黄疸,腹胀,食欲下降,尤其双下肢浮肿明显。超声提示肝脏多个结节。ct三期扫描图像如下:
动脉期:


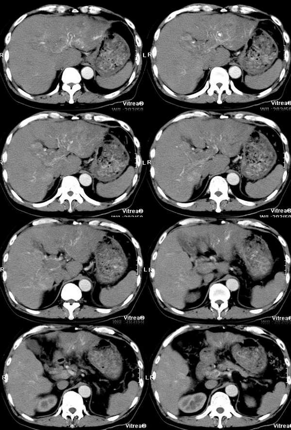
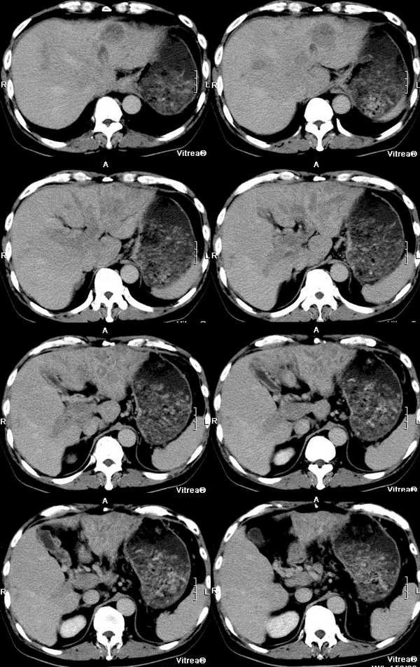
门脉期:


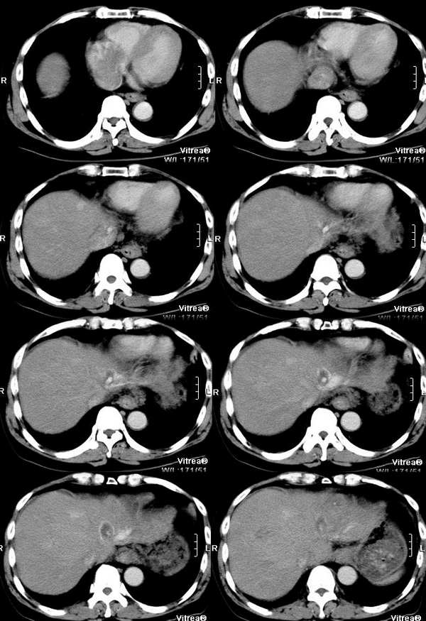
平衡期:


[本贴已被 jiajie 于 2005-10-27 16:54:11 修改过]
作者: tkp815 时间: 2005-10-27 22:00
肝硬 化,门脉高压,原发性肝ca,好像有门脉ca栓吧
作者: hejie 时间: 2005-10-27 22:41
诊断:肝左叶胆管细胞癌并门静脉,下腔静脉,右心房癌栓形成,继发性巴德-基亚里综合征.
动静脉期见门静脉,下腔静脉增宽,无强化,右心房有无强化的低密度影,肝左叶轻度不均匀强化,平衡期见病灶密度减低,肝内胆管扩张.肝尾叶增大.动脉期见肝左静脉明显强化并向右心房的特异性侧支循环.
因肝肾,肾上腺等部位肿瘤,下腔静脉血栓等造成肝静脉,下腔静脉闭塞称为继发性巴德-基亚里综合征.肝肿瘤所致肝部下腔静脉闭塞时,可借右肝静脉下支与肝静脉吻合,形成从肝静脉流入右心房的特异性侧支循环.
作者: 阿圣 时间: 2005-10-27 23:04
支持诊断:肝左叶胆管细胞癌并门静脉,下腔静脉,右心房癌栓形成,继发性巴德-基亚里综合征
作者: xiaoniu 时间: 2005-10-27 23:16
标题: [讨论]
[emb6]诊断:肝左叶胆管细胞癌并门静脉,下腔静脉,右心房癌栓形成,继发性巴德-基亚里综合征.
外加动静脉瘘形成。
[本贴已被 xiaoniu 于 2005-10-27 15:26:55 修改过]
作者: 东北 时间: 2005-10-28 00:48
[emb6]
作者: jiajie 时间: 2005-10-28 01:28
肝左叶不规则肿块,血供不丰富,早期强化不明显,三期符合肝癌块尽快出的特点。门静脉、腔静脉近右房段增粗,早期见癌栓滋养血管强化明显。
考虑肝左叶原发性肝癌、门静脉下腔静脉癌栓形成。[emb14]
作者: gaozhengyi 时间: 2005-10-28 01:34
标题: 回复:ct2080:肝脏三期增强扫描病变之四
雷主任的病例个个都是精品,希望大家多多参与讨论,对错不是目的,过程最重要!
就这个病例hejie已经做了精彩的分析,由于肝脏的血液循环异常使得肝实质和肿瘤的强化很不典型,我下面把重要结构的表现分别说一下,希望大家多提反对意见。
肝静脉:在动脉期的第一张图片上就可以看到右心房的充盈缺损和下腔静脉近心段的明显增粗,增粗的下腔静脉内部可以见到点状、条状的强化血管影,这些强化的血管影是什么来源?这些高密度影蜿蜒曲折,和主动脉同时显影,所以只能考虑为主动脉的分支血管之一。到门脉期和平衡期,右心房的充盈缺损更加明显了,肝静脉和下腔静脉的强化非常微弱,肝段下腔静脉的管腔十分狭窄,但肝外段的下腔静脉明显的饱满,这是由于右心房的充盈缺损和下腔静脉近心段的栓子梗阻造成的。在动脉期肝左叶有一条横行血管也非常引人注目,考虑为肝左静脉的可能,但其汇入腔静脉端呈一盲端,估计终止于栓子部位,该血管的过早显影提示存在动静脉分流,从病因上来说以原发性肝癌最为常见。在临床上,该患者有双下肢明显的浮肿,要用下腔静脉的梗阻来解释。
门静脉:门静脉不论在门静脉期还是实质期(其实对于这个病人来说,我们平常所说的门静脉期还是实质期已经不适用了)均未见显影,在实质期反而发现门静脉和周围密度增高的肝实质相比呈低密度,这说明门静脉主干和主要分支均形成栓子。由于正常情况下,肝脏的大部分血供来自门静脉,这就造成了肝脏的强化幅度明显下降。在胰头勾突前方可以见到扩张的血管分支,应该为门静脉的侧枝循环血管,但是奇怪的一点是脾脏不大,不太好解释。
肝动脉:从动脉期看,肝门区肝动脉及其分支明显的增粗、增多。非常值得注意的是肝左叶见到明显扩张的肝动脉分支,这是动脉期估计肿瘤部位的重要线索。
肝实质:该患者既有门静脉供血的下降又有肝静脉的回流异常,形成了比较复杂的强化效果。由于门静脉为入肝血管,它的梗阻造成肝脏的强化幅度明显下降,但在延迟扫描时,其引流范围内的血液会经过侧枝循环逐渐进入,所以其密度会缓慢地上升。另外又由于肝静脉的回流异常,会引起布查氏综合征的密度改变,造成肝实质密度不均匀。
肿瘤:由于肝脏本身存在血液循环的异常,所以肿瘤的血供也会受到影响。该患者在动脉期肝左叶见到明显扩张的肝动脉分支和肝左静脉的早期显影,强烈提示左叶病变。尽管没有见到明显的动脉期肿瘤强化,但仔细观察还是有动脉供血病变的,不过密度较淡,边缘模糊;在平衡期,左叶肿瘤露出其真面目,和肝脏实质相比呈低密度。由于患者有多年肝硬化病史和存在动静脉分流和静脉栓子,综合考虑还是应该首先考虑为原发性肝癌。另外腔静脉内栓子动脉期明显动脉供血,也是肝癌癌栓的特征,这一点和hejie的意见不同。
肝脏超声提示多发占位,仔细观察动脉期在肝脏左右叶交界和肝右叶后段均可以见到小片状强化,尽管不很典型也应该考虑为癌瘤,由于肝脏多发的癌瘤,造成了门静脉、肝静脉系的广泛癌栓。
综上所述,我考虑为肝癌并门静脉和下腔静脉近心段以及右房癌栓形成。
作者: caihe 时间: 2005-10-28 02:59
支持8楼gaozhengyi版主分析,分析很全面、很到位,花了很多时间。
作者: 13081830109 时间: 2005-10-28 03:30
[emb6][emb6][emb6]
作者: duguo 时间: 2005-10-28 03:46
8楼分析的不错。[emb6]
作者: ssl1_1 时间: 2005-10-28 04:09
动静脉期见门静脉,下腔静脉增宽,无强化,肝左叶轻度不均匀强化,门脉期门静脉及腔静脉强化不明显,平衡期见病灶密度减低.诊断:肝左叶癌并门静脉,下腔静脉,癌栓形成.
作者: frzh 时间: 2005-10-28 04:50
[emb6][emb6][emb6][emb6][emb6]听君一席话,胜读十年书。豁然开朗。
作者: moonlake000 时间: 2005-10-28 04:57
[emb6][emb6][emb6]
作者: 吕军浩 时间: 2005-10-28 05:04
标题: 回复:ct2080:肝脏三期增强扫描病变之四
病例确是很复杂,特别是肝门区及肝内的血管系统很复杂,是来的还是去的,很难分清,特别象我这样解剖不很熟悉的的人来说,尤其如此。我们抛开血管,我们搞不清的东西先放在一边。
先来抓一些能肯定的东西:
1.右心房的充盈缺损+下腔静脉近心段的明显扩张(并栓塞)+双下肢浮肿明显=布加氏综合症(基本能肯定)
2.腹胀,食欲下降也是肠道淤血的表现
3.临床有黄疸,但不看到扩张的胆道系统,胆囊反而萎缩,为什么?(先放一边)
4.动脉期我们可以明显看到门静脉左支和右支轻度显影,门静脉左右支并没有栓塞,他们在哪里汇合,又向哪里去,无法分辨。
5如果能承认门静脉左支和右支轻度显影(他们的形态应该是好的),那么他们的前方就应该是我们要寻找的左右肝管,事实上我们看到了,两根条状的软组织影,而在平衡期,这两根条状的软组织影在肝内显影更加明显,强化不如肝组织,肝脏左右叶的低密度影,也似乎与这胆管相同,肝脏尾叶是增大的,肝内胆管汇合后仍然以软组织密度向下延续,我没看到尽头。
6。所有我认为所有的胆道系统内都充满了软组织影,胆管癌是首先考虑的。(如果动脉期的不是门静脉左右支,那么分析全错了)。
作者: fjydksjyy 时间: 2005-10-28 05:54
[emb6][emb6][emb6]8楼
作者: 流星1234 时间: 2005-10-28 06:46
支持肝左叶胆管细胞癌并门静脉,腔静脉,及右心房内癌栓形成,继发布加氏综合征,
作者: wanbo2004 时间: 2005-10-28 19:16
[emb6][emb6]
作者: chengwei 时间: 2005-10-28 22:47
[emb6]
作者: zhaochen 时间: 2005-10-28 23:09
肝癌并门静脉和下腔静脉近心段以及右房癌栓形成[emb6][emb6][emb6]
作者: 听蝉观竹 时间: 2005-10-30 20:59
标题: 回复:ct2080:肝脏三期增强扫描病变之四
这个病例最后结果是原发性肝癌合并门静脉、肝静脉、下腔静脉近心段以及右房癌栓形成,肝动-静脉瘘。afp:3200,dsa、彩超证实左心房及近心段下腔静脉有栓子(并有血供),肝中静脉内有癌栓,有异常血流,门静脉内充满癌栓
gaozhengyi版主分析的很到位、很全面,我没有更多的分析,以gaozhengyi版主的贴子作为本主题的总结点评吧!
[本贴已被 听蝉观竹 于 2005-11-2 17:33:56 修改过]
作者: wangzhanshuang 时间: 2005-10-30 23:16
胆管细胞癌强化方式应该是延迟增强啊这个病历我怎么想不懂啊
周康荣螺旋ct上明明是这么说的
作者: 听蝉观竹 时间: 2005-10-31 01:51
标题: 回复
这个病例很有意思,可惜没有多少人感兴趣,感到有些遗憾,不过能够得到gaozhengyi版主的详尽的分析合点评,还有jiajie、阿圣、吕军浩多位版主的参与讨论我感到欣慰!
[本贴已被 听蝉观竹 于 2005-10-30 17:55:18 修改过]
作者: 91616lyt 时间: 2005-10-31 06:54
很久不来了,但感觉高手云集呀!!既然知道了病理结果,但很想再说两句,各位高手见笑!!
确实是个好病例!!有以下几大看点:
1 动脉期紧临下腔静脉的肝左叶显影明显------动静脉瘘造成;肝中静脉也显影但可见低密度充盈灶----癌栓形成;
2 门脉期示下腔静脉(肝门区至右心房段)与门静脉明显增粗,而且没有明显强化,可见充盈缺损,肝左右门脉分支无强化,--------静脉癌栓形成;门脉期肝脏显影不明显-----进一步证实了门脉癌栓;右心房内造影剂没有完全填充-----说明心房内有癌栓形成;
3 动脉期肝左外叶多支动脉血管显影-----说明病灶动脉供血明显,而且多发,之所以病灶强化不明显原因可能与动脉期扫描时间较早有关(脾脏没有显影),而且门脉期肾脏显影还不够,进一步证实了这一点;因为肝硬化的病人肝动脉比较细,动脉期的延迟时间应该往后放放(一般螺旋ct延迟时间采用30秒左右)同时还跟动静脉瘘有关;延迟期(称门脉期不为过)病灶显影较明显进一步证实了快进快出的强化特点;一些网友对肝细胞肝癌和胆管细胞癌的诊断还是有些疑问,为什么胆管扩张还有黄疸呢??这应该是胆管细胞癌的专利呀!!其实肝细胞肝癌也可以合并胆管扩张,扩张的原因主要是胆管内肿瘤的侵润形成胆管内瘤栓所致;再结合门脉与腔静脉瘤栓,
以及\"快进快出\"的强化特点,应该能够诊断肝细胞性癌;
4 肝内胆管轻度扩张,以肝左外叶明显,进一步证实了胆管内瘤栓的可能;
5既然门脉与肝静脉内都有癌栓,那么肝细胞癌肝内转移的可能性很大,因此肝内多发病灶内肯定有转移灶的可能,这进一步与b超多发占位吻合;
6结合病史肝硬化,胆管细胞癌可以肯定的排除了!!
作者: chengwei 时间: 2005-10-31 22:08
[emb7][emb21]
作者: 迷徒者 时间: 2005-10-31 23:26
谢谢楼主,辛苦了,顶一下.
作者: jsgaojian 时间: 2005-11-1 00:24
长舒一口气:复杂、精辟、一解心中疑惑。好病例,好开心![emb25][emb20][emb21]
作者: lujiandong 时间: 2005-11-1 01:48
早期动脉期见门静脉边缘呈条线状明显强化,静脉期门静脉显示不佳,应该是肝癌伴门静脉癌拴形成。门静脉癌拴形成后静脉期肝脏的70%的血供得不到供应故肝脏呈强化不明显,门静脉癌拴形成后动脉期有血供。
作者: DDD-WAWJ-1151 时间: 2005-11-1 04:41
分析透彻全面,这样的病例,这样的分析是可供我们学习的榜样![emb6][emb6][emb6]酷呆了
作者: wnlyq8688 时间: 2005-11-1 06:11
[emb7][emb6][emb25][emb26]这个病例最后结果是原发性肝癌合并门静脉、肝静脉、下腔静脉近心段以及右房癌栓形成,肝动-静脉瘘。afp:3200,彩超证实左心房及近心段下腔静脉有栓子(并有血供),肝中静脉内有癌栓,有异常血流,门静脉内充满癌栓
作者: honghuqitian 时间: 2005-11-1 20:05
[emb20][emb21]
作者: liaoqiang 时间: 2005-11-2 17:33
[emb7]精彩!!
作者: drzhang8888 时间: 2006-3-27 07:17
好好好
作者: usa911go 时间: 2006-3-27 22:01
标题: 回复:ct2080:肝脏三期增强扫描病变之四
以下是引用阿圣在2005-10-27 15:04:00的发言:[br]支持诊断:肝左叶胆管细胞癌并门静脉,下腔静脉,右心房癌栓形成,继发性巴德-基亚里综合征
作者: 拾荒者 时间: 2006-3-28 03:58
好病例,精彩的点评!看了各位高手的评论,更觉得自己知识的匮乏,还需加倍努力。
作者: zsxzsx1977 时间: 2006-3-28 06:02
支持8楼gaozhengyi版主分析,分析很全面、很到位
作者: guohengxin 时间: 2006-3-28 07:32
分析很全面 最好在ct增强片上注明高压注射器和ct扫描每层时间 和造影剂量 未看到动脉期明显增强的肝癌块影
作者: milaoshu 时间: 2006-3-29 20:57
这个病例太好了,请问听蝉观竹老师,三期扫描具体参数,比如造影剂注射速度、各期开始扫描时间?请教老师。
作者: zxczxc 时间: 2010-6-24 16:52
左肝癌。
作者: mohaiyidi 时间: 2010-6-24 18:08
这个病例太好了,请问听蝉观竹老师,三期扫描具体参数,比如造影剂注射速度、各期开始扫描时间?请教老师能给于多多指教。
作者: dr.yang 时间: 2013-9-4 20:57
学习了
| 欢迎光临 医影在线 (http://bbs.radida.com/bbs/) |
Powered by Discuz! X3.2 |